Сохранен 88
https://2ch.su/b/res/325598580.html
24 декабря 2023 г. Архивач восстановлен после серьёзной аварии. К сожалению, значительная часть сохранённых изображений и видео была потеряна. Подробности случившегося. Мы призываем всех неравнодушных помочь нам с восстановлением утраченного контента!

Здравствуй двачик! Тут все мои друзья, потому бущем вместе с вами играть в доктора. Я буду постить ф

 Аноним 16/10/25 Чтв 08:09:21 #1 №325598580 
IMG20251016095819.jpg
Здравствуй двачик! Тут все мои друзья, потому бущем вместе с вами играть в доктора. Я буду постить фоточки а вы угадывать пиздецомы.

Откололась пломба, оказалось под ней кариес был, пришлось зуб депульпировать 13 к отдал за ремонт печальное это.

Еще у меня кулинарныц паралич, что-то вкусное надо после работы покушать, не знаю что купить или приготовить. Нужно советов мудрых!

Штош погнали!
Аноним 16/10/25 Чтв 08:21:18 #2 №325598813 
IMG20251016100939.jpg
Найдите поломку!
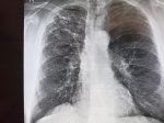
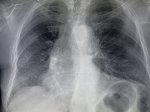
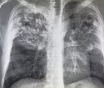
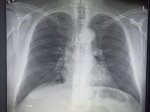
Аноним 16/10/25 Чтв 08:22:29 #3 №325598833 
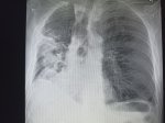
IMG20251016101810.jpg
Где пиздецома?
Аноним 16/10/25 Чтв 08:23:00 #4 №325598844 
>>325598813
что за пятно в мозге?
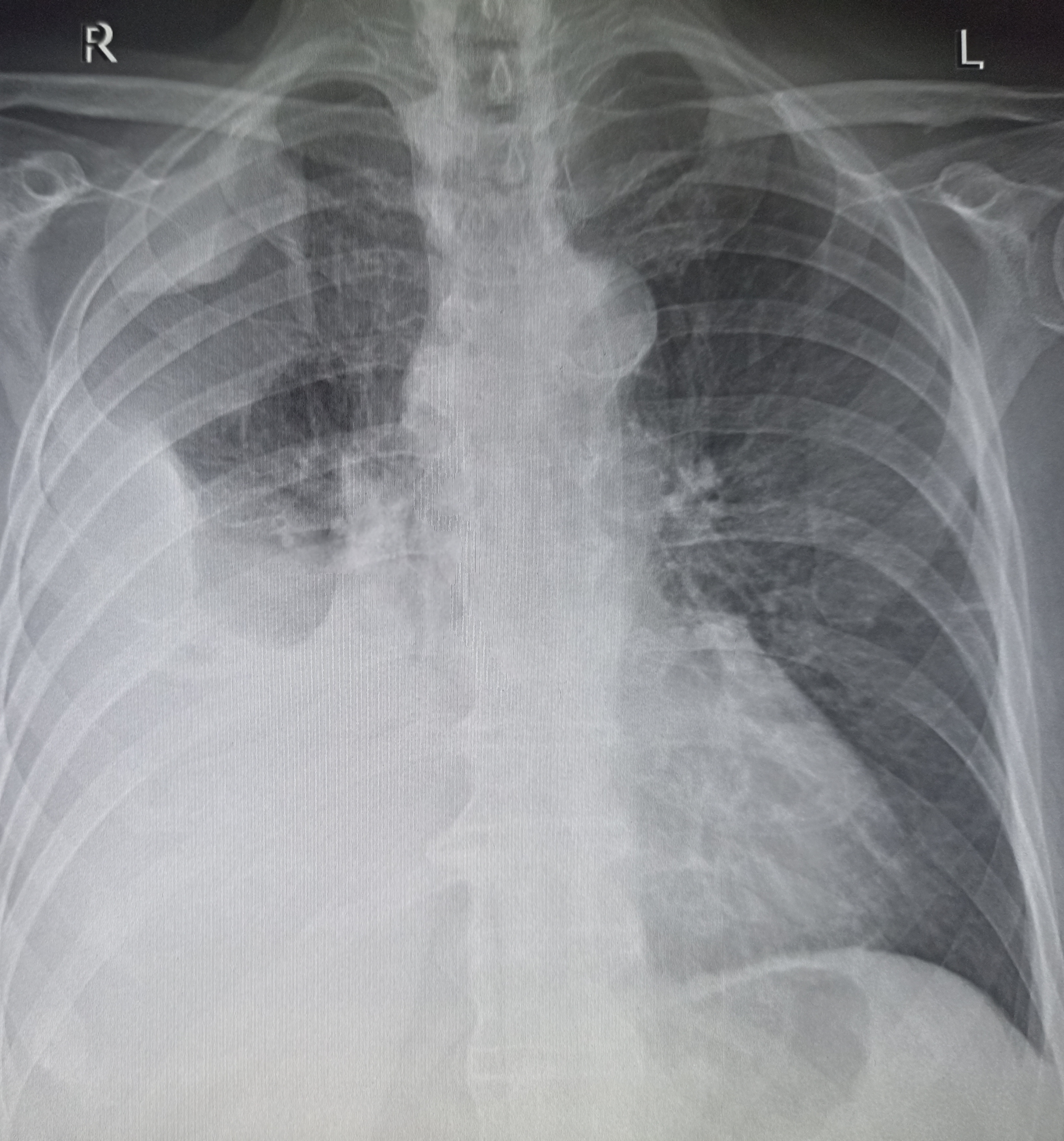
Аноним 16/10/25 Чтв 08:23:05 #5 №325598846 
IMG20251016095724.jpg
Где пиздецома?
Аноним 16/10/25 Чтв 08:23:52 #6 №325598856 
>>325598844
Это дырка в кости же
Аноним 16/10/25 Чтв 08:35:40 #7 №325599083 
IMG20251014105834.jpg
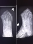
Чо тут у нас?
Аноним 16/10/25 Чтв 08:43:03 #8 №325599234 
>>325599083
Удар об угол дивана?
Аноним 16/10/25 Чтв 08:44:49 #9 №325599274 
>>325599234
Ни, прост вальгусная деформация
Аноним 16/10/25 Чтв 08:45:32 #10 №325599295 
IMG20251013130959.jpg
Чо тут у нас?
Аноним 16/10/25 Чтв 08:46:41 #11 №325599324 
IMG20251009125406.jpg
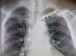
Где пиздецома?
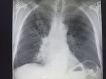
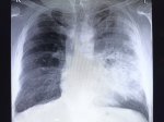
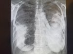
