К сожалению, значительная часть сохранённых до 2024 г. изображений и видео была потеряна (подробности случившегося). Мы призываем всех неравнодушных помочь нам с восстановлением утраченного контента!

Здравствуй двачик, сегодня мы с вами опять будем играть в рентгенолога, я вам буду постировать фоточ

 Аноним OP 09/12/25 Втр 07:33:07 #1 №327474800 
IMG20251208122511.jpg
Здравствуй двачик, сегодня мы с вами опять будем играть в рентгенолога, я вам буду постировать фоточки, а вы узнавать пиздецомы на них.

Сегодня на улице дубак, в кабинете холодно, сижу в двух кофтах и шапке, с обогревателем и мерзну :-( Батарея чо-то слабо греет и стены холодные. Возможно надо в другой кабинет перекатиться в пультовой у лаборанта поселится там теплее.

А еще я на прошлой неделе в рентген лаборанту пальчиком тыкал! В живую! А она и не против! Нагнулась там на стол с мобилой перекрыла мне жопой свокй проход. Нихуя не одуплила что я подошел в мобилу залипала, я постоял секунд 10 общатся голосом было в лом я пальцем потыкал в верх правого полужопия. Сказала ой, убрала жопу с прохода, я прошел.

Она хочет от меня спермы и детей? Я просто хочу разобраться! Я нипони! Несите советов мудрых!

А пока мы обсуждаем этот сложный вопрос я вам фоочки буду показывать! Штош погнали!
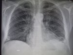
Аноним 09/12/25 Втр 07:35:09 #2 №327474821 
IMG20251208112948.jpg
Где пиздецома?
Аноним 09/12/25 Втр 07:36:45 #3 №327474838 
IMG20251208130343.jpg
Где пиздецома?
Аноним 09/12/25 Втр 07:38:06 #4 №327474857 
IMG20251208130713.jpg
Где у нас тут пиздецома?
Аноним 09/12/25 Втр 07:41:42 #5 №327474899 
Те бабо жопу выставляет а ты даже хуй ей в пасть сунуть не хочешь пиздецома это ты, покажи МРТ заебали эти чб блять слайды ебучие
Аноним 09/12/25 Втр 07:42:06 #6 №327474908 
На первых двух картинках один и тот же чел по видимому. На 3ей определенно какие то узлы еаные есть
Аноним 09/12/25 Втр 07:42:54 #7 №327474923 
IMG20251208141427.jpg
Где пиздецома?
Аноним 09/12/25 Втр 07:44:24 #8 №327474948 
>>327474899
Откудаэу меня мрт? У нас в лпу ток в этом годуэсвой кт поставили, и я ваще не имею отношения к описанию снимков в него!

А хуй у меня не стоит давно уж! Тян не нужны, только выиграли!
Аноним 09/12/25 Втр 07:46:05 #9 №327474969 
>>327474908
Разные же люди!
Аноним 09/12/25 Втр 07:46:48 #10 №327474983 
IMG20251208145138.jpg
Где пиздецома?
Аноним 09/12/25 Втр 07:50:05 #11 №327475006 
>>327474983
Вроде как напоминает когда раком вставили хуй в жопу, вид сверху.
Аноним 09/12/25 Втр 07:50:14 #12 №327475007 
>>327474821
Пневмония в нижнем сегменте.
Ну или тубер
Аноним 09/12/25 Втр 07:51:12 #13 №327475010 
>>327475007
Там еще жижа и плеврит
Аноним 09/12/25 Втр 07:51:34 #14 №327475015 
>>327475006
это сердце
Аноним 09/12/25 Втр 07:52:38 #15 №327475028 
>>327475015
Ясно, глубоко вошёл значит
Аноним 09/12/25 Втр 07:53:10 #16 №327475034 
>>327475010
Бля пиздец фу гадость. Он уже лежит где-то или на своих двоих прищел?
Дренаж?
Аноним 09/12/25 Втр 07:55:16 #17 №327475065 
>>327475034
Пунктировали два раза уже. Приехал из поликлиники в приемник. Он там всяким по вене ставился и у него него не ток в легких все фу неоч.
Аноним 09/12/25 Втр 07:57:08 #18 №327475092 
Опишу мамограф надо в пультовую перекатиться, фу дубак тут :-(
Аноним 09/12/25 Втр 08:00:25 #19 №327475146 
IMG20251209095951.jpg
Где пиздецома?
Аноним 09/12/25 Втр 08:02:05 #20 №327475172 
>>327475065
Какие ещё факты в биографии кроме наркоты по опыту делают людей фу не оч?
Аноним 09/12/25 Втр 08:04:55 #21 №327475214 
>>327475172
1. Долбоебизм
2. Алкоголизм
3. Врожденные патологии
Аноним 09/12/25 Втр 08:05:52 #22 №327475230 
Блять это хуйня а не снимки чё за каменный век
Аноним 09/12/25 Втр 08:07:21 #23 №327475254 
Скинь серце или блять желудок штоли нахуй эти кости ебаные
Аноним 09/12/25 Втр 08:09:22 #24 №327475288 
Ну и их сочетания. У нас как-то привезли одного дауна который во время распития поспорил что сломает дерево ударом башки. В результате дерево вин. Он размазнулся да ебнул башкой, рассек себе кожу на лбу, получил сотряс, упал обмяк. Собутыльники увдиав что он лежит и кровоточит в ужасе обратились в бегство. Там какая-то рандомная псиноебка его обнаружила вызвала ментов, подумала что он сдох, те вызвали скоряк скоряк притащил к нам. Лечили его от пневмонии ибо попростыл пока на грунте в невменозе валался.
Аноним 09/12/25 Втр 08:10:22 #25 №327475307 
>>327475254
Сердце не видишь что ле на сникаь грудной клетки? Скопии желудков пока не делаем в регионе кончился сульфат бария.
Аноним 09/12/25 Втр 08:10:48 #26 №327475311 
>>327475230
Хуль тебя не устраивает?
Аноним 09/12/25 Втр 08:12:37 #27 №327475343 
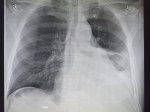
>>327474800 (OP)
Гидроторакс с линией демуазо?
Аноним 09/12/25 Втр 08:12:51 #28 №327475345 
>>327475146
Сосуды забиты справа посередине
Аноним 09/12/25 Втр 08:13:09 #29 №327475349 
>>327475214
Что насчёт сахара и табака?
Аноним 09/12/25 Втр 08:13:37 #30 №327475356 
>>327475343
Ну чот, а метастазы чому игноришь?
Аноним 09/12/25 Втр 08:14:58 #31 №327475378 
>>327475345
Это не сосуды, это пищдецома в сиське, скопее в сего рак. Но это не точно, надо дообследовать
Аноним 09/12/25 Втр 08:16:15 #32 №327475403 
>>327475065
Спидозный?
Ты будешь ржать но я инженер АСУТП с корпоративным копилотом и разъебанными лёгкими из-за чего-то от чего пневмонии котирую
Аноним 09/12/25 Втр 08:16:31 #33 №327475411 
>>327474838
Округлое образование с проветлением в центре в нижней доле правого лёгкого. На тубик не похоже по локализации, мб абсцесс в стадии рассасывания
Аноним 09/12/25 Втр 08:16:46 #34 №327475416 
>>327475349
1. Сахар ваще похуй, я не стоматолог, зубы меня не ебут.
2. Все кто курит и не помрет раньше получат рак легких. Но это тож а целом малоебуче, это головняк онкологов и палиативной службы.
Аноним 09/12/25 Втр 08:17:29 #35 №327475424 
>>327475356
А ёпт внатуре, спасибо
мимо ординатор 1го года по ОНКОЛОГИИ, кек нахуй
Аноним 09/12/25 Втр 08:17:47 #36 №327475429 
>>327475403
Пока чо-то отрицательное пришло, но на консультацию к иефекционисту записали.
Аноним 09/12/25 Втр 08:18:25 #37 №327475439 
>>327475424
Абсцесс да там еще сверху в левом лешком полость
Аноним 09/12/25 Втр 08:19:25 #38 №327475456 
>>327474857
Бля то ли субтотальная пневмония, то ли осумкованный плеврит такой. всё нахуй забыл уже с рентгенологии
Аноним 09/12/25 Втр 08:20:11 #39 №327475468 
>>327475214
У меня кроме курения ничего нет, как итог конечно до такого не дошел но в больничку заехал когда уже пальцы стали несколько нездорового цвета.
Если бы не как НАСТОЯЩИЙ МУЖЫК не пошел к врачу и лечился бы водочкой и аспирином мог бы наверное до плеврита довести.
Все пневмонии были такие что я их не замечал вообще. Одна вообще сама почти прошла в командировке в Красноярском краю на -40 и ежедневной работой на площадке. Видимо это причина всех последующих пневмоний (одна из)
Аноним 09/12/25 Втр 08:20:40 #40 №327475480 
>>327475456
Тут просто гидроторакс, там недостаточность по большому кругу
Аноним 09/12/25 Втр 08:22:17 #41 №327475506 
>>327474923
Ателектаз слева?
Аноним 09/12/25 Втр 08:22:33 #42 №327475511 
>>327474923
Хм, так понимаю увеличены сердце и магистральные сосуды, которые дают такую мощную тень?
Аноним 09/12/25 Втр 08:23:22 #43 №327475532 
>>327474983
Милиарный туберкулёз?
Аноним 09/12/25 Втр 08:24:36 #44 №327475552 
>>327475468
Пневмония тоэсама по себе не болит, она ебет интоксикацией, болит плеврит.
Аноним 09/12/25 Втр 08:25:25 #45 №327475562 
>>327475480
Если недостаточность по большому кругу, то гидроторакс бы с двух сторон был бы, не? Застой чё только в левом лёгком будет
Аноним 09/12/25 Втр 08:25:44 #46 №327475571 
IMG20251209102421.jpg
Где пиздецома?
Аноним 09/12/25 Втр 08:27:51 #47 №327475609 
>>327475506
И опухоль тож, там рак желудка первичный
Аноним 09/12/25 Втр 08:28:51 #48 №327475631 
>>327475511
Сердце почти нк расширено, там рак с первичным очагом в желудке.
Аноним 09/12/25 Втр 08:30:34 #49 №327475664 
>>327475571
Неравномерное затемнение обеих нижних долей лёгких. Крайне выражен бронхолегочный рисунок.

