Сохранен 168
https://2ch.su/b/res/326188619.html
В ближайшие дни Архивач временно работает без основного хранилища ранее сохранённых картинок/видео пока мы проводим работы по техническому обслуживанию. Сохранение всего вновь поступающего контента продолжается. Но затем всё обязательно вернётся в полном объёме!

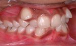
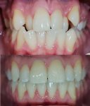
Хочу сам себе поставить брекеты Сами железки стоят 10000 руб. Клей ещё 1000 руб. Как подкручивать -

 Аноним 01/11/25 Суб 17:47:19 #1 №326188619 
rr0yaxu32g0yvol5xqhlpwbl11muct3z.jpg
Хочу сам себе поставить брекеты
Сами железки стоят 10000 руб. Клей ещё 1000 руб. Как подкручивать - по ходу дела разберусь с чатгпт. Думаю не сложнее чем ручник подтягивать на ВАЗе.
Идеально не хочу, хочу, чтоб просто пара выпирающих зубов более-менее ровно встали.

Актуально, т к. ОХУЕВШИЕ кабаны просят 300000 руб за то, что делают процедуры с которой школьник справится - приклеить-прлтянуть. Лакируют обувалово "а у вас тут такая пиздецома что пиздец полный. ПРИКУС НЕ ТОТ!", скорее бери кредит
Аноним 01/11/25 Суб 17:49:51 #2 №326188705 
ты ничего не подкручиваешь там, ты меняешь дугу от алюминиевой тонкой до более толстой стальной. если будешь слишком быстро двигать у тебя оголятся корни и будут проблемы.
Аноним 01/11/25 Суб 18:09:43 #3 №326189429 
17617663441270.png
>>326188619 (OP)
Аноним 01/11/25 Суб 18:13:41 #4 №326189597 
Годный тред, в духе того самого.
Аноним 01/11/25 Суб 18:17:59 #5 №326189742 
image.png
>>326188705
>ты меняешь дугу от алюминиевой тонкой до более толстой стальной.

вот это наука хайтек
с вас 300 квадриллионов долларов
Аноним 01/11/25 Суб 18:18:04 #6 №326189747 
>>326188619 (OP)
Отписался в эпичном.

Не забудь отчитываться с фотографиями.
Аноним 01/11/25 Суб 18:19:32 #7 №326189802 
image.png
>>326188619 (OP)
по факту резинки потом почти никто не носит
Аноним 01/11/25 Суб 18:19:50 #8 №326189817 
>>326189742
Лол, и ведь правда, за такую хуйню столько денег просят
Аноним 01/11/25 Суб 18:21:59 #9 №326189913 
image.png
анон, подскажи. Что, если только верхнюю челюсть подтянуть? А нижняя пусть как есть.
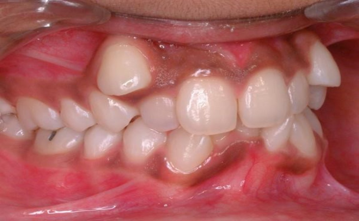
Аноним 01/11/25 Суб 18:23:09 #10 №326189962 
image.png
Есть те, кто сам себе ставил?
Аноним 01/11/25 Суб 18:25:29 #11 №326190059 
image.png
или найти по объявлению любого клепача плобоча на дому? он справится прилепить тяп-ляп (уверен, хуже чем есть не сделает)?
Аноним 01/11/25 Суб 19:00:47 #12 №326191405 
Подписался
Аноним 01/11/25 Суб 19:08:45 #13 №326191657 
20250224112600.jpg
>>326189913
Ну так зависит от сложности самого пациента, тебе это только ортодонт скажет, то, что ты видишь в прейскуранте цен, это одна челюсть не путай, они делают верхнюю и нижнюю челюсть, поэтому полное лечение будет х2 да и думаю ортодонт не будет только одну делать, у тебя если и будет что-то ровное, то стучать о низ будет. Так же ортодонт тебе скажет, что будет проще поставить под твой случай — элайнеры или брекеты. Элайнеры чутка дешевле выдут, но повторю снова, зависит от сложности случая. У самого в планах потом исправить прикус, коллега на работе заплатил за элайнеры 300к, каждые две недели вроде меняет капы, у нее зубы больше забором пошли чем у меня.
sage[mailto:sage] Аноним 01/11/25 Суб 19:13:04 #14 №326191807 
>>326188619 (OP)
Толсто.
Аноним 01/11/25 Суб 19:19:05 #15 №326192012 
1000033118.jpg
>>326188619 (OP)
> разберусь с чатгпт.
Уже не разберёшься, всё лавочку прикрыли.
Аноним 01/11/25 Суб 19:21:11 #16 №326192092 
>>326192012
Но дипсик то лучше, он все расскажет, гпт этот ваш нам и даром не нужон
Аноним 01/11/25 Суб 19:44:11 #17 №326192929 
Брекетаны, как понять что прикус неправильный? Что вообще такое прикус?
Аноним 01/11/25 Суб 20:01:21 #18 №326193543 
>>326192929
Пока ты будешь платежеспособен - с прикусом у тебя серьезные проблемы, поверь
Аноним 01/11/25 Суб 20:43:19 #19 №326195083 
>>326188619 (OP)
Полностью поддерживаю опа. Сделай потом тред как у тебя зубы почернели, будем с анонами угарать над тобой
Аноним OP 01/11/25 Суб 20:47:01 #20 №326195224 
>>326195083

Маня. Ты продавец строхов? С чего они почернеют? С того, что прикус неправильныйь
Аноним 01/11/25 Суб 20:51:49 #21 №326195398 
invaлид7549250260313427208-no-watermark.mp4
>>326188619 (OP)
sage[mailto:sage] Аноним 01/11/25 Суб 20:56:15 #22 №326195553 
>>326195224
Да я пошутил, ты чего))) делай зубки не бойся)) а нам контент
Аноним 01/11/25 Суб 21:01:16 #23 №326195732 
>>326188619 (OP)
Этого >>326195083 двачую.

