Сохранен 135
https://2ch.su/b/res/327444685.html
К сожалению, значительная часть сохранённых до 2024 г. изображений и видео была потеряна (подробности случившегося). Мы призываем всех неравнодушных помочь нам с восстановлением утраченного контента!

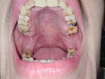
Объясните почему говорят, что зубы дорого лечить? если по сути по ОМС можно их вылечить?

 Аноним 08/12/25 Пнд 09:41:24 #1 №327444685 
image.png
image.png
Объясните почему говорят, что зубы дорого лечить? если по сути по ОМС можно их вылечить?
Аноним OP 08/12/25 Пнд 09:42:08 #2 №327444709 
На фото мои зубы, начали два этих ряда болеть, к стоматологу последний раз ходил 13 лет назад, по чем выйдет такое вылечить? или удалять уже?
Аноним 08/12/25 Пнд 09:44:04 #3 №327444745 
>>327444685 (OP)
Если у тебя много времени. Просто потому что найти номерок к врачу в госклинику это тот ещё квест. А найти на удобное время - это уровень Хардкор. РНН-господину проблем не будет. А вот мне, заводчанину, к примеру, тот ещё геморрой.
Аноним OP 08/12/25 Пнд 09:45:08 #4 №327444772 
>>327444745
> А найти на удобное время - это уровень Хардкор. РНН-господину проблем не будет.
Тогда в гос-клинику очевидно. Я рннгоспдин
Аноним 08/12/25 Пнд 09:45:09 #5 №327444773 
>>327444709
>мои зубы
Ты как-то противоречишь своему первому всхрюку
У тебя раздвоение личности?
Аноним OP 08/12/25 Пнд 09:47:00 #6 №327444819 
>>327444773
не понял тебя
Аноним 08/12/25 Пнд 09:48:54 #7 №327444870 
>>327444685 (OP)
По омс стоматология это очередх в 2-4 недели и более дешевые, менее стойкие материалы.
Аноним 08/12/25 Пнд 09:50:38 #8 №327444913 
>>327444772
По тебе видно)
Аноним OP 08/12/25 Пнд 09:52:45 #9 №327444968 
>>327444870
а материалы отдельно можно оплатить?
Аноним 08/12/25 Пнд 09:54:40 #10 №327445019 
IMG20250828194601.jpg
>>327444685 (OP)
Это зубы бомжа-наркомана. У приличных людей они разных цветов, но точно не чёрные.
Аноним OP 08/12/25 Пнд 09:59:33 #11 №327445142 
>>327445019
А мб просто сладкоежки?
Аноним 08/12/25 Пнд 10:00:17 #12 №327445160 
>>327444968
Тебе дают выбрать материал. Платные стоматологии от места к месту тоже говна.
В одной на тебя залазиет докторша в черном кружевном лифаке, коротком халатике, упираясь сиськами тебе в грудь и челюсть, ставит пломбу, которая будет как египетская пирамида стоять, пока у тебя зуб под основание не уйдет. В другой тебе КОМПЛЕКСНОЕ обследование хуе-мое проведут в присутствии трех врачей, поставят пломбу, которая через 2 года начнет крошится, при том, что она самая дорогая у них там. Короче скам ебанный эти ваши стоматологии. Но вот первую девчулю я запомнил на всю жизнь, при этом казалось тогда, что она все на отьебись делала, сделал скидку, что фигура у нее была как у стриптизерши, а оказалось, что купировала зуб она тогда лучше, чем все 3 разные последующие стоматологии.
Аноним 08/12/25 Пнд 10:05:37 #13 №327445318 
>>327445142
Мб, сахарная пудра это вообще самое вредное что существует. Растворёный в воде сахар не так плохо влияет, сахарный песок не так плохо влияет. А пудра из-за особой структуры прям в самые труднодоступные места проникает и потом служит надёжной питательной средой для бактерий. Её придумали враги народа.
Аноним OP 08/12/25 Пнд 10:09:14 #14 №327445400 
>>327445318
Да зубы могуть погнить от недостатка белка и микроэлементов, я детстве сладкого дохуя жрал а мяса, молочки мало, уже тогда один такой зуб был в 15 лет, вырвали
Аноним 08/12/25 Пнд 10:14:01 #15 №327445498 
>>327444685 (OP)
Что не делают по ОМС:
Профгигиена ~10к
Импланты ~200к\шт
Виниры ~100к\шт
Брекеты от 500к

Что делают по ОМС:
Вырвать зуб
Поставить пломбу
Аноним 08/12/25 Пнд 10:15:34 #16 №327445535 
>>327444685 (OP)
Можно, но там хуйня а не пломбы. Ну и думаю о том, какое там оборудование думаю говорить не стоит