Двусторонняя нижнедолевая пневмония в стадии разрешения?
Аноним 09/12/25 Втр 08:30:56 #50 №327475672 
>>327475532
Ну, у него с пруфами силикоз, и с прошлого года без динамики.
Аноним 09/12/25 Втр 08:30:59 #51 №327475673 
>>327475571
Какой пухленький)))) Прям как ОП-пухляшик. Но тут кардиомегалия и может быть бронхоэктазы \ бронхит \ легочное сердце?
Аноним 09/12/25 Втр 08:31:12 #52 №327475679 
Что тебе будет если ты проебешь пиздецому от которой больной отъедет?
Аноним 09/12/25 Втр 08:31:39 #53 №327475685 
>>327475664
С абсцедированием слева еще, но в целом да.
Аноним 09/12/25 Втр 08:32:38 #54 №327475711 
>>327475672
Шо сам сомневался насчёт тубера и полез доки смотреть
Аноним 09/12/25 Втр 08:32:45 #55 №327475714 
>>327475673
Ну кардиомегалия то там есть конечно, но его беспокит другое.
Аноним 09/12/25 Втр 08:33:22 #56 №327475724 
>>327475631
Центральный рак лёгкого справа?
Аноним 09/12/25 Втр 08:34:25 #57 №327475742 
>>327475714
Ну тохда ставка снова на рак...
Аноним 09/12/25 Втр 08:36:31 #58 №327475782 
>>327475711
Ну так тут его или на кт гнать и потом в отб или ставить р+. Он вопил ряяя вы зоибали меня дообследовать вот мои пруфы ряяя.
Аноним 09/12/25 Втр 08:37:04 #59 №327475792 
>>327475724
Метастазы, из желудка
Аноним 09/12/25 Втр 08:37:44 #60 №327475804 
>>327475742
Пневмонию пока ставим, за объем не похоже
Аноним 09/12/25 Втр 08:38:38 #61 №327475819 
>>327475792
Я про то, на снимке сами метастазы где? В районе бронхов справа?
Аноним 09/12/25 Втр 08:39:09 #62 №327475829 
>>327475804
Ладно, пневмония так пневмония, нижнедолевая. В морхе разберутся за 100 тыщ то
Аноним 09/12/25 Втр 08:40:39 #63 №327475855 
>>327475819
В левом легком, в средостении в периферии ателектаз.
Аноним 09/12/25 Втр 08:41:51 #64 №327475878 
>>327475829
Да! Ебут там их там в жопы накачав теплым физом с гепарином, а потом гречу тепленькую кушают! Уууу содомиты!
Аноним 09/12/25 Втр 08:43:43 #65 №327475913 
>>327475878
Морг. На столе - вскрытый труп. У стола - два патологоанатома, третий
читает заключение о смерти. Первый, разрезая желудок
трупа:
- Ух ты! Гречневая каша! С тушенкой! Вася, будешь?
- Нет, ребята, я плотненько поужинал.
- Ну, как хочешь.
Первые двое достают ложки и с аппетитом выскребают содержимое желудка.
Когда каша подходит к концу, третий поднимает
глаза от заключения о смерти:
- М-да-а-а, ребята, похоже, именно от этой каши он копыта и откинул!
Первые двое выворачивают кашу обратно в желудок и бегут к аптечке.
Третий им вслед, доставая ложку:
- Ребята, да я пошутил, инфаркт у него. Просто я подогретое люблю!
Аноним 09/12/25 Втр 08:43:53 #66 №327475918 
>>327475855
Чёрт, нихуя там не вижу. Не даром всё-таки рентгенолог отдельная профессия
Аноним 09/12/25 Втр 08:44:54 #67 №327475934 
image
>>327475878
>>327475913
Фи, напрягаться еще. Можно просто дождаться свежего поступления.
И с ножа еще едят, да.

