Сохранен 485
https://2ch.su/b/res/64592832.html
К сожалению, значительная часть сохранённых до 2024 г. изображений и видео была потеряна (подробности случившегося). Мы призываем всех неравнодушных помочь нам с восстановлением утраченного контента!
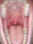
Аноним Срд 19 Мар 2014 00:30:53  #1 №64592832 
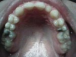
1395174653819.jpg

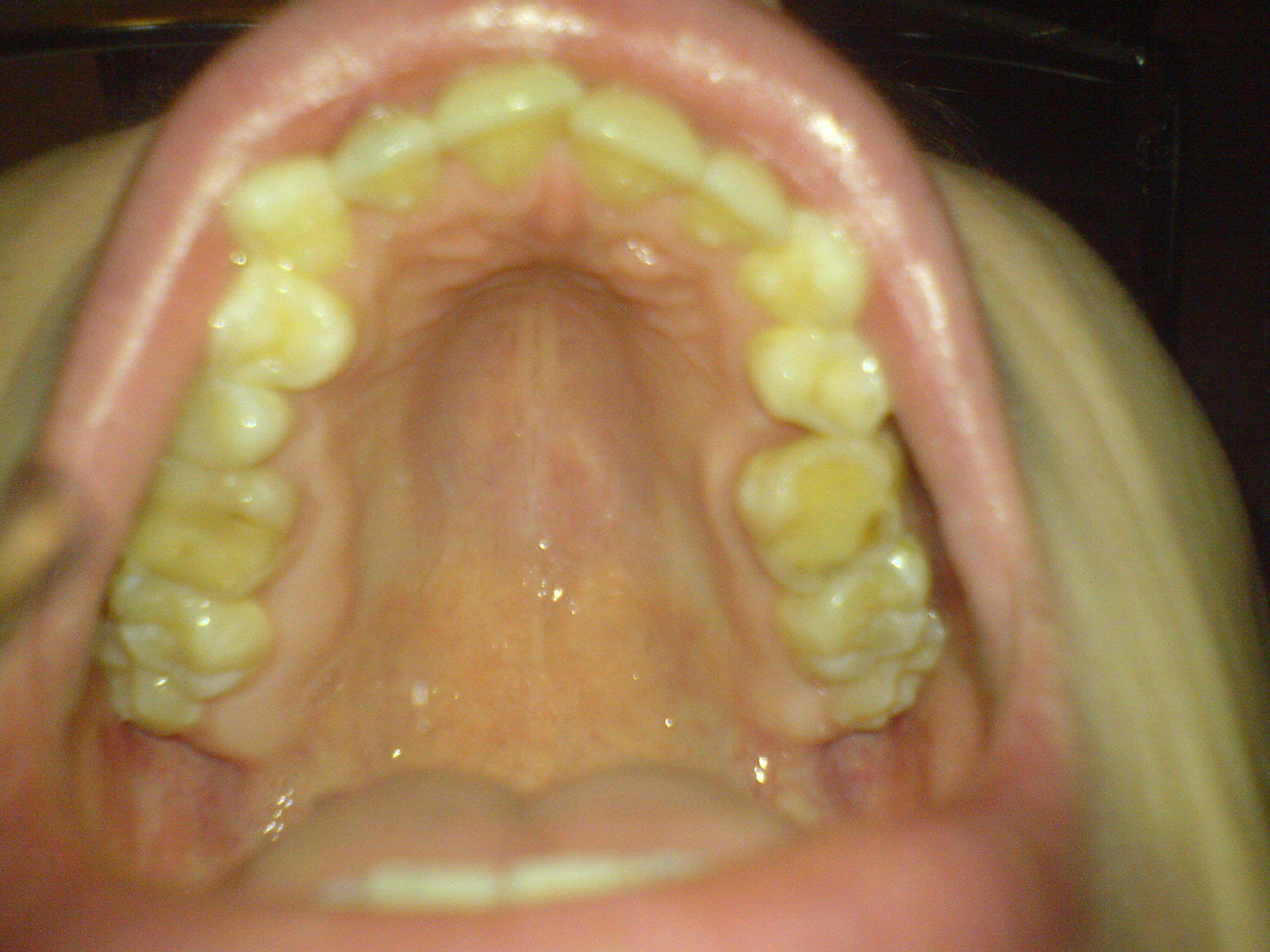
Постим ИТТ свои зубки. Имею две вот такие неприятности. Что делать, куда бежать?

Аноним Срд 19 Мар 2014 00:31:40  #2 №64592877 

>>64592832
Умри сука

Аноним Срд 19 Мар 2014 00:32:14  #3 №64592911 
1395174734767.jpg

>>64592877

Аноним Срд 19 Мар 2014 00:32:34  #4 №64592923 
1395174754578.jpg

Бампец зияющей дырой.

Аноним Срд 19 Мар 2014 00:32:47  #5 №64592935 


>>64592832
У тебя язык в трещинах.

Аноним Срд 19 Мар 2014 00:33:24  #6 №64592980 

>>64592923
Ты туда дрочишь?

Аноним Срд 19 Мар 2014 00:34:39  #7 №64593046 

>>64592935
А что это значит?
инб4 это значит, что ты пидор

Аноним Срд 19 Мар 2014 00:35:19  #8 №64593087 

>>64592923
Я чета не понял. Если зуб удалили, то черноты быть не должно. Если у тебя просто настолько разрушился зуб, то не должно быть крови.
Срочно беги к стоматологу, идиот.

Аноним Срд 19 Мар 2014 00:35:57  #9 №64593126 

>>64593087
Зубной сифилис?

Аноним Срд 19 Мар 2014 00:36:53  #10 №64593183 

>>64593126
Нет, мне было похуй и за какой-то годик-второй он полностью сгнил.

Аноним Срд 19 Мар 2014 00:37:37  #11 №64593220 

>>64593183
У тебя хуй сгнил.

Аноним Срд 19 Мар 2014 00:37:39  #12 №64593224 
1395175059731.jpg

Мыльновато.
>dat two krivie zybi

Аноним Срд 19 Мар 2014 00:38:14  #13 №64593258 

>>64593183
А кровь откуда?

Аноним Срд 19 Мар 2014 00:38:15  #14 №64593260 

Кончил от оп пика

Аноним Срд 19 Мар 2014 00:39:42  #15 №64593362 

>>64593258
Прогнило почти до конца, лол.

Аноним Срд 19 Мар 2014 00:40:49  #16 №64593427 

>>64593224
О, эту королевскую желтизну не скроет никакое мыло, уважаю.
ОП-хуй

Аноним Срд 19 Мар 2014 00:41:08  #17 №64593442 

>>64593362
Все равно не понятно, откуда кровь. Оно у тебя постоянно кровоточит или как?
Чего к доктору не идешь?

Аноним Срд 19 Мар 2014 00:41:47  #18 №64593487 
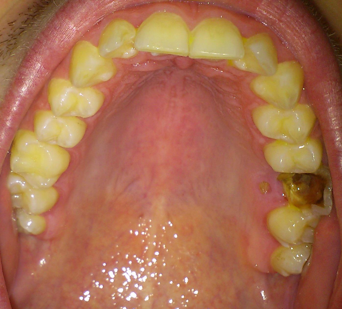
1395175307722.jpg

А я думал, это у меня с зубами проблемы. А я оказывается счастливый человек.

Аноним Срд 19 Мар 2014 00:42:31  #19 №64593532 

>>64593427
>уважаю
Прозвучало как оскорбление.

Аноним Срд 19 Мар 2014 00:42:57  #20 №64593557 
1395175377727.jpg

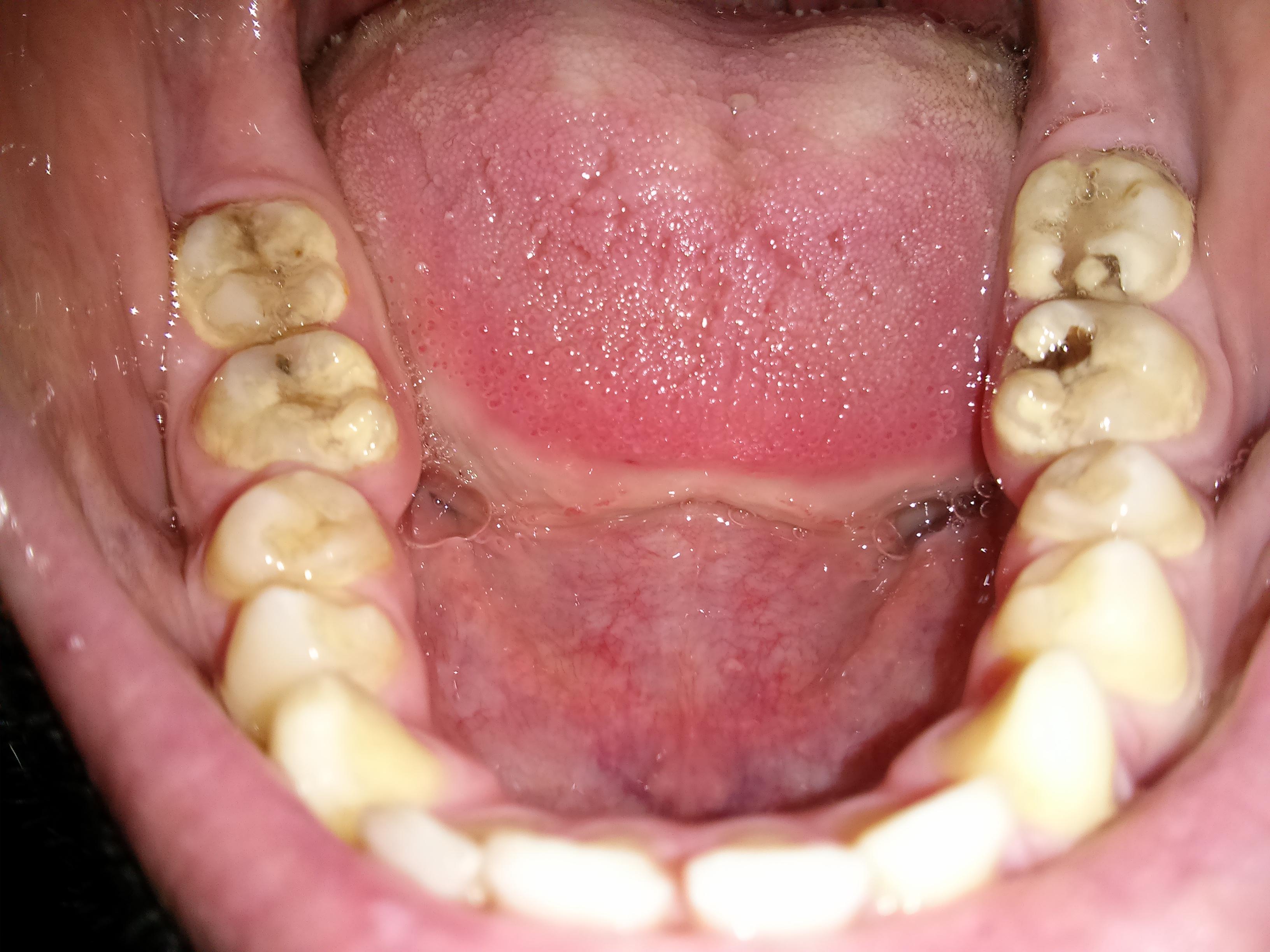
Мои нижние.
ОП-хуй.

