Здравствуй двачик, пишет вам простой рентгенолог из мухосранской поликлиники, сегодня я буду флексит
Аноним 19/12/25 Птн 10:18:59 #1 №327804356
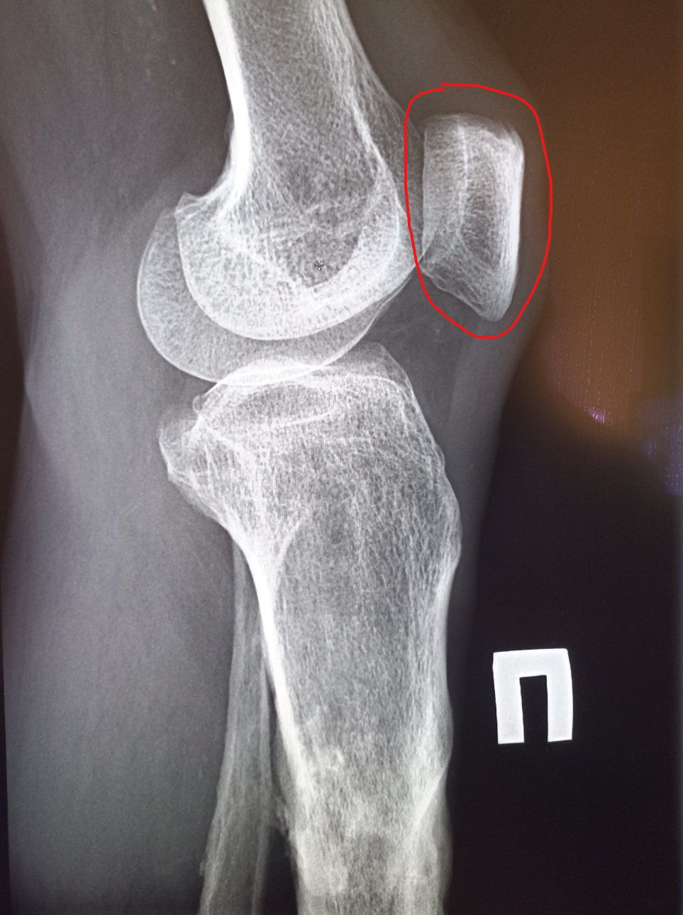
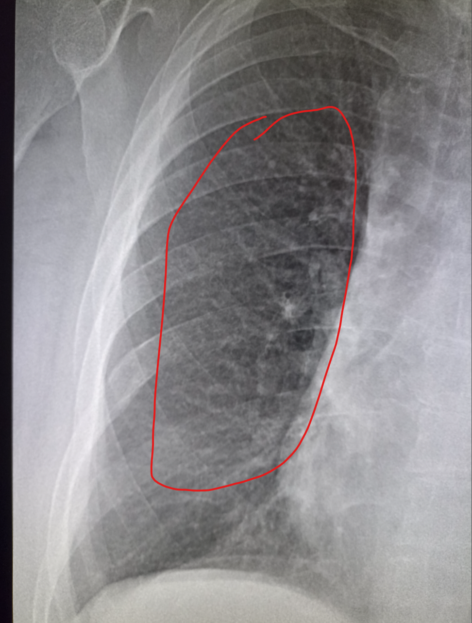
Здравствуй двачик, пишет вам простой рентгенолог из мухосранской поликлиники, сегодня я буду флексить зарплатой за ноябрь! Аж ПЯТЬДЕСЯТ ТРИ ТЫЩИ ПЕРЕВЕДУТ! С пруфом! А чего достигли вы? Ну и в доктора тож поиграем! Я буду вам картинки показывать, а вы пиздецомы находить! Найдите пиздецому на фтчк! Отчет еще по фог считать квартальный и годовой сегодня :-(









































