К сожалению, значительная часть сохранённых до 2024 г. изображений и видео была потеряна (подробности случившегося). Мы призываем всех неравнодушных помочь нам с восстановлением утраченного контента!

Фарингита -тред. Горло красное всегда, глаза побаливают, отëчность, под челюстью узлы немного непр

 Аноним 16/06/25 Пнд 23:53:14 #1 №1627463 
image.jpeg
Фарингита -тред. По совместительству ЛОР-тред.

Горло красное всегда, глаза побаливают, отëчность, под челюстью узлы немного неприятно на ощупь, иногда хочется спать, усталость постоянная, вроде посев делал давно ничего не нашлось, температуры нет.

Решил раз и на всегда покончить с этим, опять обострилось всё, начал делать ингаляцию содой 2 раза в день как Лор советует по видео https://youtu.be/ZnY9EDTnD2M?si=zvf91JIbvIn-5yGO

Вроде с гэрб получше стало, значит не должно быть из-за заброса.

Ну отëк спал, но горло такое же красное.

Как же я замучался с хроническим фаренгитом просто пиздец какой то.

Врач этот советует ещё смащывать масленным раствором витаминов А и Е, япопробовал просто маслом облепихи, но не получилось ничего. Наверное проще купить молгаровские и пропить. Ща пью цинк.

Спецы какую то хрень затирают, типа только симптомы снять полосканием.

Помогите кто-нибудь уже. Прост чувствую, что окащывает влияние на мою жизнь весь этот дискомфорт, всегда ращдражительный, может и на тревогу тоже.
Аноним 17/06/25 Втр 01:12:33 #2 №1627477 
>>1627463 (OP)
Пизду лизал? У меня с пизды всё пошло.

ГЭРБ есть, корреляция обратная, когда изжога - горло наоборот утихает, видимо это говно, которое вызывает восплание подыхает от изжоги.

А вот когда ремиссия - начинает сука болеть и дёсна кровить, и налёт на зубах как каша, плодиться сука микроб.
Аноним 17/06/25 Втр 01:15:19 #3 №1627478 
>>1627463 (OP)
Вообще, если симптомов лихорадки нет, тогда действительно можно думать за ГЭРБ и пробовать долгий курс ИППП плюс масла.

А если симптомы лихорадки есть, то думаю, ГЭРБ тут не причём.
У меня ГЭРБ всю жизнь, и раньше даже похуже было, а горло болеть стало чётко с полиза пиздёнки.
Аноним 17/06/25 Втр 01:15:59 #4 №1627479 
>>1627478
>ИППП
ИПП
Аноним OP 17/06/25 Втр 01:37:51 #5 №1627481 
>>1627477
Лизал только наоборот, хоть я как бы социофоб, но это началось со школы ещё наверное, просто я как бы ленивый и забивал, просто когда лучше прям себя другим человеком чувствую.

Ну гэрб с уменьшения порции пищи стало меньше, начал практиковать правило ладони для порции. Поэтому ИПП не вижу смысла. Изжоги нет, но вздутия живота бывают, когда с жиром переборщу.

Температуры нет, но слабость бывает, особенно когда чая чёрного много пью начинается, наверное механически тоже повреждается слизтстая, но когда лучше красное остаётся.