Аноним Срд 19 Мар 2014 00:44:22  #21 №64593631 

>>64593557

Аноним Срд 19 Мар 2014 00:44:43  #22 №64593650 

>>64592832
Зачем задавать вопросы, если уже знаешь на них ответы то? Куда еще можно бежать с зубами как не к зубному? Или утебя печень болит?

Аноним Срд 19 Мар 2014 00:46:03  #23 №64593735 

>>64593442
>Оно у тебя постоянно кровоточит или как?
Периодически само как-то.
>Чего к доктору не идешь?
Когда-то мне рвали зуб и умудрились каким-то макаром повредить при этом челюсть. БЫЛО ПИЗДЕЦ КАК БОЛЬНО! Из-за этого теперь люто боюсь, ну и мой врожденный похуизм, да. Да и к тому же дыры эти не болят вовсе.

Аноним Срд 19 Мар 2014 00:46:36  #24 №64593769 

>>64593557
Вы что зубы не чистите никогда? Или у тебя в деревне вода плохая?

Аноним Срд 19 Мар 2014 00:46:53  #25 №64593786 

>>64592832
Нихуя у тебя распидорасило, чистить не пробовал?

Аноним Срд 19 Мар 2014 00:47:56  #26 №64593847 

>>64593735
Если не болит, не иди никуда, когда инфекция попадет в кровь , тогда можно просто принимать обезболивающие и тоже никуда не ходить. Все равно рано или поздно ты сдохнишь.

Аноним Срд 19 Мар 2014 00:48:14  #27 №64593865 

>>64593786
>>64593769
Реально чищу 2-3 раза в неделю, честно говорю. Просто они сами пиздец как гниют.

Аноним Срд 19 Мар 2014 00:48:45  #28 №64593894 

>>64593735
Как там в 70х? Сейчас такой хуйни нет. Мне пулипит без анестезии залечили, нихуя там страшного.

Аноним Срд 19 Мар 2014 00:49:25  #29 №64593931 

>>64593894
> пульпит
Ремонт.

Аноним Срд 19 Мар 2014 00:49:49  #30 №64593956 
1395175789330.jpg

Охуеть, а я то со своими порченым передним и левым нижним зубом думал, что я ебаный гнилозуб.

Аноним Срд 19 Мар 2014 00:50:34  #31 №64594001 

>>64593735
Это они пока не болят. Да и у тебя там куча жевательных зубов разрушаются, через 3-5 лет жевать не сможешь же.
Полечи зубы, дурило. В хорошей клинике сделают такой крутой укол, что ты вообще ничего не почувствуешь. Алсо, есть клиники, где зубы лечат под общим наркозом.
Я сам был ссыкунишкой, мне тоже как-то драли зуб без обезболивающего (длинная история), так что потом я дико ссался ходить ко врачу. Когда один из моих зубов раскололся и почти до основания сгнил, меня таки затащили к стоматологу. Кароч, с тех пор я не боюсь лечить зубы. Только когда эффект от обезболивающего закончился, немного ныло, но эта хуйня более чем терпима.

Аноним Срд 19 Мар 2014 00:51:31  #32 №64594057 

>>64593557
Ёёёёбаный в рот. К стоматологу, срочно. Периодонтит 99.9%. Вот начнется заражение, взвоешь как петух над парашей.

Аноним Срд 19 Мар 2014 00:51:47  #33 №64594069 
1395175907069.jpg

Тянки текут, быдло уважает.

Аноним Срд 19 Мар 2014 00:51:56  #34 №64594080 

>>64594001
> зубы лечат под общим наркозом
Проиграл.

Аноним Срд 19 Мар 2014 00:52:29  #35 №64594114 

>>64594001
Какая боль при и после пломбирования или вырывания зуба? Как найти годного врача?

Аноним Срд 19 Мар 2014 00:52:36  #36 №64594123 

>>64593735
Тебя какой-то двоечник оперировал.
У зуба мудрости появилось чувствительность к холодному. Пошёл в платную клинику. Пришёл сел, красивая девушка допросила меня, рассмотрела мой зубик, спросила "удалять будем или лечить". Я сказал удалять. Три укола, снимок, 7 минут удаления и всё. Выписала рецепт на Нимесил и я поехал домой.

Аноним Срд 19 Мар 2014 00:52:50  #37 №64594142 

>>64594080
Сириусли. Погугли же. Есть уебаны, которые, блядь, сознание теряют от страха перед стоматологом.

Аноним Срд 19 Мар 2014 00:52:58  #38 №64594151 
1395175978255.jpg

>>64594069

Аноним Срд 19 Мар 2014 00:53:21  #39 №64594173 

>>64593956
Проебал три коренных. Такие дела

не ОП

Аноним Срд 19 Мар 2014 00:53:39  #40 №64594187 

>>64594069
А если все зубы вырвать, тянки течь будут?

Аноним Срд 19 Мар 2014 00:53:58  #41 №64594208 

>>64594080
Он прав. Вроде когда дохуя сложная и/или объемная операция - делают общий наркоз.

Аноним Срд 19 Мар 2014 00:54:23  #42 №64594232 

>>64592832
Повезло, что конкретный пиздец только шестеркам. Ебанулись бы 4-5, ты бы сейчас тут не спрашивал.

Аноним Срд 19 Мар 2014 00:55:09  #43 №64594272 

>>64594114
У меня даже с анестезией была чувствительность, чувствовал как сверлят и мне это не нравилось. Потом месяц (!!!) зуб болел при жевании. Сейчас не болит. Фотополимерная пломба.

Аноним Срд 19 Мар 2014 00:55:41  #44 №64594296 

>>64593865
2-3 раза в неделю? Зубы чистят два раза в день, а не в неделю. Тогда умри от инфекции крови гнилозубый грязнуля. В душ наверное только по праздникам ходишь.

Аноним Срд 19 Мар 2014 00:56:10  #45 №64594317 

>>64594208
Закажи виниры
@
Трипуй под кетамином

Аноним Срд 19 Мар 2014 00:56:24  #46 №64594328 

>>64594069
Кстати ирл они желтее выглядят. Я сейчас еще начал курить, пить много кофе и есть много конфет.

Аноним Срд 19 Мар 2014 00:56:49  #47 №64594346 

>>64594272
Хуль ты тут разнылся, мне 5 зубов делали за 2 недели, удаление нервов, чистка+пломбирование каналов. Периодонтит это вам не это. Зуб у него болел при жевании.

Аноним Срд 19 Мар 2014 00:57:50  #48 №64594397 

>>64594123
>Тебя какой-то двоечник оперировал.
50-летняя толстая бабища старой дохрущевской совковой закалки.

Аноним Срд 19 Мар 2014 00:58:11  #49 №64594414 

>>64592832
Выпиливаешь старую гнилоту, ставишь имплпатанты. Бежать сначала к терапевту, потом к хирургу, потом в протезирование.

Аноним Срд 19 Мар 2014 00:58:28  #50 №64594432 

>>64594232
Что за 4-5?

Аноним Срд 19 Мар 2014 00:58:29  #51 №64594434 

>>64594173
Тоже зубы проебал. Две двойки - коронки ставить. Две четверки на штифтах, потом коронки. Пятерка справа - коронку ставить. Шестерка слева - на штифте, тоже потом коронку. Все верхние.

Аноним Срд 19 Мар 2014 00:58:33  #52 №64594437 

>>64594151
Я не комплексую. А из-за профиля прозвали цезарем в шаражке.

Аноним Срд 19 Мар 2014 00:58:41  #53 №64594444 

Аноны, сколько платили за удаление зуба?

Аноним Срд 19 Мар 2014 00:58:59  #54 №64594463 
1395176339901.jpg

Я тут самый успешный
Рот к сожалению пока что открыть не могу.

Аноним Срд 19 Мар 2014 00:59:28  #55 №64594485 

>>64594414
фикс, имплантанты. Другие варианты хуйня, т.к. оно крепится на другие зубы и их нахуй можно попортить. И это, отбеливание нужно остальных.

Аноним Срд 19 Мар 2014 00:59:32  #56 №64594490 

>>64594346
так это же не больно. мне такую вещь без анестезии делали. даже "той самой" машинкой сверлили. Положили мышьяк, 2 часа потерпел и всё.
Кстати тот зуб через 2 года развалился...

Аноним Срд 19 Мар 2014 00:59:50  #57 №64594508 

>>64594114
При пломбировании и вырывании НИКАКОЙ боли. Мб есть какие-то варианты, но я вообще ничего не чувствовал. Укол почти не чувствуется тоже (в небо только немного чувствительно).
После пломбирования никакой боли тоже нет. Иногда, когда дырка около десны, там специальный такой зажим используют, от него немного десна повреждается. Тогда она потом немного ноет. Ну, типа, как царапина небольшая.
После удаления, особенно сложного, ноет десна, но терпимо вполне.
>Как найти годного врача?
Это зависит от множества факторов. Я по знакомству лечусь в крутом военном госпитале. Поспрашивай знакомых, почитай отзывы. Скажи врачу, что ссышься, он тебе помощнее че-нить вколет и вообще будет с тобой осторожно обращаться.

Аноним Срд 19 Мар 2014 01:00:29  #58 №64594541 

>>64594444
150 гривен

Аноним Срд 19 Мар 2014 01:00:44  #59 №64594551 
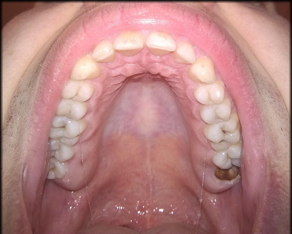
1395176444674.jpg

Например.
Я тута тоже есть.

Аноним Срд 19 Мар 2014 01:00:56  #60 №64594560 

>>64594490
>мышьяк
В Мексике зуб делал?

Аноним Срд 19 Мар 2014 01:00:58  #61 №64594561 
1395176458066.jpg

Вкатился.

Аноним Срд 19 Мар 2014 01:01:04  #62 №64594571 
1395176464975.jpg

>>64592832
Всем запостившим свои фото с открытым ртом ссы в него

Аноним Срд 19 Мар 2014 01:01:45  #63 №64594599 

>>64594561
Пиздуй к врачу, унтер желтозубый.

Аноним Срд 19 Мар 2014 01:02:06  #64 №64594616 

>>64593224
Ебать ты инопланетянин.

Аноним Срд 19 Мар 2014 01:02:37  #65 №64594640 

>>64594560
В независимой Украине, в школьном зубном кабинете.

Аноним Срд 19 Мар 2014 01:02:59  #66 №64594659 

>>64594463
Тебе только что смачно набили ебало?

Аноним Срд 19 Мар 2014 01:03:27  #67 №64594686 

>>64593046
Проблемы с жкт или печенью.

Аноним Срд 19 Мар 2014 01:03:48  #68 №64594716 
1395176628875.jpg

Бля не смогу сфоткаться норм, пришлось на фронтальную хуярить

Аноним Срд 19 Мар 2014 01:04:54  #69 №64594778 

>>64594659
Еще сижу в травмпункте, это я на велосипеде покатался. Ветку не заметил

Аноним Срд 19 Мар 2014 01:05:12  #70 №64594799 

>>64594686
>Проблемы с жкт или печенью.
В точку. У меня язва желудка.

Аноним Срд 19 Мар 2014 01:05:22  #71 №64594810 

>>64594716
Хоть кто-то нормальный итт.
Проблевался с уебков.

Аноним Срд 19 Мар 2014 01:05:37  #72 №64594823 

>>64593224
здарова Дамир

Аноним Срд 19 Мар 2014 01:05:45  #73 №64594832 
1395176745538.jpg

Слева нижняя челюсть до,справа после.22 месяца мучений.