А по вопросу из ОП-поста: пригласи ты ее куда-нибудь пожрать за компанию, чего ты теряешь? Типа как свидание но без части про свиданиею
Аноним 09/12/25 Втр 08:47:07 #68 №327475972 
Мне на двачах втирали что всякие ассистентки своим шефам хирургам как Санчо Панса болты насасывают чуть ли не в перекурах а ты меньжуешься
Аноним 09/12/25 Втр 08:51:22 #69 №327476055 
>>327475934
Мы жрем в пультовой! Ууу набьются в пультовую там и давай ебать друг друга в жопы хрючево свое наворачивать, только и прговаривают ух бля, запах такой аж облицовка от стен отслаивается. Мне тож предагают пару половников навернуть, но я вежливо отказываюсь! Потому не могу никуда водить тян жрать, да и обе всего 30 мин, в которыц я ебошу работу а не ем.
Аноним 09/12/25 Втр 08:53:51 #70 №327476100 
>>327475972
Так то чеды хирурги, набьются там там в перевязочную, спирта с аскорбинкой навернут, и давай ебать друг друга в жопы! А у самих выписные эпикризы еще за октябрь не написаны! За сто писят тышь! Уууу содомиты проклятые!
Аноним 09/12/25 Втр 08:55:51 #71 №327476145 
image
>>327476055
А ты не отказывайся. Они же понимают, что ты добрый няша, которого так и хочется накормиться. Чому отказываешься? А там и глядишь, уже мурыжишь ее брухлю у нее дома... И она кричит, оргазмируя: О ДА МОЙ МЕДВЕЖОНОК ТЫ ТАКОЙ БОЛЬШОЙ И СИЛЬНЫЙ
Аноним 09/12/25 Втр 08:57:50 #72 №327476174 
IMG20251209105704.jpg
Где пиздецома?
Аноним 09/12/25 Втр 08:58:38 #73 №327476190 
>>327476145
Есть вероятность что её муж будет всячесеи недоволен таким мувом!
Аноним 09/12/25 Втр 09:00:39 #74 №327476241 
image
>>327476190
Муж объелся груш. Ну и там наверняка же есть няшные лаборанточки, которые не против захомутать большого человека и поиграть с его сисюлями...
Аноним 09/12/25 Втр 09:01:22 #75 №327476251 
>>327476174
Левую гайморову залепило.
Аноним 09/12/25 Втр 09:04:30 #76 №327476321 
image.png
>>327474800 (OP)
Да ты блядь издеваешься. Я итак зашел покапчевать, чтоб отвлечься от снимков, а тут слева

>>327476174
Гайморит слева (пристеночное утолщение слизистой) и вставные зубы
>>327474800 (OP)
Гидрач слева и множественные очаги
Аноним 09/12/25 Втр 09:04:46 #77 №327476329 
>>327474800 (OP)
На пикрилле я так пологаю тяжело заболевание имя ему что то между хранический пиздец и рак 40 стадии, в любом случае пациенту я конечно не врач, но учитывая область поражения, не жить
Аноним 09/12/25 Втр 09:05:37 #78 №327476344 
>>327476321
> , а тут слева
а тут такая же ебала как у меня ща на втором экране.
Аноним 09/12/25 Втр 09:06:17 #79 №327476358 
>>327476055
Чо бля, до сестринской с микроволновочкой ваще не варик дойти?
Аноним 09/12/25 Втр 09:07:10 #80 №327476378 
>>327476241
У них есть уже куны и потомство. Хотя одна новенькая симпатичная, но она в другом корпусе щас, долго её не увижу :-( Нравится её смотреть, красивая!
Аноним 09/12/25 Втр 09:08:02 #81 №327476391 
>>327475918
Аналогично не вижу. Там пневмоторакс по периферии можно надумать, но бля не по всратой фотке эт нахрен оценивать.
sage[mailto:sage] Аноним 09/12/25 Втр 09:09:12 #82 №327476411 
image
>>327476378
Так напиши ей в уютную тележечку или вконтактик: Привет! Давай сходим во Вкусно и точка? Я куплю нам картошку и бургер на двоих. Я не богат, но думаю, что ты доплатишь если что. Поболтаем, познакомимся. Потом мы могли бы пойти на базар, там так уютно и многолюдно, всё как я люблю! Мы будем там ходить и пробовать брынзу у каждой продавщицы, чтобы сэкономить на кафе. Ближе к вечеру мы дойдем с тобой далеко за черту города, я словлю попутку, дам тебе 153 рубля и скажу водителю чтобы вез тебя куда ты только захочешь, а сам пойду домой пешком, разглядывая звезды, и думая о тебе.
Аноним 09/12/25 Втр 09:10:06 #83 №327476431 
>>327475685
>>327475664
Доебусь лишь до "нижних долей"
Если слева - еще 50/50, то откуда вы ебёте, что справа то "нижняя доля".

Поэтому нижней трети легочного поля справа и слева, а все остальное пусть боковухами или КТ добивают и уже конкретику ловят.
Аноним 09/12/25 Втр 09:11:16 #84 №327476461 
>>327476251
До
Аноним 09/12/25 Втр 09:12:04 #85 №327476478 
>>327476321
Да, страдай чо, я страдаю и ты страдай.
Аноним 09/12/25 Втр 09:12:49 #86 №327476501 
>>327476478
Да чо от рентгена то страдать. Не КТ чай в ночную смену. Я сладко попиваю кофе в своем кресле и наслаждаюсь неплохой работой.
Аноним 09/12/25 Втр 09:13:48 #87 №327476520 
>>327476358
Там сидят учатковые и ебут друг друга в жопу, наворачивают свое хрючево и бухтят так что уши в трубочку сворачиваются. А мкроволновка у нас своя есть!
Аноним 09/12/25 Втр 09:15:47 #88 №327476565 
>>327476329
Прост нимножк приболел чо ты сразу начинаешь!
Аноним 09/12/25 Втр 09:16:33 #89 №327476578 
image.png
image.png
>>327476520
Поликлиника чтоль?
Ну тут мои соболезнования.