>не сложнее чем ручник на ВАЗе
О, вижу, ты в теме!
Можно ещё одну параллель провести между зубами и мошынками: когда тормоз вклинивший молотком пиздишь. Намёк понятен?))
Аноним 01/11/25 Суб 21:30:02 #24 №326196663 
VID20250505140419015.mp4
>>326188619 (OP)
Аноним 01/11/25 Суб 21:32:52 #25 №326196768 
>>326188619 (OP)
В ДС брекеты установка стоят примерно тыс 25 (с брекетами), не знаю откуда у тебя там 300.
Аноним 01/11/25 Суб 23:20:09 #26 №326200655 
Remi-Lascault-Комиксы-зубная-фея-6232143.jpeg
изображение.png
изображение.png
>>326196663
ТАкая липа пизднц. Шлюха 5 лет мякишь деснами давила или все 5 как Илюша на печке проспала или че? А может ее как то ночью спецназ дантистов похитил, и разом все зубы раком поставил так как наебизнес под угрозой?... Последний варьянт вполне правдоподобен...
Аноним 02/11/25 Вск 00:05:28 #27 №326202114 
>>326196768
Где ты такие цены видел, маня? Там, наверное, за 1 ряд цена. +Второй за 100 +сопровождение в договоре по 20 за раз
Аноним 02/11/25 Вск 00:07:22 #28 №326202181 
>>326188619 (OP)
Первые три дня ношения брекетов будут ояень прикольными.
Аноним 02/11/25 Вск 02:11:32 #29 №326205026 
>>326188619 (OP)
нахуя тебе брекеты долбаеб? мужикам не нужна эта хуйня
Аноним 02/11/25 Вск 02:12:57 #30 №326205054 
>>326195398
Шлюха.
Аноним 02/11/25 Вск 02:14:23 #31 №326205081 
>>326195398
Шлюхе нравится образ бабника, выстраиваемый в тексте. Шлюха.
Аноним 02/11/25 Вск 02:14:33 #32 №326205085 
>Брекеты.
>Сам себе.
Ебать ты долбоёб, ты ещё отсоси сам себе.
Аноним 02/11/25 Вск 02:38:12 #33 №326205457 
>>326189802
А нахуй нужные эти резинки? Я чисто по физике не понимаю че они должны делать, кроме того, чтоб рот было сложно открывать
Аноним 02/11/25 Вск 02:42:58 #34 №326205555 
>>326188619 (OP)
>Актуально, т к. ОХУЕВШИЕ кабаны просят 300000 руб за то, что делают процедуры с которой школьник справится - приклеить-прлтянуть
Потому что они 7 лет "(м)учились", они насидели себе высокие запрлаты, заслужили! Они страдали тратя время на говно и ты должен тоже, откладывая эти 300к год+ на своей говноработе. когда могли бы в пту всяких за пару лет делать узких спецов по брекетам и они были бы доступнее
Аноним 02/11/25 Вск 02:44:14 #35 №326205587 
>>326188619 (OP)
Смотря в чем у тебя жопа с зубами. Возможно легко - приклеил на глаз, поставил дугу, поменял несколько раз, скусил брекеты, сходил на профчистку чтобы убрали клей. А возможно надо делать всякие КТ, ТРГ, ОПТГ и после считать углы и примерно прикидывать план лечения. По сути эти черти зубные берут овердохуя за то что они берут на себя "ответственность за лечение" (которой у них, кстати, ноль и нихуя - ты один хуй подписываешь информированное согласие что лечение может привести к полной жопе и претензий у тебя в этом случае тип не возникнет). Кароч те еще типы. Вообще в России (да и везде, но мне похуй на везде - я там не живу нахер) медицина построена так что с пациентом можно делать что хочешь, а потом написать развернуто что пошло не так и твоя жопа пролетит мимо бутылки. Вырвали здоровый зуб? Так пациент сам подписал согласие! Да и периодонтит у него был пиздец какой размером с Юпитер! Нет, мы не кошмарили, просто сказали что надо удалять, а он - согласился. Что? Хирург выдрал не тот зуб? Так вот мы задним числом подписали что надо вообще три рядом драть! Кароч, я хуй знаю, ситуация в медицине это пиздец. А хамства еще больше, я двух ортодонтов сменил потому что они постоянно косячили и хамили, и вообще вели себя будто они тут цари и боги.
Аноним 02/11/25 Вск 02:45:50 #36 №326205617 
>>326202181
Какие три дня? Ибупрофена ебни и отойди, ну или если совсем камикадзе - диклофенака или кетанова. А вообще помогает мороженку кушать.
Аноним 02/11/25 Вск 02:48:50 #37 №326205668 
>>326196768
Ахахахахаха, тебе даже коновал деревенский за такую цену не поставит. Это скорее комплект железок стоит 25, а остальное - снимки, слепки, составление плана лечения и прочая хуетень - добавляй еще 300 косарей, ну тип врач он же учился 6 лет и после ординатуру оканчивал еще года 2-3, а теперь хочет денег. Современная медицина это не про здоровье пациентов, уменьшение их страданий и вот это вот всё гиппократовское, она - про здоровье кошелька доктора и уменьшение количества дензнаков в кошельке у пациента.
Аноним 02/11/25 Вск 02:51:03 #38 №326205717 
>>326205555
Про ПТУ подтверждаю. Тем более что большинство ортодонтов тупо изимодные - берут простые случаи, а при любой хуйне либо говнятся что пациент какой-то не такой, либо его в члх отправляют.
Аноним 02/11/25 Вск 02:51:54 #39 №326205737 
>>326188619 (OP)
ставишь брекеты - значит пидор
Аноним 02/11/25 Вск 02:55:08 #40 №326205782 
>>326205737
Может ему реально мешает жевать, зуб на зуб не попадает и чувак даже шашлык откусить не может, как пидор зубами и губой кусает. Че, тогда тоже пидор что хочет нормально с мужиками шашлыки жрать?
Аноним 02/11/25 Вск 03:10:59 #41 №326206035 
я за 50 ставил на две челюги в мухосранске, металлические
Аноним 02/11/25 Вск 03:15:20 #42 №326206089 
недавно случайно увидел что правильный прикус это если верхний ряд чуть вперед выдвинут.. а я в своё время самостоятельно сделал себе прямой из такого..
Аноним 02/11/25 Вск 03:33:41 #43 №326206392 
>>326206089
верно. у меня нижняя челюга не может дальше верхней уйти (ну максимум 1-2мм), врачиха говорила что 10\10 прикус, идеальный. к слову, хотел пойти прикус чинить, сказали что идеальный, лол. я думаю пиздеть не стали бы, кешик то вытянуть надо.

