Сохранен 290
https://2ch.su/b/res/331474550.html
К сожалению, значительная часть сохранённых до 2024 г. изображений и видео была потеряна (подробности случившегося). Мы призываем всех неравнодушных помочь нам с восстановлением утраченного контента!

500,000 руб. Мне посчитали лечение брекетами: Диагностика, слепки - 11000 руб. Установка брекетов

 Аноним 01/04/26 Срд 23:19:20 #1 №331474550 
image.png
image.png
image.png
500,000 руб. Мне посчитали лечение брекетами:

Диагностика, слепки - 11000 руб.
Установка брекетов на одну челюсть - 94000 руб.
Контрольный прием, каждый месяц - 11000 руб.
Снятие брекетов - 40000 руб.
Ретейнеры 2 шт. - 31000 руб.
Аноним OP 01/04/26 Срд 23:25:26 #2 №331474715 
0401 (1)(1).mp4
Нужно ли мне это? Врач сказал, что у меня уже зубки стираются из-за прикуса(
Аноним 01/04/26 Срд 23:26:42 #3 №331474756 
Трудно сказать
Половина маилсру говорят что им всё полечили абсолютно бисьплатна, а вторая половина тратит "лямэ"
Аноним 01/04/26 Срд 23:28:15 #4 №331474796 
или тебя ценв не волует, это ты так ра всякий случай написал
Аноним 01/04/26 Срд 23:29:40 #5 №331474836 
>>331474550 (OP)
Ну ты и урод пиздец.
Аноним OP 01/04/26 Срд 23:31:52 #6 №331474876 
image.png
Врач просил задавать ему любые вопросы. Но я постеснялся спрашивать про то, стану ли я чедом? Поэтому я поспешил домой, чтобы спросить у вас. Станет ли у меня красивее челюсть, если я буду носить брекеты?
Аноним 01/04/26 Срд 23:32:02 #7 №331474879 
>>331474550 (OP)
братан у тебя нет верхней части головы нахуй...
Аноним 01/04/26 Срд 23:32:16 #8 №331474890 
>>331474756
Вторая половина права. В российской стоматологии бесплатно только укол, рентген и бетон.
Аноним 01/04/26 Срд 23:32:41 #9 №331474900 
>>331474715
Ну я бы тоже сказал. 500к как никак на кону
Аноним OP 01/04/26 Срд 23:33:29 #10 №331474925 
>>331474796
Я рассчитывал на 200к, при том что их надо будет не единоразово заплатить, а размазать на 2 года. Но смотрю сейчас по другим клиникам, что меньше 290к нет. Но вот 500к это конечно дохуя, тут я ставить брекеты не смогу себе позволить
Аноним 01/04/26 Срд 23:34:12 #11 №331474941 
>>331474715
>зубки стираются из-за прикуса
Днём просто обращай внимание на это, а ночью спи в капе, её делают на заказ в любой стоматологии.

Я бы брекеты ставить не стал, если тебе не 12 лет, это же реально геморой на годы, ради сомнительного результата. Сейчас терпи, в 40 лет просто ебани импланы всех зубов сразу на обе челюсти, такое будет стоит дороже 500к, но зато это будет окончательное решение стоматологического вопроса.
Аноним 01/04/26 Срд 23:35:30 #12 №331474973 
Дороговато, месяц назад ставил, 18 к установка на одну челюсть, слепки 13, мск
Аноним OP 01/04/26 Срд 23:37:10 #13 №331475019 
image.png
>>331474836
Есть ли у меня проблемы, которые бы решились брекетами?
Аноним 01/04/26 Срд 23:37:12 #14 №331475020 
>>331474715
Епт, пока сотрутся, ты уже сам от старости помрешь. Дохуя видел людей со стершимися зубами?
Аноним 01/04/26 Срд 23:37:37 #15 №331475029 
Жесть конечно стоматология развод гоев. Техника со времен античности не поменялась рассверлить хуйню, а стоимость как-будто тебе новую руку вырастили и пришили.
Аноним 01/04/26 Срд 23:38:19 #16 №331475048 
>>331474550 (OP)
Это дорого очень, ставь металлические брекеты.
У меня друг в Смоленск ездит брекеты ставил там, провентилируй там цены, если съэкономлю тебе 250тыс, не благодари. Но тыс 200 я думаю заплатить все же придется.
sage[mailto:sage] Аноним 01/04/26 Срд 23:39:25 #17 №331475076 
>>331474876
Я просто держу зубки как на первой картинке. Немного помогает. Совсем малость выгляжу нормальней, будто бы. Но челюга не сильно решает. Говорю как малорот.
Аноним 01/04/26 Срд 23:40:02 #18 №331475093 
>>331474876
челюсть рил меняется, скулы становятся чуть более выраженные, у кого-то подборок вперед чуть уезжает

но, у каждого все индивидуально, зависит от исходного состояние и какое лечение выбирает ортодонт

Честно говоря, дорого тебе насчитали, у меня на круг вышло 240к за установку и приемы, плюс посещения гигиениста 5к каждое, каждые 3-5 месяцев 2 года подряд, и уход еще на 20к на 2 года(вакса, резинки, щетки, и прочий кал). Делал в ДС в хорошей клинике. Но опять же, все индивидуально, мне лечили бурсит.
Аноним OP 01/04/26 Срд 23:40:58 #19 №331475111 
image.png
>>331475048
Ну я вот сижу цены сравниваю. Понимаю, что дорого. Нашел в других клиниках за 290к
Аноним 01/04/26 Срд 23:42:34 #20 №331475152 
>>331474550 (OP)
Хуясе развод
Аноним 01/04/26 Срд 23:43:50 #21 №331475191 
>>331475111
если дашь суп с листочком от ортодонта или чем-то, то не поленюсь и пойду найду свои записи от ортодонта и бюджет на установку и ведение брекет системы за 2024 год

анон с этого поста >>331475093 если что
Аноним 01/04/26 Срд 23:44:02 #22 №331475199 
>>331475111
Я сам дохуя отдал, у меня в зубы вложено 2млн, но я не чистил, постоянно не чистил, короче долбоеб конченый.
Но сами брекеты посуди, тебе слепок сделать, панарамный сником, далее сами брекеты, установка, корректировка (тут не знаю в какой интервал 2-3 месяца наверно можно), смотря какая система.
Не спеши, зубы твои не развалятся а вот цену адекватную найти себе вполне.
На авито даже ради прикола посмотри. В разные клиники позвони, скинь снимки им, попроси расчитать цену. Где то кредит предлагают и.т.д
КОроче потрать пару дней, за 2 дня ты все равно 250к не заработаешь а сэкономить можно.
Удачи и ровного зубного ряда тебе!
Аноним 01/04/26 Срд 23:46:12 #23 №331475262 
1775076371725.jpg
>>331474550 (OP)
Косоёбликс.
Аноним OP 01/04/26 Срд 23:48:37 #24 №331475330 
image.png
>>331475191
Аноним 01/04/26 Срд 23:49:01 #25 №331475342 
>>331474550 (OP)
>Тратить деньги на выравнивание зубов
представил ебало