Просто достало это уже.
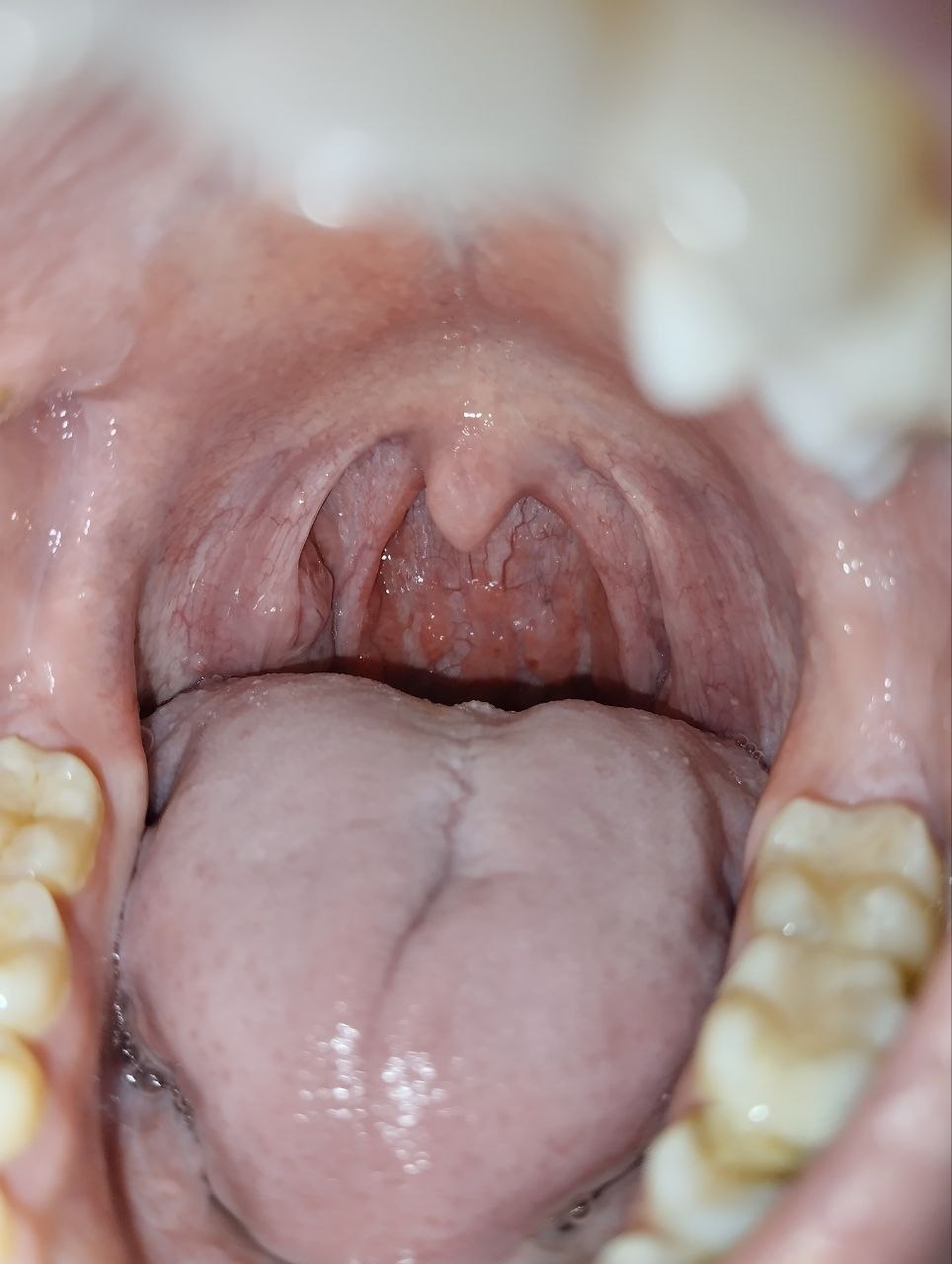
Аноним 29/06/25 Вск 23:59:09 #6 №1629127 
photo2025-06-2923-57-47.jpg
хелп, что это за круглая хуйня справа?
Аноним 30/06/25 Пнд 00:18:52 #7 №1629129 
>>1629127
Не видно нихуя, что угодно от разрастания лимфоидной ткани до пипиломы и рака.
Аноним 01/07/25 Втр 18:48:28 #8 №1629336 
>>1629127
сходил к лору, это полип, обидно что эта залупа мешает мне глотать, но удалять не хочу
Аноним 01/07/25 Втр 19:46:31 #9 №1629358 
>>1629336
полип обычный или впчшный? пизду лизал? ну не удаляй, лол, сдохнешь от рака
Аноним 01/07/25 Втр 20:18:21 #10 №1629370 
>>1629358
>полип обычный или впчшный?
а вот это хз, врач сказал все норм, если будет расти то удалять
Аноним OP 09/07/25 Срд 20:00:39 #11 №1630690 
image
image
Опять сдал посев и опять клебсила пневмониа. Остальные лимфоциты повышены. И герпес нашли.

Как лечить?
Аноним OP 09/07/25 Срд 20:04:08 #12 №1630692 
Может не к лору идти, а к другому врачу?
Аноним 09/07/25 Срд 20:08:52 #13 №1630693 
>>1630690
Чтобы что-то лечить, нужно чем-то болеть.
Аноним OP 09/07/25 Срд 20:10:46 #14 №1630695 
>>1630693
Красное горло постоянно, усталость по кд.

А это бактерию что концентрация большая клебсилия пневмония?
Аноним 09/07/25 Срд 20:17:08 #15 №1630699 
>>1630695
Ну а болезнь то где? Что болит то?
Не тянет это на болезнь, просто приплетание сахарного меланхолика-трясуна.

Нихуя клибесела в пятой не сделает погоды. Инвитро не пишет весь биом, и тесты вектор-беста у них - собачий кал. Чтобы понимать картину, нужно понимать весь биом, нормофлору они туда не пишут, у тебя может быть куча нормофлоры 6 и 7 степени, на фоне которой эта клибесала просто никто, опущенно чмо, вырожденец, гниль, падаль. Понимаешь? Нихуя не понимаешь.

А если бы дело было в клибесела, то ты бы ссался, кашлял, задыхался от макроты и имел температуру 38. Как видишь, у тебя этоо нет, у тебя нихуя нет.
Аноним OP 09/07/25 Срд 20:22:54 #16 №1630702 
>>1630699
> сахарного меланхолика-трясуна.
Диабета нет.

Так она не может сидеть на горле просто, а не обязательно ниже? И где сдать ещё тесты, у нас город маленький эти вроде единственные, что надо ещё сдать?
Аноним 09/07/25 Срд 21:26:58 #17 №1630716 
>>1630702
У психиатра сдай на тревожное расстройство.
Аноним OP 09/07/25 Срд 21:28:18 #18 №1630717 
>>1630716
Но горло красное алло по кд, фарингит.
Аноним OP 09/07/25 Срд 21:44:17 #19 №1630722 
Исключить

Заброса сока - нет уже давно. Это можно исключить

Куда ещё можно копать?
Аноним 09/07/25 Срд 22:11:33 #20 №1630728 
>>1630722
ВЭБ, ЦМВ, Герпес 1, 2, 6, 7, Триха, гоно, хлам, микоуреаплазмы, Бруцеллёз, Шистосомоз, Токсоплазмоз, Иерсинии, Трихинеллёз ,Стронгилоидоз

Ты этого хотел? У тебя денег не хваттит.