мимо хз откуда в пиздюковом возрасте была мысль что челюга кривая
Аноним 02/11/25 Вск 03:42:44 #44 №326206484 
image.png
>>326206392
Гонял 2 года, отдал +-300к (дс-2)
+удаляли восьмерки все (+-30к) но я ставил вместе с родственником, но у разных ортодонтов и разные системы, ему еще и четверки нахуй удалили))

Чо могу сказать, красивая челюга и правильный прикус это абсолютно разные истории, которые могут не пересекаться.
благо у меня борода норм растет, инцельства не видно
Аноним 02/11/25 Вск 03:47:07 #45 №326206528 
>>326205457
создают напряженку между зубами, если например 2 зуба сверху и 1 внизу (треугольник короче) То 2 верхних будут тянуть нижний (поднимать) Короче тут по факту геометрия, векторы. С этим можно очень сильно играть. Резинки ОЧЕНЬ медленно, но верно двигают зубы. Резинок этих еще и кучу видов, есть лайтовые, есть жесткие.
Аноним 02/11/25 Вск 04:27:15 #46 №326206979 
>>326206528
Чисто по сопромату я тебе могу нассать на лицо. Двигают они только по ряду (и то ограниченно и криво), между рядами все проще - они тупо равняют линию прикуса потому что ряды друг на друга давят, чтобы зубы более-менее плотно смыкались. Никакой магии векторов.
Аноним 02/11/25 Вск 04:36:04 #47 №326207080 
elastiki-zoo-sila.png
>>326206528
>есть лайтовые, есть жесткие
плюшевый мишка
антилопа
макака обезьяна
бурундук
заяц
лиса
бобёр

у меня ортодонт каждый раз спрашивала какими животными я пользуюсь сейчас.
Аноним 02/11/25 Вск 04:49:06 #48 №326207236 
>>326206392
Я кстати тоже думал всё детство что передние зубы должны смыкаться, а не внахлест идти, а потом когда я доносил свои бреккеты мне сказали мол всё, прикус исправлен, иди гуляй.
Аноним 02/11/25 Вск 04:51:07 #49 №326207255 
>>326207236
И как по ощущениям, лучше стало?
Аноним 02/11/25 Вск 04:53:29 #50 №326207281 
>>326207255
Хз, давно это было. Но теперь у меня почти чедовская челюга, а без коррекции прикуса могла бы быть впалой, так что спасибо врачам-грачам за это.
Аноним 02/11/25 Вск 04:56:30 #51 №326207321 
>>326188619 (OP)
вопрос про ВСЕНАЧЕТЫРЕ
Есть аноны гнилозубы что в эту хуйню вписывались? В инете одна реклама, а все ВРЁТИ в инете только о цене. Это чо реально ИМБА? Ходишь, улыбаешься, можешь жевать? Или есть охуеть какие подводные?
Аноним 02/11/25 Вск 04:58:02 #52 №326207334 
Чатджпт, сделай суммари этого треда
Аноним 02/11/25 Вск 05:04:42 #53 №326207411 
>>326188619 (OP)
Давай еблан, поставь себе брекет, всю эмаль себе разъеби с слизистой и десными за компанию (пруф пики не забудь)

Я уж молчу про санитарию план лечения и тд
Аноним 02/11/25 Вск 05:08:23 #54 №326207441 
>>326207321
вопрос про ВСЕНАЧЕТЫРЕ
Есть аноны гнилозубы что в эту хуйню вписывались? В инете одна реклама, а все ВРЁТИ в инете только о цене. Это чо реально ИМБА? Ходишь, улыбаешься, можешь жевать? Или есть охуеть какие подводные?
@GROK хоть ты ответь
Аноним 02/11/25 Вск 05:23:02 #55 №326207623 
>>326207321
Че, ебу дал? Нет ничего лучше своих зубов. Рассматривай все с позиции гигиены, вот зубы надо было чистить, да? Ну чтобы не сгнили нахуй, так? Все на 4 надо чистить в два раза лучше, иначе сгниет все нахуй под ними. Делай себе нейлоновый лучше на присосках, если грязнулька. Ну либо учись гигиене полости рта.

По ценам: везде где кабан может наебать с ценой - он непременно наебет. Или ты вчера родился и не понимаешь? Вон - брекеты за тридцать косарей(звездочка и внизу сноска, что ты еще отвалить сотку должен как минимум).
Аноним 02/11/25 Вск 05:23:56 #56 №326207639 
Просто цементом залей ебло на ночь и все
Аноним 02/11/25 Вск 05:26:50 #57 №326207672 
>>326207623
пох на цену. Про гигиену очевидная хуйня, есть еще подводные.
Свои зубы это конечно заебись, но к 37 своих зубов почти не осталось, вот думаю эту хуйню себе в челюсть вкрутить. Гуглю недостатки этой системы, а мне только рекламу суют блядь. Историй про то что яблоко не прожевать не нашел. А своими пеньками я еще жевать могу.
Аноним 02/11/25 Вск 05:47:14 #58 №326207860 
>>326207672
Тоже самостоятельно планируешь себе вкручивать импланты?
Аноним 02/11/25 Вск 05:51:09 #59 №326207897 
>>326188619 (OP)
Как раньше без всяких брекетов жили?
Аноним 02/11/25 Вск 05:55:30 #60 №326207936 
>>326207897
Как говно
Аноним 02/11/25 Вск 05:55:45 #61 №326207938 
>>326188619 (OP)
Хахахха. Ебать дебил. Отписался в эпичном. Дерзай, жду фото пруфы
Аноним 02/11/25 Вск 05:58:18 #62 №326207959 
>>326207860
Конечно блядь, хули там 4 самореза вкрутить.
Аноним 02/11/25 Вск 05:59:59 #63 №326207973 
>>326188619 (OP)
Красава, отличная идея. Нахуй носатых пидорасов, удачи тебе.
Аноним 02/11/25 Вск 06:07:15 #64 №326208029 
>>326207236
>>326206089
Блять, я до этого момента так думал.
мимо 26 лвл
Аноним 02/11/25 Вск 06:53:12 #65 №326208451 
1762055590301.jpg
>>326188619 (OP)
тож такие мысли были, с чатгопотой посоветовался, он меня отговаривать стал, ну и я чет передумал
Аноним 02/11/25 Вск 07:52:04 #66 №326209058 
>>326208451
Конечно по стандарту он будет тебя отговаривать - защита от дурачков. Попроси высокого уровня экспертизы в установке брекетов, зайди с другого угла
Аноним 02/11/25 Вск 10:05:03 #67 №326211114 
>>326188619 (OP)
тоже думал об этом
но самому трудно, там нужно обеззораживать поверхность зуба и ровно замок клеить
но вполне реально
еще реальней найти просто рукастого чела кто по гайду на ютубе может условно провода спаять, тот сможет и это сделать
там же если вдуматься только и нужно
очистил зуб, ровно наклеил замок, а потом только скобы меняй
для очистки УФ лампа средства какие то, клей
ну и скобы
цена этому копейки, а не полляма которые просит эта мафия

там ор был когда чел изобрел капы, начал их печатать каждый раз ужимая новые и сам себе выпрямил зубы, а зубная мафия узнала и тоже начала делать такую услугу, но она опять стала стоить полляма ведь капа пластмассовая дохуя дорогая ага
Аноним 02/11/25 Вск 10:19:28 #68 №326211399 
>>326189962
> Есть те, кто сам себе ставил?