К слову, я как то удалял зуб мудрости в платной, он был не проблемный, так мне удаляли долго + больно, а другой, тоже мудрости, удалял в поликлинике, удалили за несколько минут, вообще ничего даже не почувствовал
Аноним 08/12/25 Пнд 10:17:03 #17 №327445567 
>>327444685 (OP)
Смотря что с зубом.
Если там кариес, пульпит и удаление - то бесплатно.
У меня к примеру остеоартроз сустава. Тут омс нихуя не покрывает, так как ортопеды и ортодонты только для детей, а если тебе 28 лет, то пиздуй в платку.
Вот и лечусь платно, но за всё время, за год лечения отдал где-то 100к. И то с переменным успехом, потому что сначала была адская боль, вот 3 месяца назад почти прошло. Не тревожило почти. В прошлую среду опять разболелось, а значит надо корректировать лечение
Аноним 08/12/25 Пнд 10:17:07 #18 №327445569 
>>327444685 (OP)
пломба суперхуевая будет
норм пломба 5к
Аноним 08/12/25 Пнд 10:17:47 #19 №327445593 
>>327444685 (OP)
Тут лечить нечего, только выбить все зубы нахуй и цементом залить.
Аноним OP 08/12/25 Пнд 10:18:28 #20 №327445608 
>>327445498
Имплант ведь ставят после удаления зуба, и ждут когда заживет?
и че так дорого, 200к ебнутся
Аноним 08/12/25 Пнд 10:19:25 #21 №327445631 
>>327445569
Я делал по омс. За пломбу заплатил, так как первый раз когда ставили поставили ебучий цемент, он отвалился через неделю и болело просто адски.
Пришёл туда же, сказал, чтобы захуярили норм пломбу я заплачу.
2500 обошлось
Аноним OP 08/12/25 Пнд 10:19:29 #22 №327445634 
>>327445593
Не пизди, с 2-3 зубами разбираться только
Аноним 08/12/25 Пнд 10:19:51 #23 №327445639 
>>327444685 (OP)
Страдаю бруксизмом из за плохих нервов, поэтому всем молярам пизда, остались только пеньки, уже жевать нечем. При это стоматологов боюсь до усрачки. Даже под наркозом боюсь, ибо думаю что меня парализует, а на деле я буду всё чувствовать. Планирую выпил.
Аноним 08/12/25 Пнд 10:20:21 #24 №327445650 
>>327445498
>Брекеты от 500к
Можно дешевле и опять же ты не сразу эти 500к отдаешь.
да и детям их ставят бесплатно(
Аноним OP 08/12/25 Пнд 10:20:41 #25 №327445659 
>>327445639
Да схуев их бояться, боже, обычные мед. процедуры
Я боюсь только за свое кошелек и лень туда ходить
Аноним 08/12/25 Пнд 10:21:10 #26 №327445672 
>>327445634
2-3 зуба у тебя останется.
Аноним 08/12/25 Пнд 10:22:20 #27 №327445703 
>>327445608
Цены в разных клиниках разные. Я написал сколько мне обошлось. Ты можешь найти дешевле.
Аноним 08/12/25 Пнд 10:22:22 #28 №327445705 
image
>>327445631
>2500
В платке сделают за 5, но нормально

По омс бесплатно делают говно, по омс платно делают говно из норм материалов.
В платке делают норм из норм материалов

Последний раз, когда я был по омс в стоматологии мне иглой в нерв ткнули и я сознание от боли потерял, лол.
Аноним 08/12/25 Пнд 10:24:11 #29 №327445754 
>>327445608
В норм местах сразу ставят имплант после удаления.
Аноним 08/12/25 Пнд 10:24:49 #30 №327445772 
>>327445160
Проиграл с кружева и египетской пирамиды
Аноним 08/12/25 Пнд 10:26:17 #31 №327445808 
>>327444685 (OP)
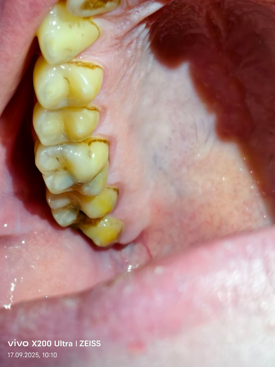
Если это твоя пасть, то смотри:
1) нижняя челюсть, правая сторона.
5-ка нахуй на удаление, лечить бесполезно, он уже разрушился.
6 и 7 надо лечить. Будут сверлить кариес и ставить пломбу
2) Верхняя правая
4-ка миркрокариес, надо подсверлить, 6-ка микрокариес.
7-ка лечить надо срочно. 8-ку посмотреть и сделать рентген, если нет кариеса и не беспокоит - тогда похуй, если беспокоит, то надо удалять.
3) Зубной камень нахуй везде + налёт. Это всё надо чистить.
4) С левой стороной у тебя скорее всего точно так же что и здесь.
Вывод : ты жрёшь говно и не чистишь зубы, довёл свою пасть до ахуя и теперь всё надо лечить.
Аноним 08/12/25 Пнд 10:27:13 #32 №327445833 
>>327445659
Я себе отложил лям на зубы. Правда этого все равно мало. Но уже 3 года не могу начать этим заниматься, просто парализует от страха. Тебя фиксируют в кресле и начинают огромными щипцами кромсать плоть, моя психика такого просто не выдержит.
Аноним OP 08/12/25 Пнд 10:29:45 #33 №327445908 
>>327445808
Понял, тогда 5-ку удалять в первую очередь пойду, а там что дальше скажет стоматолог, в общем так же и считал.
Это в принципе все можно и по ОМС сделать?
Аноним 08/12/25 Пнд 10:31:34 #34 №327445952 
>>327445908
тебе можно, так как судя по всему следить за ними ты не станешь и через пару лет опять пойдешь
Аноним 08/12/25 Пнд 10:31:39 #35 №327445957 
>>327445833
Самая болезненная процедура - профчистка первый раз в жизни. Потому что тебе фактически сдирают ультразвуком весь зубной камень, который накапливался десятилетиями.

Все остальное будет норм. Тебе даже понравится анастезия, комнатному сычу дозы эпинифрина полезны. Будешь как нарик бегать к доктору.
Аноним 08/12/25 Пнд 10:32:42 #36 №327445987 
>>327444685 (OP)
Мне в этом году так охуенно лечили зуб, что в итоге пришлось вырвать нахуй, антибиотик назначать не стали ПАЛАСКАЙТЕ СОДОЙ С СОЛЬЮ сука, а потом мне дважды блядь резали десну и ставили дренаж, только вот делали это уже в платке, в рот ебал этих рукожопых коновалов. Никогда больше не пойду в бесплатку, ибо в итоге выйдет ДОРОЖЕ сука чем в платке.
Аноним OP 08/12/25 Пнд 10:33:03 #37 №327445995 
>>327445952
Я уже начал следить, ополаскиватель для рта антибактериальный купил, зубы по 5 минут чищу, кости не грызу, не нагружаю
Аноним 08/12/25 Пнд 10:33:09 #38 №327445998 
>>327445908
В первую очередь профчистка (ультразвук + эйрфлоу) и оценка повреждений. Потом удаление гнилья.
Аноним 08/12/25 Пнд 10:34:45 #39 №327446037 
>>327445705
Очень сильно зависит от врача, если честно. Этот холивар тянется вечно.
Лично у меня по омс пиздатый врач, вот только одна проблема с пломбой была. После этого она мне все остальные зубы лечила и всё ок.
Аноним 08/12/25 Пнд 10:34:47 #40 №327446038 
>>327445995
Следить = чистить хоть раз в сутки, раз в полгода\год ходить на профчистку и профилактический осмотр.
Аноним 08/12/25 Пнд 10:35:46 #41 №327446054 
>>327445957
> дозы эпинифрина
Вот их то я и побаиваюсь. Это ведь адреналин, а причина панической атаки тоже адреналин, а я как раз ими страдаю. Вдруг у меня после укола начнется дикая паничка с пульсом под 200.
А удалять развалившееся 7 и 8 от которых остались только пеньки не больно разве? Там ведь всю десну раздалбливать надо.