Аноним Срд 19 Мар 2014 01:06:15  #74 №64594860 
1395176775328.jpg

>>64594716
Суки идите нахуй , у меня не выходит

Аноним Срд 19 Мар 2014 01:07:02  #75 №64594903 
1395176822190.jpg

Блядь, это тяжело

Аноним Срд 19 Мар 2014 01:07:13  #76 №64594912 

>>64594599
Я апельсин съел и сфоткал, но желтизна есть.

Аноним Срд 19 Мар 2014 01:07:26  #77 №64594920 

>>64594810
Потому что носил брекеты , и как появляется проблема сразу иду к врачу, последний раз было 5 дырок. Вот я отвел тогда, 20к проехал на них

Аноним Срд 19 Мар 2014 01:08:03  #78 №64594959 

>>64594640
Сука, этих уебков надо гнать ссаными тапками! Ни одна(!!!) пломба от них не продержалась и пол года. И в клиники эти совковых времен тоже лучше не ходить. Онли частные

Аноним Срд 19 Мар 2014 01:08:26  #79 №64594977 

>>64594832
Ты носил только скобы, или тебе их еще подравнивали как-то?

Аноним Срд 19 Мар 2014 01:08:40  #80 №64594991 
1395176920298.jpg

>>64593557
околостоматолог-кун

Аноним Срд 19 Мар 2014 01:09:16  #81 №64595027 
1395176956204.jpg

>>64594903
Если смотреть из-далека, то это похоже на инопланетянина

Аноним Срд 19 Мар 2014 01:09:21  #82 №64595033 

>>64594959
Значит ты в Уэйна лечишь, пломбы по 7 лет уже держатся

Аноним Срд 19 Мар 2014 01:09:45  #83 №64595056 

>>64594977
Скобы + т.к. нижняя челюсть была маленькой,вместо того,чтобы удалять коренные зубы,врач подточила их и все.

Аноним Срд 19 Мар 2014 01:11:08  #84 №64595121 

>>64592923
Бля на языке какие то клыки растут по краям ближе к основанию.
Считаю язык самым мерзкой частью человечекого тела, высовывающий наружу

Аноним Срд 19 Мар 2014 01:11:45  #85 №64595153 

Сколько за удаление платили?

Аноним Срд 19 Мар 2014 01:12:23  #86 №64595183 

>>64593557
Саня?

Аноним Срд 19 Мар 2014 01:12:33  #87 №64595194 

>>64595121
Тоже заметил. Чуть не проблевался сам от себя

Аноним Срд 19 Мар 2014 01:12:44  #88 №64595205 
1395177164208.jpg

>>64594903
Все очень хуево?

Аноним Срд 19 Мар 2014 01:13:21  #89 №64595249 
1395177201325.jpg

>>64595205

Аноним Срд 19 Мар 2014 01:13:30  #90 №64595256 

>>64594778
Больше похоже на ВДЖЛИНКа.

Аноним Срд 19 Мар 2014 01:13:49  #91 №64595280 

>>64595183
Не угадал, я Сергуня.

Аноним Срд 19 Мар 2014 01:13:57  #92 №64595290 

>>64595205
Кариес эвривер

Аноним Срд 19 Мар 2014 01:14:07  #93 №64595302 

>>64593557
ОП-хуй, сглотни

Аноним Срд 19 Мар 2014 01:14:27  #94 №64595326 

>>64594991
Около стамотолог а где на левом верхнем зубе кариес?

Аноним Срд 19 Мар 2014 01:14:33  #95 №64595329 

>>64595121
>Считаю язык самым мерзкой частью человечекого тела, высовывающий наружу
А мне нравятся чувствительные язычки.

Аноним Срд 19 Мар 2014 01:14:43  #96 №64595333 

>>64594903
а где козявки? съел что ли?

Аноним Срд 19 Мар 2014 01:14:46  #97 №64595338 
1395177286236.jpg

>>64594832
Это до.Слепки мои.

Аноним Срд 19 Мар 2014 01:14:56  #98 №64595347 

>>64595256
Да он толстяк, пикча-то гуглится.

Аноним Срд 19 Мар 2014 01:14:57  #99 №64595348 

Самый отвратительный тред на моей памяти. Даже говно и расчлененка лучше.

Аноним Срд 19 Мар 2014 01:15:19  #100 №64595369 
1395177319740.jpg

>>64595256
Его правда в армию забрали, или это как с поездкой в Японию?

Аноним Срд 19 Мар 2014 01:15:42  #101 №64595395 

Я, блять, сижу и хуею. Как у вас, унтерков, могут быть кривые зубы? КАК? Вы в детстве языком постоянно лазали там или где? Как это возможно? Я, блять, в детстве 95% зубов вырвал САМ и зубы идеально ровные. Ну как можно ТАК проебать в генетическую лотерею? Родители у вас тоже унтеры, видать. Брекетные суки, ставят себе, блять, хотят полный рот ровных зубов, ебаные искусственные чепыши, нехуй было в детстве под каждый хуй рот подставлять, проблем бы не было, обоссыши, блять.

Аноним Срд 19 Мар 2014 01:15:47  #102 №64595402 

>>64595205
У тебя гланды с гнойными пробками?

Аноним Срд 19 Мар 2014 01:15:56  #103 №64595407 

>>64595338
Бросиь "после" еще

Аноним Срд 19 Мар 2014 01:16:48  #104 №64595451 
1395177408818.jpg

Какие люди мерзкие создания.
Давайте еще расширитель в анус пихать и фоткать, диагностировать гемморой и заболевания пердака.

Аноним Срд 19 Мар 2014 01:16:49  #105 №64595452 
1395177409429.jpg

>>64594832
После.

Аноним Срд 19 Мар 2014 01:17:10  #106 №64595469 

У меня прям те же зубы почти такие же. Левый без нерва и так разрушен, что уже на удаление. Правый лечить надо, там уже одной стенки нет.Я тян и мне 17. И это ещё не все проблемы с зубами. Хз почему.

Аноним Срд 19 Мар 2014 01:17:15  #107 №64595475 

>>64595369
Да нет, видео же выкладывает свои. Пиздабол он.

Аноним Срд 19 Мар 2014 01:17:18  #108 №64595479 

>>64595452
Доши, съеби.

Аноним Срд 19 Мар 2014 01:17:23  #109 №64595482 

>>64595451
начинай

Аноним Срд 19 Мар 2014 01:17:23  #110 №64595484 

>>64595395
Я, например, в детстве грыз орехи зубами и чистил зубы раз в неделю

Аноним Срд 19 Мар 2014 01:17:33  #111 №64595488 

>>64595249
>>64595205
Да вполне можно спасти ситуацию. Один вырвать и по желанию вставить ненастоящий, подчистить и запломбировать еще кое-где и все будет заебись. Но помни - время идет.

Аноним Срд 19 Мар 2014 01:17:35  #112 №64595490 

>>64595338
у меня еще хуже. сколько по баблу обошлось?

Аноним Срд 19 Мар 2014 01:17:54  #113 №64595507 

Блят, мне 20 зубов надо удалять, сколько это будет стоить в частной?

Аноним Срд 19 Мар 2014 01:18:05  #114 №64595520 

Аноны, можно ли что-нибудь принять перед походом к зубному, не конфликтующее с обезболиванием и прочим? У меня сердце бешено стучит, чувствую себя идиотом и от этого сильнее стучит, плюс ещё мышцы лица начинают дёргаться если сидеть с открытым ртом. Уже год не могу из-за этого сходить поменять пломбу.

Аноним Срд 19 Мар 2014 01:18:10  #115 №64595527 

>>64595329
снять с него налёт и под ним будет кариозная точка видна а может и дырка

Аноним Срд 19 Мар 2014 01:18:22  #116 №64595534 

>>64595395
У меня челюсть маленькая, вот и растут наискось. Один клык верхний вообще во второй ряд выполз, сука.

Аноним Срд 19 Мар 2014 01:18:36  #117 №64595551 

>>64595451
>Какие люди мерзкие создания.
А мне нравится эта животность. Человек очень интересен, особенно все его внутренние детали аккуратно уложенные в гладком объёме тела.

Аноним Срд 19 Мар 2014 01:19:14  #118 №64595598 

>>64595479
Ахуел?

Аноним Срд 19 Мар 2014 01:19:22  #119 №64595601 

>>64595205
Глубокий кариес, мэйби пульпит.

Аноним Срд 19 Мар 2014 01:19:39  #120 №64595616 

>>64595121
Это СОСЦЫ.

Аноним Срд 19 Мар 2014 01:19:43  #121 №64595622 
1395177583670.jpg

Появлятся дырка между передними. интерересно, сколько высверлят для пломбы?(наверно пол зуба)

Аноним Срд 19 Мар 2014 01:19:51  #122 №64595629 

>>64595534
> челюсть маленькая
Сссука. У меня еще и нос большой. Такой дисбаланс, что выпилиться хочется. А тут еще и ЕОТ погулять хочет, мол с книжкой на природе. Пиздец

Аноним Срд 19 Мар 2014 01:19:54  #123 №64595631 

>>64595507
Приходи, я тебе бесплатно выбью. Могу еще бонусом в рот поссать, антиспетик.

Аноним Срд 19 Мар 2014 01:20:32  #124 №64595661 

>>64595631
>антисептик
fix

Аноним Срд 19 Мар 2014 01:20:34  #125 №64595665 

>>64595402
Возможно, а что?

Аноним Срд 19 Мар 2014 01:20:36  #126 №64595668 

>>64595249
Блджад, чуть на автомате не сунул хуй в монитор. Что ж ты творишь, Антуан?

Аноним Срд 19 Мар 2014 01:20:41  #127 №64595673 

>>64595520
не стоит так делать
лучше попроси доп обезболивающего в виде геля

Аноним Срд 19 Мар 2014 01:21:10  #128 №64595701 

>>64595490
35 железо,работа 35

Аноним Срд 19 Мар 2014 01:21:11  #129 №64595703 

>>64595631
Себе поссы, сучечка.

Аноним Срд 19 Мар 2014 01:21:26  #130 №64595716 

>>64595520
Стакан водки накати

Аноним Срд 19 Мар 2014 01:21:31  #131 №64595720 

>>64595622
Немного, и будет не отличить где пломба, 4 зуба таких.

Аноним Срд 19 Мар 2014 01:22:16  #132 №64595754 

Пацаны, колупался спецом для прояснения ситуации зубочисткой в пеньке и нащупал там некий отросток, который растет из низа и почти заполняет все дно. Что это?
ОП-хуй

Аноним Срд 19 Мар 2014 01:22:50  #133 №64595774 

>>64595701
>работа 35
Пиздец. Зря я со стомата отчислился

Аноним Срд 19 Мар 2014 01:22:54  #134 №64595779 

>>64595673
Я как-то наоборот попросил не обезболивать, чтобы отвлечься, лол.

Аноним Срд 19 Мар 2014 01:23:06  #135 №64595787 

Убейте это огнём...

Аноним Срд 19 Мар 2014 01:23:10  #136 №64595789 
1395177790097.jpg

>>64595720
Обнадежил, спасибо.

Аноним Срд 19 Мар 2014 01:23:43  #137 №64595817 

>>64595754
корень зуба видать

Аноним Срд 19 Мар 2014 01:23:44  #138 №64595819 

>>64595774
За два года 35??Не рентабельно ведь.

Аноним Срд 19 Мар 2014 01:24:59  #139 №64595884 

>>64594142
Я адово боюсь стоматологов, но у меня есть постоянный, который вылечил дохрена зубов, уже и пломбы переставлял. Скоро вот зубы мудрости выдирать буду когда со страхом справлюсь . Хожу раз в полгода на осмотр.