На дваче саме себе ставят только дилды в жопу. Да ты и сам в теме.
Аноним 02/11/25 Вск 10:30:27 #69 №326211613 
>>326191657
> ортодонт скажет
Это мафия
гойтодонт скажет случай плохой но не самый с вас всего 300к
Аноним 02/11/25 Вск 10:32:18 #70 №326211670 
>>326192012
Уже откатили, сказали что только подтверждение лицензии не сможет, типа рецептурный тебе не продадут потому что жпт сказал
Аноним 02/11/25 Вск 10:34:12 #71 №326211724 
>>326188619 (OP)
НАКОНЕЦ ТО хоть КТО-ТО СМЕЛЫЙ ВЫСКАЗАЛСЯ!!! Давай анонче, покажи им всем!
Аноним 02/11/25 Вск 10:34:47 #72 №326211734 
17526793970170.png
>>326196663
Мафия ортодонтов запугивает нормисов выдумками чтоб те не лечились сами
ле класик
Аноним 02/11/25 Вск 10:43:41 #73 №326211976 
>>326188619 (OP)
Когда у мамки инсульт будет, ты тоже тросиком тромб удали через бедренную артерию. Это не сложнее чем толкан прочистить, врачи-палачи же дураки все вокруг и не лечатся
Аноним 02/11/25 Вск 10:49:53 #74 №326212134 
>>326211976
При инсульте достаточно просто ёбнуть ладошкой по черепу несильно так но чтоб ощутимо было. Это как с советской техникой, хуйнул и заработало.
Аноним 02/11/25 Вск 10:50:29 #75 №326212150 
>>326211976
А ты похоже сосудистый хирург?
Аноним 02/11/25 Вск 10:55:44 #76 №326212285 
>>326211976
а че ты передергиваешь? понятно что внутрь сосудов лезть это сложно тут реально технике учиться надо и опыт
но зубы то снаружи
Аноним 02/11/25 Вск 11:00:08 #77 №326212395 
>>326196663
жиза я тоже всегда откладываю это называется депрессия наверное, я помню так валялся с камнями в почках, просто двое суток наверное чувствовал адскую боль, но в больницу всё равно не хотелось, потом прошло
Аноним 02/11/25 Вск 11:03:35 #78 №326212490 
>>326212134
Ты случаем не в Махачкалинском или Грозненском меде учился?
Аноним 02/11/25 Вск 11:04:31 #79 №326212516 
>>326212150
Близко к этому.
Аноним 02/11/25 Вск 11:07:32 #80 №326212601 
>>326212285
Глаз тоже снаружи. Ну что, сделаешь себе лазерную коррекцию указкой с алика?
Аноним 02/11/25 Вск 11:09:55 #81 №326212661 
>>326211670
А раньше как работало? Включаешь голосовой помощник чатгпт на своем ксяоми, и баба Клава в аптеке выдает тебе таблетки, потому что роботозированный эксперт разрешил выдачу? Зря я не воспользовался
Аноним 02/11/25 Вск 11:14:34 #82 №326212762 
>>326212601
Кстати, хорошая идея для канала. Оп, мути канал и лечись максимально подручными средствами. Думаю даже доктора дью обойдешь. Эндоскопию при помощи эндоскопа с алика и старого андроед телефона можешь сделать еще например
Аноним 02/11/25 Вск 11:17:23 #83 №326212825 
>>326188619 (OP)
ровные зубы это привелегия а не право, это не про здоровье, а про красоту
Аноним 02/11/25 Вск 11:26:00 #84 №326213051 
>>326206484
Типа челюга нисколько не исправилась при дисталке?
Ну чутка же выехала?
Аноним 02/11/25 Вск 11:34:03 #85 №326213303 
1762072442855.jpeg
>>326207080
Собакой
Аноним 02/11/25 Вск 11:45:28 #86 №326213634 

Зубы просто вылезут из кости и корни будут болтаться на ружу.
Сепсиса не боишься ?
Удачи

Аноним 02/11/25 Вск 11:56:50 #87 №326214004 
>>326207321
все на 4 это самое хуевое.
Ты становишься инвалидом с протезом.
Его ставят чтобы выжить, потому что без зубов вообще будет плохо

Подводных очень много
Один из подводных - это убыль костной ткани, в местах где нет импланта, лучше ставь все на 16 как минимум, но тут цены уже от 2 000 000
Аноним 02/11/25 Вск 12:30:21 #88 №326214883 
Бамп эпичному треду
Аноним 02/11/25 Вск 13:08:23 #89 №326216033 
>>326207321
думаю про такое, но в варианте всё на 8-10.
всёна4 явно маркетологи придумали для максимально охвата.
две точки крепления на которые нагрузка приходится это даже с бытовой точки зрения выглядит рискованно..
>>326214004
>это убыль костной ткани
пошто так? нагрузка же есть при жевании..
Аноним 02/11/25 Вск 13:52:14 #90 №326217345 
17620069173981.mp4
>>326188619 (OP)
>ОХУЕВШИЕ кабаны просят 300000 руб
Аноним 02/11/25 Вск 13:53:33 #91 №326217380 
>>326205555
> и ты должен тоже, откладывая эти 300к год+ на своей говноработе.

а зачем, если я сам себе могу поставить?
Аноним 02/11/25 Вск 13:55:28 #92 №326217436 
>>326205617
>диклофенака или кетанова.

а что с ними не так?
Аноним 02/11/25 Вск 13:58:01 #93 №326217504 
>>326206979
Как же он обосрался)) Думал что инициирует срач, но на него всем похую)
Аноним 02/11/25 Вск 14:01:08 #94 №326217587 
>>326207411
>план лечения

какой нахой план?
универсальная копипаста "отъебитесь" для всех "больных".
раньше неиллюзорно помогал почерк "хуйпоймичтонаписано"
Аноним 02/11/25 Вск 14:03:14 #95 №326217659 
>>326208451

"зубы встанут неправильно"

пц - у меня итак они неправильно. Я даже не предстваляю, как там можно накосячить, что они не станут более менее ровными.
Если даже шаболды с айсикью 50 справляются с установкой.
Аноним 02/11/25 Вск 14:04:48 #96 №326217707 
>>326211114
>зубная мафия узнала и тоже начала делать такую услугу, но она опять стала стоить полляма ведь капа пластмассовая дохуя дорогая ага

так они "делают правильный прикус" а на 3д принтере ты какой прикус сделаешь?
Аноним 02/11/25 Вск 14:06:06 #97 №326217747 
>>326213051
Скажу тебе больше, лицо стало будто бы более скуфовское, когда исправил его...
Аноним 02/11/25 Вск 14:06:50 #98 №326217768 
>>326188619 (OP)
ОП, когда будешь приступать заведи прямой эфир и закинь ссылку на харкач. Твой тред имеет потенциал стать платиновым
Аноним 02/11/25 Вск 14:07:02 #99 №326217775 
>>326211976
>Когда у мамки инсульт будет, ты тоже тросиком тромб удали через бедренную артерию. Это не сложнее чем толкан прочистить, врачи-палачи же дураки все вокруг и не лечатся