Теперь как делают тру битарды. Просто жди когда зубы начнут гнить, затем удаляй по одному-два (можно бесплатно). Когда их останется достаточно мало, делай импланты сразу по 3-4 (оптом дешевле). Или можешь на фулл челюгу протез сделать, это самый выгодный варик, но потом челюга станет чуть более всратой.
Аноним OP 01/04/26 Срд 23:52:41 #26 №331475421 
>>331475342
>Когда их останется достаточно мало, делай импланты
У моего бати были гнилые зубы, и он их не лечил, а потом пришел к такой же мысли, что всех их просто вырвет и поставит импланты. Но оказалось, что с искуственными зубами совсем не те ощущения, как он ожидал. И он очень жалеет, что проебал родные зубы.
Аноним OP 01/04/26 Срд 23:56:58 #27 №331475520 
image.png
Бамп челюхой
Аноним OP 01/04/26 Срд 23:57:54 #28 №331475546 
image.png
Бамп челюхой
Аноним 01/04/26 Срд 23:58:10 #29 №331475557 
image.png
>>331475330
Короче, все доки я проебал, просто папки нет нихуя с ними
Но в файлопомойке нашел таблицу которую заполнял когда считал сколько выйдет на круг лечение

Там чисто то что озвучили в клинике, убери мои болячки, они в левой колонке, но тебе сто проц придется удалять 8ки, так как из за них едет челюсть(ну мне так сказали), это по 6-12к за зуб, зависит от сложности

Добавь еще гигиенист(6 походов за 2 года по 5к) это 30к рублей
И еще приблуды для ухода, плюс были подтяжки и брекеты отлетали когда, но это вроде бы было включено, уже не помню
Аноним 02/04/26 Чтв 00:01:08 #30 №331475631 
>>331475421
>не те ощущения
Зато они не болят от любой хуйни. Хотя, у меня была слабая фантомная боль от горячего/холодного, первые лет 5-6
Аноним 02/04/26 Чтв 00:03:22 #31 №331475694 
>>331474715
>>331474550 (OP)
Пиздец череп стремно выглядит. А дырка там откуда на челюсти?
Аноним OP 02/04/26 Чтв 00:03:27 #32 №331475698 
>>331475557
Спасибо, анон. Кстати, две восьмёрки я уже удалил, там нижний зуб был ретинированный, сложное удаление было. И удалял я по ОМС. А завтра иду удалять ещё две оставшиеся восьмёрки. Надеюсь удалят по ОМС, потому что они все в кариесе. Ну и весь кариес я планировал долечить по ОМС. А еще у меня уздечка языка короткая, собственно по этому вопросу я сегодня и ходил к ортодонту. Тысячи 3 выйдет пластика.
Аноним OP 02/04/26 Чтв 00:04:51 #33 №331475734 
>>331475694
>дырка
Я сам не знал, но оказывается у всех людей есть 2 таких симметричных отверстия, и там нервы проходят
Аноним 02/04/26 Чтв 00:05:32 #34 №331475747 
>>331475557
>удаление восьмерки - 6к
Пф. Удаляли две БЕСПЛАТНО. Ну да, анестезия хуевая, но удалили же! Чтобы я за эту ПЫТКУ еще и платил??? Ну нахуй.
Аноним 02/04/26 Чтв 00:05:35 #35 №331475751 
>>331475698
Снизу больно удалять? Долго заживает?
Аноним 02/04/26 Чтв 00:05:57 #36 №331475758 
>>331474890
Тарас, иди в пизду блять
Ну хулу вы лезете? Ну нахуя? Ну это на башку блять не налазит просто. Только на даунов работает. В итоге что вы что навальнята собираете аудиторию исключительно даунов и потом бомбите "народ не тот"
Кретины блять
Аноним 02/04/26 Чтв 00:06:50 #37 №331475785 
>>331475698
у меня бати оставили осколок зуба в челюсти, потому что врачу в бесплатке лень было сделать рентген, и у него жуткое воспаление пошло, пришлось резать потом и доставать
а знакомому, при удаление в бесплатной, кусок цемента попал в пазуху носовую и киста образовалась, начались мигрени жуткие, потом за 30к удалял в платке когда понял в чем прикол, вот таких история я наслушался о бесплатных клиниках, и теперь только в платку, где тебе КТ делают до и после и еще звонят потом, спрашивают все ли норм
Аноним 02/04/26 Чтв 00:07:22 #38 №331475794 
>>331474550 (OP)
250к на железках в 24 году. Прикус обязательно надо исправлять, потом дороже выйдет его побочки лечить, внешка никак не изменится, это уже на остеотомию.
Аноним 02/04/26 Чтв 00:07:32 #39 №331475800 
>>331474550 (OP)
нормально 250к навара чистыми получается.
Аноним 02/04/26 Чтв 00:07:50 #40 №331475811 
>>331475747
доплати еще 5к-8к и тебе сделают половину челюсти под седацией, ваще кайфовов, теперь все манипуляции долгие с зубами только так
Аноним OP 02/04/26 Чтв 00:08:35 #41 №331475829 
image.png
>>331475751
Сам зуб из-за анестезии не болел естественно, но из-за того что мне 30 минут его долбили молотком, то эти удары отдавались по всей голове. На пикриле я после удаления. Заживало неделю где-то
Аноним 02/04/26 Чтв 00:09:36 #42 №331475861 
>>331474550 (OP)
Ебать ты долбоеб, у тебя хороший прикус, тебя разводят на 500к
Аноним 02/04/26 Чтв 00:11:05 #43 №331475901 
>>331475829
у меня тоже был зуб со сросшимися корнями который толкал всю нижнюю челюсть, удаление около 2 часов шло, выпиливали по кусочкам и доставали, дошли до кости, боль была адская, 3 анестезии, порвали щеку, но и то как у тебя не было, но жрал через трубочку полторы недели
Аноним 02/04/26 Чтв 00:12:02 #44 №331475926 
>>331475811
Ну мне пломбы ставили с нормальной анестезией за деньги мимо кассы коррупция так сказать - вот там вообще ничего не чувствовал.
Аноним 02/04/26 Чтв 00:12:39 #45 №331475946 
>>331475794
Можешь, пожалуйста, про остеотомию рассказать? У меня сильная рецессия подбородка, глубокий/дистальный прикус. Сами зубы довольно ровные, почти идеальные, за исключением большого количества десны и узкого нёба
Стоит ли ставить брекеты или сразу в ортогнатию? Слышал, что брекеты могут только ухудшить ситуацию
Аноним 02/04/26 Чтв 00:13:04 #46 №331475959 
image.png
Аноним 02/04/26 Чтв 00:13:14 #47 №331475965 
>>331475926
ну такие мелочи то ладно, я про всякие вкручивание штифтов и удаления сложные, когда мне удаляли обычную восьмерку, то заняло меньше 5 минут и просто дернули резко, а вот когда здесь удаляли >>331475901, то я задумался о седации уже
Аноним 02/04/26 Чтв 00:15:07 #48 №331476010 
>>331475758
+15, бот
Аноним 02/04/26 Чтв 00:15:13 #49 №331476013 
>>331474550 (OP)
без фото трудно сказать, спереди снизу всратовато выглядит, но в общем-то нормально
я бы не парился особо, если не собираешься луксмакситься и отыгрываться за свои подростковые комплексы, бетабакся и ебя жирух
>>331474715
пчёл... врач - заинтересованное лицо, ясен хуй, он будет говорить, что тебе пизда
sage[mailto:sage] Аноним 02/04/26 Чтв 00:16:46 #50 №331476056 
>>331474550 (OP)
Судя по прикусу у тебя нет какой-то аномалии во рту, которая мешала бы жить и портила внешний вид.
Истерание зубов, хз что за проблема и почему она стоит 500к.