>Заброса сока - нет уже давно. Это можно исключить
И как ты исключил? Скорее всего в нём и есть проблема.
Аноним OP 09/07/25 Срд 22:41:35 #21 №1630734 
>>1630728
> Герпес 1, 2,
Так это есть антитела.
> Ты этого хотел? У тебя денег не хваттит.
Я хочу выздороветь.
> И как ты исключил? Скорее всего в нём и есть проблема.
Нет ни горечи изжоги ни отрыжки.
Аноним OP 12/07/25 Суб 16:36:06 #22 №1631266 
В общем лор сказал, что это из-за тонзиллита, что то такое кароче. Промыла миндалины, там были пробки эти.

Прописала Исмиген, ларипронт, панавир и промывание.
Аноним 12/07/25 Суб 23:10:17 #23 №1631301 
>>1631266
Ого, вот это да. А если ты придёшь с раной к доктору, то он скажет, что это у тебя от нарушения целостности кожного покрова, и тебя это сразу исцелит!
Аноним OP 12/07/25 Суб 23:11:58 #24 №1631303 
>>1631301
Да мне это же говорили и раньше.
Аноним 13/07/25 Вск 20:09:53 #25 №1631455 
Та же херня, были сначала миндалины воспалены по кд и асло повышенное, удалил и не помогло, теперь вместо частых ангин с высокой температурой у меня такая же херня, зимой температура вечером может подняться до 37,2 максимум, летом до 36,8 или 36,9, но усталость и слабость чувствуются и мешают жить. Горло красное по кд, воспалены лимфоузлы на шее, мокрота постоянно.
Аноним OP 14/07/25 Пнд 02:49:55 #26 №1631523 
image
>>1631455
Внезапно с асло норм. Ну на момент сдачи.

Депрессия есть? Спишь хорошо?

Вот пробки промыли и тревога стала меньше, хотя я не ощущал пробки эти, а они там были. Ну стало получше. Может чувствительность какая повышенная.
Аноним 14/07/25 Пнд 03:22:29 #27 №1631524 
streptatest-ekspress-analiz-na-streptokokk-pri-angine-dlya-detej3510x5109c2.jpg
Кста, поделюсь. Как только у меня "не обычно" заболевает горло, я на второй день всегда юзаю простой тест, они разные от 500 до 2500 но работают одинаково. Если пусто - выдыхаю, пью чай, если стрептококи то беру и сразу начинаю курс антибиотиков, потому как если идти путем " никакого самолечения" то у нас в поликлинике анализ на коки это 3-5 дней а это уже может вообще хуево кончится. Есть еще вариант инвитро но это тоже +- 24 часа и мне до него ехать 4 остановки а тест всегда в аптечке.
Аноним 14/07/25 Пнд 10:21:40 #28 №1631542 
>>1631523
Депрессии нет, уже смирился что жизнь испорчена...
Сплю хорошо, когда уставший от этого говна сплю лучше чем обычно
Аноним 14/07/25 Пнд 10:24:42 #29 №1631544 
>>1631524
Делал тоже самое пока не заработал резистентность к амоксициллину, не советую. Справедливости ради после нескольких курсов атб тяжесть заболевания сильно уменьшилась и теперь болею реже и легче, но все же антибиотики это прерогатива врачей
Аноним 14/07/25 Пнд 16:37:34 #30 №1631579 
>>1631544
Резистентность проходит со временем, к защищенным пеницилинам её и нет почти. Обычный амоксицилин не применяется при стрепто фарингите
Аноним 14/07/25 Пнд 22:35:51 #31 №1631636 
>>1631579
Ну мне именно его и прописывали врачи и на него был действующий рецепт, потому и пил его, Амоксиклав справедливости ради тоже прописывали
Как то после улучшения допивая курс я опять заболел, что это если не резистентность? Справедливости ради болеть стал все равно не так тяжело
Аноним 15/07/25 Втр 15:41:19 #32 №1631856 
>>1631523
Списывание на депрессии и посылы к психиатрам - это просто инструмент для посыла тебя на хуй, чтобы ты в больницу больше не ходил.

Так делают абсолютно с каждой болезнью и абсолютно с каждым больным, кому не помогло дефолтное лечение.
Аноним 15/07/25 Втр 15:42:58 #33 №1631857 
>>1631524
Анализы сдавать бессмысленно, везде теперь вектор-бест, который не показывает, абсолютно нихуя.
У меня по их тестам просто стерильный рот, однако с одного укола аб мне уже лучше, а с трёх, я как заново родился нахуй.
Аноним OP 15/07/25 Втр 17:45:57 #34 №1631870 
Голос вообще сиплый стал.