Двач!
К нам прибежал поциент из этих, ортодонтов!
Аноним 02/11/25 Вск 14:08:18 #100 №326217816 
image.png
Аноним 02/11/25 Вск 14:09:27 #101 №326217854 
>>326213634
>Зубы просто вылезут из кости и корни будут болтаться на ружу.
>Сепсиса не боишься ?
>Удачи

вот эта наука сложная. чуть не так приклеил железку и все - РАК обеспечен. А если дугу поменять удумаешь, то гнить заживо начнешь.
Согласен, дело сложное, 300000 - это еще по божески
Аноним 02/11/25 Вск 14:09:34 #102 №326217858 
>>326188619 (OP)
Лол, удачи анон. Если не спешить и не добиваться идеального результата при должной аккуратности должно получиться.
Аноним 02/11/25 Вск 14:11:57 #103 №326217919 
>>326217816
АХАХАХАХААХ, пропустил эту годноту, хотя капчую 2016. Ну по идее то конечно можно пересадку сделать самостоятельно, но это пиздец хуета, т.к. волосков очень много. Ну и пересаживают не с жопы разумеется, а с затылка микроволоски
Аноним 02/11/25 Вск 14:14:07 #104 №326217984 
>>326188619 (OP)
Приклеишь а потом оторвешь с куском эмали. Иди к нам лечить. У нас всего лишь 290к стоит. Она зп на нормальной работе.
Аноним 02/11/25 Вск 14:15:17 #105 №326218016 
>>326213051


где-то что то поменялось, у тебя же при кривом прикусе нагрузка неравномерно распределяется, какие то мышцы перенапряжены и тд, это конечено отражается на лице и взгляде. При неправильном прикусе больше ассимметрии

Просто трудно прям это зафиксировать без иных факторов, все таки еще и время не стоит на месте, за 2 года сильно можно измениться просто нихуя не делая.

Вот че я реально понял - если у тя хуевый состав слюны от природы, то чисти зубы хоть по 5 раз за денб - вообще похуй, будешь лечить всю жизнь, если повезло - то можешь вообще раз в 2 недели чистить и все будет заебок
Аноним 02/11/25 Вск 14:18:49 #106 №326218100 
>>326192012
Юристобляди и врачибляди трясутся за свою работку? По сути еще лет 5-10 и врачей ебаных выписывателей таблеток можно будет заменить. Останутся нужны только хуйрурги.
Аноним 02/11/25 Вск 14:19:18 #107 №326218114 
>>326217747
Потому что ты додик, который нихуя в теме не разобрался, а врач твой пидор, который портит жизнь людям. Такие ебланы просто зубы ровными делают и им похуй на первопричины, на челюсти, на осанку, тем более удалять восьмёрки не нужно вообще, только если они у тебя прям в десну растут или совсем криво, кость из-за отсутствия 8 деформируется, челюсть становится более инцельской, ебало и кожа начинают сильнее обвисать
Аноним 02/11/25 Вск 14:20:39 #108 №326218161 
>>326217984
>Приклеишь а потом оторвешь с куском эмали

вот это клииер фича.
просто приду в первую попавшуюсь зуболечильню и там снимут за 3 минуты без пафосной хуйни
Аноним 02/11/25 Вск 14:23:03 #109 №326218222 
>>326218114
Ммне на место восьмерок сдвинули семерки, вкрутив в то место, где могли бы быть "9" (ну ты понял) доп винты. и дальше резинками тянули все туда.

А восьмерки были чистично "под" семерками
Аноним 02/11/25 Вск 14:24:45 #110 №326218278 
image.png
>>326218100
>Останутся нужны только хуйрурги.

китайцы через 2 года на алике уже будут роботов высокоточных продава, которые брекеты ставят.
Цена - 5000 руб.
Железки (расходники, что к зубам лепятся) - 35 руб + 150 руб доставка

Типа как на пике - голову туда суешь, он зубы какой-то хуйней почитстил, брекеты прилепил.
через месяц голову опять засунул - он взял и металлическую полоску заменил.
Чудеса
Аноним 02/11/25 Вск 14:24:47 #111 №326218279 
>>326218222
Так я тебе об этом и говорю, тебе же буквально челюсть назад задвинули, все твои зубы передвинули назад, вглубь, естественно, ебало стало более заплывшим
Аноним 02/11/25 Вск 14:26:35 #112 №326218348 
>>326218279
так а как иначе забор выпрямлять, разумеется если у тебя зубы под разным углом (фотку выше глянь я кидал>>326206484 вот мой кейс
ты как место для клыков и троек найдешь?
Аноним 02/11/25 Вск 14:31:24 #113 №326218505 
>>326218279
у меня по сложности, как мне сказал ортодонт, где то пиздец на 7 из 10 по шкале пиздеца. И я делал с родственником, ему еще и четверки удалили, а мне сохранили, хотя у нас +-похожий пиздец у обоих
Аноним 02/11/25 Вск 14:32:50 #114 №326218562 
17620831197805264329556208312578.jpg
>>326218348
Через расширение челюсти, мсе вроде называется, тебе к небу прикрепляют расширитель и сам потихоньку винтик подкручиваешь, разрывается шев верхней челюсти(это все безболезненно происходит), в итоге у тебя должна быть широкая улыбка без щечных коридоров и потом брекетами равняют зубы, закрывают дырку между передними зубами
Аноним 02/11/25 Вск 14:33:36 #115 №326218589 
>>326218505
Так еблан тебе все что угодно скажет, а удаление четвёрок надо в тюрьму вообще сажать
Аноним 02/11/25 Вск 14:37:37 #116 №326218707 
>>326216033
нагрузка только на опору (4 зуба), зубы болтаются над десной
Ты этими зубами просто трешь по десне
все на 4 - опасно для молодого человека, но самое то для старика

копи на "все на 16"
Аноним 02/11/25 Вск 14:38:04 #117 №326218720 
>>326218562
небный расширитель предназначен только для верхней челюсти.

Че делать будем с нижней? Это же она как раз отвечает за чедость
Тока ломать, но у меня борода норм растет, в целом похуй
Аноним 02/11/25 Вск 14:38:09 #118 №326218723 
Почему раньше для троллинга хотя бы смешные треды создавали, а сейчас совсем унылые и тупые?
Аноним 02/11/25 Вск 14:41:46 #119 №326218830 
>>326188619 (OP)
Кто ретейнеры носит напишите сильно с ними накладно ?
Аноним 02/11/25 Вск 14:42:36 #120 №326218850 
>>326218720
Ты не в курсе, что нижняя под верхнюю подгоняется, да? Вся твоя красота, прикус и прочая хуйня зависит от верхней челюсти или ты думаешь, что тебе верхнюю расширят и она будет просто перекрывать нижнюю как колпак? Я же тебе говорю, что твой врач пидор некомпетентный, таких большинство, нахуй им с тобой ебаться, исправлять осанку, расширять челюсть, когда можно просто дёрнуть восьмёрки, а остальные выровнять, а ты за это ещё и 300-400к оставишь. Поэтому всегда надо изучать что и как, ходить к разным спецам, понимать какого результата ты хочешь
Аноним 02/11/25 Вск 14:43:15 #121 №326218867 
>>326218830
зачем они тебе?
Аноним 02/11/25 Вск 14:47:26 #122 №326218975 
>>326188619 (OP)
>Хочу сам себе поставить брекеты
Брекеты ставят на здоровые зубы.