Короче, я бы порекомендовал сходить к участоковому ортодонту, который греть тебя не будет, и поспрашивал, есть ли у тебя реальные проблемы с истиранием, которые могут привести к разрушению зуба.
Можешь еще и другому платному пойти, чтобы понять, есть проблема или тебя просто греют.
Чем больше информации ты собирешь, тем лучше, принимать такое решение на основании вскукарека одного мудака не стоит. Это Россия, сынок.
Аноним 02/04/26 Чтв 00:17:35 #51 №331476080 
>>331475965
>ну такие мелочи то ладно, я про всякие вкручивание штифтов
Это только в частной. Не думаю что до гос дошли такие нанотехнологии.
Аноним 02/04/26 Чтв 00:17:37 #52 №331476083 
>>331475811
это только для даунов
мне в бесплатной вкололи ультракаин и за час вырвали дистопированную ретинированную восьмёрку
Аноним 02/04/26 Чтв 00:18:25 #53 №331476106 
>>331474550 (OP)
>Установка брекетов на одну челюсть - 94000 руб.
Это золотые? Брекеты 15 тыс стоят.
Аноним 02/04/26 Чтв 00:18:44 #54 №331476114 
>>331474900
>>331475020
>>331474941
Этих двачую. Сам кривозубый. Брекеты хуекеты, похуй мне. Хуйня для гоев, жить не мешает по сути, а отдавать 500к ради сомнительного профита не намерен (брекеты неудобные пиздец, челюсть болеть будет, и еще носить годами хуйню эту без гарантии что вообще все назад не расползется после снятия).
Аноним 02/04/26 Чтв 00:19:21 #55 №331476128 
>>331475946
С брекетами год, потом операция, потом ещё пол года-год в брекетах. Если узкое небо может быть две операции. От мульта и выше.
Я делать не стал, мне премоляры вырвали и так зубы задвинули. У меня прямой прикус был.
Аноним 02/04/26 Чтв 00:19:24 #56 №331476130 
>>331475926
ты даун? пломба = кариес
любой обоссанный новокаин этот кал обезболит
Аноним 02/04/26 Чтв 00:20:18 #57 №331476157 
>>331474941
>окончательное решение стоматологического вопроса
А вот нихуя. Имплант может треснуть через какое-то время и придется все выковыривать и переделывать, винты со временем начинают болтаться и их нужно либо подтягивать, либо менять.
Аноним OP 02/04/26 Чтв 00:21:02 #58 №331476173 
image.png
>>331474550 (OP)
>>331474715
Я просто бы хотел разобраться. Вот на этих картинках у меня зубы будто бы чуть вперед торчат? Или у меня проблема только со скученностью зубов? Вообщем в любом случае, пойду в другую клинику, к другому ортодонту, и там уже постараюсь не постесняться задать вопросы про эстетику челюсти...
Аноним 02/04/26 Чтв 00:21:16 #59 №331476179 
image.png
Аноним 02/04/26 Чтв 00:22:20 #60 №331476211 
>>331475020
Мой батя наращивал например.
Аноним OP 02/04/26 Чтв 00:22:33 #61 №331476217 
>>331476056
>сходить к участоковому ортодонту, который греть тебя не будет
Спасибо за совет
Аноним 02/04/26 Чтв 00:22:48 #62 №331476222 
>>331476130
Кариес удаляется и ставится пломба. Первый курс мед шараги...
Аноним 02/04/26 Чтв 00:25:44 #63 №331476319 
>>331476128
Спасибо, анонче, а какая именно операция?
Аноним 02/04/26 Чтв 00:26:55 #64 №331476356 
>>331476319
Укорачивать предлагали нижнюю челюсть.
Аноним 02/04/26 Чтв 00:28:37 #65 №331476396 
>>331474715
Меня врач-терапевт отправляла к врачу ортодонту чтобы он меня убедил поставить брекеты, чтобы ими выровнять 1 зуб, который даже не наклонен никуда, а просто чуть повернуть вокруг оси, и это не мешает и даже не видно.
Но нет, блин - щас все брошу и буду два года ходить с железной проволокой во рту, чтобы развернуть зуб обратно.
Аноним 02/04/26 Чтв 00:31:02 #66 №331476466 
>>331476356
Если говоришь, что прямой прикус был, то есть не мезиальный, то получается подбородок слишком развитый?
Аноним 02/04/26 Чтв 00:33:03 #67 №331476526 
>>331474550 (OP)
Стоматология вся мошеническая, развод на деньги
Аноним 02/04/26 Чтв 00:33:17 #68 №331476535 
Бля это же кринж. Такое ток омежки какие-то носят и то в Америке.
Я ирл в России никого с брекетами. Вот в пиндоских фильмах постоянно или пиздюк или ребенок с этим говном встречается.
Если ты до своего возраста дожил то у тебя нет каких-то явных проблем.
А кривой прикус править это быть конченым дауном
Аноним 02/04/26 Чтв 00:34:06 #69 №331476567 
>>331475758
Исключительно дауны это как раз вата ебучая. Ни одного вменяемого из вас не встретил, от лёгкого дебилизма до глубокой идиотии. Желаю тебе полечить зубки бесплатно и убедиться во всем сказанном
Аноним 02/04/26 Чтв 00:35:52 #70 №331476602 
>>331476466
Ну да, больше обычного, но в глаза не бросается, я пока к ортодонту не попал даже не знал о нем.
Аноним 02/04/26 Чтв 00:38:24 #71 №331476664 
>>331474890
Лидокаин бесплатно, а за что то получше уже плати
Аноним 02/04/26 Чтв 00:38:40 #72 №331476672 
>>331476602
Понял, а мне что посоветуешь сделать, какую операцию? Я слышал про ортогнатическую (jaw surgery/double jaw surgery), но вроде как это очень радикальная и дорогая хуйня, может, гениопластику?
sage[mailto:sage] Аноним 02/04/26 Чтв 00:39:50 #73 №331476697 
>>331474550 (OP)
Пиздаболка нахуй сразу
sage[mailto:sage] Аноним 02/04/26 Чтв 00:40:23 #74 №331476711 
>>331474550 (OP)
>лечение брекетами
Галоперидол не помогает что ли?
Аноним 02/04/26 Чтв 00:41:01 #75 №331476721 
>>331476672
>Понял, а мне что посоветуешь сделать, какую операцию?
Удаление мозга за ненадобностью. Только ресуры жреть.
Аноним 02/04/26 Чтв 00:42:05 #76 №331476740 
>>331476672
> может, гениопластику?
Отличная идея - пусть сиськи тебе вставят, сможешь хуи сосать за деньги, Испокон. Заодно и прикус позволяет это делать нежно нежно.
Аноним 02/04/26 Чтв 00:42:14 #77 №331476742 
>>331476672
Советую сходить к 5-и хорошим ортодонтам, распросить их про варианты и самому уже решить, я так и сделал.
Аноним 02/04/26 Чтв 00:42:58 #78 №331476764 
>>331476742
>Советую сходить к 5-и хорошим ортодонтам
Школьник, ты пизданулся совсем? Ему психиатр нужен, как и тебе.
Аноним 02/04/26 Чтв 00:43:30 #79 №331476774 
17745765616980731947.png
>>331476742
> я так и сделал
Ору нах с маня мечт школоты.
Аноним 02/04/26 Чтв 00:44:12 #80 №331476792 
МОЖНО ЛИ ВЫЛЕЧИТЬ МАНИЮ ВЕЛИЧИЯ БРЕКЕТАМИ?
Аноним 02/04/26 Чтв 00:44:32 #81 №331476797 
>>331474550 (OP)
>Мне посчитали лечение брекетами:
Какая у тебя болезнь, Анонче?
Аноним OP 02/04/26 Чтв 00:45:03 #82 №331476810 
image.png
Аноним 02/04/26 Чтв 00:45:51 #83 №331476829 
>>331476810
А, понял, у тебя и так мозга нет. Ну что же, сэкономил на операции по удалению говна из головы.
Аноним 02/04/26 Чтв 00:47:56 #84 №331476876 
опять ботов нагнали перекрывать скобки
Аноним 02/04/26 Чтв 00:48:19 #85 №331476883 
>>331476764
Почему ты так считаешь, можешь объяснить адекватно?
Аноним 02/04/26 Чтв 00:48:56 #86 №331476898 
>>331476883
Считаю что?
Аноним 02/04/26 Чтв 00:49:03 #87 №331476899 
>>331476742
Спасибо еще раз
Аноним 02/04/26 Чтв 00:49:29 #88 №331476909 
>>331476721
Что тебя заставило написать такой ответ?
sage[mailto:sage] Аноним 02/04/26 Чтв 00:49:50 #89 №331476919 
>>331476883
>тред лечении скобками
>адекватно
кек
sage[mailto:sage] Аноним 02/04/26 Чтв 00:50:12 #90 №331476927 
>>331476909
Что тебе не нравится в объективном ответе?
Аноним 02/04/26 Чтв 00:50:21 #91 №331476929 
>>331476740
А зачем мне это? Я не гей, у меня проблемы со здоровьем, спрашиваю того кто разбирается
Почему я вызвал у тебя такую реакцию?
Аноним OP 02/04/26 Чтв 00:50:26 #92 №331476930 
image.png
>>331475698
Такой был нижний зуб
sage[mailto:sage] Аноним 02/04/26 Чтв 00:50:33 #93 №331476934 
>>331476899
Да пиздуй уже к ортодонтам, Испокон.
sage[mailto:sage] Аноним 02/04/26 Чтв 00:51:03 #94 №331476949 
>>331476929
>у меня проблемы со здоровьем
Какие проблемы?
sage[mailto:sage] Аноним 02/04/26 Чтв 00:51:33 #95 №331476957 
>>331476930
Дурачок постит фотки копипастой с кукла.
Аноним 02/04/26 Чтв 00:51:52 #96 №331476966 
>>331476927
Я не сказал свое отношение к твоему ответу, но даже так, в чем заключается объективность? Почему мой мозг мне не надобен?
sage[mailto:sage] Аноним 02/04/26 Чтв 00:52:13 #97 №331476969 
>>331476929
>спрашиваю того кто разбирается
Школьники разбираются?
Аноним 02/04/26 Чтв 00:52:35 #98 №331476979 
>>331476949
Неправильный прикус, рецессия челюсти/подбородка, из-за этого у меня постоянные боли в пояснице, коленях и т.д
sage[mailto:sage] Аноним 02/04/26 Чтв 00:52:54 #99 №331476984 
>>331476966
>Почему мой мозг мне не надобен?
А зачем тебе моск, если ты им не пользуешься со всей очевидностью.
Аноним 02/04/26 Чтв 00:53:30 #100 №331476996 
>>331476969
Какие школьники? Я спросил человека, который лечился, собирал нужную информацию и т.д
sage[mailto:sage] Аноним 02/04/26 Чтв 00:53:48 #101 №331477007 
>>331476979
>Неправильный прикус, из-за этого у меня постоянные боли в коленях
Ебать тут жыр попер, я ору нах.
Аноним 02/04/26 Чтв 00:53:57 #102 №331477011 
>>331476984
Что тебя подтолкнуло на такой вывод?
Аноним 02/04/26 Чтв 00:54:22 #103 №331477024 
image.png
Аноним 02/04/26 Чтв 00:54:29 #104 №331477028 
>>331477007
Что не так? Это типо пиздеж или че?
sage[mailto:sage] Аноним 02/04/26 Чтв 00:54:32 #105 №331477030 
>>331476996
Так это школьник пиздаболка, как и ты.
sage[mailto:sage] Аноним 02/04/26 Чтв 00:55:05 #106 №331477047 
>>331477011
>>331477028
>>331477024
Саси хуи, трололо зеленое. Как раз с твоим прикусом заебок.
Аноним 02/04/26 Чтв 00:55:20 #107 №331477056 
>>331477030
Почему он пиздаболка и почему я пиздаболка, если я даже ничего не утверждал пока?
sage[mailto:sage] Аноним 02/04/26 Чтв 00:56:10 #108 №331477075 
>>331477056
Напомни какая у тебя болезнь?
Аноним 02/04/26 Чтв 00:56:16 #109 №331477080 
>>331477047
Почему трололо? Я вежливо задаю обычные вопросы, пытаясь понять причину вашего общего негодования
Нахуя мне кидаться бессмысленными оскорблениями?
sage[mailto:sage] Аноним 02/04/26 Чтв 00:56:59 #110 №331477095 
iq-test.png
>>331477080
>мамо, смари, я тралую двач!
>работу найди, трололо мое зеленое...
Аноним 02/04/26 Чтв 00:57:00 #111 №331477096 
>>331477075
Неправильный прикус, если ты про это
sage[mailto:sage] Аноним 02/04/26 Чтв 00:57:43 #112 №331477108 
>>331477096
>Неправильный прикус
Это болезнь?