Поэтому я и планирую делать всё это под наркозом(седацией), типо заснул, проснулся уже все готово. Но всеравно пиздец страшно даже заходить в клинику.
Аноним 08/12/25 Пнд 10:36:01 #42 №327446060 
>>327445908
да, но ищи нормальных врачей. Читай отзывы и так далее. Критичного прям ничего нет
Аноним 08/12/25 Пнд 10:38:56 #43 №327446135 
>>327445659
Я вот раньше тоже не боялся, пока 2 зуба не удалил. И оба раза это был полный раздирающий душу пиздец, столько боли и стресса я никогда в стоматологии не испытывал. Теперь вот ПОБАИВАЮСЬ.
Аноним OP 08/12/25 Пнд 10:40:12 #44 №327446171 
>>327446135
Они же укольчик делаю обезбаливающий с чего ради больно должно быть?
Аноним 08/12/25 Пнд 10:40:31 #45 №327446182 
>>327446135
А с какого хуя было больно? Ведь по идеи должно вообще нехуя не чувствоваться. Ты в платке делал?

Пиздец, теперь боюсь еще больше.
Аноним 08/12/25 Пнд 10:42:20 #46 №327446233 
>>327446171
>>327446182
А вот в душе не ебу, оба раза обезбол вроде и подействовал, только как только начинали рвать оказывалось что нихуя подобного и больно просто до охуения.
Аноним 08/12/25 Пнд 10:42:23 #47 №327446234 
>>327444709
Тысяч 300. Одну зп короче придется отдать.
Аноним 08/12/25 Пнд 10:44:07 #48 №327446282 
>>327446182
В бесплатной клинике. В платке думаю будет норм.
Аноним 08/12/25 Пнд 10:44:08 #49 №327446284 
>>327446135
Мне в бесплатке удаляли, просто плоскагубцами зуб ухватил и давай выдергивать его, одна рука у меня на лбу, зуб поломал, но не выдернул, затем поболее под корень взял тогда уже выдернул, вся рожа в крови, но прям чтоб больно было не было такого.
Теоретические зуб можно и дома вырвать
Аноним 08/12/25 Пнд 10:44:12 #50 №327446289 
>>327446233
Ну так должны были еще колоть, почему ты не попросил добавить? Ты в бесплатной что ли все делал?
Аноним OP 08/12/25 Пнд 10:45:02 #51 №327446314 
>>327446234
Ну нихуя ж себе, почему так дорого?
>Одну зп короче придется отдать.
4
Аноним 08/12/25 Пнд 10:46:52 #52 №327446366 
>>327446289
Ну смотри, вот садишься ты в кресло, пасть разинул, тебе клещами этими ебучими за зуб хвать и давай его рвать, а этот пидор взял и рассыпался нахуй, десну распидарасило, у тебя полный рот крови, осколков зуба и дикого ахуя. Я в тот момет вообще думал только одно слово "пиздец".
Аноним 08/12/25 Пнд 10:50:25 #53 №327446459 
>>327446366
Пиздец. Один из моих самых больших страхов что в праздники заболит зуб и придется ехать в круглосуточную гос. больницу.
Аноним 08/12/25 Пнд 10:51:59 #54 №327446501 
17644182015850.mp4
>>327446054
>Поэтому я и планирую делать всё это под наркозом(седацией), типо заснул, проснулся уже все готово.
Лол. А не проснуться не боишься? Такие случае обычно как раз в стоматологии и происходят
Аноним 08/12/25 Пнд 10:53:58 #55 №327446553 
IMG20251208104825.jpg
IMG20251208104839.jpg
Имею полный пиздец с зубами, из за дентофобии и тревожности.
Есть миллион, планирую на него лечь в элитную клинику где все сделают под наркозом.

>>327446501
Боюсь. Но у меня выбора нет. Я уже смирился что умру там, подвел итог всей жизни и со всеми мысленно попрощался.


P.S. Но ведь и от обычной щаморозки отъехало не меньше людей, а то и больше.
Аноним 08/12/25 Пнд 10:57:59 #56 №327446651 
>>327445498
>Профгигиена ~10к
>Импланты ~200к\шт
а чё так мало нулей нарисовал?
Аноним 08/12/25 Пнд 11:00:09 #57 №327446716 
>>327446553
У тебя лживый страх боже мой, тетки, женщины, пацаны, все ходят к стоматологу. Это все довольно простая процедура
Аноним 08/12/25 Пнд 11:03:05 #58 №327446779 
>>327446553
Ты еще моих не видел (фоткать не буду, стремно, плюс камера мутная). Это цветочки. У меня черные почти все, большого количества нет (жую голыми корнями). С передних верних упали пломбы 15-летней давности, поэтому там просто торчат тонкие палочки родных. Из-за всей канители образовался тяжелейший дистальный прикус, нижняя челюга втянулась в шею.. И то я не собираюсь к стоматологу идти, потому что рнн нищук. А тебе то еще жить да жить. Ничего особенного нет своими зубами. Ну налёт кофейный, ну четырех нету, один гнилой. Ты даже улыбаться можешь при желании без стрема. Так что забей и не страдай хуйней. Лет через 10, когда будешь, как я, тогда поноешь.
Аноним 08/12/25 Пнд 11:06:42 #59 №327446863 
mNkIKkat5U8.jpg
>>327446553
Смотря что ты хочешь сделать за миллион. И не ссы наркоза, сейчас все с этим нормально, особенно учитывая что ты готов вывалить средние по современным меркам бабосы. Три раза уже лежал под наркозом с зубами, лучшее решение в моей жизни.
Мимо вывалил 1,7кк
Аноним 08/12/25 Пнд 11:06:49 #60 №327446869 
>>327446716
Я разумом понимаю что бояться нечего, но это автоматический неконтролируемый процесс, который запускает каскад вегетативных реакций в виде паники, дереализации, поноса и т.д. Все здоровые люди ходят, а я по всей видимости таковым не являюсь. Я по тем же причинам не могу ходить в парикмахерскую и ездить в автобусах на дальние расстояния, т.к. тригер паники это то когда ты оказываешься зафиксирован и не может никуда убежать.

