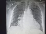
Здравствуй двачик, на прошлой неделе вышел из отпуска и уже дергается глазик, вчера сидел на работке
Аноним 05/02/26 Чтв 09:07:13 #1 №329417269
Здравствуй двачик, на прошлой неделе вышел из отпуска и уже дергается глазик, вчера сидел на работке пока поликлинику не закрыли и не все доделал. Не могу перестать кричать внутри головы! Потому мы с вами будем сегодня играть в доктора! Я буду вам показывать фоточки а вы угадывать пиздецомы! Што шпогнали! Найдите поломку!




















