Аноним 16/10/25 Чтв 08:56:19 #12 №325599559 
IMG20251008114159.jpg
Чо тут у нас?
Аноним 16/10/25 Чтв 08:58:02 #13 №325599617 
>>325599559
Типичный рак легких
Аноним 16/10/25 Чтв 08:58:28 #14 №325599625 
IMG20251008112937.jpg
Где пиздецома?
Аноним 16/10/25 Чтв 08:58:50 #15 №325599636 
>>325599617
Сфигаль?
Аноним 16/10/25 Чтв 09:03:31 #16 №325599775 
>>325598580 (OP)
оу здлявствуйте мистер доктоп а покажите туберкулез пожалуста помоему у меня тубик хочу на снимке посмотреть
Аноним 16/10/25 Чтв 09:07:11 #17 №325599855 
>>325599636
Батя умер от такого, мне лень искать снимки
Аноним 16/10/25 Чтв 09:07:34 #18 №325599870 
>>325599775
Сегодня подтвержденных пока не было, тубик ваще очень разныц бывает по рентген картине.
Аноним 16/10/25 Чтв 09:08:24 #19 №325599891 
IMG20251016110751.jpg
Где пиздецомы?
Аноним 16/10/25 Чтв 09:09:18 #20 №325599913 
image.png
>>325599636
Вот
Аноним 16/10/25 Чтв 09:09:35 #21 №325599918 
>>325598580 (OP)
Не создавай тред. Не интересно. Ты не доктор ты просто оператор.
Аноним 16/10/25 Чтв 09:10:57 #22 №325599950 
image
image
>>325598580 (OP)
Привет, хрэй-кун, у нас тут тихо и спокойно сегодня, КАК В МОРГЕ. Когда не знаешь что готовить - готовь плов или пасту болоньезе. Быстро, вкусно, просто и нажористо. Базарю, еще захочешь.
Аноним 16/10/25 Чтв 09:16:31 #23 №325600080 
IMG20251016111451.jpg
Чо тут у нас ?
Аноним 16/10/25 Чтв 09:17:33 #24 №325600100 
>>325599950
Плов я вчера доел, в вс приготовил, а от макарошек я с диетической целью отрекся не могу контролировать их поедание :-(
Аноним 16/10/25 Чтв 09:17:43 #25 №325600106 
>>325600080
пизда твоей матушки
Аноним 16/10/25 Чтв 09:18:08 #26 №325600117 
>>325599918
Оператор лаборант же, он фоткает я описываю.
Аноним 16/10/25 Чтв 09:20:05 #27 №325600162 
>>325600080
Коксоартроз
Аноним 16/10/25 Чтв 09:20:28 #28 №325600176 
image
>>325600100
Хм... то есть ты слегка...пухленький, скажем так, хехех? Тогда может быть еще одно блюдо придется тебе по душе - простые курочки с картошечками в рукаве для запекания? Усилий ноль, сытно и полезно.
Аноним 16/10/25 Чтв 09:20:46 #29 №325600187 