>>327446779
Хоть какие то хорошие новости за сегодня. Стал меньше трястись даже. Добра тебе и желаю накопить на зубы.
Какого хуя налет от кофе я не знаю, полоскаю всегда после еды ополаскивателем для зубов.
Аноним 08/12/25 Пнд 11:10:20 #61 №327446952 
>>327446863
Хочу удалить 4 гнилых корня на их место поставить имплатнты, удалить зубы мудрости они кривые и влияют на прикус, ну и дырки заделать какие возможно.
А как происходит этот процесс под наркозом? Вот сам момент отруба и пробуждения? И еще я боюсь что если мне сразу например удалять 6-7 зубов не охуею ли я потом, вдруг организм не выдержит такого сильного вмешательства и я умру уже дома.
Аноним 08/12/25 Пнд 11:12:07 #62 №327446999 
Как в частной клиники происходит оплата?
Поясните вот я зашел сказал что хочу зубы лечить, куда дальше?
Аноним 08/12/25 Пнд 11:13:25 #63 №327447029 
>>327444685 (OP)
В госке ты не бесплатно лечишься. Просто ты платишь не деньгами не только с сраных налогов, но ещё долговечностью своих зубов.
Аноним 08/12/25 Пнд 11:17:52 #64 №327447152 
images-2.jpg
>>327444685 (OP)
Если ты молодой и глупый возьми аналог кредита, только в виде экономии на здоровье. Типа сэкономь сейчас 20к чтобы потом цена полноценного ремонта была наверное к тому времени лямов 10. Или по нынешнему лям.

Ну или терпи что у тебя херовые зубы потом будут и соответственно никогда не сделаешь такой жест. Или другой.

Никогда не будешь няшкой. Если тебе норм то ок.

Смотри только чтобы частнопидоры засвечивали не слишком мощной лампой которая жжёт. А то блять мне светили так долго, а потом зубы трескаются от перепада температур. Говнодел ебучий. Зато минуты экономит пидор.

Вообще в рот ебал врачей. Топ это сделать челюсти-раковины-накладки опирающиеся на все зубы, а зубы промывать тщательно ирригатором и смазывать метрогилом
Аноним 08/12/25 Пнд 11:18:00 #65 №327447157 
>>327446952
С таким планом возможно и хватит, но тут нужно смотреть что врачи скажут.
>А как происходит этот процесс под наркозом? Вот сам момент отруба и пробуждения?
Зависит от препарата, от которого засыпаешь. Я свои уже не помню особо, но от первого отрубился просто по щелчку, а от второго закружилась голова и секунд через 10 уснул. Отходосы не из приятных, но терпимые. От первого ощущения будто тебя в центрифугу пихнули, все плывет и адски хочется ссать, а вот от второго ощущения будто стадо узбеков отпиздило, раскалывалась башка и тошнило. Но буквально за день это все сходит на нет.
>И еще я боюсь что если мне сразу например удалять 6-7 зубов не охуею ли я потом
Охуеешь. После таких операций приготовься полторы недели сидеть на антибиотиках при ощущениях как от ковида, кушая пюрешки да кашки (не забудь купить пробиотики или как их там нахуй вроде энтерола или максилака, без них пиздец). Мне удаляли 5 зубов за раз, вроде живой. Врачи впрочем сами скажут, если будет опасно тебе разобьют на две операции. Ну и учти, что установка имплантов это больше года на все про все, с удалением примерно полтора, наверное. Оно в любом случае того стоит, анон, добра тебе и удачи.
Аноним 08/12/25 Пнд 11:22:44 #66 №327447297 
Literally me.mp4
>>327447152
И то сука говоря полноценный ремонт это лукавство. Импланты не топ. Если это all on 6 типа мостовые под них забивается говно и свалить на 10 лет вдаль от всех ты не можешь никогда, надо видеться с врачём. Если all on 4 то больше нагрузка. Выше шанс отторжения.

Кстати импланты с крупной резьбой устанавливаемые с немедленной нагрузкой тоже говнина маркетинговая. Вот и думай головой.
Аноним 08/12/25 Пнд 11:24:36 #67 №327447350 
>>327447157
Спасибо анон. Пиздос конечно, я думал проснулся бодреньким и пошел по своим делам, а тут быть на грани жизни и смерти неделю, у меня от любого измененного состояния когда плохо или голова кружиться сразу паничка хуярит.
Сейчас вроде как имплатны могут вставить сразу после удаления, вот у меня маме так делали в платке, удалили старый зуб и тут же вкрутили швейцарский имплатнт.
Добра.
Аноним 08/12/25 Пнд 11:24:39 #68 №327447354 
>>327446863
И как часто лежать приходилось? Тоже через жопу всё делают что трескается от холодной воды например?
Аноним 08/12/25 Пнд 11:31:39 #69 №327447535 
>>327447157
И сколько это суммарно приемов к врачу?
Если не засыпать а просто под местной анестезией
Аноним 08/12/25 Пнд 11:35:14 #70 №327447640 
>>327444685 (OP)
пиздец, а я думал что у меня зубы мертвые. спасибо анон
Аноним 08/12/25 Пнд 11:43:06 #71 №327447830 
>>327444685 (OP)
Ты ёбнутый? Как до такого довёл? Даже я с лютейшей фобией стоматолога в случае чего собираю сопли в кулак и роняя калл иду страдать.
Аноним 08/12/25 Пнд 11:44:48 #72 №327447863 
>>327447830
Значит у тебя не фобия, а так легкий страх. Иначе бы ты просто при приближении к стоматологии в буквальном бы смысле обсирался, бледнел и терял связь с реальностью.
Аноним 08/12/25 Пнд 11:44:58 #73 №327447867 
изображение.png
>>327447354
Не особо понял вопроса, анон. Импланты у меня пока не установлены, только штыри приживаются на данный момент, пломбам год, ничего не потрескалось. У меня был год перерыва между удалениями и имплантацией, приходил в себя да денежки копил. Первые два наркоза были на удаление с интервалом в две недели. Сейчас на имплантацию один раз полежал, следующая операция под наркозом в мае.