>>1631856
Та не это последствия от тонзиллита хронического, литерали я.
Аноним 17/07/25 Чтв 10:33:55 #35 №1632154 
Я из пыльного сухого милионника съебался в деревню к бабушке на время отпуска и у меня буквально на второй день пошли улучшения. Ушло покраснение в горле, боль. Я вот че думаю, может дело и в климате тоже? Ну там влажность. Приеду домой обвешаю хату увлажнителями и накуплю цветов
Лечу фарингит уже более полугода, врачи футболят меня туда-сюда, лор-гастроэнтеролог-лор
Аноним OP 17/07/25 Чтв 13:38:45 #36 №1632232 
>>1632154
Сухой воздух конечно влияет, у меня тлже от батареи всë пересыхает.
Аноним 17/07/25 Чтв 18:56:07 #37 №1632341 
>>1632154
Если у тебя нет обострений с температурой и плохим самочувствием, мне бы твои проблемы, я уже привык жить с красным и вечнобольным горлом
Аноним OP 17/07/25 Чтв 21:50:26 #38 №1632366 
image
Ну вот я и прошёл промывание, как видим эффект такой же, только миндалина как отметила врачиха стали получше.
Аноним OP 17/07/25 Чтв 21:51:19 #39 №1632367 
>>1632366
И электрофарез ещё был на стенки и мендалины.
Аноним 17/07/25 Чтв 22:18:04 #40 №1632370 
>>1632366
Мне промывание только в детстве помогало, когда после ангин там накопилось всякое, потом уже в сознательном возрасте когда начался конкретный хрон. тонзиллит пришлось операцию делать. Благо вроде у тебя асло нормальное, так что можешь пока промывать себе сколько угодно
Аноним OP 17/07/25 Чтв 22:44:45 #41 №1632372 
>>1632370
А может это быть всë от переедания? Скачок инсулина там? Изжога бывала, но сейчас вроде не часто.
Аноним 18/07/25 Птн 20:51:22 #42 №1632484 
>>1632372
Хз как у тебя а перееданием, а у меня явное недоедание
Аноним OP 18/07/25 Птн 21:20:57 #43 №1632486 
>>1632484
Не ну можно например есть за раз 1300 ккал, переедвние за раз.
Аноним 19/07/25 Суб 13:50:24 #44 №1632516 
>>1632486
Хз, я уверен что у меня просто там дохуища бактерий которые никуда и никогда не уходят и от которых нихуя не помогает, заебашишь антибиотиками одни, там будут в основном другие, и так до бесконечности
Аноним OP 19/07/25 Суб 13:51:21 #45 №1632517 
>>1632516
А что если самому делать по кл кажлый день промывание антисептиком?
Аноним 19/07/25 Суб 15:21:12 #46 №1632525 
>>1632517
Ну я так делал
Не особо помогало, ведь если даже антибиотики не помогали, которые системно везде заразу убивают, то местные антисептики это так, в лучшем случае обезбол для горла
Аноним 19/07/25 Суб 20:27:39 #47 №1632585 
Как же меня сука заебало это говно, уже неделю температура под 37 и это ебучее горло
Всю жизнь нахуй портит
Аноним OP 19/07/25 Суб 21:08:49 #48 №1632587 
>>1632525
Но вымыть пробки, они как у меня там появляются сразу самочувствие падает.
>>1632585
Жесть.

А я сегодня купался и теперь лимфы и горло побаливает.

Вообще забился всë лето под солнцем провести, мож витамин д даст буст.
Аноним OP 20/07/25 Вск 13:52:15 #49 №1632644 
Продолжаю практиковать весь день на солнце.
Горло побаливает и чихаю часто.
Аноним 20/07/25 Вск 21:22:32 #50 №1632688 
>>1632644
Может витамин д и поможет, а может ты просто греешь себе инфекцию, знаешь же что тепло это благоприятная среда для размножения бактерий, поэтому при воспалениях, инфекциях бани и теплые компрессы противопоказаны
Думаю тебе просто надо смириться и жить с этим, раз нет температуры и анализы нормальные
Аноним OP 20/07/25 Вск 22:42:50 #51 №1632693 
>>1632688
> Думаю тебе просто надо смириться и жить с этим, раз нет температуры и анализы нормальные
Вот был сегодня в опять на пляже, искупался и рпять реально болит что то в гтрле или это синдалины илм это лимфы. Хочется чихать/кагоянуть по кд.

Ещё взял каршеринг и после купания концентрауия ваще улетела вниз.

Нахуй надо как то решать.
Аноним OP 20/07/25 Вск 23:20:20 #52 №1632697 
Сук миндалины/лимфы болят
Аноним 21/07/25 Пнд 23:05:07 #53 №1632822 
>>1632693
Если бы ты болел, ты бы лежал дома и не выходил из него, ни на какие пляжы у тебя сил бы не было. Ты болен чем-то психически. Тебе надо пиздровать к психиатру и рассказывать про свои фобии и мании, а не засирать гастро и горло треды.
Аноним OP 21/07/25 Пнд 23:14:31 #54 №1632824 
>>1632822
Но оно у меня красное, и постоянно побаливает, першит, после еды хочется чихать, поплавал сиплый голос, слабость.

Я не отрицаю проблему с головой, у меня явно есть тревожность, депрессия, которая с началом жары кстати прошла, видать витамин д пошёл в плюс.
Аноним 22/07/25 Втр 13:38:04 #55 №1632881 
>>1632824
У меня тоже постоянно воспаленное горло, ноги мерзнут, чуть простудишься и воспаляется, но лечу без антибиотиков.
Хз как фиксить. Года 3.5 назад воспалилось до абсцесса
Аноним OP 22/07/25 Втр 14:05:32 #56 №1632888 
>>1632881
> абсцесса
Горло? На витамин Д сдавал? Я провел промывание и пью таблы теперь с лизами бактерий, миндалины стали маленькими, но болят или горло или лимфы, по кд. Не понятно. Горло красное.

От холода ваще вешаться хочется, я так рад жаре и не хочу зиму. Просто кайфую.
Аноним 22/07/25 Втр 19:50:12 #57 №1632931 
>>1632888
За пару мес до абсцесса сдавал, витамин д3 был меньше 10, с тех пор поднял до 40
Аноним OP 22/07/25 Втр 22:21:21 #58 №1632946 
>>1632931
2 года назад был дефицит, сейчас наверное тоже, что на вахте сидел в 4 стенах, что сейчас дома спал днем с февраля, словил депрессняк, но с начала лета попустило.
Аноним 22/07/25 Втр 22:34:41 #59 №1632947 
image.png
Пиздец, у меня к гранулам на горле еще и пробки на миндалинах добавились
Победил по жизни
Аноним OP 22/07/25 Втр 22:41:37 #60 №1632949 
>>1632947
А что первично у тебя? Мне сказали что всё от миндалил или гэрб.