99,99% тех кто ставит брекеты в совершеннолетнем возрасте имеют нездоровые зубы и от того платят за ремонт имеющихся.

А вот за установку брекетов на здоровые зубы стоматологи накручивают от силы х5 от стоимости что ты указал - т.е. 50к.

Но это же на здоровые зубы :)
Аноним 02/11/25 Вск 14:48:47 #123 №326218998 
17555830641411.mp4
>>326188619 (OP)
Аноним 02/11/25 Вск 14:50:20 #124 №326219044 
>>326188619 (OP)
Нахуй тебе брекеты, долбоёб? Это максимальный прогрев гоев, который в долгой перспективе разрушает к хуям зубы.
Аноним 02/11/25 Вск 14:55:38 #125 №326219183 
>>326188619 (OP)
Прогрев гоев, 95% процентам брекеты не нужны, индустрия на комплексах.

Их по факту нужно делать только если есть психическое заболевание из-за страшного прикуса или постоянная травматизация десны.

Где-то читал что из-за прикуса есть момент, что легче передние зубы потерять - но их и так легко потерять от удара и с ним аоьным прикусом.
Аноним 02/11/25 Вск 14:55:57 #126 №326219197 
>>326218830
Не накладно. Вообще на зубах их не ощущаешь.
Аноним 02/11/25 Вск 14:56:14 #127 №326219205 
>>326218278
Одни о роботяночках фантазируют, другие о брэкетах. Ебать додики. Не на вашем веку.
Аноним 02/11/25 Вск 14:58:02 #128 №326219254 
>>326219183
Полностью двачую. Хорошо, что в сосничестве закатил истерику, когда мне их хотели ставить и в итоге остался со своими хоть и кривыми, но здоровыми зубами. А подруге поставили. В итоге зубы по пизде пошли и ей сейчас прямо говорят, нахуй тебе их ставили, это они разломали тебе зубы.
Аноним 02/11/25 Вск 15:32:50 #129 №326220483 
image.png
>>326218723
>а сейчас совсем унылые

гораздо грустнее отдавать 300000 пикрилам со счастливым еблами
Аноним 02/11/25 Вск 16:21:03 #130 №326222138 
>>326220483

>>326219197

и тебе помогло?
Аноним 02/11/25 Вск 17:06:30 #131 №326223691 
>>326212601
Ерничаешь?
лазер внутрь органа проникает
брекет никуда не проникает, он атрибут
Аноним 02/11/25 Вск 17:14:25 #132 №326223971 
>>326217659
>Если даже шаболды с айсикью 50 справляются с установкой.
кстати да ведь буквально тети сраки или вчерашние пезды студентки делают дохуя сложную процедуру

самим не смешно? да средняя баба кран поменять не сможет или телефону батарейку перепаять
схуя ли это сложно брекеты ставить, ах да они платили за обучение много денег и теперь по картельному сговору клиник не демпенгуют цены на копеечные процедуры а дерут последние копейки у работяг

на ютубе буквально есть сотни видео как ставят брекет, там ни ху я сложного, только уф лампа нужна средства очистки и клей
не сложней чем стразики ровно клеить
а скобы потом меняй да по ощущениям смотри где подтянуть чтоб весь ряд смыкался без зазоров
Аноним 02/11/25 Вск 17:21:29 #133 №326224207 
>>326218850

да епта, верно в конце ты подметил:
"понимать какого результата ты хочешь"
Запрос был просто чтобы были ровные зубы и правильный прикус. По твоей красоте если делать - то только через остеотомию, то есть ломать нахуй все. (в моем случае только так)
Аноним 02/11/25 Вск 17:23:52 #134 №326224307 
один зуб подвинуть пойдет особено если спереди. Но ты заебешься их снимать лол это пиздец
Аноним 02/11/25 Вск 17:38:02 #135 №326224832 
Capture.PNG
>>326188619 (OP)
Кстати на реддите были челы, которые делали себе гигачелюсть из инцелской
они брали хокейный шлем где сетка спереди, резинками привязывали от сетки чтото что можно закусить и держали зубами
резинки тянули предмет наружу, а так как чел держался зубами челюха выезжала
пруфы с фотками были, челюхи реально расширялись и выезжали как у гигачадов, но мафия стоматологов на пару с модерами соевого реддита все подчистила под предлогом высибенавредите только мы сделаем все правильно, за ваши деньги

но грок кстати все помнит и историю описывает как есть, только ссылки уже не работают, но можете грока сами распросить. Но так как зубы золотая жила то стоматологи делают все чтобы быть единственными жрецами и сторожат свои тайны чтоб люди себя не лечили по цене шлема и резинки
Аноним 02/11/25 Вск 17:44:17 #136 №326225040 
>>326224307
так снять в клинике уже можно
с очисткой клея, 4к цена
Аноним 02/11/25 Вск 17:57:51 #137 №326225431 
>>326223971
>да средняя баба кран поменять не сможет или телефону батарейку перепаять

>>326223971
>на ютубе буквально есть сотни видео как ставят брекет, там ни ху я сложного, только уф лампа нужна средства очистки и клей

ктстати, да, логично. Баба за 7 лет научилась в ВУЗе нихуя не научилась клеить брекет. Теперь чувствует, что он дохуя умная и дай мне дохуя денег я умом зарабатываю не пиздой

куда мы катимся, пиздец
Аноним 02/11/25 Вск 18:01:58 #138 №326225552 
>>326224207
Я же объяснил, что тебе хуйню сделали, а ты просто в отрицание уходишь. Какой смысл лечить симптомы, если первопричины не устранены? Кривые зубы, скученность и прочая хуйня возникает из-за современного образа жизни, мягкой пищи, недоразвитая челюсть приводит к хуевым зубам и кривому инцельскому еблу
Аноним 02/11/25 Вск 18:03:56 #139 №326225619 
>>326224207
И да, никакую остеотомию делать там не нужно, если ты готов работать над проблемой, если нужен быстрый результат, то, конечно, только резать подбородок ломать ебало
Аноним 02/11/25 Вск 18:07:36 #140 №326225735 
>>326224832
Уж лучше тамбпулинг юзать, шлемак реально опасная хуйня и могут быть серьезные побочки
Аноним 02/11/25 Вск 18:11:15 #141 №326225848 
17611434445870.png
>>326188619 (OP)
На самом деле, прежде чем ставить брекеты, надо дохуя подготовительных мероприятий сделать. Сделать снимок, слеком полностью твоей челюсти, 3д-модель, чтобы смоделировать и спрогнозировать, сколько времени понадобится примерно на исправление кривых зубов. Если ты сам всё это тяп-ляп сделаешь, то потом будет сложно исправлять и будет ещё дороже.
Мне тоже не нравятся цены на брекеты, дохуя дорого. Но блять, пусть лучше это делают люди, у которых есть в этом опыт. Сам коплю деньги на них, хочу 200к накопить и потом займусь всей этой фигнёй. Пока накопил 40к, но этого точно не хватит ведь
Аноним 02/11/25 Вск 18:14:24 #142 №326225920 
Чел делал такое сам с помощью 3D принтера и 3D сканера, гугли.