>>327447535
Дохуя, смотря что и сколько. При удалении это первичная оценка, удаление 1-2 подхода или больше, удаление швов. Опционально добавляй очистку перед операциями и финальный осмотр. Имплантация сюда добавляет: обязательную очистку, имплантацию штыря, потенциальное наращивание костной массы, через пол годика штыри вскрываются, через пару недель на них ставятся временные импланты, через 4 месяца постоянные. Плюс рандомное количество осмотров и снятия швов в зависимости от объема работ. Если конечно все по правильному делать, у меня в двух клиниках примерно одинаково было.

>>327447350
Было бы здорово, конечно. Перед наркозом еще придется сдать анализы на 10к и получить заверение терапевта, что тебе можно проводить наркоз.
>Сейчас вроде как имплатны могут вставить сразу после удаления
Возможно, анон, не шарю. Мне выкатили вот такой план, у меня уже нужные были удалены к этому моменту.
Аноним 08/12/25 Пнд 11:46:14 #74 №327447899 
У меня цвет зубов A3,5 сеймы есть?
Аноним 08/12/25 Пнд 11:46:22 #75 №327447901 
>>327446553
Ляма не хватит чтоб пасть починить. По хорошему 3-4 надо закладывать на это дело. И времени год или даже больше.

Как раз фикшу свою пасть, тоже лютый дентофоб.
Аноним 08/12/25 Пнд 11:46:34 #76 №327447906 
>>327447863
>обсирался, бледнел и терял связь с реальностью
Ну это очень похоже на то что я испытываю. Но да, наверное не прям так жестко.
Аноним 08/12/25 Пнд 11:47:49 #77 №327447943 
>>327447901
Какие нахуй лямы долбоебы. Вы блять там голливудскую улыбка собрались делать или че? Какие блять миллионы долбоебы.
Аноним 08/12/25 Пнд 11:48:24 #78 №327447956 
>>327447867
>удаление 1-2 подхода или больше, удаление швов
Нахуя? мне удаляли, никаких швов не накладывали, и не зачем как будто?
Как насчет одномоментной имплантации? обещают за 1-2 приема ставить
Аноним 08/12/25 Пнд 11:49:40 #79 №327447988 
>>327447867
> Перед наркозом еще придется сдать анализы на 10к и получить заверение терапевта, что тебе можно проводить наркоз.
Я уже писал в клинику, они могут это все там сделать не придется бегать по всяким инвитро.
И вот что на это листке вышло 1.7кк ? Что то слишком дохуя, это ДС. Дешевле выйдет всё удалить и поставить all-in-6.

>>327447901
За 5 имплатнтов 4 ляма? ну ты это уже совсем нафантазировал. По моим расчетам я там даже в 800к смогу уложиться если делать не в ДС конечно.
Аноним 08/12/25 Пнд 11:49:47 #80 №327447989 
>>327444685 (OP)
Изо рта сильно пованивает?
Аноним 08/12/25 Пнд 11:50:47 #81 №327448016 
>>327447989
Нет, вообще не воняет
Аноним 08/12/25 Пнд 11:51:40 #82 №327448039 
>>327444685 (OP)
У меня тоже с зубами пиздец, недавно за лечение 1 клыка 20к отдал.
Стоматологов не боюсь, после того как пострадал с зубами мудрости и не спал ночами из-за боли, вообще похуй. Но блять как же дорого, сука. Есть возможность на вторую работу устроиться, но не хочу херить здоровье, нервы и в целом молодость на ебаные зубы
Аноним 08/12/25 Пнд 11:51:42 #83 №327448040 
>>327445498
Да даже коронку не сделают
Аноним 08/12/25 Пнд 11:52:05 #84 №327448049 
Когда уже нейронка заменит стоматологов и задемпингует их услуги?
Аноним 08/12/25 Пнд 11:52:12 #85 №327448054 
>>327444685 (OP)
Сразу видно долбоеба, которому еще не исполнилось 18 или он не записывался по ОМС. Сначала попробуй записаться. У нас в городе надо на сайте ловить "талон". А те же пломбы тебе ставят только цементные. Это говно, которое в нормальной стоматологии считается временной. Полимерные только платно. Что ты там вылечишь? У меня половина зуба раскрошилась, так в поликлинике мне сказали рвать. А в частной стоматологии просто поставили 2 штифта в зуб из стеклопластика и нарастили.
Аноним 08/12/25 Пнд 11:52:34 #86 №327448061 
>>327447956
Не знаю, анон, говорю как было у меня. Да и у меня три зуба подряд отсутствовало, возможно по этому. Хотя и одиночные дыры были зашиты. Может в других местах иначе делают, я в Мочкве лечился.
>Как насчет одномоментной имплантации?
Опять же без понятия, анон, мне не предлагали. Честно говоря мне с трудом в это верится после услышанного от врачей, но я и не специалист.
Аноним 08/12/25 Пнд 11:53:37 #87 №327448098 
>>327447988
Прежде чем удалять, тебе сделают проф. чистку и, вероятно, не раз, залечат все что только можно, остальное выдерут и воткнут импланты. Готовься ходить в клинику по кд, как на работу и за каждый визит платить, платить, много платить.
Аноним 08/12/25 Пнд 11:53:51 #88 №327448105 
>>327447988
Здесь на пикче 1,3кк. 400к я отдал за лечение и удаление почти всего рта год назад. На листке подДСье, а вот лечился да, в Москве.
Аноним 08/12/25 Пнд 11:54:31 #89 №327448129 
>>327447867
>Не особо понял вопроса

А. Я просто слышал про лечение под наркозом но пломбы делают.

