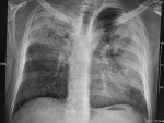
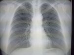
Никогда такой хуйни не было! И вот опять! Здравствуй двачик! Я итт буду с вами играть в рентгенолога
Аноним 12/11/25 Срд 07:18:51 #1 №326563991
Никогда такой хуйни не было! И вот опять! Здравствуй двачик! Я итт буду с вами играть в рентгенолога, флексить зарплатой 31 к за октябрь и общатся! Давайте дружить! Угадывайте пиздецомы по фоточке и общайтесь ибо я тут чо-то заебалс. Штош погнали!



