ОПушка, нук, теперь я тебя спрошу. Чаво такого интересного видишь?
Аноним 09/12/25 Втр 09:16:47 #90 №327476583 
>>327474800 (OP)
ДОВАЙТЕ ОБСУЖАТЬ МИНЯ ЛЮБИМОГО, УИИ!

17900 руб в час и, я стану обсуждать тебя любимого по 8 часов.
Аноним 09/12/25 Втр 09:16:52 #91 №327476584 
>>327476431
Бля друг у нас ровно 1 рентген снимок в прямой проекции. Нам надо дать "диагноз" с описанием, чтобы мы тут друг друга все поняли. Как ещё сказать что патология на снимке внизу лёгких?
Аноним 09/12/25 Втр 09:17:20 #92 №327476592 
>>327476584
а блять, ты же ответил как. Прошу прощения, я быдло ебаное
Аноним 09/12/25 Втр 09:18:49 #93 №327476631 
>>327476584
> Нам надо дать "диагноз" с описанием
Если ты рентгенолог как и я, то хуй им клиницистам блядь за шиворот, а не диагноз. Только заключение и только с формулировками, за которые добрый дядя прокурор потом к тебе не придёт.

А клиницистам блядь головой думать надо и клин мышление врубать.
Аноним 09/12/25 Втр 09:24:52 #94 №327476761 
Как выглядит хуй на рентгене?
Аноним 09/12/25 Втр 09:26:01 #95 №327476785 
image.png
image.png
>>327476761
Чот тип такого. Мягкие ткани, костей там нет. Он на КТ уже поинтереснее выглядит, там и покрутить можно.
Аноним 09/12/25 Втр 09:31:36 #96 №327476896 
>>327476411
1 У нас ток бургенкинг есть
2. Если ты щас попытаешься продавать брынзу на рынке у тебя будет кусок ебаного льда, снаружи -25
3. Край города там пиздец псины жрут лоличек а ледяные ходоки сидят и чай пьют. Не пойду туда!
Аноним 09/12/25 Втр 09:32:17 #97 №327476912 
>>327475378
>>327475146
Нахуй. В сиськи в жизни не сунусь описыватьь
Аноним 09/12/25 Втр 09:33:57 #98 №327476946 
>>327476578
У вас пациент бария наглотался!
Аноним 09/12/25 Втр 09:36:55 #99 №327477006 
>>327476584
Могу все проекции постить если надо
Аноним 09/12/25 Втр 09:37:47 #100 №327477021 
>>327476785
У вас тут хуй!
sage[mailto:sage] Аноним 09/12/25 Втр 09:38:14 #101 №327477031 
camphoto684387517.jpeg
camphoto1804928587.jpeg
Вот вам с ночной смены, немного посижу тут и спать
Аноним 09/12/25 Втр 09:38:16 #102 №327477033 
>>327476912
Мне приходится по дд в первой линии :-(
Аноним 09/12/25 Втр 09:38:28 #103 №327477040 
>>327476946
Да эт понятно. Дивертикул там пищевода. Пациент кушать не может.

>>327477006
Да ес чот встрял или сомневаешься - кидай, хули.

И да, чо у вас за вьювер на работе? Radiant или чот другое?
Аноним 09/12/25 Втр 09:39:08 #104 №327477052 
>>327477031
5 зон было?
Кросивое. Без воды хоть в брюхе и малом тазу?
Аноним 09/12/25 Втр 09:39:19 #105 №327477058 
>>327477031
У вас тут поломка!
Аноним 09/12/25 Втр 09:40:48 #106 №327477091 
>>327477040
Веб морда кометы или штатный от аппарата просмотровщик пиксис 2.4.11.0
Аноним 09/12/25 Втр 09:41:25 #107 №327477097 
>>327477091
>Веб морда кометы
Ой бля... Мои соболезнования.
Не знаю как у вас, но у меня эт дерьмище лагает просто невыносимо.
Аноним 09/12/25 Втр 09:42:41 #108 №327477124 
>>327477052
Агась, ГМ-ШОП-ОГК-ОБП-ОМТ, в брюхе нихуя, а вот в легких кровяка была немношк, он с 15 метров яйцами пезднулся
Аноним 09/12/25 Втр 09:43:51 #109 №327477139 
>>327477097
У всех лагает, и барсик лежит как котик. В кабинете еще дубак :-(
Аноним 09/12/25 Втр 09:45:43 #110 №327477167 
image.png
>>327477124
У меня лично все еще лёгкая паника при виде такого объема, который надо описать СРОЧНО.

Для меня КТ эт чтот медитативное, неспешное, часа 4 поковыряться, найти какую-нить опухоль и прочее говно.

Хз как пересиливать.
Аноним 09/12/25 Втр 09:46:10 #111 №327477176 
>>327477139
Братишка, мне даже теперь вдвойне любопытно. Область случайно не Самарская?
Аноним 09/12/25 Втр 09:46:14 #112 №327477177 
>>327477124
За водкой путешествовал перед падением?
Аноним 09/12/25 Втр 09:46:41 #113 №327477190 
>>327477176
Иная!
Аноним 09/12/25 Втр 09:47:13 #114 №327477198 
>>327477167
Я хуй знаю, тебе даж рекомендованно мскт не написать.
Аноним 09/12/25 Втр 09:47:59 #115 №327477211 
>>327477167
Ну у нас срочность только на такие вот ПАН-КТ и инсульты, остальную рутину можно неспеша. А ебучих свошников так ваще на отъебись пишут все
Аноним 09/12/25 Втр 09:48:39 #116 №327477220 
>>327477177
Не, работяга с автовышки упал
Аноним 09/12/25 Втр 09:50:02 #117 №327477249 
>>327477220
За водкой на ней путешествовал на ней?
Аноним 09/12/25 Втр 09:50:28 #118 №327477257 
>>327477190
Ахуеть. Я думал эт ток в моей мухосрани барс и комета, а эт дерьмо общероссийским становится.
>>327477198
Да яб с радостью, ток мое мнение немного забыли спросить.
>>327477211
За косяки на экстренной КТ сильно ебут? Ну хз, в нативном КТ в печени там гемангиому проебал и она там на каких-то 5 хаунсфилд еле еле видна, если знать где смотреть.
Аноним 09/12/25 Втр 09:55:24 #119 №327477348 
>>327477249
Не ебу, но запаха алкоголя не было вроде
Аноним 09/12/25 Втр 09:55:40 #120 №327477351 
17650073545920.jpg
IMG20251206110734.jpg
292404full.jpg
У анона в каком треде подобном диагностировали
Аноним 09/12/25 Втр 09:58:14 #121 №327477402 
>>327477257
> сильно ебут?
Зависит от последствий, сам пынимать должен. Но, обычно на такое экстренное клиницисты сами прибегают и смотрят вместе, фоткают всё нужное для себя, а описание ждут уже позже, так что риск проебать невысок.
Аноним 09/12/25 Втр 09:58:52 #122 №327477418 
>>327477351
У него РС.
Аноним 09/12/25 Втр 10:13:15 #123 №327477773 
4108.jpg
Как же заебали эти спины. Хоть вам подалуюсь)))
Аноним 09/12/25 Втр 10:13:23 #124 №327477774 
>>327477348
Не доехал значит! А был бы в говно только здоровее бы стал!
Аноним 09/12/25 Втр 10:14:23 #125 №327477800 
IMG20251209114239.jpg
Чо тут у нас?
Аноним 09/12/25 Втр 10:15:49 #126 №327477841 
captain.webp
>>327474800 (OP)
КТООООО ???? Кто проживает на дне морском?
Аноним 09/12/25 Втр 10:17:28 #127 №327477893 
>>327476785
чейто он возбудилсмя? оператор рентген-пушки симпотная?
Аноним 09/12/25 Втр 10:20:23 #128 №327477960 
17651744402420.jpg
>>327477418
Ну это слишком просто.