Вся эта мед мафия дерет 1000% от того что это стоит на самом деле.
Аноним 02/11/25 Вск 18:21:30 #143 №326226150 
>>326225848
>Если ты сам всё это тяп-ляп сделаешь, то потом будет сложно исправлять и будет ещё дороже.
>и будет ещё дороже.
>и будет ещё дороже.
>и будет ещё дороже.
>и будет ещё дороже.
>и будет ещё дороже.
>и будет ещё дороже.
>и будет ещё дороже.
>и будет ещё дороже.
>и будет ещё дороже.

вайтспиритом пройтись, приклиеить железяки, вставить проволоку

7 лет мозги вам там вправляли, а вы только о бабле понимаете и за 3 действия 300000 руб берете, потому-что потому
Аноним 02/11/25 Вск 18:25:44 #144 №326226306 
>>326225848
>Пока накопил 40к, но этого точно не хватит ведь

Там анон выше пишет, что он где-то за 25к знает как поставить в ДС.
Но я не верю - альтруисты в гонке за баблом не выживают в 99,99%
Аноним 02/11/25 Вск 18:35:46 #145 №326226670 
image.png
с этим что-то можно сделать?
Аноним 02/11/25 Вск 18:57:28 #146 №326227375 
>>326226306

Ты за 25 не сделаешь нормальный прикус.
Нормальный прикус от 400к делают. Там даже, если, один зуб на 3 градуса не так стоит - зубы могут развалиться. Внешне этот наклон даже не заметно будет.
Аноним 02/11/25 Вск 19:01:14 #147 №326227504 
>>326226670
За деньги все что угодно. Будет лучшая голливудская улыбка
Аноним 02/11/25 Вск 19:54:12 #148 №326229238 
>>326217775
Хуедонтов. Тут даже первокурсница с сестринского отделения поймет что идея полная хуета, вполне себе опасная для жизни этого мудака, кстати. Его не жалко, жалко коллег, которым потом придётся этого фуфлыжника спасать, например.
Аноним 02/11/25 Вск 20:32:18 #149 №326230750 
>>326229238
Спасатели карманов от лишних денег
Аноним 02/11/25 Вск 20:36:29 #150 №326230930 
>>326230750
Ой блять. За все в этой жизни надо платить, с подключением.
Аноним 02/11/25 Вск 20:40:06 #151 №326231057 
>>326188619 (OP)
Два кривых зуба при выравнивании потянут за собой и остальные. Как итог, не будут смыкаться челюсти. Мне кажется самому по гайдам и без набитой руки тяжело будет.
Аноним 02/11/25 Вск 21:03:22 #152 №326231961 
>>326230930
Я не против заплатить. Тут ситуация выглядит как мне предлагают стакан воды в пустыне за миллион. То, что могут делать люди с мозгами птушника - сознательно огорожено так, что надо за приклеивание железок заплатить 4 зарплаты. Тут здравый смысл где-то далеко
Аноним 02/11/25 Вск 21:36:02 #153 №326233110 
>>326231961
Ты хоть представляешь что тебе сделают за дёшево? Мы много лет учимся, чтоб у тебя зубы не развалились. Каждый второй с неправильным прикусом ходит и думает это ему дёшево обойдется по итогу
Аноним 02/11/25 Вск 22:14:57 #154 №326234283 
>>326231961
>>326233110
Вообще ты смог идеально сформулировать то, что я долго вынашивал в своей голове. Я в этом году делал 3 глобальные покупки: кондиционер в квартиру, толчок на дачу и брекеты себе в рот. Вот толчок на дачу суммарно (и толчок и установка и транспортировка и выкапывание ямы) обошелся в 14к рублей (+ банка пропитки с озона), тут понятно за что деньги, мужики с производства до моей дачи ехали час по пробкам (Новосибирск), сам толчок качественный, красивый, ровный, крепкий, плюс выкопали яму в метр глубину, его поставили, самому бы пердолиться с досками, чертежами, каким-то инструментами заняло бы наверное дней 5-6 по 5 часов, тем более я рукожопый и у меня бы толчок кривой получился. Кондиционер устанавливали 4 часа 3 мужика с каким-то йоба-ящиком инструментов, промышленным вльпинистом, сверлением кирпичной стены (вернее не сверлением, а вырезанием кирпича), за всю работу отдал 18к рублей. А брекеты это пиздец, суммарные расходы примерно как 10 раз туалет на даче сделать и кондиционер установить, и то важно учесть что у меня еще самые нищеебские, поскольку на брекеты вип люкс премиум супер класса даже у человека скорее не бедного по меркам своей деревни не оказалось денег. И вот я долбоеб может какой-то, но мне объем необходимого оборудования, навыков и знаний для строительства туалета и установки кондиционера видится не сильно меньшим, чем для установки и дальше обслуживания брекетов, так вот с каких хуев разница в цене в 10 раз??
Аноним 02/11/25 Вск 23:41:05 #155 №326237056 
>>326231057
Сейчас есть иигпт. Которые впитали в себя решения всех этих вопросов. Задача по сути механическая для ученика уровня техникум максимум
Аноним 03/11/25 Пнд 00:30:48 #156 №326238289 
>>326234283
Как себя чувствуешь? Доволен как качественно и долго потрудились врачиь
Аноним 03/11/25 Пнд 03:03:11 #157 №326240841 
>>326209058
>>326208451
Вы реально думаете что он отговаривает потому что это его логические выводы? Пиздец вы... он отговаривает потому что индусятина всякая разметила данные с текстами рекламы стоматологий как достоверные и пометила данные людей которые сами себе ставили (если такие данные вообще напарсили) как дичь ебаную.
Аноним 03/11/25 Пнд 03:09:24 #158 №326240902 
>>326217436
Ибупрофен считается чуть легче для желудка чем кетанов и диклофенак. А так с ними всё ок, там еще есть мнения что есть деления по видам боли, но я на себе такого не наблюдал - все норм помогает. Вообще НПВС лучше не жрать на голодный желудок и не жрать в больших количествах, и будет тебе счастье. Там еще некоторые могут усиливать выработку гистамина и тебя тупо при долгом/частом применении обсыпет аллергией. Кароч, веселого мало, но без этих средства никуда, они реально от боли имба.
Аноним 03/11/25 Пнд 03:10:42 #159 №326240913 
>>326217504
Лол, тебе не похуй. Я и не хотел срача, вообще после того сообщения пошел спать. Так что лалка сасай. Да и какой срач, я думаю тут вообще нет никого кто верит там в магию векторов, кроме совсем отсталых вроде тебя.
Аноним 03/11/25 Пнд 03:16:59 #160 №326240970 
>>326218562
После где-то 14-18 лет небный шов окончательно костенеет и ты его уже бюгелем не расширишь, надо хирургически ломать небный шов.
Аноним 03/11/25 Пнд 03:18:30 #161 №326240983 
>>326220483
>гораздо грустнее отдавать 300000 пикрилам со счастливым еблами
Ты хочешь нейрослопу занести бабки? Ох, в какой конченный век я попал!
Аноним 03/11/25 Пнд 03:19:44 #162 №326240991 
>>326224832
На редите еще куча сообщества по мьюингу... и там куча инцелов которым типо помогло, лол. А надо для начала кукушечку пролечить бы, а уже потом думать о внешке.
Аноним 03/11/25 Пнд 03:29:19 #163 №326241078 
>>326225848
Ахахахахаха.
>Сделать снимок
два снимка. По ним, кстати, и считают все и по визуалу, а не по 3д модели. У инвизалайна тип все красиво, там расчеты и прочее да, но в большинстве случаев - работают как художники.
КТ делается для оценки состояния зубочелюстной системы.
>спрогнозировать, сколько времени понадобится примерно на исправление кривых зубов
Вот это манямирок! Никто не может спрогнозировать. Тупо примерно накидывают усредненные сроки.
>Если ты сам всё это тяп-ляп сделаешь, то потом будет сложно исправлять и будет ещё дороже.
Мантра. Если у него башка на плечах есть и он может понять когда что-то идёт не так... и он может понять... может понять... а вот в этом и загвоздка. Но в целом постоянное наблюдения более благотворно сказывается чем ходить раз в месяц-два к коновалу.
>Мне тоже не нравятся цены на брекеты, дохуя дорого.
Да просто охуели.
>Но блять, пусть лучше это делают люди, у которых есть в этом опыт.
В том-то и дело что у них нет опыта по брекетам. У них есть опыт как взять дохуя бабла и как откреститься потом от всех обвинений. Иди найди хоть одно судебное дело что брекеты как-то хуево поставили. Думаешь их нет потому что у всех всё хорошо? Нет, там просто даже подавать не смысла.
>Сам коплю деньги
Если сейчас жевать не мешает и зубы не бегаешь постоянно лечить - то нахуй надо. Периодонту после движений зубов будет только хуже, но об этом тебе никто не скажет. В общем инцельские манипуляции исключить, только по показаниями именно по челюстям иди.
Аноним 03/11/25 Пнд 03:32:06 #164 №326241108 
>>326188619 (OP)
Как нехуй. Только найди друга и друг другу сделайте. Процедура не инвазивная, брекеты клеятся на глазок тупо, подводных в принципе никаких, 1 там на миллион случаев у тебя паталогия нерва какая нибудь и будет больно при с движении Зубов. Я отдал 300+к, носил два года, и ты носи два года, гайды когда менять дуги на какие есть. Да и как клеить шайбы есть. Про резинки это дрочь там чтобы вытягивать зубы , мне ставили - справится любой автомеханик нахуй. Кароче, давай анон!
Аноним 03/11/25 Пнд 03:33:14 #165 №326241123 
>>326233110
Это ты может там учился хорошо, а вспомни своих однокурсников, они же пиздец пробки! У нас же, блять, культ "отдать ребеночка в вуз чтобы он был уважаемым человеком", а по итогу в вузе учится, дай Бог, процентов 5 нормальных людей, а остальное - дикий скам, который потом еще обязательно попытается пойти в профессию.
Аноним 03/11/25 Пнд 03:41:24 #166 №326241213 
>>326241108
Как вариант - печатать каппы из нейлона на FDM принтере.