IMG20251016112004.jpg
Чо тут у нас?
Аноним 16/10/25 Чтв 09:22:16 #30 №325600221 
17574995531891.png
>>325598580 (OP)
>Еще у меня кулинарныц паралич, что-то вкусное надо после работы покушать, не знаю что купить или приготовить. Нужно советов мудрых!
Говна наверни, ублюдок тупорылый.
Аноним 16/10/25 Чтв 09:22:18 #31 №325600223 
>>325600176
Гораздо более чем слегка. Вот чот хз остался ли еще рукав этот или потратил уже весь. Давно в нем ничего не готовил.
Аноним 16/10/25 Чтв 09:22:41 #32 №325600235 
>>325600221
Причина детонации?
Аноним 16/10/25 Чтв 09:22:53 #33 №325600240 
>>325600187
Скелет.
Аноним 16/10/25 Чтв 09:23:05 #34 №325600245 
IMG20251016112004.jpg
Чо тут у нас?
Аноним 16/10/25 Чтв 09:23:29 #35 №325600255 
>>325600240
грудная клетка жи!
Аноним 16/10/25 Чтв 09:24:13 #36 №325600270 
image
>>325600223
А сколько ИМТ? Алсо, тогда могу предложить еще ГРЕЧУ ПО КУПЕЧЕСКИ, такому корпулентному КУПЦУ С АППАРАТОМ
Аноним 16/10/25 Чтв 09:25:53 #37 №325600303 
>>325600245
видимо, состояние после АКШ
Аноним 16/10/25 Чтв 09:32:26 #38 №325600448 
>>325600303
угу
Аноним 16/10/25 Чтв 09:32:54 #39 №325600460 
>>325599891
тут явно что то справа. Там скобы после операции, туда отклоняется трахея (?) и средостение. Может часть легкого удалили?
Аноним 16/10/25 Чтв 09:33:57 #40 №325600478 
>>325600270
Чо-то неоч люблю гречу, давно не ел. ИМТ где-то 31-32.
Аноним 16/10/25 Чтв 09:34:58 #41 №325600497 
>>325599625
тут затемнения двухсторонние. Почему бы не пневмония?
Аноним 16/10/25 Чтв 09:35:08 #42 №325600498 
>>325600460
Переломы ребер не смущают? Ну и там траьею толкает скорее всего расширеная аорта и камеры сердца.
Аноним 16/10/25 Чтв 09:36:18 #43 №325600523 
IMG20251016113543.jpg
Чо тут-у нас?
Аноним 16/10/25 Чтв 09:36:48 #44 №325600535 
>>325600497
Ну таки да
Аноним 16/10/25 Чтв 09:37:46 #45 №325600559 
>>325600478
Ну я тоже не люблю - одно время очень много и часто ее ел. Так что ее главное есть НЕ ЧАСТО, а так мог бы тебе предложить, мой черно-белый БОЛЬШОЙ БРАТ еще кус-кус и булгур, дабы разнообразить свой рацион в качестве гарнира. А из мяса - все так же курица\филе в рукаве с овощами.