Аноним Срд 19 Мар 2014 01:25:12  #140 №64595892 

>>64595754
Ты до нижней челюсти доковырялся, безумец

Аноним Срд 19 Мар 2014 01:25:15  #141 №64595896 
1395177915164.png

>>64595338

Аноним Срд 19 Мар 2014 01:25:15  #142 №64595898 

>>64595754
Как сказал этот благородный дон >>64595817 , сие есть корень зуба.

Аноним Срд 19 Мар 2014 01:26:27  #143 №64595971 
1395177987501.jpg

Анансы а у меня фобия стоматологов пизда,ну прямо голова от страха начинает кружиться если предстоит визит к стоматологу.
Думаю полечить сразу все зубы махом под общим наркозом,только придется из мухосранска в Москву тащиться..

Аноним Срд 19 Мар 2014 01:26:34  #144 №64595977 

>>64595819
Кроме тебя другие пациенты есть

Аноним Срд 19 Мар 2014 01:26:41  #145 №64595984 

>>64592832
Хуй сосёшь?

Аноним Срд 19 Мар 2014 01:26:41  #146 №64595985 

>>64592832
ОП-хуй, какой левел?

Аноним Срд 19 Мар 2014 01:26:49  #147 №64595993 
1395178009739.jpg

>>64595896

Аноним Срд 19 Мар 2014 01:26:57  #148 №64596001 

>>64595819
В день

Аноним Срд 19 Мар 2014 01:27:38  #149 №64596038 
1395178058948.jpg

Народ это кариес?

Аноним Срд 19 Мар 2014 01:28:07  #150 №64596065 

>>64595977
Впринципе да.Кстати,я был у врача типа халтуры.Т.е. она даже мою фамилию не знала.И все бабло в карман.

Аноним Срд 19 Мар 2014 01:28:42  #151 №64596098 

>>64596038
Нет

Аноним Срд 19 Мар 2014 01:28:46  #152 №64596100 
1395178126967.jpg

Я вот призадумался. Интересно, вот зуб гниет это да. А может эта черна хуита, расправившись с зубом, перекинуться на челюсть и начинать разъедать кость?
Все тот же ОП-хуй

Аноним Срд 19 Мар 2014 01:30:29  #153 №64596168 

Реквестирую годные советы как не волноваться у стоматолога.

Аноним Срд 19 Мар 2014 01:31:42  #154 №64596221 

>>64596100
Да, так и будет. Плюс инфекция крови

Аноним Срд 19 Мар 2014 01:32:12  #155 №64596244 

>>64596100
Не хочу тебя расстраивать, но она уже перекинулась.

Аноним Срд 19 Мар 2014 01:34:34  #156 №64596368 

>>64596098
А стоит ли этого опасаться?

Аноним Срд 19 Мар 2014 01:35:04  #157 №64596393 

>>64596168
Можно попросить, чтобы стоматолог перед началом включил радио или телевизор, можно отвлечься.

Аноним Срд 19 Мар 2014 01:36:06  #158 №64596447 

>>64595971
Лучше так не делай, закончишь как я, ОП-хуй.

Аноним Срд 19 Мар 2014 01:36:12  #159 №64596453 

>>64596393
Или чтобы молотком общий наркоз сделал.

Аноним Срд 19 Мар 2014 01:36:19  #160 №64596457 

бля, ситуейшон похлеще ОПа. Думал отсижусь еще месяцок, а надо решительно к стоматологу мчатся
Эх, повырывают все нахуй молодому куну, у деда здоровых зубов больше

Аноним Срд 19 Мар 2014 01:38:50  #161 №64596577 

Три таких же сгнивших зуба, как и у ОПа(причем коренных). Мне pesda, или не все потеряно? Сколько будет стоит лечение, так примерно почувствовать можешь,а?

Аноним Срд 19 Мар 2014 01:38:59  #162 №64596588 

20 зубов вырывать надо, где денег взять?

Аноним Срд 19 Мар 2014 01:39:03  #163 №64596592 

>>64594561
Что за пиздец с зубом?

Аноним Срд 19 Мар 2014 01:39:40  #164 №64596627 

>>64596100
чёрная нет
кариес>дырка>остатки пищи>гниение>гниение десны>гниение кости

Аноним Срд 19 Мар 2014 01:40:49  #165 №64596691 

>>64596457
У моей мамки в 40 лет вообще три здоровых зуба. Ей приделали какую-то штукенцию наподобие вставной челюсти, только она держится намертво за челюсть (ну или кость, хуй знает, как описать понятно). Выглядит натурально, не желтеет, от живого оригинала не отличить.

Аноним Срд 19 Мар 2014 01:41:27  #166 №64596726 

>>64596588
медвуз
пиздуй на практику к юным стоматам

Аноним Срд 19 Мар 2014 01:41:39  #167 №64596740 
1395178899023.jpg

>>64592832

Аноним Срд 19 Мар 2014 01:42:08  #168 №64596766 

>>64596726
Ой бля...
Храни тебя господь, анон.

Аноним Срд 19 Мар 2014 01:42:35  #169 №64596791 

Сап, аноны!
Хуй с кистой на верхней челюсти в треде. Из-за запкущеного кариеса.
Несколько операций с выпиливанием кости. Киста на месте. Спрашивайте вопросы.

Аноним Срд 19 Мар 2014 01:42:43  #170 №64596798 

Анон, у меня между передними зубами кариес и немного откололось от зуба. как это будут лечить?

Аноним Срд 19 Мар 2014 01:42:51  #171 №64596807 

>>64596726
У нас даже в соседнем городе нет медвузов.

Аноним Срд 19 Мар 2014 01:43:12  #172 №64596823 

>>64595985
ОТВЕЧАЙ НА МОЙ ОТВЕТ

Аноним Срд 19 Мар 2014 01:43:49  #173 №64596857 

>>64596798
спилят и поставят пломбу

Аноним Срд 19 Мар 2014 01:44:11  #174 №64596870 

А зуб вообще больно вырывать? У меня один нижний сломался лет 5 назад, уже полностью развалился. К стоматологу боюсь идти, т.к. в детстве побывал в совковой стом. клинике.

Аноним Срд 19 Мар 2014 01:44:19  #175 №64596878 

>>64596791
Не понял, как киста на месте, если кость выпиливали?

Аноним Срд 19 Мар 2014 01:44:53  #176 №64596907 

>>64596791
Что будет, если не удалить кисту?

Аноним Срд 19 Мар 2014 01:45:24  #177 №64596932 

>>64596823
20 лет отроду.
ОП

Аноним Срд 19 Мар 2014 01:45:30  #178 №64596936 

>>64596791
Больно лечили?

Аноним Срд 19 Мар 2014 01:45:36  #179 №64596943 

>>64596907
Заражение крови и труп

Аноним Срд 19 Мар 2014 01:45:39  #180 №64596945 
1395179139756.jpg

>>64592832
Бляьб, а я думал это у меня пиздец с зубами.

sageАноним Срд 19 Мар 2014 01:47:42  #181 №64597051 

>>64592832
Мерзость, вырви их все!

Аноним Срд 19 Мар 2014 01:47:57  #182 №64597063 
[url]

Каковы причины кисты?

Аноним Срд 19 Мар 2014 01:48:26  #183 №64597091 

>>64596878
Кость пилили чтобы кисту уменьшить, так сказать.
>>64596907
Не знаю, киста на месте рядом с гайморовыми (чтоле) пазухами. Побоялись трогать.
>>64596936
Операция почти не больная. Боль только после нароза пришла.

Аноним Срд 19 Мар 2014 01:48:51  #184 №64597113 

>>64597063
И за кариеса.

Аноним Срд 19 Мар 2014 01:48:52  #185 №64597116 

>>64596945
Да у тебя еще заебись зубы. Только почистить усердно и все.

Аноним Срд 19 Мар 2014 01:49:25  #186 №64597133 

>>64597091
А где оперировали?

Аноним Срд 19 Мар 2014 01:51:16  #187 №64597229 
1395179476303.jpg

>>64597116
Это говноспышка в говнотелефоне.
Зубные врачи всегда говорили, что зубы норм, а я бугурчу что кривоваты и желтоваты не как в журнальчиках, блять.

Аноним Срд 19 Мар 2014 01:51:19  #188 №64597232 

Еще есть такая вещь как пародонтоз. Можно своим дыханием умерщвлять целые кварталы.

Аноним Срд 19 Мар 2014 01:51:51  #189 №64597250 

>>64597133
Город и больницу (назову без проблем) или частная\государственная?

Аноним Срд 19 Мар 2014 01:53:44  #190 №64597329 

>>64597250
Частная или гос.? Просто я побаиваюсь насчет десны своей. Иногда опухает немного, потом сходит, хуй знает что с ней. Как ты детектировал кисту?

Аноним Срд 19 Мар 2014 01:53:47  #191 №64597331 

Поясните про имплантанты.
15к. за зуб - норм?
Или нужно больше золота?
Какие лучше-хуже, подводные камни?
Нужно вставить 4 зуба пятерок-шестерок.

Аноним Срд 19 Мар 2014 01:54:17  #192 №64597350 

Были похожие проблемы как у ОПа.
Корни проблем, наверное, психологического характера в глубоком детстве. До сих пор помню как попал к истерической врачихе в детской поликлинике, у которой нервный срыв был наверное.

В общем, забил на зубы и долго их не лечил. Года два назад взял себя в руки и пошел ко врачу.

Щас хожу с брекетами, 3 зуба удалено. Несколько коронок. На место одного удаленного зуба поставил имплант. На оставшиеся тоже планирую. Кучу денег уже отдал, предстоит еще больше.

Не запускайте зубы.

Аноним Срд 19 Мар 2014 01:54:25  #193 №64597357 

>>64596870
Нет. Если врач хороший - сделает наркоз и вытянет за мгновение.

Аноним Срд 19 Мар 2014 01:56:09  #194 №64597435 

>>64597350
Удалять больно? Тоже ссусь как шлюха.

Аноним Срд 19 Мар 2014 01:56:17  #195 №64597441 
1395179777726.jpg

>>64596870
Вообще не больно. Я думал после наркоза охуевать буду, но кроме того, что пол-дня сплевывал в раковину слизь с кровью - вообще проблем не было.

Аноним Срд 19 Мар 2014 01:56:46  #196 №64597465 

>>64597329
Кисту на рентгене нашли. Делал в частной клинике от государственного мединститута (по омски звучит!).

Аноним Срд 19 Мар 2014 01:56:57  #197 №64597471 

>>64597357
А если это останки сгнившего зуба-шестерки.
Там же хуй зацепишься.
Алсо, порекомендуйте клинику в ДС-2.

Аноним Срд 19 Мар 2014 01:57:33  #198 №64597498 

>>64597465
И сколько заплатил?

Аноним Срд 19 Мар 2014 01:58:17  #199 №64597527 

>>64597435
Нет. Под наркозом же.
Но потом будет пиздец. Я чувствовал себя пару дней как униженная побитая шлюха: депрессия, слабость, болезненное состояние.

Аноним Срд 19 Мар 2014 01:58:25  #200 №64597541 

Поясните за наращивание зубов.
Или импланты лучше?
Оба верхних передних зуба побиты, один мертвый уже.

Аноним Срд 19 Мар 2014 01:58:41  #201 №64597555 

>>64597471
Тогда оставь его в покое.

Аноним Срд 19 Мар 2014 01:58:53  #202 №64597569 

>>64597498
Около 25 000 деревянных, 3 года назад, в Самаре.