Я тут вспомнил на реддите народ регулярно пытается придумать с помощью 3д сканнера и 3д принтера домашний инвизалайн. И их там постоянно отговаривают рандомы. Но это, блять, сраный реддит, там тупо кармадрочеры, которые тут же:
- Не делай этого, зубы распадутся на атомы!
- А вы ортодонт?
- Нет, но у меня брат шурина деверя сестры мужа пластический хирург!

Вот и примерная цена их обоссаного мнения. Как и мнения многих "ортодонтов" тут. Многие люди вообще переоценивают свои знания. Ну тип 8 лет фулл-тайм учебы... а хуле вот он там делал эти 8 лет? В тиктоке залипал? Да и вообще сейчас вся информация как на ладони - изучи и дрочи, чай не прошлый век когда надо было ходить в библиотеку за знаниями.
Аноним 03/11/25 Пнд 04:02:12 #167 №326241443 
>>326241213
Да решит абсолютная хуйня. Это другой народ с другими обычаями и традициями. Но брекеты… я переезжал из города в другой город и сменил 4 врача за 2.5 года. Это ахуенная работа стоматологом, тупо автомеханик без грязи, я не механик но свое авто сам обслуживаю, был бы гараж нормальный смог бы че угодно по мануалам сделать, так вод приделать и обслуживать брекеты это не сложнее чем поменять свечи на Ауди имея нужные ключи и диноключ - базара нет разводным ключом одним ты не справишься и двумя тоже, нужен инструмент - но ничего космического. Если у тебя здоровые зубы, или просто сходи на консультацию прикиньмя ссыкуном пусть тебе врач все подводные которые у тебя могут быть, а у 98% человек из нет, расскажет. Если будет хуй жевать типа а ну кто знает хуе мое - кароче если патологий нет - то смело делай. Раньше выбитый зуб замещали тупо веревкой сдвигая два соседних - выходило уродство но лучше чем дыоа.
Аноним 03/11/25 Пнд 04:19:19 #168 №326241551 
>>326241213
Добавлю.
Капы нихуя не сделают. Эллайнеры там надо четко 3д моделировать и делать оттиски, ты не сможешь это носить несколько лет, оно будет грубое и кривое с 3д принтера. Забудь про это. Сделай брекеты на ультрафиолетовом клею. У меня жена проходила лечение зубных проблем на 4 миллиона рублей это до войны причем. Я тему хорошо изучил че да как, че можно че нельзя на челюстях без патологий.
comments powered by Disqus