Хули не отдать составления протоколов/заключений исследований нейронке какой-нибудь? на выходе прост проверить для самоуспокоения.
Аноним 09/12/25 Втр 10:21:15 #129 №327477985 
>>327477800
Какая-то рентгеннегативная пластина в лобной кости?
Аноним 09/12/25 Втр 10:21:15 #130 №327477986 
>>327477893
Анус ему пальпировал!
Аноним 09/12/25 Втр 10:22:10 #131 №327478005 
>>327477985
Это лобные пазухи жи есть!
Аноним 09/12/25 Втр 10:22:18 #132 №327478011 
>>327477800
Хороший удар с правой?
Аноним 09/12/25 Втр 10:23:09 #133 №327478027 
>>327478011
Обычный гайморит жи
Аноним 09/12/25 Втр 10:23:18 #134 №327478032 
>>327478005
Ну тогда фронтит с одной стороны, не ебу
мимо психиатр
Аноним 09/12/25 Втр 10:23:25 #135 №327478037 
>>327474800 (OP)
Ну тут явно рак.
Можно заказывать поминки
Аноним 09/12/25 Втр 10:24:11 #136 №327478060 
>>327477800
Рак гортани и явные следы лоботомии
Аноним 09/12/25 Втр 10:24:56 #137 №327478075 
>>327478032
Гайморит жи! Почти угодал! Слыш мозговед, чому я проснулся вчера в ужасе от того что приснилось что за мной придут искать ракету которую я спер? Поясни за сны!
Аноним 09/12/25 Втр 10:25:44 #138 №327478101 
>>327478060
Вывих жопы и пересадка кала!
Аноним 09/12/25 Втр 10:26:05 #139 №327478115 
>>327477031
Самокатчик поздно закрыл сезон
Этот походу навсегда
Аноним 09/12/25 Втр 10:26:08 #140 №327478119 
>>327478037
Сначала химиотерапия!
Аноним 09/12/25 Втр 10:26:31 #141 №327478126 
>>327478075
Да заебался наверное, хз. Если однократно и есть критика, что сон - это всего лишь сон, тогда похуй, попей атаракс, выспись там и все такое и хуй с ним
Аноним 09/12/25 Втр 10:28:00 #142 №327478162 
>>327476578
Рак гортани.
Докурился безвредного пара, пердюшок
Иди подбирай надгробие
Аноним 09/12/25 Втр 10:29:03 #143 №327478190 
>>327475571
Двустороний туберкулез
Аноним 09/12/25 Втр 10:29:19 #144 №327478197 
>>327478126
Иногда снится тревожное :-(
Аноним 09/12/25 Втр 10:33:04 #145 №327478286 
>>327478190
ничуть! Это пневмония!
Аноним 09/12/25 Втр 10:33:32 #146 №327478302 
IMG20251209122807.jpg
Чо тут у нас?
Аноним 09/12/25 Втр 10:33:54 #147 №327478314 
>>327478286
Какая разница то?
Аноним 09/12/25 Втр 10:34:17 #148 №327478321 
>>327478302
Вывих хуя
Аноним 09/12/25 Втр 10:35:18 #149 №327478339 
>>327475146
Судя по всему рак анальной жоппы
Аноним 09/12/25 Втр 10:35:33 #150 №327478347 
>>327477800
Тут такт двусторонний вч синусит в стадии эксудации слева и левосторонний гайморит с наличием горизонтального уровня слева.
Полисинусит-с
Аноним 09/12/25 Втр 10:35:47 #151 №327478354 
>>327478314
1. Место лечение разное
2. Сроки госпиталлизации разные
Аноним 09/12/25 Втр 10:35:59 #152 №327478358 
>>327478302
Какой то хрящ или что то там в спине страшное больное
Аноним 09/12/25 Втр 10:36:13 #153 №327478365 
>>327478321
нит!
Аноним 09/12/25 Втр 10:36:23 #154 №327478370 
>>327478126
>Атаракс
Ууу сука, лишь бы на таблетки подсадить. Магния оротат пусть лучше пару месяцев принимает.
Аноним 09/12/25 Втр 10:36:25 #155 №327478373 
>>327478354
Итог то один
Аноним 09/12/25 Втр 10:36:42 #156 №327478380 
>>327478347
Да
Аноним 09/12/25 Втр 10:36:51 #157 №327478384 
>>327477960
>Хули не отдать составления протоколов/заключений исследований нейронке какой-нибудь
Локальные ЛЛМ слишком тупые (12гб 3060 на работу притащил, но бля не, не варик)

А в глобальную гопоту персональные данные в DICOM кидать банально боязно. Выебут до уголовки и правильно сделают. И отследить изи со стороны нашего IT отдела. Поэтому лучше не ахуевать.
Аноним 09/12/25 Втр 10:37:08 #158 №327478396 
>>327478358
Но ведь это нога!
Аноним 09/12/25 Втр 10:37:49 #159 №327478414 
>>327478365
Ну тогда перелом спины 100%
Аноним 09/12/25 Втр 10:38:06 #160 №327478422 
>>327478126
>>327478032
Ложусь в 8 вечера, встаю в 12 ночи. Тупо на автопилоте и никак. В 3 ложусь, просыпаюсь убитым нахуй.