Пробки надо промывать без них жить лучше, я вот например после промывания антибиотиком на клебсиллу пневмонию себя сразу стал лучше ощущать.
Аноним 22/07/25 Втр 22:48:21 #61 №1632951 
>>1632949
Ну гастроэнтеролог+ЛОР после всех анализов и обследований заключили что все из-за ГЭРБ, но по симптомам меня желудок вообще не беспокоит, никаких забросов, кислых отрыжек и т.д. Допускаю, что есть функциональное нарушение работы сфинктера, т.е. он как будто всегда приоткрыт и испарения соляной кислоты ебут глотку, но как это лечить я хз.
Пробки я хз как промывать, я их даже выдавить не могу, они либо пока маленькие, либо глубоко сидят. Ирригатор есть
Аноним 22/07/25 Втр 22:50:54 #62 №1632952 
>>1632951
Раньше еще и ушли болели, но потом прошло
Аноним 23/07/25 Срд 01:33:43 #63 №1632961 
2ACD4489-DC83-43C5-BF3B-127316EDDE43.jpeg
>>1632949
Другой анон который про абсцесс писал.
Гэрб мне поставили в 2023 а горло меня чуть ли не с детства ебет.
На удивление вроде бы даже с 2023 ангина особо не мучала, но горло часто воспалялось (слегка, проходило чуть ли не само за пару дней) но я думаю воспалялось оно не из за гэрб а из за моей тупости (холодное попил)
Позавчера холодного кваса вьебал и вот здрасьте пикрил
Аноним OP 23/07/25 Срд 02:49:46 #64 №1632968 
>>1632951
Лоры хорошо промывают, уменя маленькие прям вымыло.

Типа кислотность слабая?
>>1632961
Холодное ем и норм, после купания только у меня плохое ощущение.
Аноним OP 23/07/25 Срд 02:53:34 #65 №1632969 
Может ли быть всему виной грибок?
Аноним 23/07/25 Срд 08:08:58 #66 №1632976 
>>1632968
Нет, с кислотностью все нормально. Я пробовал пить ябочный уксус перед едой по советам доктора Перда и других инфоцыг с ютуба, мне только хуже становилось. Я думаю дело в спине, у меня давно есть проблемы в грудном отделе позвоночника, там как раз проходит область иннервации мышц регулирующих открытие/закрытие клапана. Нужно опять идти обследоваться, делать МРТ, и то точно мне никто ничего не скажет, это лишь мои догадки.
Аноним 23/07/25 Срд 10:30:00 #67 №1632987 
>>1627477
Я целовался с феей, а потом все как у опа, ну может горло не такое красное. Бак посев только синегнойку. Какие ещё анализы сдать ? ВИЧ сифилис гипатиты проверил. Уже мучаюсь 3 месяц.
Аноним 24/07/25 Чтв 11:51:26 #68 №1633076 
>>1632987
Посев на гоно, триху, хлам, мику из горла.
ПЦР на гоно, триху, хлам, мику из горла.
Микроскопия на гоно, триху, хлам из горла.

Но посевы тебе не сделают, потому что в рашке их не делают, ибо сред нет, тем более из горла, потому что врачи тупорылые.

ПЦР только от вектора беста, который нихуя не найдёт, если там не 10^8.

Микроскопию качественно умеет делать 1.5 задрота на всю РФ.

Так что можешь просто смириться и умирать.
Аноним 27/07/25 Вск 17:07:14 #69 №1633530 
похожие симптомы, только часто еще ангинами болею, дохуя врачей обошел, дохуя исследований сдал, дохуя консервативного лечения, 0 выхлопа.
Удаляю через неделю миндалины
Аноним 29/07/25 Втр 07:48:07 #70 №1633710 
Можно ли заниматься дайвингом при заложенности носа из-за кривой носовой перегородки?
Аноним OP 12/08/25 Втр 03:18:14 #71 №1635695 
Горло так же красное. Может першить стало меньше.
Аноним 12/08/25 Втр 09:17:01 #72 №1635708 
>>1633076
А в литве сделают или на украине?
Аноним 14/08/25 Чтв 22:47:19 #73 №1636063 
>>1627463 (OP)
Аноны, обязательно ли при фаренгите сбивать температуру? Пью парацетамол и когда температура падает начинаю дико потеть, даже если раздеться до гола и принять холодный душ - нихера не помогает, а чувствую что это хуевый признак?
Аноним OP 14/08/25 Чтв 23:46:22 #74 №1636071 
>>1636063
Какой стадии фарингит то?

У меня темперптуры уже нет давно.
Аноним 15/08/25 Птн 00:05:31 #75 №1636073 
>>1636071
Я не знаю ничего по теме. Болею третий день. Врач сказала просто фаренгит, выписала антибиотики. Ещё слюна ебошет адово, я сколько болею уже 2-3 дня столько и не сплю, потому что захлебываюсь слюной. И когда пью воду горло разрывает пиздос. Еда только вначале царапает горло, видимо пища прилипает к этой поеботе и служит как бы смазкой. А как пить дохуя воды, как советовал врачь, если я не могу её пить. Типо каши кушать как в не себя, чтобы организм из них воду сцеживал?
Аноним OP 15/08/25 Птн 00:10:09 #76 №1636074 
>>1636073
Главное не дай стать хроническим, лечи нахуй. Мазок сдавал?
Аноним 15/08/25 Птн 00:15:01 #77 №1636075 
>>1636074
Нет, не сдавал. Участковый терапевт уволился и меня отправили в неотложку, а там видимо похуй на такие мелочи. Что его лучше сдать?
Аноним OP 15/08/25 Птн 00:19:09 #78 №1636076 
>>1636075
> Что его лучше сдать?
Подобрать правильный антибиотик типа, но итт пишет чел, что может ничего не показать.