Что болит?
Аноним 02/04/26 Чтв 00:57:57 #113 №331477117 
>>331477095
Так ты объяснишь, что не так? Я же тебе адекватно пишу без какой-то хуйни, неужели для двача такая редкость встретить такого анона как я?
sage[mailto:sage] Аноним 02/04/26 Чтв 00:58:44 #114 №331477144 
>>331477117
У тебя колени болят из-за прикуса.
Аноним 02/04/26 Чтв 00:58:47 #115 №331477146 
>>331477108
Это неправильно сформированная хуйня, из-за которой у меня проблемы со здоровьем
Аноним 02/04/26 Чтв 00:59:14 #116 №331477159 
Зубной техник. Задавайте вопросы
sage[mailto:sage] Аноним 02/04/26 Чтв 00:59:23 #117 №331477164 
>>331477146
>Неправильный прикус
Это болезнь?

Да или нет?
Аноним 02/04/26 Чтв 00:59:42 #118 №331477177 
>>331477144
И? Ты знаешь, как устроен скелет человека? Если ты считаешь иначе, то будь добр рассказать, я буду рад выслушать
sage[mailto:sage] Аноним 02/04/26 Чтв 00:59:45 #119 №331477179 
>>331477159
Уроки сделал?
sage[mailto:sage] Аноним 02/04/26 Чтв 01:00:06 #120 №331477197 
>>331477177
>Ты знаешь, как устроен скелет человека?
Конечно.
Аноним 02/04/26 Чтв 01:00:18 #121 №331477200 
>>331477164
Да
sage[mailto:sage] Аноним 02/04/26 Чтв 01:00:47 #122 №331477218 
>>331477200
Что болит?
Аноним 02/04/26 Чтв 01:01:01 #123 №331477231 
>>331477197
Можешь рассказать, пожалуйста? Мне будет полезно, особенно то, что меня интересует
sage[mailto:sage] Аноним 02/04/26 Чтв 01:01:20 #124 №331477237 
>>331477177
>Если ты считаешь иначе, то будь добр рассказать,
Кормить тебя кусок говна вниманием?

