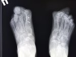
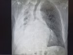
И снова здравствуйте! Сегодня! В этом тредике! Мы будем с вами общатся и играть в доктора! Я буду ва
Аноним 02/03/26 Пнд 09:02:02 #1 №330320459
И снова здравствуйте! Сегодня! В этом тредике! Мы будем с вами общатся и играть в доктора! Я буду вам постировать фоточки, а вы угадывать пиздецомы! Я все еще нихуя не успеваю, пытаюсь описать за 25 число, сегодня задержусь наверное после работы опять пытаясь нагнать нагрузку :-(





















