Аноним Срд 19 Мар 2014 01:59:02  #203 №64597579 
1395179942171.jpg

У вас-то всех заебись ещё, в отличие от меня. правда, мне лет поболее чем многим из вас.

Аноним Срд 19 Мар 2014 01:59:19  #204 №64597593 

>>64597527
А что за наркоз делали?

Аноним Срд 19 Мар 2014 01:59:57  #205 №64597615 

>>64597541
Мертвый удалять будут.

Аноним Срд 19 Мар 2014 02:00:06  #206 №64597624 

>>64597527
Ты забыл добавить про ощущение дыры!
С-кистой-кун

Аноним Срд 19 Мар 2014 02:00:08  #207 №64597627 

>>64592832
Это от того, что хуй сосешь

тред не читал

Аноним Срд 19 Мар 2014 02:00:29  #208 №64597646 

>>64597579
Передние есть и ладно.

Аноним Срд 19 Мар 2014 02:00:53  #209 №64597667 

Аноны, посоветуйте норм клинику в Дс.

Аноним Срд 19 Мар 2014 02:01:03  #210 №64597675 
1395180063578.jpg

>>64597579
Труъ олдваг

Аноним Срд 19 Мар 2014 02:01:21  #211 №64597691 

>>64597667
ВСЕ СВОИ

Аноним Срд 19 Мар 2014 02:01:37  #212 №64597708 

После удаления каких зубов человек начинает шепелявить?

Аноним Срд 19 Мар 2014 02:02:22  #213 №64597746 

>>64597708
Анальных

Аноним Срд 19 Мар 2014 02:02:52  #214 №64597772 

>>64597593
ХЗ
>>64597624
Не особо беспокоило, но да, языком лез туда периодически

Аноним Срд 19 Мар 2014 02:03:26  #215 №64597804 
1395180206734.jpg

>>64597746

Аноним Срд 19 Мар 2014 02:03:56  #216 №64597831 

>>64597772
Куда лез?

Аноним Срд 19 Мар 2014 02:04:58  #217 №64597887 

>>64597772
Лол! А меня так и тянуло залезть поглубже!

Аноним Срд 19 Мар 2014 02:05:15  #218 №64597901 

>>64597831
В дырку

Аноним Срд 19 Мар 2014 02:05:35  #219 №64597913 
1395180335309.jpg

Лучше на копро подрочу.

Аноним Срд 19 Мар 2014 02:06:11  #220 №64597946 

Анон, а как удаляют разрушенные зубы? У меня от одного ничего не осталось почти. Резать десну будут?

Аноним Срд 19 Мар 2014 02:07:17  #221 №64598003 

>>64597946
Смотря как прогнил!
Коронка или наращивание тоже возможны.

Аноним Срд 19 Мар 2014 02:07:30  #222 №64598015 

>>64597946
Резать, да, элеватором и крючками.

Аноним Срд 19 Мар 2014 02:07:59  #223 №64598038 

>>64594716
а чётаке белые?

Аноним Срд 19 Мар 2014 02:08:21  #224 №64598055 
[url]

>>64597946

Вот так ахахахаха))))))

Аноним Срд 19 Мар 2014 02:08:38  #225 №64598067 

>>64598015
Бля, тогда пускай дальше гниет. Крбчки элеваторы блять.

Аноним Срд 19 Мар 2014 02:09:26  #226 №64598106 

>>64596168
Я бы купил ей мороженку.

Аноним Срд 19 Мар 2014 02:10:32  #227 №64598148 

>>64598106
А я бы тебя трахнул.

Аноним Срд 19 Мар 2014 02:11:14  #228 №64598179 

>>64598038
Камера выбеляет.

Аноним Срд 19 Мар 2014 02:12:41  #229 №64598244 

>>64598055
Это ведь все безь анестезии делается, да? Анончик, ну скажи что да!

Аноним Срд 19 Мар 2014 02:13:51  #230 №64598298 

>>64598244
niet

Аноним Срд 19 Мар 2014 02:13:52  #231 №64598300 

>>64598244
Если ты попросишь, тебе без анестезии сделают.

Аноним Срд 19 Мар 2014 02:15:57  #232 №64598391 

Я всегда мечтал чтобы меня раздели, поставили раком и ебали в анус. Одновременно с противоположной стороны лечили зубы.

Аноним Срд 19 Мар 2014 02:16:06  #233 №64598398 

>>64598244
>>64598300
>>64598298
Баки, сейчас даже под общей можно сделать!

Аноним Срд 19 Мар 2014 02:17:02  #234 №64598439 

>>64598398
Не боишься, что выебут в это время?

Аноним Срд 19 Мар 2014 02:17:16  #235 №64598451 

>>64596168
да блять, в платных не больно делают. Делают укол, начинают сверлить, если больно говоришь ыыыыыыы, укалываю ещё. Из боли только уколы, довольно больно, но ерпимо и не долго. А потом копошаться в 4 руки и самое страшное это уснуть. Сам в детстве передние лечил в ебаных госстоматологиях 90-х, когда мне из больших передних нервы удаляли, потом ношатырём откачивали. Так что не больно, удаление зубов оже наверно. Так что не ссать. Иди в дорогую и в коорой уверен. Я в мастерденте лечил.

Аноним Срд 19 Мар 2014 02:18:55  #236 №64598529 

>>64598451
>уколы, довольно больно

Глубоко колят или почему?

Аноним Срд 19 Мар 2014 02:19:15  #237 №64598542 

>>64598439
Да пусть! Мне однажды под просроченым новокаином зуб дергали. Пусть лучше меня рота негров выебет, чем еще раз такое пережить!

Аноним Срд 19 Мар 2014 02:19:23  #238 №64598553 
[url]

Э, слюши, иди сюдэ мы теби полэчим

Аноним Срд 19 Мар 2014 02:20:10  #239 №64598585 

>>64598529
От челюсти зависит, лол! Верх или низ?

Аноним Срд 19 Мар 2014 02:20:19  #240 №64598593 

>>64598451
платная - уколы - больно
пиздец как там в 90х? совок уже развалили?

Аноним Срд 19 Мар 2014 02:20:47  #241 №64598619 

>>64598585
Низ, ебана.

Аноним Срд 19 Мар 2014 02:20:52  #242 №64598624 

>>64598529
Ну точно не знаю насколько больно. Я как то на приеме был, без наркоза лечили, я охуел от боли. Послали на укол, а я еще в аффекте, уже как то похуй на такой укол было

Аноним Срд 19 Мар 2014 02:21:44  #243 №64598655 

>>64598624
Пиздец.

Аноним Срд 19 Мар 2014 02:22:41  #244 №64598698 

>>64598619
О, не повезло!
Уколы не то чтоб больны, а скорее неприятны!
Иногда иглой возят по кости. Но, повторюсь, это просто неприятно. Зато на операции чуть не засыпаешь от скуки.

Аноним Срд 19 Мар 2014 02:23:45  #245 №64598749 

>>64598624
> без наркоза лечили, я охуел от боли
А ты чего хотел?

Аноним Срд 19 Мар 2014 02:23:59  #246 №64598763 

>>64598655
да не боись, тот зуб как будто десяток негров долбили, весь прогнил. Тем более лечил в совковой клинике

Аноним Срд 19 Мар 2014 02:25:26  #247 №64598848 

>>64598451
Двачую платные. От совковых стоматологов в детстве на всю жизнь ощущение ужаса осталось, не ходил к зубному долго. Но вот пиздец, зубы заболели, пару дней вешался, ну думаю надо сдаваться. Пришел, укол захуярили, и начали мне УДАЛЯТЬ НЕРВ! Тупо бормашиной. А я сижу, улыбаюсь, смещно мне. Врачиха такая - что смеетесь? а я такой, да так, кароч, представил что б со мной было, если бы не анестезия, на потолке бы уже наверно был. А она такая - ну да, ну да. И начинает этот нерв какой-то спецальной выдиралкой выдирать. А еще она так бочком ко мне эротично прижималась... Та что идите аноны в платные стоматологии, не ссыте. Момент проебете - пиздец дороже будет. Я теперь ваще раз в полгода хожу, в ежедневнике планирую.

Аноним Срд 19 Мар 2014 02:26:12  #248 №64598885 

>>64598763
>десяток негров долбили
Хуями, надеюсь?

Аноним Срд 19 Мар 2014 02:26:26  #249 №64598891 

Ну поясните же, где в ДС-2 годно?

Аноним Срд 19 Мар 2014 02:26:53  #250 №64598911 

>>64598593

Чё вы всё про платные? Мне кучу пломб делали в совковой, и зуб там же рвали и норм блядь, самое больное это укол когда иглу вводят полностью. Идут по десне так сказать. И хули блять я смеялся сразу после удаления. Укол не действует если пошло гниение.

Аноним Срд 19 Мар 2014 02:27:22  #251 №64598928 
1395181642578.jpg

>>64598848
От города зависит. В детской, где были еще советские бор-машины и ремонт еще в 80-х - было пиздец, как хуево. Во взрослой - охуенные врачи и плазмы в коридоре.

Аноним Срд 19 Мар 2014 02:27:37  #252 №64598939 

>>64598885
кирками, как на рабских шахтах.
Хуями, естестно

Аноним Срд 19 Мар 2014 02:28:08  #253 №64598954 

>>64598848
Двачую!
Самая фишка у меня была - когда трамвай мимо проезжал, и у стоматологов РУКИ ТРЯСЛИСЬ ПОД ХОД ТРАМВАЯ!!!
ЖЖЖ-жж-ЖЖ_жж_жж!!! Бляя!

Аноним Срд 19 Мар 2014 02:29:04  #254 №64598998 

>>64592923
Крови быть не должно, наверняка у тебя неординарный случай. Пока пол морды не опухло от флюса дуй к стоматологу. Серьезно, бро. Потом только хуже станет.
>>64594397
Мне последний раз лечила зубы бабка лет 70.
Порезала губу чем то вроде крючка. Крови не было, только ощущение пореза.
Лицо главное такое доброе, улыбается, открой рот говорит, ррраз и губу порезала. Улыбнулась еще шире, ой, нечаянно. Произнесла, потом давай ковырять зуб.
Делала не особо больно, только я так распсиховался, думал сверлом мне язык пробурит или упустит включенный бур в горло, лол.
Паническая атака в общем.
В предпоследний раз лечил зуб у ебнутой тетки, еще лет в 17, она орала на меня, делала разные оскорбительные замечания. Полная пизда, с тех пор боюсь лечить зубы.
Ее пломба через 2 года выпала вместе с половиной зуба. Такого никогда еще со мной не случалось.

Сижу сейчас с тремя больными зубами, две дырки, один гнилой. Не болят, только запах неприятный изо рта. У одного зуба даже "плоть" видно лол, без крови как у ОПа.

Нервы у меня совсем расшатанные, невроз наверное заработал. Большинство пунктов совпадают.

Аноним Срд 19 Мар 2014 02:30:13  #255 №64599040 

Я в отрочестве ну просто пиздец как боялся стоматологов. Ходил год с дырами в зубах и скупал дешевое обезболивающее в аптеках. Так и жил

Аноним Срд 19 Мар 2014 02:30:20  #256 №64599047 

>>64592832
>зубки
А не пидорок ли ты часом?

Аноним Срд 19 Мар 2014 02:30:22  #257 №64599048 

>>64597579
эмм, у вас там кратер

Аноним Срд 19 Мар 2014 02:30:58  #258 №64599074 

Удивляют кукарекалы с "платные, платные". Блять, откуда деньги? Борда успешных людей?

Аноним Срд 19 Мар 2014 02:31:43  #259 №64599097 
1395181903400.png

Ебать вы поехавшие!