Плати.
Аноним 02/04/26 Чтв 01:01:25 #125 №331477240 
>>331477218
Челюсть, зубы болят
Аноним 02/04/26 Чтв 01:01:32 #126 №331477241 
>>331477179
Давно отучился. В чем прикол вопроса?
sage[mailto:sage] Аноним 02/04/26 Чтв 01:01:45 #127 №331477248 
>>331477231
Ебанько, сдрисни с двача.
Аноним 02/04/26 Чтв 01:01:48 #128 №331477250 
>>331477237
А, это ты. Скидок нет случайно?
sage[mailto:sage] Аноним 02/04/26 Чтв 01:02:16 #129 №331477258 
>>331477241
Пруфы есть? Нет. На вопрос отвечай.
sage[mailto:sage] Аноним 02/04/26 Чтв 01:03:00 #130 №331477281 
>>331477240
Описывай жопоболь в ощущениях.

>>331477250
Испокон, для тебя всегда наценка в 1000 проценков.
Аноним 02/04/26 Чтв 01:03:12 #131 №331477287 
>>331477248
Бля, а вот если серьезно. Я захожу на двач, может, раз в недельку, когда вспоминаю. Полистаю пару минут, посмотрю, есть ли что-то меня интересующее
Нашел этот тред, задал интересующие вопросы анону, который может мне как-либо помочь. Вопрос. Почему я ебанько и почему ты мне говоришь съебать с двача?
Аноним 02/04/26 Чтв 01:03:46 #132 №331477306 
image.png
>>331477159
Возможно кому то из вас делал диагностику и суставное премещение
Аноним 02/04/26 Чтв 01:04:02 #133 №331477313 
>>331477281
Ноющая боль в челюсти, так же при широком раскрытии рта после щелчка
Аноним 02/04/26 Чтв 01:04:17 #134 №331477318 
>>331474715
Не слушай этих пиздунов, у тебя более менее ровные зубы, нахуй тебе не нужны никакие брэкеты, мало того что 500к отдавать , так еще 2 года с ними мучиться и словить кучу подводных камней. Мне тоже врач задвигал в стоматологии в 30 лет: у тебя очень хуевый прикус, в 40 лет без зубов останешься. В итоге я собирался ставить брэкеты, так и не поставил, прошло 8 лет нихуя не изменилось, зубы не развалились и хуже не стали.
Аноним 02/04/26 Чтв 01:04:35 #135 №331477323 
>>331477258
>>331477306
Я в любом случае техник, не доктор
Аноним 02/04/26 Чтв 01:05:29 #136 №331477339 
>>331475019
нет у тебя никаких проблем, у тебя нормальный подбородок, и особо мощнее он не станет
sage[mailto:sage] Аноним 02/04/26 Чтв 01:06:08 #137 №331477358 
>>331477287
В каком месте твои пуквы правда, ебанько?
sage[mailto:sage] Аноним 02/04/26 Чтв 01:06:33 #138 №331477369 
>>331477306
Уроки сделай, идиот.
Аноним 02/04/26 Чтв 01:07:07 #139 №331477379 
>>331477358
Лан анон, хорошего дня
sage[mailto:sage] Аноним 02/04/26 Чтв 01:07:09 #140 №331477381 
>>331477323
Девственный техник, ты чо, хочешь урины на еблину за пиздину?
Аноним 02/04/26 Чтв 01:07:17 #141 №331477383 
>>331477200
Не выказывая никаких эмоций Кирей не стал соглашаться или противоречить Возможно Арчер принял его молчание как согласие Удовлетворено улыбнувшись он поки
нул комнатуЗакрепленный приподнимается обрубающую
sage[mailto:sage] Аноним 02/04/26 Чтв 01:07:39 #142 №331477386 
>>331477379
Наконец-то дебил понял что нужно уебывать с двача
Аноним 02/04/26 Чтв 01:08:18 #143 №331477400 
>>331477383
?
Аноним 02/04/26 Чтв 01:08:30 #144 №331477405 
>>331477381
>>331477369
Ебанутые? В чем проблема ваша? Школьники ебаные, с которыми не пообщаться даже нормально. Ну гадайте дальше, долбаебы, раз ничего не интересно вам
Аноним 02/04/26 Чтв 01:08:44 #145 №331477412 
>>331477386
Эх, снова негатив один
sage[mailto:sage] Аноним 02/04/26 Чтв 01:08:47 #146 №331477414 
>>331477313
Не может ничего придумать, ленивое говно.
Аноним 02/04/26 Чтв 01:08:52 #147 №331477416 
>>331474550 (OP)
Блять тебе в Бишкеке за 60к поставят корейские
sage[mailto:sage] Аноним 02/04/26 Чтв 01:09:09 #148 №331477426 
>>331477318
Что лечат брекетами?
sage[mailto:sage] Аноним 02/04/26 Чтв 01:09:39 #149 №331477438 
>>331477405
Почему нам должны быть интересны твои маня фантазии?
Аноним 02/04/26 Чтв 01:09:41 #150 №331477439 
>>331477414
Хорошего дня тебе тоже
sage[mailto:sage] Аноним 02/04/26 Чтв 01:10:19 #151 №331477451 
>>331477412
Ты же сказал что уходишь. Еблоид, тебя сколько раз посылать нахуй?

>>331477439
Теперь-то ты сдриснешь или опять станешь вонять?
Аноним 02/04/26 Чтв 01:10:29 #152 №331477457 
image.png
>>331477381
>>331477369
Аноним 02/04/26 Чтв 01:11:07 #153 №331477469 
>>331477438
Просто ты дурачек, ничего, ещё вырастишь. Удачи
sage[mailto:sage] Аноним 02/04/26 Чтв 01:11:19 #154 №331477472 
>>331477457
Девственников берут в дантисты?
Аноним 02/04/26 Чтв 01:11:25 #155 №331477476 
>>331477451
Я забыл, что пожелал хорошего дня. На всякий случай желаю еще раз
Аноним 02/04/26 Чтв 01:11:42 #156 №331477485 
17746887209651521437.png
>500к

Схуяли так дорого? Это и есть та самая бесплатная медицина не как у америкашек?
Аноним 02/04/26 Чтв 01:11:48 #157 №331477488 
Как сделать такой же снимок как в ОП посте?
Сколько стоит
sage[mailto:sage] Аноним 02/04/26 Чтв 01:12:12 #158 №331477496 
>>331477469
>ещё вырастишь
Видала умника - даже русского не знает, но считает себя самым умным.