Ток атараксом шлифоваться или мелатонин попробовать для начала?
Аноним 09/12/25 Втр 10:38:25 #161 №327478429 
>>327478302
Шпора
Аноним 09/12/25 Втр 10:38:47 #162 №327478440 
>>327478370
Я магний кушаю! Спазмы стали меньше!
Аноним 09/12/25 Втр 10:38:47 #163 №327478441 
>>327478396
Нога, рука... Ты душный
Аноним 09/12/25 Втр 10:39:15 #164 №327478452 
>>327478373
Разный же!
Аноним 09/12/25 Втр 10:39:40 #165 №327478460 
123
Аноним 09/12/25 Втр 10:39:48 #166 №327478462 
>>327478414
Но ведь это нога!
Аноним 09/12/25 Втр 10:39:48 #167 №327478463 
17652659740074241400467354752945.jpg
>>327478440
Ты буквально пикрил
Аноним 09/12/25 Втр 10:40:17 #168 №327478478 
>>327478429
И еще что?
Аноним 09/12/25 Втр 10:40:19 #169 №327478480 
>>327478452
А ты оптимист
Аноним 09/12/25 Втр 10:40:41 #170 №327478490 
>>327477960
Нейронки кроме ФЛГ ничего нормально не угадывают, так что по-сути все равно писать врачу.
Аноним 09/12/25 Втр 10:41:09 #171 №327478503 
>>327478462
Ну формально нога крепится к спине. В принципе направление угадал, что уже неалохо для филолога
Аноним 09/12/25 Втр 10:42:47 #172 №327478550 
>>327478463
откуда у тебя моя фотокарточка[?/s] Ниии я нитакой! Другой! Иной!
Аноним 09/12/25 Втр 10:43:13 #173 №327478563 
>>327478480
Нет я фед стандарт читал!
Аноним 09/12/25 Втр 10:43:55 #174 №327478574 
>>327478478
>>327478302
Рентгенография голеностопного сустава и задних отделов стопы в боковой проекции.

Костная структура дистального отдела большеберцовой кости, таранной и пяточной костей прослеживается отчётливо, трабекулярный рисунок сохранён. Контуры суставных поверхностей в целом ровные, замыкательные пластинки прослеживаются. Суставная щель голеностопного сустава обычной ширины. Признаков острых переломов, грубой деформации или вывиха не определяется.

В проекции заднего отдела голеностопного сустава, кзади от таранной кости, визуализируется дополнительная овальная тень костной плотности с чёткими, местами бугристыми контурами, трабекулярной структурой, контактирующая с костями сустава.

На нижнем крае пяточной кости определяется краевой костный разрастание в области плантарной поверхности (подошвенный остеофит).

Мягкие ткани без грубых рентгенологических изменений.

Заключение
Рентгенологически – дополнительное костное образование в заднем отделе голеностопного сустава (вероятнее всего вариант дополнительной кости/костный разрастание), подошвенный остеофит пяточной кости. Данных за острый перелом и вывих не получено.
Аноним 09/12/25 Втр 10:44:28 #175 №327478585 
>>327478503
Для филолога произвольно какать в одном месте уже неплохо!
Аноним 09/12/25 Втр 10:44:31 #176 №327478588 
test
Аноним 09/12/25 Втр 10:44:45 #177 №327478593 
>>327478490
Гопота кости в целом норм пишет. Если сильно заёбыват, то закидываю, но чаще всего ручками фиксить приходится, да.
Аноним 09/12/25 Втр 10:45:48 #178 №327478624 
>>327478286
>>327478190
Двусторонние инфильтративные изменения.

А тубик или пневма - пусть бля сами ебутся, я вам чо гистолог и в ткань залез? Я по теням нахуй гадаю
Аноним 09/12/25 Втр 10:47:52 #179 №327478663 
>>327478593
Ну может для травматологии сойдет, окда. Но брюхо или мозги закинь, результат прям сильно хуйня будет.
Аноним 09/12/25 Втр 10:49:00 #180 №327478689 
b181rkhf1crf1.png
>>327478384
Соглы, про риски отъехать на бутылку чет я не продумал момент. Один хуй думаю лет через 10-15 запилят встроенный софт и останутся чисто лаборанты кнопки давить да трубки в анус пихать. Лет через 30 вообще как байки будут интернеам рассказывать что были когда-то макаки которые сидели и глазками смотрели всех этих шакалов и писали сами всё.
Аноним 09/12/25 Втр 10:51:15 #181 №327478746 
image.png
>>327478689
> Один хуй думаю лет через 10-15 запилят встроенный софт и останутся чисто лаборанты кнопки давить да трубки в анус пихать
Я рассчитываю уже чилить на пенсии.
Правда меня уже ща тенденция смущает.
ВСЯ нахуй конференция рентгенологов забита ИИ почти везде.
Аноним 09/12/25 Втр 10:51:38 #182 №327478758 
>>327478624
Ууу гистологи запрутся там в своем морге с лаборантками и давай друг друга в формалином с парафином обмазывать! А патом ябут друг друга в жопы за сто тыш! Сдашь им пол почки тебе гистопрепарат с мышиныц хуй показывают, а куда дели остальное не говорят! Ууу содомиты!!!
Аноним 09/12/25 Втр 10:52:30 #183 №327478778 
>>327478689
А сажать кого будут за косяки нейронки?
Аноним 09/12/25 Втр 10:54:02 #184 №327478814 
17644962743150.jpg
>>327478758
Они образцы РУССКАГА ДНК ворогам РУСИ-МАТУШКИ отправляют.
Аноним 09/12/25 Втр 10:55:00 #185 №327478843 
>>327478778
А все просто. Врача рентгенолога.
Темка простая. У врача рентгенолога есть КРУТАЯ© НЕЙРОСЕТЬ©

Ну значит один грач диагност может не 10 исследований описать, а 150. Хуле, у него же нейросеть.

А когда косяк будет, то и ебать надо будет грача кривого. Он же врач, а нейросеть это просто инструмент, хуле он пропустил!
Аноним 09/12/25 Втр 10:58:10 #186 №327478918 
>>327478814
Густое пахучее льют на мельницу врага так сказать! Ууу содомиты!
Аноним 09/12/25 Втр 11:02:43 #187 №327479031 
>>327478843
Ну и нафига ему тогда в эту хуйню вступать?
Аноним 09/12/25 Втр 11:03:14 #188 №327479047 
IMG20251209125856.jpg
Чо тут у нас?
Аноним 09/12/25 Втр 11:05:52 #189 №327479118 
>>327479047
Омерзительно хуевая укладка. Выебать лаборанта за такое в туза. Ну и гидрач справа.