Аноним Срд 19 Мар 2014 02:31:52  #260 №64599103 

>>Борда

Борода

Аноним Срд 19 Мар 2014 02:32:01  #261 №64599109 

>>64598553
проиграл э сющай мамай клянус.

Аноним Срд 19 Мар 2014 02:32:18  #262 №64599123 

>>64598848
И еще вспомнилось из детства - вечные эти ихние наебки, бля. "Вот будешь плакать - МАШЫЫЫНКА-ТО ПРОСНЁЁЁЦААА!!!1" И сидишь такой, стараешься не плакать, а ведь этой суке все равно сверлить-то НАДО! Вот почему ребенку не обьяснить, ну потерпел бы я. А то ведь и чувство вины потом еще на ровном месте блядь. И почему совки обезболивающее на детях экономили? Все блядь на Кубу уходило? Или в Анголу?

Аноним Срд 19 Мар 2014 02:33:12  #263 №64599152 
1395181992995.jpg

>>64599047
А то, сладенький. Полизать сосочек?

Аноним Срд 19 Мар 2014 02:35:08  #264 №64599231 

>>64599123
А мне распорку в рот вставили, я еще хлеще разнылся. Потом сделали пиздецки больный укол, после которого я решил что все вырвали уже. Один врач держал руки, второй вырывал молочный зуб.

Аноним Срд 19 Мар 2014 02:35:10  #265 №64599235 

Аноны, хуй с кистой снова на связи! Могу посоветовать годную получастную клинику в Самаре.

Аноним Срд 19 Мар 2014 02:35:12  #266 №64599237 

>>64598593
всмысле? В платных уколы безболезненые? Или чё? Я давно был, может преувеличиваю.

Аноним Срд 19 Мар 2014 02:35:33  #267 №64599246 

>>64595338
>>64595452
Зубы прост отлично выглядят. Всегда хотел красивые зубы. С детства мучаюсь с ними, чувствую придется угрохать кучу бабла в них.

Аноним Срд 19 Мар 2014 02:36:46  #268 №64599307 

>>64599237
В платной сначала десну мажут обезболивающим, потом уже колят иглу.

Аноним Срд 19 Мар 2014 02:36:55  #269 №64599313 

У меня всегда жопу разрывает, когда говорят зубки, я помню на практике по детской стоматологии постоянно было зубки, ротик, ребеночек, анестезийка, укольчик, сука это говно меня так бесило, я еще тогда думал пойти во взрослую или в детскую члх, но вот это мамашье говно меня так доебало, что ужасный интерес к врожденным аномалиям не справился и я пошел во взрослую
Алсо, автор, это сейчас у тебя не болит, а потом в 3 ночи прикатываются в отделение, которое скорое по городу и жалуются, что ВНЕЗАПНО заболело. Сходи достань уже это говно, зачем очаг хронической инфекции в себе держишь?
Еще больше я буду охуевать, если ты и когда болеть начнет сильно будешь терпеть и таки дотерпешь до флегмонки, чтобы тебе лицо порезали
Этож так весело, да?

Аноним Срд 19 Мар 2014 02:37:46  #270 №64599349 

>>64599123
потомучто советская система клала свой красный хуй на общество. космос танки - норм, а нормальные холодильники или общественный транспорт - хуй.

Аноним Срд 19 Мар 2014 02:38:20  #271 №64599370 

>>64599307
В бесплатной тоже норм, только очередиии.....

Аноним Срд 19 Мар 2014 02:38:30  #272 №64599375 

>>64599313
> таки дотерпешь до флегмонки,
Дотерпит, потому что он и слова-то такого не знает. Ты вот лучше картинку выложи.

Аноним Срд 19 Мар 2014 02:39:58  #273 №64599432 

>>64599313
безболезненные щелчки в челюстном суставе с одной стороны при выдвижении челюсти вперед глубокий прикус в наличии - что может быть, чем чревато?

Аноним Срд 19 Мар 2014 02:41:05  #274 №64599479 

>>64599231
Мне такая стори вспомнилась.
Я тогда был пиздюком мелким. С братюнями лазили по деревьям, ну я и ёбнулся, руку сломал. Притащили к хирургу, положили на стол. Начал ом мне руку вправлять, так я от боли ему ногой по брови смачно так ебанул. Всем отделением смеялись держали, как шизанутого. Ну после этого чуть у мамки денег не вымагал, а меня до выписки называли Брюсом(который Ли).

Аноним Срд 19 Мар 2014 02:41:43  #275 №64599500 

>>64598998
а с деньгами как? Если норм, опять же, иди в платною и разузнай там, что можно с им сделать. Как вариант тебя (я хуй знает) усыпят и выебут всё там вылечат.

Аноним Срд 19 Мар 2014 02:41:46  #276 №64599503 

>>64599432
Ксеноморф в треде?
Самый мега-максимум - вывих.

Аноним Срд 19 Мар 2014 02:42:29  #277 №64599529 

>>64599123
Там основная беда была даже не в анестезии, а в машинах с оче низкой скоростью вращения.
Недавно смотрел Подпольную империю, там есть эпизод, где стоматолог орудует машинкой с ножным приводом, как на швейных, до сих пор страшно вспоминать.
Алсо, с зубами еще такая ебань бывает у некоторых они болеть начинают при мельчайших проявлениях кариеса, там и сверлить-то особо не нужно, а у некоторых только, когда уже нужно дохуя высверливать, что гораздо больнее.
Вот я из таких, бесчувственных, может еще потому что в детстве пульпиты выпиливали несколько раз, полно дырок, вообще не болит ничего.

Аноним Срд 19 Мар 2014 02:43:48  #278 №64599582 

>>64599307
хуясе. А мне сразу кололи, значит бичёвская?

Аноним Срд 19 Мар 2014 02:44:08  #279 №64599598 

>>64599503
Не, я просто Морфлинг

Аноним Срд 19 Мар 2014 02:44:12  #280 №64599601 

Ебучие зубы блять. Иногда кажется что они специально растут для боли и мучений.

Аноним Срд 19 Мар 2014 02:44:18  #281 №64599603 

>>64599503
лолнет.
и что делать? inb4 потише братишка в данной ситуации
не хотет артроз, или чтоб оно начинало болеть. надо бы зайти к хирургу, но сейчас все никак. какие возможные варианты выхода из положения?

Аноним Срд 19 Мар 2014 02:44:23  #282 №64599608 

Я флюс себе сам прокалывал всегда.
Киста вылезла, думал флюс прокалываю, гной почти не выходит.
Две недели промучился, в клинику поехал, за 3 минуты зуб выдрали и кисту выскоблили.
Надеюсь полностью выскоблили, второй раз неохота ехать.

Аноним Срд 19 Мар 2014 02:45:29  #283 №64599672 

>>64599603
Пройдет.

Я свой зуб шатал! Языком вертел! Аноним Срд 19 Мар 2014 02:46:15  #284 №64599713 
1395182775890.jpg

>>64599370

Да блядь, опять вы про совок. У нас всё по записи. Совок кругом, но вместо бормашин какая-то хрень которая воздухом херачит, не гудит, а только свистит. Кресла нормальные. Вместо ультракаина зарубежная бодяжка. Ах да, я в Украине живу. Ну да хуй с вами, русскими.

Аноним Срд 19 Мар 2014 02:46:56  #285 №64599746 

>>64599608
Как/чем прокалывал? Больно?

Аноним Срд 19 Мар 2014 02:47:14  #286 №64599757 
1395182834745.png

>>64599672
это ты говоришь, чтобы я забил на это, ибо особо ничего не сделать?

Аноним Срд 19 Мар 2014 02:48:21  #287 №64599800 

>>64599757
Пощелкает да пройдет.

Аноним Срд 19 Мар 2014 02:49:06  #288 №64599842 

>>64599608
Иглой толстой.
А ты как думаешь?

Аноним Срд 19 Мар 2014 02:49:44  #289 №64599871 

>>64599842
А иголкой не?

Аноним Срд 19 Мар 2014 02:50:09  #290 №64599890 

>>64599800
лол
чому-то не верится в такое "ай, само пройдет". а потом как оп охуевать, лол

Аноним Срд 19 Мар 2014 02:51:12  #291 №64599935 

>>64599890
Подумаешь, челюсть отпадет.

Аноним Срд 19 Мар 2014 02:51:13  #292 №64599936 

>>64599603
У меня уже лет 5 щелкает, если в сторону шевелить. А в остальном - всё норм.

Аноним Срд 19 Мар 2014 02:51:39  #293 №64599955 

>>64594551
И я. Никогда не забуду тот эпичный.

Аноним Срд 19 Мар 2014 02:52:00  #294 №64599967 
[url]

1

Аноним Срд 19 Мар 2014 02:52:04  #295 №64599973 

блять, что я тут забыл

всем няшных снов

хотя после такого треда...

Аноним Срд 19 Мар 2014 02:52:30  #296 №64599997 

>>64599608
>Киста вылезла
поподробней расскажи!
С кистой-кун

Аноним Срд 19 Мар 2014 02:53:01  #297 №64600020 
1395183181059.jpg

>>64599500
С деньгами пока никак, пока не работаю. Думаю летом пойти делать зубы, как раз скоро устроюсь на работу. Накоплю трошки деньжат.
Зубы у меня пиздец. Жаль камеры годной нет, на вебке все замыливает. Прикус пизда, не смыкаются, разномастные. Почти все в черных точечках зарождающегося кариеса. Еще наследственность хуевая, у мамки к моим годам не осталось зубов практически.
Не рот, а фильм ужасов, сириузли.

Аноним Срд 19 Мар 2014 02:53:39  #298 №64600042 

>>64599152
ЕБАТЬ КАК Я ЛЮБЛЮ ФУРАЖКИ

Аноним Срд 19 Мар 2014 02:54:08  #299 №64600064 

>>64599936
хуй знает, 5 лет нормально, а еще через 5 может ебануть а может и не ебануть

Срд 19 Мар 2014 02:54:49  #300 №64600086 

Пойду-ка я почищу свои пока почти здоровые зубы. Небольшой кариес пройдет если чистить 2 раза в день усердно тот зуб?

Аноним Срд 19 Мар 2014 02:55:23  #301 №64600110 
1395183323260.jpg

>>64600020
На второй фотке видна дырка в зубе.

Аноним Срд 19 Мар 2014 02:55:33  #302 №64600119 

>>64600086
Да.

Аноним Срд 19 Мар 2014 02:56:45  #303 №64600154 

>>64600086
Чем чистишь?

Аноним Срд 19 Мар 2014 02:57:11  #304 №64600168 

>>64600110
Заживет, будет как новый.

Аноним Срд 19 Мар 2014 02:57:15  #305 №64600171 

>>64599997
Чего рассказывать?
Сначала думал флюс, потом пошел в стомкабинет, рентген сделали, киста, поехал в клинику удалять.

Аноним Срд 19 Мар 2014 02:57:28  #306 №64600178 

>>64599375
Выкладываю

>>64599432
Не слушай, не пройдет
Но это вопрос не для инторнет диагностики, иди к врачу
Щелчки возникают из-за смещения суставного диска
Потом образуются спайки
Скованность в суставе, затруднения в открывании рта
Соответственно на таких стадиях лечение будет исключительно оперативным
На начальных - консервативным

Аноним Срд 19 Мар 2014 02:57:49  #307 №64600189 

>>64600086
Если кариес уже есть, его можно только срезать. Иначе он все равно разовьется.
Для чайников, кариес = зубной рак. Условно говоря. Пока не появился, профилактика твой друг, если есть, можно удалить кусок зуба.
Оттак.