Делаешь ли ты какие-нибудь шаги, чтобы уменьшить ИМТ?
Аноним 16/10/25 Чтв 09:38:08 #46 №325600568 
>>325599559
вообще, как клинический диагноз. я бы предположил тубик, тут и затемнения есть и в корнях кругленькие л/у? и какая то диссеминация справа.
Аноним 16/10/25 Чтв 09:38:52 #47 №325600584 
>>325599324
тут очевидный гиперостеохондроз
Аноним 16/10/25 Чтв 09:39:20 #48 №325600595 
>>325599295
ну это на пневмонию слева похоже
Аноним 16/10/25 Чтв 09:40:17 #49 №325600616 
>>325598846
бля, тут какая то и слева и справа огромные пиздецомы
Аноним 16/10/25 Чтв 09:41:05 #50 №325600633 
>>325598833
тут справа что- то удаляли, все средостение смещено.
Аноним 16/10/25 Чтв 09:42:22 #51 №325600669 
>>325600498
это типа постравматическое что то?
Аноним 16/10/25 Чтв 09:42:58 #52 №325600683 
>>325600523
справа гайморит
Аноним 16/10/25 Чтв 09:43:09 #53 №325600687 
>>325598813
Сколько денег вложил в зубы?
Аноним 16/10/25 Чтв 09:48:17 #54 №325600820 
IMG20251016112428.jpg
Чо тут у нас?
Аноним 16/10/25 Чтв 09:58:20 #55 №325601066 
>>325600559
От булгур я люто яростно пержу, иногда даж с подливой :-( Переодически на диету вступаю считаю калории страдаю в корчах потом снова отжираюсь. Всякге мучное и субпродукты исключаю из рациона.
Аноним 16/10/25 Чтв 09:58:51 #56 №325601082 
>>325600568
Там он был, это пост туб изменения снята с учета.
Аноним 16/10/25 Чтв 09:59:17 #57 №325601091 
>>325600595
Похоже да
Аноним 16/10/25 Чтв 09:59:47 #58 №325601102 
>>325600616
Средние пиздецомы же
Аноним 16/10/25 Чтв 10:00:13 #59 №325601109 
>>325600683
Да
Аноним 16/10/25 Чтв 10:00:54 #60 №325601124 
>>325600669
Нет гайморит же
sage[mailto:sage] Аноним 16/10/25 Чтв 10:02:42 #61 №325601152 
Когда деанон ублюдка?
Аноним 16/10/25 Чтв 10:03:50 #62 №325601174 
image
>>325601066
>субпродукты
Ну тут ты наверное имел ввиду что-то другое, а не печенку и сердце говяжье, например. Да и язык тоже очень даже хорош.