Школоло соси хуйло.
Аноним 02/04/26 Чтв 01:12:34 #159 №331477505 
>>331477472
У нас нет дантистов в России. Всё, удачи, клоун. И я не девственник, ебал малышку два часа назад) А ты? Можешь не отвечать, пока, лошпед
sage[mailto:sage] Аноним 02/04/26 Чтв 01:12:40 #160 №331477508 
>>331477485
Лошок верит, хуле.
sage[mailto:sage] Аноним 02/04/26 Чтв 01:13:15 #161 №331477524 
>>331477476
>>331477488
>>331477505
Школие обоссано и слито мелким оптом.
Аноним 02/04/26 Чтв 01:13:21 #162 №331477528 
>>331477496
Я не русский, мне похуй на грамотность - я делаю бабки, причем удаленно в стоматологии
Аноним 02/04/26 Чтв 01:13:54 #163 №331477538 
>>331477524
Ахаахахахахаха, а сколько тебе лет, анон?
Аноним 02/04/26 Чтв 01:14:01 #164 №331477541 
>>331477488
Около 5к
Аноним 02/04/26 Чтв 01:14:05 #165 №331477543 
>>331477508
Сколько на самом деле стоит, скажи пидарюндель.
sage[mailto:sage] Аноним 02/04/26 Чтв 01:14:05 #166 №331477544 
>>331477528
> я делаю бабки, пруфов не будет!
Школьники совсем пизданулись
Аноним 02/04/26 Чтв 01:14:41 #167 №331477557 
>>331477524
Да ты че ебанутый я про цену спросил
sage[mailto:sage] Аноним 02/04/26 Чтв 01:14:43 #168 №331477558 
>>331477528
Ахаахахахахаха, а сколько тебе лет, анон?
sage[mailto:sage] Аноним 02/04/26 Чтв 01:15:04 #169 №331477563 
>>331477538
Около 5к
Аноним 02/04/26 Чтв 01:15:08 #170 №331477566 
>>331477558
29
Аноним 02/04/26 Чтв 01:15:15 #171 №331477569 
>>331477541
Спасибо анон
sage[mailto:sage] Аноним 02/04/26 Чтв 01:15:26 #172 №331477571 
>>331477557
Спроси там где их делают, ебанько.
sage[mailto:sage] Аноним 02/04/26 Чтв 01:15:47 #173 №331477576 
>>331477566
Пруфай.
sage[mailto:sage] Аноним 02/04/26 Чтв 01:16:09 #174 №331477581 
>>331477569
Пожалуйста, хочешь еще урины?
Аноним OP 02/04/26 Чтв 01:16:23 #175 №331477586 
>>331477488
КЛКТ, 4500 руб, с височно-нижнечелюстным суставом около 5к
sage[mailto:sage] Аноним 02/04/26 Чтв 01:16:29 #176 №331477590 
>>331477541
>Около 5к
Пруфы?
Аноним 02/04/26 Чтв 01:16:42 #177 №331477594 
>>331477563
А почему ты на меня вонять начал ни с того ни с сего? Я что, правда тролль по меркам двача?
Аноним 02/04/26 Чтв 01:16:47 #178 №331477601 
>>331474550 (OP)
Если ты в России живёшь, то нахой нинужно!
sage[mailto:sage] Аноним 02/04/26 Чтв 01:16:53 #179 №331477604 
>>331474550 (OP)
Пруфай дефектовку.
Аноним 02/04/26 Чтв 01:17:02 #180 №331477607 
>>331477569
КТ головы называется. Самое пиздатое делают в диагностическом центре "Пикассо", оно во многих городах есть
sage[mailto:sage] Аноним 02/04/26 Чтв 01:17:28 #181 №331477619 
>>331477594
Колени болят?
sage[mailto:sage] Аноним 02/04/26 Чтв 01:17:50 #182 №331477631 
>>331477607
>Самое пиздатое делают
В чем состоит пиздатость?
Аноним 02/04/26 Чтв 01:17:57 #183 №331477633 
>>331477576
Возраст? Нахуяя? Тоже скучно брат? Тоже сна нет? Тоже чувствуешь себя одиноким и откладываешь сон на потом?
sage[mailto:sage] Аноним 02/04/26 Чтв 01:18:28 #184 №331477644 
>>331477633
Пруфов нет, школьник обоссан и слит.
Аноним 02/04/26 Чтв 01:18:29 #185 №331477645 
>>331474550 (OP)
>>331474715
Я бы на твоём месте не стал. У меня хуже гораздо.
Аноним 02/04/26 Чтв 01:18:36 #186 №331477647 
>>331477631
В правильности и понимании протоколов. Поверь, даже КТ можно хуево сделать, где будет всё в шумах, к примеру
sage[mailto:sage] Аноним 02/04/26 Чтв 01:18:50 #187 №331477650 
>>331477607
>оно во многих городах есть
Оно - что?
Аноним 02/04/26 Чтв 01:18:59 #188 №331477655 
>>331474550 (OP)
Прогрев гоев
Аноним 02/04/26 Чтв 01:19:03 #189 №331477659 
Зубной техник в треде, задавайте свои ответы
sage[mailto:sage] Аноним 02/04/26 Чтв 01:19:14 #190 №331477664 
>>331477647
Ответь на вопрос в чем пиздатость КТ.
sage[mailto:sage] Аноним 02/04/26 Чтв 01:19:34 #191 №331477675 
>>331477659
Что на работе?
Аноним 02/04/26 Чтв 01:19:43 #192 №331477678 
>>331477644
*он
диагностический центр
Аноним 02/04/26 Чтв 01:20:10 #193 №331477690 
>>331477664
3д проекция
sage[mailto:sage] Аноним 02/04/26 Чтв 01:20:11 #194 №331477691 
>>331477505
>У нас нет дантистов в России.
А кто есть?
sage[mailto:sage] Аноним 02/04/26 Чтв 01:20:34 #195 №331477698 
>>331477678
Где пруф цены?
Аноним 02/04/26 Чтв 01:20:35 #196 №331477699 
>>331477659
Нет я зубной техник
sage[mailto:sage] Аноним 02/04/26 Чтв 01:20:59 #197 №331477707 
>>331477690
Куда 3д можно спроецировать?
Аноним 02/04/26 Чтв 01:21:04 #198 №331477711 
>>331477691
Врачи, зубные техники, гигиенисты
Аноним 02/04/26 Чтв 01:21:07 #199 №331477712 
>>331477619
Не переводи тему, уже вытер с майки пятно от пива?
Аноним 02/04/26 Чтв 01:21:20 #200 №331477717 
>>331475048
>Смоленск ездит брекеты ставил там, провентилируй там цены, если съэкономлю тебе 250тыс, не благодари. Но тыс 200 я думаю заплатить все же придется.
А потом каждый месяц мотайся в Смоленск дуги менять и подтягивать, лел. На билетах за год-два отдашь те же деньги
Аноним OP 02/04/26 Чтв 01:21:44 #201 №331477730 
17355956810221.png
Я даже бороду пытался отрастить, лишь бы скрыть "птичий профиль"
Аноним 02/04/26 Чтв 01:21:51 #202 №331477733 
>>331477707
За щеку.
Аноним 02/04/26 Чтв 01:22:07 #203 №331477739 
>>331477707
Куда угодно где есть 3д софт работающий с DICOM файлами
Аноним 02/04/26 Чтв 01:22:57 #204 №331477759 
>>331477707
Специальный софт есть, exocad называется. Там почти все изделия проектируются cad, потом уже на станках производство CAM
Аноним 02/04/26 Чтв 01:23:48 #205 №331477779 
>>331477759
Тебя про КТ спрашивают коллега, причем тут кад и сам? Часто печатаешь или фрезируешь черепа?
sage[mailto:sage] Аноним 02/04/26 Чтв 01:23:54 #206 №331477780 
>>331477711
Ты же ебанько просто нахуй школьник тупой, лол.