Т. е. антибиотики же не по всем микробам бьют, а так же есть резистентность там.

Если помогать не будет это антибиотик, то надо сдать точно.
Аноним 15/08/25 Птн 00:27:07 #79 №1636077 
>>1636076
Понятно, спасибо.
Аноним 03/09/25 Срд 15:36:41 #80 №1638790 
Сап, медач

Вчера вечером появился шум в ушах. Шумит только в левом. Мерная глухая пульсация. Синхронизировано с сердцебиением.

Когда ходишь - практически не заметен. Когда сижу/лежу становится сильнее, но тип жить не мешает, внимание переключаю без проблем, засыпаю тоже

К ЛОРу получилось записаться только на следующую неделю.
Оно же терпит, а то ИИшка утверждает, шо это пиздецома и предлагает мне поискать у себя признаки инсульта
Аноним 03/09/25 Срд 16:58:49 #81 №1638816 
Сегодня сдал мазок из ротоглотки на кондиду, посмотрим через неделю результат.
Аноним OP 05/09/25 Птн 16:46:45 #82 №1639053 
>>1638816
> Сегодня сдал мазок из ротоглотки на кондиду,
А откуда у тебя подозрения на кондиду? У меня после процедур летних промываний и провождения времени на солнце прям получше всë, хоть горло красное так и осталось.
Аноним 05/10/25 Вск 23:46:21 #83 №1643196 
1900x1900-000000-81-0-0.jpg
Если пациенту отрезать уши, нос и язык, он жить будет?
Или кровопотеря будет слишком большая и надо будет как-то прижигать?
Аноним 18/10/25 Суб 01:39:42 #84 №1645326 
IMG20251018013641199.jpg
Bump.
Заболел в начале августа ангиной на неделю, не до конца вылечился (больничный закрыли) и пришлось идти на работу. Через неделю на работе опять заболел (там кондиционер ебучий над оборудованием) уже заболел бронхитом, это врачи так по рентгену сказали. Или ковидом, т.к. еще у менч появилась ломота в ступнях как при гриппе, еще я потел как сука при любом вставании с кровати.
Вобщем выписала лизобакт,и антибиотик, амоксицилин, и не сказала что при его приёме надо пить пробиотики. Я 8 дней пил амоксиклав, еще когда начал помню что после как принял у меня было такое чувство что мне в желудок будто металлические опилки насыли с токарного станка.
Ну короче я тогда выздоровел но после курса амоксицилина меня неприятно жмыхнуло, начали болеть почки, суставы, появился синдром рейно (кончики пальцев на руках краснели и болели)
Вобщем как будто это был аутоиммунный ответ на антибиотики (такое бывает?) Я болел уже месяц и сильно был на измене, несколько раз сдавал анализы на вич/гепатит/спидорак, все отрицательно.
(Ещё забыл добавить у меня весь август пока я болел была температура 37.2 , в сентябре было нормальная)

Короче к концу сентября я опять начал плохо себя чувствую, взял отпуск, отлежался дома, начал чувствовать себя лучше, уже выходил погулять на улицу.. и заболело опять горло. Короче сейчас уже надо работать или не надо- меня уволят, работа сменная и такой больной работник нахуй не нужен
а у меня температура 39.5, болит горло - пикрил.
Как лечится, антибиотики я не хочу пить чтобы меня опять жмыхнуло. По анализу крови 10 окт уже был срб повышен когда я начал заболевать, если что вспомню напишу
Аноним 20/10/25 Пнд 01:46:08 #85 №1645613 
>>1645326
Вызывал врача на дом, опять выписали антибиотик, уже другой, пью второй день, есть слабое рейно, пока побочек больше нет. Горло всё так же болит, теперь уже на другой стороне очаг появился
Аноним 23/10/25 Чтв 22:16:26 #86 №1646154 
Чешится ухо/уши ,особенно после употребления сладкого и чаще всего вечером,с чем может быть связано?как фиксить?
Аноним 26/10/25 Вск 10:26:28 #87 №1646414 
Фарингит.
Сдавал, нашел з. Стафилококк в 10^7 степени кое с горла.
Лечился рекомендацией платного лора: полоскание горла перекисью водорода, почти сразу после запихивание фагов туда и в нос и распитие кефира с каким-то бадом, содержащим высушенные бактерии.
Лор, кстати, прочел и отшатнулся, сказал отойти от него. Стафилококк ко всему, что было, чувствительный.
Стало лучше, недавно простудился и выздоровел, горло не болит адски несколько недель.
Горло болит но не всегда, а иногда когда пересыхает или просто иногда что делать чтоб и это исправить?
Аноним 26/10/25 Вск 10:31:30 #88 №1646415 
>>1646414
>полоскание горла перекисью водорода
Запрещено. Даже 1% раствором. Для этого используют фурацилин.
Аноним 27/10/25 Пнд 00:20:18 #89 №1646485 
>>1645613
Спустя неделю. Язвы в горле зажили но все еще красное. Температура прошла.
Суставы иногда болят, пью напроксен.
Аноним 28/10/25 Втр 19:05:34 #90 №1646682 
Двач дс2. У деда сильные проблемы с слухом. Куда идти - в обычную поликлинику к ЛОРу, частную или сразу к сурдологу? Как не попасть к шарлатану и найти норм врача? Кто сталкивался?
Аноним 05/11/25 Срд 12:40:15 #91 №1647635 
Наверное лет 5-6 назад после использования спрея от соплей Ринорус начался пиздец, перманентные сопли, по нёбу всё это стекает в глотку, во время сна вообще засыхает и приходится отхаркивать с самого утра, да и весь день эта хуйня постепенно генерируется внутри и стекает, или же закладывает нос.
В итоге лор советовал какие-то лекарства и спреи с антибиотиками, которые не дали никакого результата. Разве что после спрея с антибиотиком у меня начало всё сушить и стало ещё хуже, чем с соплями, хотя они стали меньше выделяться, но не перестали.
После чего я закончил курс этого спрея и всё вернулось обратно.
Так же до лечения снимок показал кисту в носовой пазухе, но через пару лет она сама собой рассосалась, но врач изначально сказал типа это из-за кисты и тогда я ещё не начал лечиться, типа терпи лучше, если тупо сопли, потому что иначе тебе полебала расчехлят, вырвут зубы и через месяц эта киста всё равно вернётся обратно.