Аноним Срд 19 Мар 2014 02:57:50  #308 №64600190 

Двож, теперь я буду чистить свои гнилые зубки, 4 раза в день. С мылом.

Аноним Срд 19 Мар 2014 02:58:26  #309 №64600212 

>>64600042
Пойдем со мной, мой сладенький.

Аноним Срд 19 Мар 2014 02:58:26  #310 №64600213 

>>64600110
Ну чё, нижние пятерки и шестерки лечить, слева еще и семерку.

Аноним Срд 19 Мар 2014 02:59:26  #311 №64600262 

>>64600171
Блин, где киста? У меня на кости и зи нее никто не берется!

Аноним Срд 19 Мар 2014 02:59:50  #312 №64600277 
1395183590520.jpg

Эх, а мог бы рефератом заниматься

Аноним Срд 19 Мар 2014 02:59:54  #313 №64600280 
1395183594916.jpg

>>64600042
Отклеилося

Аноним Срд 19 Мар 2014 03:00:31  #314 №64600296 

>>64600178
Дядя доктор, объясняй дядям анонам значения слов "консервативный и оперативный". Они ведь не все учились на дохтуров.
Консервативный значит без операционный.
Оперативный значит операция.

Срд 19 Мар 2014 03:01:14  #315 №64600317 

>>64600154
Зубной пастой "Солдат".

Аноним Срд 19 Мар 2014 03:01:14  #316 №64600319 
1395183674305.jpg

Стоматолог кун
Поясни сколько будет наростить эту дырку и удалить налёт,примерно

Аноним Срд 19 Мар 2014 03:01:40  #317 №64600331 
1395183700025.jpg

>>64600212
БРАТИШКА!

Аноним Срд 19 Мар 2014 03:02:13  #318 №64600349 

>>64600319
Дырку нарасти, вощи копейки.

Аноним Срд 19 Мар 2014 03:02:35  #319 №64600364 

>>64600262
Под корнем, нижняя челюсть, спереди.

Аноним Срд 19 Мар 2014 03:02:42  #320 №64600367 

>>64600317
А серьезно?

Аноним Срд 19 Мар 2014 03:03:56  #321 №64600406 

>>64600296
Дядя дохтур убитый за этот день и ему уже не хватает сил думать
Особенно про сустав, которым я никогда особо и не занимался, и которым в России вообще очень плохо занимаются, а зря.

Аноним Срд 19 Мар 2014 03:04:34  #322 №64600433 

>>64600319
А че здесь такого?
Камень убрать и хуевинку заделать. Недорого и не больно.

Аноним Срд 19 Мар 2014 03:06:29  #323 №64600502 

Есть тут аноны, которым в зуьы мышьяк клали? Как ощущения?

Аноним Срд 19 Мар 2014 03:07:01  #324 №64600518 
1395184021938.jpg

>>64600213
На самом деле лечить нужно почти все зубы, я еще не вбрасывал фото верхней челюсти, качество тут как уже говорил, не очень. Видно плохо.

Аноним Срд 19 Мар 2014 03:07:07  #325 №64600524 

>>64600502
Болит несколько часов, терпимо.

Аноним Срд 19 Мар 2014 03:08:12  #326 №64600566 
1395184092850.jpg

>>64600349
Примерно скажи, или с дивана?
>>64600433
я улыбаться боюсь лол, хотя тянок переебал больше чем букв в алфавите, но возраст дает знать, к тому же желтоватые они, мне все время кажется что я говна въебываю, не иначе, хотя я знаю что пью слишком много КОФЕ, и хз как пить чтобы зубы не красить

Вот такие зубы заебись иметь как на пике

Аноним Срд 19 Мар 2014 03:09:09  #327 №64600598 

>>64600566
Я за 2к делал. Но у меня скол был очень большой.

Аноним Срд 19 Мар 2014 03:09:51  #328 №64600625 

>>64600406
Сочувствую. Работа нравится, сколько лет уже в деле?

По поводу щелкающей челюсти. У меня похожая ситуация была, прихожу в 15 лет к хирургу, он говорит "Все пройдет, твердую пищу постарайся не есть" и все. Т.е. буквально две минуты уделил и послал. Когда пытался спросить его что со мной, он стал ругаться, прогнав из кабинета. Рашкомедицина.

Аноним Срд 19 Мар 2014 03:10:53  #329 №64600661 

>>64600598
А посчет камня посоветуешь что?

Чтобы знатный экстерминатус сделали, ну я еще доктору пообещаю что чистить буду на ночь, сколь выйдет то в деревянных? Живу в мухосрани 60к, и клиник 1-2

Аноним Срд 19 Мар 2014 03:12:12  #330 №64600700 

>>64600661
Я не доктор, насчет камня не в курсе.

Аноним Срд 19 Мар 2014 03:12:36  #331 №64600711 

>>64600625
Почти 5, уже послеординатургого опыта

Да так везде, всем наплевать, разбираться долго, денег особо не приносит, методы лечения вроде как отработаны, а все равно не применяют.

Аноним Срд 19 Мар 2014 03:12:50  #332 №64600721 

>>64600178
о, спасибо, братишка, пояснил по-хардкору. лучей добра.
трабл-с-суставом

Аноним Срд 19 Мар 2014 03:13:13  #333 №64600734 

>>64600625
Да, работа нравится прям очень.

Аноним Срд 19 Мар 2014 03:15:21  #334 №64600809 

>>64600721
Не за что, особо не затягивай
Лучше, чтоб врач осмотрел ирл, узнал, что нужно, потому что в целом много у кого щелкает всю жизнь и ничего не происходит, а кто-то потом на операцию приходит

Аноним Срд 19 Мар 2014 03:15:37  #335 №64600819 

>>64600319
>>64600319
>>64600319
Стоматолог-кун, или хотя бы ваннаби стоматолог-кун, помогай,альфач помирает во мне

Аноним Срд 19 Мар 2014 03:15:49  #336 №64600826 

>>64600319
Срочно пиздуй камень зубной чистить, мудила. Повылетают зубы нахуй и пиздец. Этот камень давит на десну и происходит оголение зуба и как бы выталкивание. Не шути с этим.

Аноним Срд 19 Мар 2014 03:17:22  #337 №64600877 

А вообще пиздуйте на биглион или еще куда-нибудь. Щя по этим купонам за 4 сотки чистка и фторирование.

Аноним Срд 19 Мар 2014 03:18:54  #338 №64600925 

>>64599123
Хуйня твои бормашины, маня. Мне лет в 6сам 91г.р удаляли аденоиды наживую. Мамка сказала, что я зайду, сяду в кресло, открою ротик, мне быстренько каку выдернут и мы уйдем. Я и поверил ей, хули. Реальность оказалась намного хуже, чем я представлял. Меня привязали к креслу за руки и ноги, вроде, хотя может еще и шею зафиксировали. Я в надежде на скорое избавление все равно послушно открыл рот и тогда начался ад. Ковыряди в горле какие то спицами, ножницами, крючками, я не мог дышать вообще, все 2-3 минуты операции, все было в ебучей крови, весь фартук, которым меня накрыли, руки врача, небо и аллах. Также наблюдал куски мяса, которые из меня вырывали и складывали в железную плошку рядом на столике. Не знаю как я выжил, это была натуральная предсмертная агония. Мамка потом купила тамагочи, а я не мог есть два дня.

Аноним Срд 19 Мар 2014 03:19:31  #339 №64600938 

>>64600826
у меня камень уже больше года, зубы чищу утром и вечером.
ЧЯДНТ?
Значит в 5к уложиться можно? Нарастить дырку и прочистить зубную шахту?

Аноним Срд 19 Мар 2014 03:21:16  #340 №64601001 

Посоны, а кто протезами ползуется, как вообще? Просто вот думаю к старости протез себе ебнуть. А че, зато голливудская улыбка будет.

Аноним Срд 19 Мар 2014 03:22:00  #341 №64601021 

>>64594860
Сука, чтоэу тебя с языком?!

Аноним Срд 19 Мар 2014 03:23:20  #342 №64601063 
1395185000453.jpg

У меня примерно такое состояние зубов.
Фото из инета.

Аноним Срд 19 Мар 2014 03:24:34  #343 №64601103 

>>64600877
Эти купоны разве не развод?

Аноним Срд 19 Мар 2014 03:24:35  #344 №64601104 

>>64601063
Зачем ты так с собой?

Аноним Срд 19 Мар 2014 03:24:56  #345 №64601113 

>>64600938
Хуево чистишь. Хуевой щеткой. Хуевой пастой. Нехватка витаминов. Жрешь говно всякое. Куришь небось и чашек пять кофе выпиваешь? Камень нужно чистить каждые полгода. Чистка нынче копеечная. У нас в Казани 400 рублей по купону с биглиона. Дырку нарастить хуй знает. Сходи к врачу. Но вероятно тебя пошлют на хуй, так как она не очень большая, а для пломбы ее придется увеличивать рассверливать. Но это не факт. Пломбирование не могу сказать сколько будет стоить. Лучше всего световая пломба. Ну касарь-два-три. Хуй знает. Иди к врачу. У нас они за осмотр не берут денег. Поэтому лучше сходить в пару-тройку клиник, ибо жадные врачи там найдут у тебя аллаха, лишь бы денег содрать. Такие дела.

Аноним Срд 19 Мар 2014 03:25:05  #346 №64601116 

>>64601063
Пиздишь же. Пили кулстори.

Аноним Срд 19 Мар 2014 03:26:28  #347 №64601167 
1395185188070.jpg

>>64594232
Стоматолог итт?

Аноним Срд 19 Мар 2014 03:27:33  #348 №64601206 

>>64601103
Лол. С подключением. Биглион охуенная тема. Он лучше всех потому что популярнее и ты там берешь купон и нихуя доплачиват не надо. Га всяких дейлисмайлс есть купоны-скидки. Ну то есть ты покупаешь этот купон, он дает тебе скидку, ты потом доплачиваешь и в итоге экономишь по хуйне. Не знаю, может есть вообще парашные сайты, но за биглион ручаюсь.

Аноним Срд 19 Мар 2014 03:27:38  #349 №64601210 

Хожу к стоматологу с января, отдал уже около 60 тыщ, полет нормальный. Лечите, друзья, зубы.

Аноним Срд 19 Мар 2014 03:28:31  #350 №64601240 

>>64601113
Чищу 1-3 минуты стандартно
Внутри не чищу
Не курю, всю жизнь
по долгу работы пью кофе, могу чашек 10 в день выпить
Казань? Я рядом живу лол, Белебей, ездил к вам в Аквапарк с пеТяном,добра няша что разъснил,через часа 3 заведу повозку и поеду

Аноним Срд 19 Мар 2014 03:30:33  #351 №64601302 

>>64601240
Нужно чистить 5 минут.
1-3, мало.

Аноним Срд 19 Мар 2014 03:31:40  #352 №64601348 

>>64601240
>по долгу работы пью кофе, могу чашек 10 в день выпить
Ну вот и причина, ептублядь. После каждой чашки не чистишь же? Нет. Жри тогда яблоки/морковь. Клетчатка чистит эту срань. Выпил чашку - пожевал яблоко и молодец.

Аноним Срд 19 Мар 2014 03:31:57  #353 №64601359 

15 лет гинлой зуб верхней челюсти. Как самому понять есть ли киста? Вроде не болит, но по нервам выше вплоть до головы что-то чувствуется.

Аноним Срд 19 Мар 2014 03:32:48  #354 №64601398 

>>64601302
Нужно чистить тщательно! Я минуты 2-3 чищу от силы, но залезаю во все укромные места, аж челюсть сводит. Брат жив.

