>>331449371 (OP) Зубам всегда пизда. Если ты ориентируешься на голливудские улыбки, то должен знать, что он ставят себе зубы после 40, это бриллиантовые зубы, которые регулярно меняют. Простой человек может себе заказать только вставную челюсть, потому что зубы деградируют так или иначе, а еще между зубами образуются проплешины, ну и т.д. и т.п.
>>331449776 Был у стоматолога в школе, лет 15 назад. Зубы не болят, не откалываются, чищу 1 раз в день, жру сладкое регулярно. Зубы просто кривые и все
>>331449788 Пиздец сильно комплексую из за кривизны зубов, из за этого в 7-8 классе замкнулся в себе, перестал улыбаться, смеяться при людях, теперь живу один и ни с кем не общаюсь. Улыбаюсь как Кристиан Бейл, приподнимая уголки губ, смеюсь в голос только дома когда один
>>331450046 > Был у стоматолога в школе, лет 15 назад. Зубы не болят, не откалываются, чищу 1 раз в день, жру сладкое регулярно. Зубы просто кривые и все Правильно и не ходи дальше. Просто заменишь все зубы по методу all-on-4, возможно это даже выйдет дешевле чем лечить их сейчас.
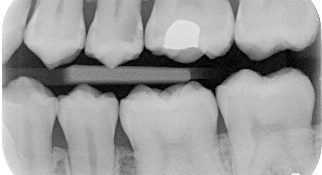
>>331450676 может он полуслепой, таких полно. Найди доктора у который знает что такое byte-wing снимки и/или диагнокам. Если эти штуки на приеме были и там чисто, то переживать не о чем
>>331449435 На одном из передних зубов появилась такая трещина, пошел к стоматологу, тот сказал, что может и до конца жизни не развалится. Через пару месяцев зуб рассыпался. На втором тоже трещинки есть, уже давно и пока, вроде, норм.
>>331450278 зачем их лечить (кстати лечения зубов в прямом смысле этого слова вообще не существует) если с ними нет проблем? с проблемными зубами в это трудно поверить, но даже сейчас есть люди которые действительно не бывают у стоматолога, особо не ухаживают и у них всё в порядке с зубами до пенсии. у меня из примерно 200 человек знакомых есть один такой.
>>331450846 >диагнокам хм. никогда такой штуки не видел.. это насколько старая придумка? а ведь идея то очевидна, пальцы фонариком все же просвечивали..
>>331456715 > зачем их лечить Это ты узнаешь когда у тебя начнут развиваться осложнения, а чек за лечение перевалит за 1кк. > есть люди которые действительно не бывают у стоматолога, особо не ухаживают и у них всё в порядке с зубами до пенсии А есть люди которые курят и живут до 100 лет. Получается курить полезно?