Не знаешь обычных названий зубных профессий.
Аноним 02/04/26 Чтв 01:24:16 #207 №331477792 
>>331474550 (OP)
Жиды своего не пустят содрать с гоя три шкуры.
sage[mailto:sage] Аноним 02/04/26 Чтв 01:24:50 #208 №331477809 
>>331477733
>>331477739
>>331477759
>поциент купит софт за 10к бакс и смотрит три де
Пиздаболки тут же высрали маня фантазии.
Аноним 02/04/26 Чтв 01:25:00 #209 №331477812 
>>331477780
Кукарейкай, пока я делаю бабки горами)
sage[mailto:sage] Аноним 02/04/26 Чтв 01:25:30 #210 №331477823 
>>331477730
Те чо мало ссанины на еблину?
sage[mailto:sage] Аноним 02/04/26 Чтв 01:26:08 #211 №331477842 
>>331477812
> я делаю бабки горами, пруфов не будет
Уроки делай, горе ты бабкино.
Аноним OP 02/04/26 Чтв 01:26:16 #212 №331477845 
image.png
>>331477707
Аноним 02/04/26 Чтв 01:26:17 #213 №331477847 
>>331477809
пациенту нахуя кт? не знаешь - покукарекай, пока делаю бабки я

+ много бесплатного софта, где можно открыть кт и даже распечатать себе при желании

а 10к баксов никто не платит, все пользуются взломом
sage[mailto:sage] Аноним 02/04/26 Чтв 01:27:02 #214 №331477870 
>>331477845
>>331477847
Школие не унимается и требует обоссать. Пссс...
Аноним 02/04/26 Чтв 01:27:28 #215 №331477875 
>>331477730
>Я даже бороду пытался отрастить
Это снижает боль?
Аноним 02/04/26 Чтв 01:28:02 #216 №331477892 
>>331477870
кукарекай, а я завтра часть зп получаю, пойду себе мак новый брать)
Аноним 02/04/26 Чтв 01:28:05 #217 №331477896 
>>331477847
>а 10к баксов никто не платит, все пользуются взломом
Ворьё!
Аноним 02/04/26 Чтв 01:28:43 #218 №331477910 
narciss.png
>>331477892
Аноним 02/04/26 Чтв 01:28:58 #219 №331477920 
>>331477896
санкции, хули поделать

зато делаю лавандос
Аноним 02/04/26 Чтв 01:29:14 #220 №331477934 
>>331477892
Поздравляю с покупкой коллега
Аноним 02/04/26 Чтв 01:29:24 #221 №331477939 
rabotat.jpg
>>331477920
Аноним 02/04/26 Чтв 01:30:39 #222 №331477975 
>>331477934
<3
Аноним OP 02/04/26 Чтв 01:33:14 #223 №331478045 
image.png
Проблема в том, что когда я себя фоткаю, я максимально позирую своей челюстью. Но если я увижу свою фотку со стороны, то там у меня всегда "птичий профиль", потому что челюсть расслабленная и находится в своем естественном положении
Аноним 02/04/26 Чтв 01:33:47 #224 №331478059 
>>331477875
Это даже не я, еблан старый
Аноним 02/04/26 Чтв 01:35:46 #225 №331478129 
>>331478045
Ты же наглухо перекрытый олигофрен, пукловник Тормозкалов.
Аноним 02/04/26 Чтв 01:36:19 #226 №331478148 
>>331478059
>я, еблан старый
Пруф возраста.
Аноним 02/04/26 Чтв 01:37:21 #227 №331478174 
>>331478045
> я себя фоткаю
Зачем ты себя постоянно фотографируешь?
Аноним 02/04/26 Чтв 01:37:25 #228 №331478177 
>>331478148
Иди пивка наверни, скуфяра позорный
Аноним 02/04/26 Чтв 01:38:01 #229 №331478191 
>>331478177
Мне 18 лет. Я порвал тебе пукан, дядя?
Аноним 02/04/26 Чтв 01:41:33 #230 №331478289 
sex.jpg
>>331478045
Постригись и побрейся, додик.
Аноним OP 02/04/26 Чтв 01:43:20 #231 №331478344 
image.png
>>331478174
Не постоянно. Вот тут я нашел старое фото, здесь видно что я даже специально сомкнул зубы в неестественном положении, лишь бы не было "птичьего профиля"
Аноним 02/04/26 Чтв 01:43:49 #232 №331478362 
>>331478191
Будучи 18 летним используешь слово "школьник"? Беги в лесополосу уже, не позорься
Аноним 02/04/26 Чтв 01:44:06 #233 №331478368 
1775083439977.mp4
>>331474550 (OP)
Аноним 02/04/26 Чтв 01:44:48 #234 №331478397 
>>331478344
Тебе надо процент жира сбросить до 12 хотя бы для ангулярити. Посмотри Мартина, если тебе интересна тема внешности
Аноним 02/04/26 Чтв 01:45:37 #235 №331478418 
>>331474550 (OP)
Сделал в Москве, обе челюсти, самолигирующиеся, вместе со слепками 38к.
+ По биглиону сделал 3д скан челюг в начале, как же вас гоев ебут всю жизнь
Аноним 02/04/26 Чтв 01:45:58 #236 №331478430 
>>331474550 (OP)
Хуета для гоев. Лучше съезди на эти 500к в тайлан и выеби там побольше шлюх. У тебя нормальная челючть, а на кривые зубы похцуй
Аноним 02/04/26 Чтв 01:46:14 #237 №331478436 
>>331478418
Снимок вышел 2600 на добрынинской
Аноним 02/04/26 Чтв 01:47:01 #238 №331478460 
1000025665.mp4
1000025666.mp4
1000025667.mp4
1000025669.mp4
>>331478397

Пососи хуяку дырявый

Я смотрю Клава
Аноним 02/04/26 Чтв 01:48:02 #239 №331478492 
>>331478344
Зачем ты себя фотографируешь?
Аноним 02/04/26 Чтв 01:48:16 #240 №331478494 
>>331474550 (OP)
Если хочешь стать гигачедом езжай в Корею, тебе там за эти 500к сделают ахуенную пластику, ипланты вставят, скулы расширят. Эффект будет в 100 раз лучше чем от брекетов ебаных
Аноним 02/04/26 Чтв 01:48:30 #241 №331478502 
>>331478362
Дядя, очко свое шей.
Аноним 02/04/26 Чтв 01:48:55 #242 №331478520 
>>331478418
Пруфы, маня.
Аноним 02/04/26 Чтв 01:49:18 #243 №331478529 
>>331478494
Если хочешь стать гигачедом езжай в Корею.
Аноним 02/04/26 Чтв 01:49:33 #244 №331478539 
>>331476526
>Стоматология вся мошеническая, развод на деньги
Ебать дегенератус.