Забей
Аноним 08/12/25 Пнд 11:55:33 #90 №327448164 
>>327448039
> 20к отдал
Для зубов это вообще копейки. Там миллионами измеряются затраты при проблемах в с зубами.

>>327448098
Но ведь если под наркозом делать, то требуется меньше визитов в клинику.
Аноним 08/12/25 Пнд 11:56:20 #91 №327448192 
>>327448164
Ползарплаты моей...300к мухосрань
Аноним 08/12/25 Пнд 11:57:32 #92 №327448234 
>>327445608
ну 200 за единицу пиздец. сотка под ключ с коронкой
Аноним 08/12/25 Пнд 11:58:11 #93 №327448250 
>>327448164
Ну седация тоже не бесплатная. За 10 часов под пропофолом ты сверху тыщ 300 отвалишь.
Аноним 08/12/25 Пнд 12:00:03 #94 №327448293 
>>327448250
Смотрю по прайсу в клинике в моей мухосранске 500к "Анестезиологическое пособие" - 20к час.
Аноним OP 08/12/25 Пнд 12:02:06 #95 №327448348 
image.png
image.png
>>327448054
Ты даун что ли? Я записывался по ОМС, когда на сайте зарегаться нельзя было, припиздок.2012 год.
Тогда норм почистили, зуб пытались вылечить, не получилось - удалили, другой почистили пломбу поставили, через 2 года выпала, но и вот что сейчас с ним, до этого не обращал внимание - не болел.
Даже вот видно маленький белый кусочек пломбы
Аноним OP 08/12/25 Пнд 12:03:21 #96 №327448370 
В общем готов не более 90к выложить за зубы, не более, пусть ставят или удаляют на похуй
Аноним 08/12/25 Пнд 12:03:38 #97 №327448377 
>>327448293
Ну в мухосранях может дешевле быть, да. Я про дс говорил.
Аноним 08/12/25 Пнд 12:03:43 #98 №327448381 
>>327448054
>просто поставили 2 штифта в зуб из стеклопластика и нарастили

Это современная гойслоповая замена коронки. Стоимость такая же между прочим.
Аноним 08/12/25 Пнд 12:05:34 #99 №327448433 
Заметил такое явление что зуб мой беспокойный болит после бухича запойного, если не пью, иммунитет прокачиваю, Хорошо питаюсь - боль исчезает
Аноним 08/12/25 Пнд 12:06:34 #100 №327448468 
>>327448348
Сходи в норм клинику. Там тебе кт сделают да скажут что делать дальше. Есть вероятность что эти остатки зуба можно не выдирать, а подточить и въебать туда пломбу.
Аноним 08/12/25 Пнд 12:11:21 #101 №327448585 
>>327448468
>Есть вероятность что эти остатки зуба можно не выдирать, а подточить и въебать туда пломбу
Проиграл.
Тут даже по омс не сделают уже так. Вопрос уже стоит скорее возможно ли там имплант поставить или уже нет.
Аноним 08/12/25 Пнд 12:12:15 #102 №327448606 
>>327448585
>Тут даже по омс не сделают уже так.
Почему даже? наоборот они уж точно не сделают
Аноним 08/12/25 Пнд 12:12:50 #103 №327448621 
Это нормально если в процессе всего я буду спрашивать че по чем выйдет? а это сколько? сооринтируйте по стоимости
Аноним 08/12/25 Пнд 12:15:44 #104 №327448685 
>>327448621
А сам как думаешь?
Естественно нормально, просто культура выставляет специально будто это неприлично чтоб тебя наебать побольше на шекели
Аноним 08/12/25 Пнд 12:16:31 #105 №327448702 
>>327448370
Есть варик пойти в какую нибудь гос клинику, областную например, платно. Там дешевле чем в частных, но и получше, чем бесплатно. Возможно наткнешься на врача, который тебе мимо кассы будет лечить за нал, будет дешево и сердито.
Аноним 08/12/25 Пнд 12:17:22 #106 №327448723 
>>327448621
Они этого вопроса и ждут. Не так давно грыз жареный арахис, отьебнуло пол зуба, пришел в клинику, мне сходу - 25 коронка, 100 имплант, все, малыш, газу почку подавать.
Аноним 08/12/25 Пнд 12:19:39 #107 №327448776 
>>327446135
Хз, я перестрадал уже и мне похуй. Вырывали уже 4 зуба мудрости и одну семёрку на нижней челюсти. И обезбол на нижнюю челюсть у меня хуй действует. Только один раз подействовала когда первую восьмёрку снизу удалял, когда она адски болела. Во все остальные разы видимо мочу колят вместо обезбол. Лидокаин точно у меня на нижнюю не действует, да и ультракаин тоже, как я понял.
А седьмой зуб удалили из-за того, что я к одной блядине старой ходил и она так и не смогла мне каналы нормально прочистить за сеанса 3-4. В итоге кариес дошёл до корней зуба и все. И эта блядина колола мне свой лидокаин, но он так ни разу не обезболил чистку путей. В итоге на 3 и 4 сеансе она вообще нихуя не колола, чисто сразу пыталась зачистить их. Боль адская больнее чем при вырывании зуба.
Ещё и восьмёрку слева на нижнем ряду когда мне какой-то чурбан вырывал, нихуя не понимаю вырвать. Он сломался на куски и он там полтора часа дрочил. Обезбол опять же не подействовал. И чистка путей хоть и была больней, но там обычно минут 10 страданий. А тут блядь полтора часа. Я пиздец устал.
В общем мой опыт крайне болезненный. Но уже когда надо идти к стоматологу как-то похуй. Мне кажется все края боли зубов я уже испытал и вряд ли меня уже удивят.
Аноним 08/12/25 Пнд 12:21:41 #108 №327448825 
Зубастые, вы чёт тут расшипелись?
Аноним OP 08/12/25 Пнд 12:21:58 #109 №327448831 
>>327448702
И так в области НСК нахожусь
Аноним 08/12/25 Пнд 12:23:17 #110 №327448860 
>>327448776
Если обзбол не подействовал почему ты не попросил добавить? Это что гос. клиника была?
Аноним 08/12/25 Пнд 12:26:45 #111 №327448957 
>>327448776
>А седьмой зуб удалили из-за того, что я к одной блядине старой ходил и она так и не смогла мне каналы нормально прочистить за сеанса 3-4.
Абсолютно аналогичная ситуация, только я проебал нижнюю шестерку. Два месяца блядь дрочили мне этот несчастный зуб пока там воспаление нахуй не началось. Лучшеб пошел в платку, все дешевле в итоге вышло бы, чем имплант ставить теперь.
Аноним 08/12/25 Пнд 12:39:20 #112 №327449274 
>>327448776
>>327446135
Держи в уме, что на передке ребята, вытекают, самостреляются от мучений, а ты тут боишься медицинских процедур которые делают тебе во благо.
Это в принципе абсурд подобного бояться
Аноним 08/12/25 Пнд 12:44:11 #113 №327449400 
>>327449274
Ну так они сами туда попали, по своей вине, не смогли устроиться в жизни безопасно и с комфортом ну или поверили в басни по телевизору.
Аноним 08/12/25 Пнд 12:44:55 #114 №327449425 
>>327449274
>Это в принципе абсурд подобного бояться
А страх нерационален. Я например очень сильно боюсь высоты и на эскалаторе в метро в 100% случаев ловлю лютую паничку с тряской, зашкаливающим пульсом и ручьями пота от ложного ощущения что я заваливаюсь вперед. При этом головой я понимаю что никуда я не заваливаюсь и никуда не упаду, только от этого понимания легче не становится.
Аноним 08/12/25 Пнд 12:49:21 #115 №327449547 
>>327444745
На моём заводе свой стоматологический кабинет.
Аноним 08/12/25 Пнд 12:51:33 #116 №327449608 
>>327449400
Ты должен им ноги целовать, если бы не они, то точно так же паковали в бусики как в хохляндии
Аноним 08/12/25 Пнд 12:52:35 #117 №327449642 
>>327449425
страх подобный страха стоматологии можно рационализировать и обуздать, это никогда над тобой птички летают или арта разрывается
Аноним 08/12/25 Пнд 12:57:34 #118 №327449792 
>>327449608
Если бы не они мы жили как и раньше со старыми ценами и в мире. Им просто достаточно было не выполнять незаконные приказы и ничего бы даже не началось. Тем кто повестки игнорил даже штрафа не было.