>>327479031
Да как бы выбор без выбора у всех врачей-рентгенологов сделают. Мягонько уже всех продавливают. Местами увеличивают поток пациентов, правятся стандарты кол-ва исследований, формируются ГИГАХРУЩИ-центры где рентгенологи пишут удалённо, а не видят пациента вживую.
Аноним 09/12/25 Втр 11:06:28 #190 №327479135 
>>327479047
И да, средостение вправо уехало, нельзя исключить ателектаз
Аноним 09/12/25 Втр 11:06:43 #191 №327479143 
>>327479031
Его спросить забыли.
Аноним 09/12/25 Втр 11:11:48 #192 №327479281 
>>327479118
Пися встала! Зочим ты травишь содомит! Джва часа бы джва часа, её, положил бы голенькую на колени и шлепал по попке кишковским, но такая никогда :-( Как же хочется111 Там ваще-то не гидрач справа, и сердце слева, у кого-то лапки она снимок не развернула.
Аноним 09/12/25 Втр 11:13:13 #193 №327479325 
>>327479135
Там снимок не развернули и оно не уехало, посмотри на правый край, там ебанутая дилатация левого желудочка
Аноним 09/12/25 Втр 11:14:52 #194 №327479364 
>>327479143
Поувольняются все к хуям да и все, и чо делать будут?
Аноним 09/12/25 Втр 11:15:12 #195 №327479373 
>>327479281
>у кого-то лапки она снимок не развернула.
Не ток не развернула, но еще и L и R нахуярила по дефолту.

Ну за такое бдсм анальные кары так то надо делать, бля.
Аноним 09/12/25 Втр 11:15:54 #196 №327479399 
>>327479364
Новые придут. Целевые. Которые другой жизни не видали. Качество медицины еще сильнее просядет, но сажать будет кого, ты не ссы.
Аноним 09/12/25 Втр 11:16:49 #197 №327479425 
>>327479399
Ониж в терапию на участок придут, у них денег нет на рентген учитс
Аноним 09/12/25 Втр 11:19:57 #198 №327479510 
>>327479425
Так им еще один контракт кинут, целевой на 5 лет с ордой в рентгене. Ток с обещанием что они будут чилово сидеть в кабинете, а не 100 бабок по дворам оббегать помирая на холоде.
Они с радостью в рентген и побегут не шаря и не думая.


Я ес чо буквально этот путь сам прошел, целевое дорабатывают в рентгене вот еще 4 месяца осталось.
Аноним 09/12/25 Втр 11:21:04 #199 №327479538 
>>327479373
Джва часа бы покарал ие джва часа! Голенькую по попке кишковским шлепать, а потом анально карать прямо ТУДА, аппаратом боброва! Пися опять всталаэчтож ты творишь содомит! Она в другом корпусе хули я ей сделаю туда почти час по морозу идти. Позвонил сказал мнямк пук хорошо делайте, плохо не делайте пожалуйста, пнятьненько?
Аноним 09/12/25 Втр 11:21:13 #200 №327479540 
17412650929840.jpg
Пилите лучше стори когда на первый взгляд заурядное заключение с понятной пиздецомой или её отсутствием по факту оказывалось тем о чём даж никто подумать не мог глядя на снимки. К кому следаки или эксперты судебные приходили не с совсем добрыми намерениями тож хотелось бы послушать.
Аноним 09/12/25 Втр 11:21:40 #201 №327479550 
>>327479510
Так они вопя после окончания договопа убегут оттудава
Аноним 09/12/25 Втр 11:25:00 #202 №327479667 
>>327479540
Приходили, сказал что ое бы и так помер бы нахой. Год на нервяках дело закрыли. Там в участе цирроза легкого от тубика хуйнул ателектаз от центрального рака, я проебал не выявил по фог. Через 2 мес ему выставили объем, к лету помер. По счастью там была злоебучая пиздецома, с высокой летальностью. И удалось пруфануть что выявление на 2 мес позже никак не сказалось на прогнозе заболевания и тактике лечения.
Аноним 09/12/25 Втр 11:26:18 #203 №327479711 
image.png
>>327479538
>Позвонил сказал мнямк пук хорошо делайте
У меня обычно заведующий их ебёт без смазки за такие вещи. Потому что тут и до прокурора дойти может ведь, поэтому нахуй нахуй.

Но понимаю и мои соболезнования.

>>327479550
Новые придут. Кто-нить сядет, кто-нить убежит, кто-нить останется, ибо уже освоились и так, а хуле, зп идёт да пойдёт как-нибудь.
Аноним 09/12/25 Втр 11:29:37 #204 №327479827 
>>327479711
Ну я в описании снимка написал что укладка дефектат. В теории должно предотвратить заключение в мрачную жопоебальню.
Аноним 09/12/25 Втр 11:33:31 #205 №327479968 
>>327479711
Да и вообще я не ощущаю морального права требовать от лаборантов чего-то при окладе меньше мрот и с совмещением получающих 25-28 к. Пришли на работу, произвольно какают, глаз себе ложкой на обеде не выбили, уже успех!
Аноним 09/12/25 Втр 11:33:59 #206 №327479992 
>>327479667
Прохладная стори.
Аноним 09/12/25 Втр 11:34:20 #207 №327480009 
IMG20251209133159.jpg
Чо тут у нас?
Аноним 09/12/25 Втр 11:35:16 #208 №327480035 
>>327479992
Ну там ретроспективно видно было что затемнение выросло, но я не одуплил, не послал на дообследование.
Аноним 09/12/25 Втр 11:36:48 #209 №327480094 
>>327479540
Мой вывод этой профессии - никогда не выёбывайся и всегда сиди на очке, даже в самом банальном и простом.

Есть дефка. Неебаца крутышка, залетела с двух ног, хотела на КТ ну ваще такая шарящая не то что мы тут долбоёбы. Краснодипломщица, умница, хуюмница.

Попадает ей мужик. Подозрение на пневмонию. Она её описывает и его отправляют домой пиздовать ленчить пневмонию. А у него там нахуй пневмоторакс. И он блядь был, просто небольшой, но увидеть можно было. И поступает он спустя неделю и в стационаре же откисает.

И пиздося. Нахуй, не советую тут несерьезно и на расслабоне даже в самых изёвых вещах смотреть.
Аноним 09/12/25 Втр 11:37:50 #210 №327480127 
>>327480009
Да артроз слева I-II ст, не?
Аноним 09/12/25 Втр 11:37:59 #211 №327480131 
>>327478422
Как давно началось? Это всегда так или периодами? Можешь связать это с каким-то внешним провоцирующим фактором, ну типа, что после ЧЕГО-ТО стало так?
Аноним 09/12/25 Втр 11:39:08 #212 №327480161 
>>327479667
А хули проебал сам не думал чому так вышло? Насмотренности тогда мож мало было или само исследование хуево выполнено?
Аноним 09/12/25 Втр 11:40:22 #213 №327480199 
>>327480131
С недели 2-3 как пошло. Сбил режим во время отпуска, а потом днём после работы спать вырубался на часа 3, и ночами засиживался. Сугубо бытовые вещи.