>>331474550 (OP)
Графон как в третьем флауте.
Аноним 02/04/26 Чтв 01:49:45 #245 №331478549 
>>331478460
Жыртрест криворотый бахнул.
Аноним 02/04/26 Чтв 01:50:17 #246 №331478559 
>>331478502
До чего же ты тупой сука, хуею с дуры скуфийной
Аноним 02/04/26 Чтв 01:51:25 #247 №331478593 
1000025691.mp4
1000025670.mp4
1000025664.mp4
>>331478549
Так Клав рили круче
Нафиг смотреть какого то нонейм петуха когда есть клавикус
Аноним 02/04/26 Чтв 01:51:38 #248 №331478599 
>>331478494
плохая затея, не оч качественное лечение там
Аноним 02/04/26 Чтв 01:52:37 #249 №331478628 
>>331478593
Еблан? Клав коммерс дефолтный, Мартина я посоветовал, потому что он будет ближе среднему двачеру, более того, он куда больше разбирается в теме
Аноним OP 02/04/26 Чтв 01:55:20 #250 №331478682 
image.png
Аноним 02/04/26 Чтв 01:55:56 #251 №331478694 
>>331478628
Мартин моггает но он черный
Аноним 02/04/26 Чтв 01:58:21 #252 №331478750 
>>331478694
Не могает, клав выше по рейту, но Мартин кайфарик еще тот
Аноним 02/04/26 Чтв 02:00:58 #253 №331478808 
>>331478593
Клав инцел смысл смотреть инцела
Аноним 02/04/26 Чтв 02:02:23 #254 №331478837 
>>331476898
То, что мне психиатр нужен
Аноним OP 02/04/26 Чтв 02:05:18 #255 №331478892 
image.png
>>331475019
Аноним OP 02/04/26 Чтв 02:06:43 #256 №331478921 
image.png
>>331478892
Аноним 02/04/26 Чтв 02:16:52 #257 №331479089 
Бамп
Аноним 02/04/26 Чтв 02:17:12 #258 №331479097 
>>331474550 (OP)
Наеб в том, что брекеты не исправляют прикус, они только смещт зубы. В конце тебе преждожат сделать операцию за миллион
Аноним 02/04/26 Чтв 02:21:40 #259 №331479168 
>>331479097
Какую операцию?
Аноним 02/04/26 Чтв 02:24:26 #260 №331479213 
>>331479168
Двухчелюстная остеотомия
Аноним 02/04/26 Чтв 02:29:01 #261 №331479279 
>>331479213
Как связан прикус с челюстью?
Аноним 02/04/26 Чтв 02:38:36 #262 №331479429 
>>331479279
Как связан гемморой с анусом?
Аноним 02/04/26 Чтв 02:39:09 #263 №331479436 
>>331474550 (OP)
Аноним 02/04/26 Чтв 02:41:31 #264 №331479463 
>>331479429
Не знаю, не разбираюсь в геморрое
Аноним 02/04/26 Чтв 02:46:26 #265 №331479522 
>>331474550 (OP)
тебе нужно найти нормального врача или клинику. то что ты написал это оверпайс. какой город? я в ортодонтии уже 12 лет
Аноним 02/04/26 Чтв 02:50:46 #266 №331479573 
>>331474550 (OP)
Ну ты же 300к наносек. В чём проблема?
Аноним OP 02/04/26 Чтв 02:51:03 #267 №331479577 
>>331479522
>я в ортодонтии уже 12 лет
Ты лучше скажи, нужно мне это вообще? Станет ли у меня выразительнее лицо?
Аноним OP 02/04/26 Чтв 02:53:09 #268 №331479607 
>>331479573
Ну 100 с лишним я смогу за раз заплатить, а далее в течении двух лет по чуть чуть вкидывать. К 250-300к я уже морально готов
Аноним 02/04/26 Чтв 02:56:54 #269 №331479647 
>>331479577
для этого нужны фото твоего ебла и фотопротокол зубов . по стандартам. я могу показать своим спецам , а еще лучше пособирай мнения други ортодонтов . их как собак не резаных
Аноним 02/04/26 Чтв 02:59:44 #270 №331479693 
IMG6706.JPG
IMG6711.JPG
IMG6712.JPG
IMG6713.JPG
IMG6715.JPG
>>331479577
Фотопротокол
Аноним 02/04/26 Чтв 03:35:11 #271 №331480104 
Аноним 02/04/26 Чтв 04:05:41 #272 №331480380 
Аноним 02/04/26 Чтв 04:26:00 #273 №331480597 
>>331474550 (OP)
Абсолютно нормальная челюсть, тебя разводят на бабло. Я напоминаю, что после брекетов зубы продолжат разъезжаться в разные стороны, могут даже выпасть нахуй. Оно тебе надо?
Аноним 02/04/26 Чтв 04:28:08 #274 №331480624 
>>331475019
Красивый сексуальный профиль, успокойся. Я бы облизал эти губки.
Аноним 02/04/26 Чтв 05:51:03 #275 №331481395 
Аноним 02/04/26 Чтв 05:51:31 #276 №331481399 
Ебанись цены, тебя наебывают, я лет 10 назад носил, было система 30, установка 30, потом каждый прием раз в месяц по 5к, сейчас узнавал у своего врача цены уже ребеноку хотим ставить система 60, установка 60, приемы по 10к, тупо удвоилось, но и срок не малый прошел, а тебя гоя нагревают на х5 цену, врач из Москвы кстати мой
Аноним 02/04/26 Чтв 05:57:41 #277 №331481444 
>>331474925
200к пять лет назад было. Сейчас 500к нормальная цена.
Аноним 02/04/26 Чтв 06:15:15 #278 №331481591 
Как же хочется All-on-4...
Аноним 02/04/26 Чтв 06:34:38 #279 №331481765 
>>331474550 (OP)
>500,000 руб
Чурка без ОМС что ли? Страдай, хуле.
Аноним 02/04/26 Чтв 06:43:06 #280 №331481869 
>>331474550 (OP)
Напомню, что часто брекеты избыточны, достаточно обойтись шиной. Но врачам нужны деньги.. а этот долбоеб будет носить каждый месяц. И слепок и диагностика 11К это конечно классно придумано.
Аноним 02/04/26 Чтв 06:50:02 #281 №331481944 
>>331474876
>>Врач просил задавать ему любые вопросы. Но я постеснялся спрашивать про то, стану ли я чедом?

Привет, я не мог до тебя дозвониться. На консультации я видел в твоих глазах прямой вопрос: понихаю ли я девочку после лечения.

Могу тебя заверить, что жизнь твоя и моя, ведь мы с любовницей планируем слетать на Мальдивы сильно изменится после лечения. Так что не переживай, все будет хорошо.

А что касается женских сочных писек, то оставь их реальным чедам и магам. Даже нормисы чуть чуть достанется с барского стола. Но не тебе. Извини
Аноним 02/04/26 Чтв 06:52:41 #282 №331481975 
Когда смыкаю челюсть, верхние зубы передние полностью закрывают зубы нижние. Это дистальный прикус?
Аноним 02/04/26 Чтв 07:07:21 #283 №331482145 
Безымянный2.png
>>331474550 (OP)
>500,000 руб.
>Диагностика, слепки - 11000 руб.
Аноним 02/04/26 Чтв 08:58:10 #284 №331484073 
>>331476222
да, маня
в большинстве случаев эту хуйню даже не обезболивают, чтобы время не тратить
>>331475926
>с нормальной анестезией за деньги мимо кассы
но у двачера такая тряска, что он аж мимо кассы заносит деньги, видимо БАНДИТАМ, чтобы его морфием укололи
sage[mailto:sage] Аноним 02/04/26 Чтв 09:00:10 #285 №331484120 
>>331474550 (OP)
гой, неси деньги, тебе тут рентген сделали аж, давай бери кредит и топай платить, дяде за нихуя и воздух

если у тебя с рождения зубы кривые в твоего ребенка они будут такие же
Аноним 02/04/26 Чтв 09:11:59 #286 №331484385 
image.png
image.png
>>331474550 (OP)
Абсолютно нормальные зубы, лучше чем у большинства жителей страны

Брекеты взрослому человеку имеет смысл ставить, если там какой-то пиздец - все криво, клык хуй знает где, типа пикрилов

Ты врача больше слушай, лол, он - материально заинтересован, чтоб ты ему шекелей завел.

Еще учитывай, что после каждого контрольного приема у тебя пиздец будут зубы болеть, неделю если повезет, две если нет
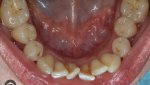
Аноним 02/04/26 Чтв 10:14:03 #287 №331486016 
>>331484385

Двач, 2026, итоги.

Манюш, брекеты ставят не только чтобы выровнять зубной ряд, но и чтобы выровнять прикус (Положение нижнего ряда относительно верхнего). Да-да, та самая инцельская "западающая" нижняя челюха.
Аноним 02/04/26 Чтв 10:21:33 #288 №331486242 
image.png
>>331484385
Аноним 02/04/26 Чтв 10:34:25 #289 №331486634 
image.png
>>331486016
пиздабол, нихуя брекеты не поменяют, потому что челюсть - кость
её только операцией менять
Аноним 02/04/26 Чтв 10:35:52 #290 №331486691 
>>331474550 (OP)
Ололо, дианон по реконструкции лица на черепе.
comments powered by Disqus