Кароче я хуй знает что это и жду тут советов.
Аноним 09/11/25 Вск 16:51:12 #92 №1648178 
>>1646682
>Двач дс2. У деда сильные проблемы с слухом. Куда идти - в обычную поликлинику к ЛОРу, частную или сразу к сурдологу? Как не попасть к шарлатану и найти норм врача? Кто сталкивался?
смысл не тянуть?сходи с ним как минимум в обычную
Аноним 03/12/25 Срд 19:48:51 #93 №1651033 
Сап!Подскажите чем лечить ангину, не могу выйти на больничный, поэтому антибиотики по рецепту не доступны.Уже вторую неделю болею, неделя как гнойные пробки вылетают, некоторые с кровью.Температуры нет и не было
Аноним 07/12/25 Вск 15:30:38 #94 №1651352 
СОПЛЯ утром. СОПЛЯ при пробуждении.

Хочу задать такой вопрос, пробовал гуглить, но современный поиск - это пиздец, сплошной нейрослоп с какой-то хуетой про аллергию или бактерии.

Короче, у меня уже много лет утром СОПЛЯ. Просто когда просыпаюсь, то одна или обе ноздри заложены, при сильном высмаркивании вылетает комок слизи (такой вязкий, даже не жидкий). При этом особо проблем с этим нет, в течении дня, и даже спать не мешает. Поэтому я и не думал по этому поводу никогда особо. Просто утром соплю высморкал и всё. Но вот всё таки задумался, что это за хуйня, это же не дефолт? Почему ночью скапливается комок сопли? Причём он где-то там глубоко скапливается, его надо прям выдувать (хотя такого чтобы он не выдувался не было никогда).
Аноним 07/12/25 Вск 15:32:29 #95 №1651355 
>>1651352
Да, добавлю, что сопля не зелёная, и вообще не мерзкая, просто как сгущёная вода прозрачная.
Аноним 07/12/25 Вск 23:57:01 #96 №1651432 
>>1651352
Сейм, у меня перегородка искривлена, мб у тебя также
Аноним 08/12/25 Пнд 00:08:29 #97 №1651434 
>>1645326
Пизду лизал?
Аноним 08/12/25 Пнд 01:19:01 #98 №1651447 
>>1651434
Да. А что?
Аноним 08/12/25 Пнд 01:36:21 #99 №1651450 
>>1651447
Ну и всё, у тебя ЗППП
Аноним 20/12/25 Суб 08:48:54 #100 №1652705 
Посоны, как контрить типов больных тонзиллитом, которые этого не осознают? Сам болею этой хуйней, но чищу миндалины и обычно все збс, пока по РАБотке не встретишь тяжелого тонзилитника блять. Стоит этому челу дыхнуть в радиусе одного метра от меня я сразу же чую этот запашок миндальных пробок, который люди пытаются маскировать жвачкой. Ну хуй бы с ним с запахом, но из за этой хуйни и обостряется мой тонзиллит, от чего я буквально блять чувствую как разбухают мои миндалины. По итогу весь вечер тратишь на то, чтобы убрать эти ебучие пробки и тратишь денюжку на недешевые спреи.
Аноним 20/12/25 Суб 14:48:40 #101 №1652722 
Поздравьте меня. У меня дыра в носу в перегородке между ноздрей. Начал промывать соленой водичкой нос и записался в ЛОРу. Заметил только когда заболел и нос заложило. Вот только когда нос закладывает, ну не дышит и не дышит одна ноздря, а тут свист появился. Посвятил фонариком в носу и увидел дыру. Как-то так к чему готовится, у кого также было?
Аноним 20/12/25 Суб 21:01:25 #102 №1652740 
>>1652722
Нет худа без добра, теперь можно без проблем вставить туда палочку или колечко
Аноним 21/12/25 Вск 09:27:41 #103 №1652771 
>>1652740
Вставлю кость и буду ходить как Сулик в фоллаче.
Аноним 24/12/25 Срд 12:53:49 #104 №1653008 
IMG20251224184852[1].jpg
Пробки по кд с 12 лет, язык с двумя белыми полосками, на передних дужках два красных пятна, перед сном невозможно сглотнуть глоток слизи, миндалины чуть увеличены, на правой две белые точки, суставы легко травмируются, жуткая потливость и сердцебиение при небольших физических нагрузках, быстрая утомляемость, худоба, постоянные сопли. Недавно переболел гонконгским гриппом, в моменте пробило нос -- дышать легко было так, как никогда ранее. А теперь вопрос: почему ЛОР сходу не отправляет на тонзиллэктомию? Типа я кроме имеющихся симптомов, проверяемых буквально за минуту осмотра горла, остальные буду придумывать просто по приколу, чтобы мне гланды удалили? К чему вся эта диагностическая возня, если всё очевидно донельзя? Что мне должно помешать пойти в медтехнику и аптеку, закупиться всем необходимыми сделать тонзиллэктомию самому, вместо бесконечной беготни по госушным кабинетам? И промывания делал и антибиотики пил -- какого чёрта врачьё так ссытся делать операцию, которую проводили за тысячу лет до рождества Христова?
Аноним 01/01/26 Чтв 00:12:48 #105 №1653679 
>>1653008
Надеюсь поможет, мне на 2 месяца помогло, тоже себя чувствовать как человек стал, 0 слабости и ТД. И начался ебучий фарингит и все как раньше. Но горло то не вырежешь как гланды.
Отит и менингит  Butcher 02/01/26 Птн 21:10:03 #106 №1653810 
Товарищи, как быстро отит может перерасти в менингит?
Аноним 18/01/26 Вск 02:54:04 #107 №1655658 
Всем привет друзья, вопрос связанный с отитом.