Ну и нервяка прям дохуя за последнее время, но он такой, бытовой но прям стрессак.
Аноним 09/12/25 Втр 11:41:02 #214 №327480219 
>>327480199
P.S. Сейчас днем не сплю, но даже если вечером в 10 ложусь, один хуй в 12 ночи такой прикол.
Аноним 09/12/25 Втр 11:48:52 #215 №327480461 
Вообще лаборанта которая накосячила с легкими няшна довольно, тощая, виктивная весьма, краснеет смущается когда ей говоришь мням пук плохо неделайте пожалуйста, хорошо делайте, понятненько? Мамочка двух сынишек, по её словам счастлива в браке.
Аноним 09/12/25 Втр 11:49:21 #216 №327480470 
>>327480127
дооо
Аноним 09/12/25 Втр 11:49:30 #217 №327480476 
>>327480461
У меня все лаборантски РПЦ нахуй. Есть няшные, но я уже сам унылый женатик.
Аноним 09/12/25 Втр 11:52:49 #218 №327480553 
>>327480094
Проблема когда у тебя 130 фог естественно без второго чтения 50-70 рентгенов и еще 15-25 ммг, сохранять один и тот же уровень бдительности все время невозможно. Когда ты в год без второго чтения смотришь по 36-38 к человек тока по фог, неизбежно будут проебы, как ты не рви жопу.
Аноним 09/12/25 Втр 11:54:45 #219 №327480606 
>>327480553
У меня стационар. Тут нет ФГ и поток гораздо спокойнее. Ну 30 поступивших в вечер приёмника эт плотный день. 50 - эт нахуй пиздец, как так можно я уволюсь
Аноним 09/12/25 Втр 11:55:20 #220 №327480628 
Без названия (1).png
>>327480094
Нихуяж себе. На всякий случай теперь буду результаты исследований своей тушки в неронку закидывать или лучше за вторым мнением идти. Не хотеть откиснуть из-за ЧСВшной шаболды.
Аноним 09/12/25 Втр 11:57:26 #221 №327480689 
>>327480161
Он был р+ с тубиком, перенесенным с 2014 года без динамики был. Чтоб его предыдущий посмотреть надо было выйти из этой учетки, зайти в другую учетку, подождать пока все прогрузится, подождать минут 5-7 пока база архивная прогрузится, потом повторить эту манипуляцию обратно. Если там два снимка рядом поставить, то видно что тень побольше стала. Без прямого сравнения неочевидно. Вот и проебал вспышку. В тот день по фог 183 пришло, ибо поломался второй аппарат. Но для дяди следователя это все малоебучие факты.
Аноним 09/12/25 Втр 11:58:22 #222 №327480723 
>>327480161
Он был р+ с тубиком, перенесенным еще в тюряске, с 2014 года без динамики был. Чтоб его предыдущий посмотреть надо было выйти из этой учетки, зайти в другую учетку, подождать пока все прогрузится, подождать минут 5-7 пока база архивная прогрузится, потом повторить эту манипуляцию обратно. Если там два снимка рядом поставить, то видно что тень побольше стала. Без прямого сравнения неочевидно. Вот и проебал вспышку. В тот день по фог 183 пришло, ибо поломался второй аппарат. Но для дяди следователя это все малоебучие факты.
Аноним 09/12/25 Втр 12:00:58 #223 №327480793 
>>327480606
50 это обычный день с 2х аппаратов, если движ и кипеш то 70+ фог еще этот 100+ и мамограф. Стационар ты еще как-то можешь контролировать что смотришь, на фог ебаный поток. А то что ты там выявил никого не ебет, ебут за ошибку. Одна ошибка и ты ошибся!
Аноним 09/12/25 Втр 12:01:32 #224 №327480813 
image.png
image.png
image.png
>>327479047
Аноним 09/12/25 Втр 12:05:00 #225 №327480933 
>>327480793
Ну я к тому, что у той ДЕВОТЬКИ было вообщбе около 20 исследований за день и глазками могла бы посильнее посмотреть, когда ей привозили тело.
Аноним 09/12/25 Втр 12:05:22 #226 №327480948 
>>327480813
LEZHA блядь
sage[mailto:sage] Аноним 09/12/25 Втр 12:06:07 #227 №327480973 
>>327474800 (OP)
Иди нахуй, зачем ты используешь манеру речи как у анимепидора. Иди в другом месте кривляйся.
Аноним 09/12/25 Втр 12:06:52 #228 №327480991 
У меня был пострадавший, смотрю на легких хуета вверху справа, какая-то мелкая невнятная, грю может рак давайте кт. КТ делают нихуя, на всякие терапевты на бронхоскопию, а там таки да, рост по ходу слизистой бронха довольно злой карциномы первичн очаг. Прооперировали вроде до сих пор жив, но для меня то хули толку что я выявил пиздецому там где не должен был и там где кт обосралось? Ебать то меня будут за ошибки, за успехи всем похуй.
Аноним 09/12/25 Втр 12:08:14 #229 №327481042 
>>327480991
А с чего он вообще обратился к врачу? Наверное много кашлял?
Аноним 09/12/25 Втр 12:08:25 #230 №327481047 
>>327480933
Там прост подводный в том что стоя и сидя они же в разную сторону смотрят. В одном случае надо повернуть в другом нет. Вот и путаются постоянно.
Аноним 09/12/25 Втр 12:09:02 #231 №327481061 
>>327480476
Ебал их в проявочной?
Аноним 09/12/25 Втр 12:09:44 #232 №327481079 
>>327480723
Правда вообще что жирничи тубиком не болеют? Мне фтизиатр помню втирал тип это болезнь худых, всегда жри хорошо. Но он такой старый был шо пиздец, моментами задвигал мне про эпидемиологическую обстановку в нашем районе ДС2, очаги какие-то, день рождения детские, про бациловыделетиелей каких-то которые шарятся с открытой формой а их необходимо срочно изыскать и ссаными тряпками изгнать на принудительное захранение лечение. А я к нему чисто зашёл по контакту анализы получить.
Аноним 09/12/25 Втр 12:10:05 #233 №327481089 
>>327480973
Причин тряски? Я ваще в другом городе хули ты мне сделаешь? За мат извени!
comments powered by Disqus