А не пакуют нас благодаря миллиону събнувших через Верхний Ларс, иначе бы давно объявили всеобщую. Правительство поняло что при мобилизации все просто устроят массовый съеб и поэтому резко её свернуло.
Аноним 08/12/25 Пнд 12:59:02 #119 №327449833 
>>327449792
>при мобилизации все просто устроят массовый съеб и поэтому резко её свернуло.
Чел держу в курсе, частичную мобку никто не сворачивал
Аноним 08/12/25 Пнд 12:59:15 #120 №327449841 
>>327444745
Все так.
мимо РНН-Господин с нормальными зубами
sage[mailto:sage] Аноним 08/12/25 Пнд 12:59:39 #121 №327449848 DELETED
>>327444685 (OP)
Терпи, хохлище.
Аноним 08/12/25 Пнд 12:59:53 #122 №327449855 
>>327449833
Но от простых людей однако отъебались и больше не беспокоят.
Аноним OP 08/12/25 Пнд 13:01:01 #123 №327449877 
>>327449841
В госклинике лечил? и как?
Аноним 08/12/25 Пнд 13:03:00 #124 №327449920 
>>327444685 (OP)
>если по сути по ОМС можно их вылечить?
По омс очередь в несколько недель может быть, протезирование платное, анестезия платная, чистку зубов не делают, кариес лечат только препарированием и пломбированием - когда в частной его удаляют лазером не повреждая сам зуб
Аноним 08/12/25 Пнд 13:04:06 #125 №327449953 
>>327449920
>>По омс очередь в несколько недель может быть
Последнее что меня пугает это очередь, могу хоть полгода подождать если потребуется, главное что бы нормально сделали и ценник конским не был
Аноним 08/12/25 Пнд 13:49:00 #126 №327451204 
>>327448860
Так они добавляли. Хуй че. Два раза добавляют и потом говорят больше нельзя, а толку 0 от их добавлений
Аноним 08/12/25 Пнд 14:05:20 #127 №327451702 
>>327449953
В моем селе нужно 1.5 года ждать, я был 987-ым в очереди.
Аноним 08/12/25 Пнд 14:07:50 #128 №327451789 
>>327451204
А за анестезию платил? Мб тебе обычный лидокаин кололи. А может пил алкоголь за несколько дней до этого?
Аноним 08/12/25 Пнд 14:21:35 #129 №327452217 
>>327445808
Почему 8 всегда удаляют?
Аноним 08/12/25 Пнд 14:33:56 #130 №327452530 
>>327452217
Они не у всех вырастают. Но в ходе эволюции они уже не нужны человеку.
В 80% случаев, когда вырастает 8-ка, она растет криво и смещает зубы по немногу, от чего могут быть ахуительные боли. Так же из-за нового зуба может быть нарушен прикус, что может позднее привести к проблемам с челюстью.
Плюс это проблемный зуб в плане гигиены. Даже если ты чистишь зубы, почему то по этому зубу проходит меньше всего из-за чего эта собака гниёт.
У меня самого две 8-ки были. Все зубы нормальные, а эти две бляди сгнили. Причём один раскрошился и его резали
Аноним 08/12/25 Пнд 15:56:49 #131 №327454859 
>>327451789
Не, я не пью. Да и я уже много раз ходил к дантисту. Единственный раз когда ничего не болело, это я ходил в платную клинику, чтобы срочно удалить восьмёрку, потому что она адски болела. Семёрку удалял типо в гос клинике, но я платил отдельно, но там болело всё равно. Лидокаин на нижнюю челюсть мою точно не действует. Там где восьмёрки остальные вырывали сказали, что кололи ультрамарин. Верхние как обычно без проблем вырвали и без боли. А нижнюю восьмёрку слева полтора часа мучали с болями, как уже говорил
Аноним 08/12/25 Пнд 16:04:10 #132 №327455053 
>>327454859
> А нижнюю восьмёрку слева полтора часа мучали с болями, как уже говорил
Бля ну и как теперь идти к стоматологу.
Может кто нибудь из анонов сказать что нибудь успокаивающее почему на него не подействовало ничего? Может это просто только в госке так?
Аноним 08/12/25 Пнд 16:10:54 #133 №327455244 
>>327455053
Ну вот что нейрон как говорит, если тебя успокоит