дня 3-4 назад лежал ночью, началась температура , боль в горле, озноб, и всё присущее. Прошло два дня как меня хуёвило и тут заложило левое ухо, впервые с таким столкнулся, в итоге на вчерашний день я уже просыпаюсь, у меня все симптомы простуды и ещё и заложило левое ухо + начался звон в нём, но какой то боли в плане уха не было.

И вот в ночь со вчера на сегодня у меня немного отошла заложенность левого уха, я обрадовался, НО, через час началсь заложенность правого и она то, в отличие от левого, очень резко и очень быстро добавилась болью.

В экстренной приёмной, лор диагностировал отит.
Рекомендовал амоксиклав, лоротадин (как то так) , ещё что-то и ДИОКСИДИН. Собственно в нём и заключается мой вопрос, нормальное ли назначение, капать дикоксидин в ухо? Молодая отоларинголог посмотрела в моё ухо как будто секунд 10 максимум. Я вернулся домой с больницы, по пути обшарив круглосуточные аптеки. После покупки диоксидина стал искать инфу о нём и, честно говоря, не увидел что бы его назначали при отите.
Аноним 19/01/26 Пнд 00:42:05 #108 №1655848 
На КТ обнаружился зуб в пазухе носа. Целиком. Просто сам по себе как-то там оказался, при том, что мне никогда не удаляли зубы, вообще никакого астоматологического вмешательства не было, помимо пары пломб.
Лор сказала, что ничего с этим делать не нужно. Проблем он не вызовет, а вот удаление его может привести к осложнению. Однако я загуглил и пишут типа, что все пиздец, если там зуб, то нужно его удалять, иначе смерть жопы. Пишет, что это вызывает заложенность носа. Действительно, я без капель вообще не дышу. Может ли это быть связано?
Аноним 19/01/26 Пнд 18:11:39 #109 №1655927 
гной.jpg
Сап медач. Поясни за казеозные пробки в миндалинах. Когда принимал антибиотики (по другой причине) пропадали ненадолго, полоскал бензидамином тоже самое, промывание физраствором тоже ненадолго. Зубы все залеченные, никакой хуйни во рту нет. Есть способы избавиться от них на продолжительное время без удаления гланд? Картинка из интернетов для наглядности.
Аноним 20/01/26 Втр 20:15:32 #110 №1656052 
>>1655927
двачую. у меня что-то типа тонзиллита скорее всего, ангины ебут дважды в год/чаще, мб и у тебя анон. но вот как лечить эту хуйню - вопрос ахуенный, самому искать антибиотики и уж тем более их пить это пиздец, сдавал анализы лично я - на заборе посева вроде как была клебсиелла. какой-то я антибиотик пил, но без толку. плюс ещё язык вечно белый, и щёткой не убирается. аноны, надо реально к лору идти? или сначала к терапевту?
Аноним 21/01/26 Срд 14:57:56 #111 №1656125 
>>1655927
У меня была правая миндалина вся распухшая и обсыпана белыми (жёлтыми) гнойными пробками. Я протёр спиртом шило и сидя перед зеркалом аккуратно расковырял всю хуйню, затем нанёс синтомицин из тюбика на кончик шила и аккуратно размазал на местах удалённых гнойных высыпаний. С тех пор прошло несколько лет, никакого дискомфорта не испытываю, размер миндалин что слева что справа одинаковый.
Аноним 24/01/26 Суб 09:38:16 #112 №1656413 
>>1655927
Как повезет. Для начала - к ЛОРУ за диагнозом и лечением. А потом, почти наверняка придется мыть миндалины. И не надо ждать, что после одного - двух раз всё сразу прочистится. Обычно это дело долгое, особенно если тонзилллит со стажем. Мне потребовалось пару месяцев почти ежедневных промываний и потом ещё несколько лет а преиодических, чтобы добится стойкой ремиссии и снять вопрос с удалением.
Пришлось научится самому промывать миндалины перед зеркалом, благо рвотный рефлекс не слишком выражен.
Начинал я специальным шприцем, для внтригоролвых вливаний, а сейчас пришел к тому, что лучше всего пробки выбивает струя ирригатора. Немного неприятно, зато проще чем шрричем, быстрее и качественно. И лучше мыть не физрастором, по крайней мере по началу, а хлогрексидином.
comments powered by Disqus