Очень тебе сочувствую. А что насчет физической активности после работы - банальные прогулки ДЛЯ НАЧАЛА.
Аноним 16/10/25 Чтв 10:14:39 #63 №325601405 
>>325601174
Я про сосиски пельмени все такое. Язык я тушу иногда покупаю довольн вкусн.
Аноним 16/10/25 Чтв 10:15:12 #64 №325601421 
>>325601174
Я где-то 2-3 км в день наворачиваю пешклм хожу
Аноним 16/10/25 Чтв 10:15:37 #65 №325601437 
>>325601152
Причина тряски?
Аноним 16/10/25 Чтв 10:17:41 #66 №325601493 
>>325601174
Сердца говяжьи тема я покупал тушил их тож вкусно было.
Аноним 16/10/25 Чтв 10:18:48 #67 №325601523 
>>325601405
>>325601493
Это хорошо, хотя я не сторонник ограничений и строгих диет - Гаргантюа может кушать все что ему нравится, главное соблюсти калорийность и делать это постепенно.

Ага, это белковая хорошая пища и от нее ты бы мог чувствовать голод меньше, если в рационе будет достаточно белка. Те же кальмары, например, чрезвычайно вкусны и легки в приготовлении, чистый белок.

>>325601421
ну это уже хорошо, что ты ходишь. Но хотелось бы видеть постепенное увеличение нагрузки со временем. все таки 30 имт это прям солидно
Аноним 16/10/25 Чтв 10:21:10 #68 №325601591 
>>325601523
Я мясо ем с жир это сильно лучше насыщает чем без него при том же каллораже.
Аноним 16/10/25 Чтв 10:23:47 #69 №325601662 
>>325601523
После работы пришел поел поспал покапчевал поспал и уже на работу.
Аноним 16/10/25 Чтв 10:27:00 #70 №325601763 
>>325601591
Само собой, жиры дают в два раза больше энергии, только их избыточно тоже быть не должно, особенно учитывая, что они в огромном количестве продуктов содержаться, как животные, так и растительные.

>>325601662
А сколько ты спишь днем? Ну и ты мог бы заменить вечернее капчевание на вечернюю прогулку.
Аноним 16/10/25 Чтв 10:39:02 #71 №325602112 
>>325601763
Прихожу с работы сплю около 2 часов, с 17 до 19 поднимаюсь просыпаюсь туплю до 23-24 и сплю до утра.

В темноте я нахуй никуда не пойду шароебится никуда.
Аноним 16/10/25 Чтв 10:39:59 #72 №325602140 
IMG20251016123230.jpg
Вы хотели туберкулез их есть у нас.
Аноним 16/10/25 Чтв 10:40:29 #73 №325602158 
>>325598580 (OP)
пасту болонезу ебашь если хочешь по простому
или мусаку если хочешь заебаться
Аноним 16/10/25 Чтв 10:58:17 #74 №325602668 
IMG20251016125437.jpg
Чо тут у нас?
Аноним 16/10/25 Чтв 11:15:48 #75 №325603187 
>>325602140
Поясните, как им умудряются болеть в XXI веке? Это ж как холеру подхватить.
Аноним 16/10/25 Чтв 11:23:30 #76 №325603461 
>>325603187
Достаточно выходить из дома и с людьми общатся. Ты сдай пцр мокроты там 146% мбт+, прост пока твой иммунитет их пиздит быстрее чем они плодятся ты не болеешь.

Взрослым манту потому и перестают делать потому что оно у всех положительное.
Аноним 16/10/25 Чтв 11:28:32 #77 №325603633 
>>325603461
Неправда, не верю, ложная_информация. Твёрдо и чётко.
Аноним 16/10/25 Чтв 11:33:23 #78 №325603793 
>>325603633
Иди ифа на антитела к мбт сдай
Аноним 16/10/25 Чтв 11:44:32 #79 №325604139 
IMG20251007125455.jpg
Чо тут у нас? Найдите поломк!
Аноним 16/10/25 Чтв 11:54:48 #80 №325604426 
В пн еще роспотред придет шмонать как мы там разводим жижи антисептические все бегают кипешат, внезапная проверка на носу. Хорошо что я в отпуск уйду.
Аноним 16/10/25 Чтв 11:57:52 #81 №325604511 
>>325599083
Вальгусная деформация пальцев стопы?
Аноним 16/10/25 Чтв 11:59:12 #82 №325604557 
>>325598580 (OP)
А вот это округлое ниже левой ключицы что? Справа похоже на долевую пневмонию правостороннюю
Аноним 16/10/25 Чтв 12:00:38 #83 №325604610 
>>325598833
Туберкулёз лёгких?
Аноним 16/10/25 Чтв 12:02:02 #84 №325604664 
>>325599559
Сегментарная пневмония?
Аноним 16/10/25 Чтв 12:02:15 #85 №325604673 
>>325604511
да
Аноним 16/10/25 Чтв 12:06:11 #86 №325604810 
>>325604557
Плеврит
Аноним 16/10/25 Чтв 12:06:51 #87 №325604832 
>>325604610
нит
Аноним 16/10/25 Чтв 12:08:29 #88 №325604875 
>>325604664
нит
comments powered by Disqus