Это очень распространённая и серьёзная проблема, которая сильно осложняет лечение. Если анестезия «не берёт» нижние зубы, этому есть конкретные анатомические и медицинские причины. Это не норма, но и не уникальная ситуация — стоматологи с ней регулярно сталкиваются и знают, как её решить.

Главная причина: анатомические особенности нижней челюсти

Ключевой фактор — нижний альвеолярный нерв, который проходит внутри нижней челюсти и обеспечивает чувствительность зубов. Чтобы его «выключить», анестетик должен попасть точно в область нерва (в нижнечелюстное отверстие).

Почему стандартный укол может не сработать:

1. Варианты строения челюсти. У некоторых людей канал, в котором проходит нерв, имеет дополнительные костные выступы или перегородки, которые блокируют распространение анестетика.
2. Плотность кости. Кость нижней челюсти гораздо плотнее, чем верхней. Анестетику сложнее «пропитать» её и достичь нерва.
3. Атипичное расположение нерва. В редких случаях нерв может проходить нетипично, и стандартная точка укола оказывается мимо цели.
4. «Двойной» иннервация. Иногда зуб получает сигналы не только от основного нижнечелюстного нерва, но и от дополнительных мелких нервных ветвей (например, от щёчного нерва). Заблокировав главный нерв, врач может не задеть эти дополнительные.

Что ещё может снижать эффективность анестезии?

· Воспаление (пульпит, периодонтит). В воспалённых тканях кислая среда (низкий pH), которая нейтрализует молекулы большинства анестетиков. Кроме того, воспаление вызывает отёк, который сдавливает сосуды — анестетик хуже распространяется.
· Пациент принимает определенные лекарства.
· Обезболивающие (НПВС: ибупрофен, кеторол) — если вы приняли их перед приёмом, чтобы «перетерпеть», они могут временно снижать эффективность местной анестезии.
· Антидепрессанты, нейролептики, некоторые сердечные препараты.
· Психологический фактор (стресс, паника). Сильный страх вызывает выброс адреналина, который сужает сосуды и ухудшает всасывание и действие анестетика.
· Хронический алкоголизм или приём наркотиков. Требуются специальные препараты и дозы.
· Резистентность (редко). Истинная невосприимчивость к анестетикам встречается крайне редко. Чаще речь идёт о перечисленных выше факторах.

Что может и должен сделать стоматолог, чтобы анестезия подействовала?

Опытный врач имеет целый арсенал методов. Обязательно сообщите ему о своей проблеме до начала лечения.

1. Использовать другой анестетик. Основные типы:
· На основе артикаина (Ультракаин, Септанест, Убистезин). «Золотой стандарт» в стоматологии. Самый мощный и глубокий.
· На основе мепивакаина (Скандонест, Мепивастезин). Особенно хорош при гнойном воспалении, так как не содержит сосудосуживающих компонентов (адреналина), которые плохо работают в кислой среде.
2. Изменить технику введения (вид анестезии):
· Проводниковая анестезия. Укол делается глубже, чтобы заблокировать весь нижнечелюстной нерв. Это основной метод для нижней челюсти.
· Интралигаментарная (внутрисвязочная) анестезия. Анестетик вводится в периодонтальную связку конкретного зуба. Очень эффективна, но требует точности.
· Компьютерная анестезия (например, система «Сита»). Аппарат подаёт анестетик под контролируемым давлением, что делает укол практически безболезненным и очень эффективным.
3. Предварительно снизить воспаление. При сильном пульпите или периодонтите врач может:
· Накладывать девитализирующую пасту («убить нерв») и ставить временную пломбу. Лечение корневых каналов проводят в следующий визит, когда острое воспаление снято и анестезия будет действовать.
· Назначать антибиотики за несколько дней до сложного удаления зуба.
4. Дополнительные меры:
· Седация (закись азота) или премедикация. Помогают снять панику и усилить действие местного обезболивания.
· Тщательная поверхностная анестезия (гель/спрей) в месте укола, чтобы сам момент инъекции был комфортным.

Что можете сделать вы, как пациент:

1. Обязательно предупредить врача о своей проблеме на этапе записи и в начале приёма. Скажите: «У меня плохо берет анестезия на нижней челюсти».
2. Не принимать обезболивающие за 6-8 часов до визита (если нет острой нестерпимой боли и врач не дал других инструкций).
3. Хорошо выспаться и поесть перед приёмом (если не планируется седация). Голод и усталость усиливают стресс.
4. Обсудить с врачом возможность использования конкретных методов (например, мепивакаин или компьютерная анестезия).

Итог:

Проблема с анестезией нижних зубов — решаема. Ключ к успеху — взаимодействие с врачом. Современная стоматология имеет достаточно инструментов, чтобы обеспечить комфортное и безболезненное лечение даже в сложных случаях. Ваша задача — выбрать клинику, где готовы решать нестандартные ситуации, и открыто рассказать о своей особенности.
Аноним 08/12/25 Пнд 16:16:25 #134 №327455428 
>>327455244
Значит скорее всего врач хуевый был и не смог попасть в нерв, что бы его выключило.
Аноним 08/12/25 Пнд 16:23:01 #135 №327455656 
>>327455428
Ну эт не один врач. Это всё врачи у меня были хуевые. Только один раз видимо смогли попасть за всё время. В частной клинике
comments powered by Disqus