Аноним Срд 19 Мар 2014 03:33:31  #355 №64601423 

>>64601240
Как это понимать - "внутри не чищу"? Возюкаешь щеткой по передним зубам с закрытой челюстью? Но ведь ты пользуешься при пережевываниии задними зубами.

Аноним Срд 19 Мар 2014 03:34:39  #356 №64601457 

>>64601359
Болезненное уплотнение у корня.

Аноним Срд 19 Мар 2014 03:35:43  #357 №64601499 
1395185743215.jpg

Че скажешь, ананас?

Аноним Срд 19 Мар 2014 03:36:33  #358 №64601529 

>>64601499
Это молочные?

Аноним Срд 19 Мар 2014 03:38:13  #359 №64601587 

>>64601457
Боли нет вообще, утолщений нет, однако десна в том районе стала дрябловата и могу ее слегка туда-сюда двигать. Из симптомов лишь чуть-чуть неприятное ощущение в области выше примерно до глаза, не боль, но просто чувствуется, особенно когда на холоде посидишь.

Аноним Срд 19 Мар 2014 03:38:44  #360 №64601601 

>>64601529
Нет, я тян 19 лвл(((

Аноним Срд 19 Мар 2014 03:40:20  #361 №64601639 
1395186020511.jpg

бог в треде
проигрываю досихпор

Аноним Срд 19 Мар 2014 03:41:11  #362 №64601663 

>>64601587
На холод, тепло, корень реагирует?

Аноним Срд 19 Мар 2014 03:41:17  #363 №64601667 

>>64601499
Я бы трахнул тебя.
>я тян
Пожалуй не стану трахать.

Аноним Срд 19 Мар 2014 03:41:20  #364 №64601668 

>>64601601
Ты пиздабол. Нормальные зубы, иди на хуй. Следующий!

Аноним Срд 19 Мар 2014 03:43:55  #365 №64601740 

>>64601663
Нет, сам зуб не чувствую вообще уже года 2, когда к дряблой десне прикасаюсь пальцем хорошо чувствуется корень, могу водить пальцем вокруг него, боли никакой нет вообще. От холода максимум усиливается это ощущение выше зуба и до глаза, становится назойливым, хочется положить в тепло чтобы не доебывало.

Аноним Срд 19 Мар 2014 03:45:42  #366 №64601797 

>>64601740
Нет, кисты нету, но корень лучше удалить.

Аноним Срд 19 Мар 2014 03:48:17  #367 №64601870 

>>64601639
пдомба ур-ня б/
прями зубы

Аноним Срд 19 Мар 2014 03:49:36  #368 №64601905 

>>64601870
интересно, если я выпрямлю я же буду говорить по другому? Придется ли перестраиватся?

Аноним Срд 19 Мар 2014 03:50:06  #369 №64601923 

>>64601797
То есть зуб только вырывать? А ощущение выше от чего? Воспалились нервы от заразы в челюсти как-то?

Аноним Срд 19 Мар 2014 03:53:07  #370 №64602008 
1395186787651.jpg

>>64600925
ты хотел сказать аденоиды простаты?

Аноним Срд 19 Мар 2014 03:53:15  #371 №64602014 

>>64601499
Откуда сколы на передних зубах? битард боец?

Аноним Срд 19 Мар 2014 03:53:33  #372 №64602023 

Пацаны. У меня был еще больший пиздец, чем у опа, но я потихоньку начал лечить.
Стоматолог сказала, чт хоть на двух зубах она поставила йоба, фото пломбы, но там было уничтожено больше 2/3 зуб, а это значит, что мне надо планово ставить коронки. Что значит планово??? Это перестраховка, или если я не поставлю, то через год-два все 100% пойдет по пизде?
Что-то я боюсь ставить их, мне батя е советует, говорит как пломбы развалятся, так и поставишь.
А вообще мне осталось вылечить один маленький кариес (вангую, не придется удалять нерв и чистить каналы) и один зуб мудрости удалить, он совсем ппц. Тоже страшно, распишите как удаляют зуб мудрости, есть ли чего бояться.

Аноним Срд 19 Мар 2014 03:54:35  #373 №64602053 

Ладно пацаны, спокойной ночи всем! Пойду зубы чистить!

Аноним Срд 19 Мар 2014 03:55:37  #374 №64602083 

Как найти хорошего стоматолога, который смог бы хоть какой-то к тебе индивидуальный подход найти? Куда идти, что говорить?

Аноним Срд 19 Мар 2014 03:56:47  #375 №64602115 

>>64600925
Бля, тебя отдали на живодерню. Так не лечат никого, страшно представить как себя ведут подобные лечилы при длительных операциях.
Их даже врачами не назвать.

Аноним Срд 19 Мар 2014 03:57:33  #376 №64602139 

>>64601923
Корень раскололся скорее всего.
От этого болезненное ощущение бывает.

Аноним Срд 19 Мар 2014 04:01:14  #377 №64602229 

>>64602139
Спасибо за мудрые советы. Получу деньги, пойду в больницу, но боюсь пиздец, отсюда и 15 лет с больным зубом хожу.

Аноним Срд 19 Мар 2014 04:02:23  #378 №64602260 

>>64601116
Чё тут говорить, как в детстве выбил передние, так и забил на зубы, не чистил, не лечил.
Удалять, короче надо.

Аноним Срд 19 Мар 2014 04:03:41  #379 №64602296 

мимо кун с такой хуйней, началось все с маленькой дырки в итоге все внутренности зуба вывалились и остались только стенки, но он сука не болит (хз куда нерв делся) а идти к стоматологу боюсь ибо больно да и вставные зубы по 20к рублей мне не по корману

Аноним Срд 19 Мар 2014 04:04:58  #380 №64602322 

>>64602296
Желтая хуйня на губе - кусок апельсинки

Аноним Срд 19 Мар 2014 04:11:30  #381 №64602531 

Есть тян, у которой несколько лет назад выпал зуб (моляр), может даже молочный не помню, когда это у неё случилось, и на его месте не растёт новый. Вместо него рассмотрел какую-то черноту. Скажи, анон, что это за хуйня? Откуда чернь может быть вообще, если зуба там нет?

Аноним Срд 19 Мар 2014 04:11:30  #382 №64602532 

бамп где все?

Аноним Срд 19 Мар 2014 04:13:06  #383 №64602585 
1395187986650.jpg

бамп

Аноним Срд 19 Мар 2014 04:14:17  #384 №64602617 

>>64602531
Сгнил на корню, скорее всего.

Аноним Срд 19 Мар 2014 04:15:06  #385 №64602639 

Удалили четверку, два врача говорили, что гранулёма (хирург при удалении посмотрел на снимок и сказал, что киста), болело при надавливании на корень с внешней стороны. Особо жалко не было, т.к. назначили удаление из-за установки брекетов. Прошел почти год, то место по-прежнему очень реагирует на холод, а за ним и тройка, находящаяся рядом. Что это за хуйня, анон?

Аноним Срд 19 Мар 2014 04:17:29  #386 №64602713 

>>64602639
Неполное удаление кисты, скорее всего.
Сделай рентген!

Аноним Срд 19 Мар 2014 04:19:28  #387 №64602775 

>>64602617
И что это значит? Из-за чего? Как лечить-то?

>>64602713
Ну охуеть теперь, а там уже на место всё ставят. Чем опасно, если оставить, как есть?

Аноним Срд 19 Мар 2014 04:24:17  #388 №64602925 
1395188657627.jpg
Аноним Срд 19 Мар 2014 04:27:08  #389 №64603010 
1395188828493.jpg

>>64602925
Г-СПОДИ, КАК!?

Аноним Срд 19 Мар 2014 04:27:49  #390 №64603047 

>>64602775
У тян удалять корень.
У тебя давно кисту удаляли?

Аноним Срд 19 Мар 2014 04:27:57  #391 №64603050 
1395188877490.png

>>64602925

Аноним Срд 19 Мар 2014 04:28:20  #392 №64603061 

>>64603010
Ну ты же знаешь как это происходит.

Аноним Срд 19 Мар 2014 04:28:32  #393 №64603064 

>>64602925

Аноним Срд 19 Мар 2014 04:29:14  #394 №64603083 

>>64603047
У меня почти год назад, писал выше. А нашли года полтора назад (пива попил холодненького, блять).

Аноним Срд 19 Мар 2014 04:30:29  #395 №64603109 
1395189029465.jpg

>>64602925

Аноним Срд 19 Мар 2014 04:31:22  #396 №64603136 

>>64603083
Ну чтож, делай рентген.
Если киста, удалять придется.

Аноним Срд 19 Мар 2014 04:32:31  #397 №64603165 
1395189151417.png

>>64602925

Аноним Срд 19 Мар 2014 04:32:47  #398 №64603170 

>>64602925
До чего наркотики доводят.

Аноним Срд 19 Мар 2014 04:34:01  #399 №64603206 

>>64603136
Хорошо, спасибо.
Если у тян не удалять сейчас боязнь стоматологов и мамка не даёт денег на такую хуйню, впоследствии могут быть осложнения?

Аноним Срд 19 Мар 2014 04:36:11  #400 №64603257 
1395189371397.png

>>64602925
От чего такая хуйня бывает?

Аноним Срд 19 Мар 2014 04:37:28  #401 №64603300 

>>64603206
Надолго удаление лучше не откладывать, и осложнений тогда не будет.

Аноним Срд 19 Мар 2014 04:38:04  #402 №64603313 

>>64603257
От наркоты

Аноним Срд 19 Мар 2014 04:39:50  #403 №64603355 
1395189590945.jpg

>>64592832
за амфетамином

Аноним Срд 19 Мар 2014 04:43:45  #404 №64603458 

>>64603313
что принимал?

Аноним Срд 19 Мар 2014 04:43:49  #405 №64603459 

>>64603300
Благодарю, анон. Осталось только тян к стоматологу затащить, да и себя, заодно

Аноним Срд 19 Мар 2014 04:44:50  #406 №64603484 
1395189890361.jpg

>>64603355
вот еще решение, давно хочу такую процедуру

Аноним Срд 19 Мар 2014 04:45:40  #407 №64603501 

>>64602925

Аноним Срд 19 Мар 2014 04:49:00  #408 №64603595 

>>64603458
Анон с фотки, фен скорее всего принимал.

Аноним Срд 19 Мар 2014 04:51:54  #409 №64603664 

>>64603595
Знаю много ребят, марафонящих каждые выходные уже лет пять, ни у кого подобной хуйни нет.

Аноним Срд 19 Мар 2014 04:52:52  #410 №64603689 

>>64603664
Но крыша у них съехала, не пытайтесь повторить*fix

Аноним Срд 19 Мар 2014 04:58:54  #411 №64603826 

>>64603689
Обычно после завязки с феном зубы начинают крошится, да и костям тоже пиздец.

Аноним Срд 19 Мар 2014 05:01:08  #412 №64603864 
1395190868354.png

>>64602925

Аноним Срд 19 Мар 2014 05:01:55  #413 №64603873 
1395190915373.jpg
Аноним Срд 19 Мар 2014 05:03:04  #414 №64603903 
1395190984132.jpg

>>64601167

Аноним Срд 19 Мар 2014 05:03:41  #415 №64603915 
1395191021698.jpg

рейт ми \b\

Аноним Срд 19 Мар 2014 05:04:53  #416 №64603940 

>>64603826
Подробнее пожалуйста
полгода на порохе кун

Аноним Срд 19 Мар 2014 05:05:56  #417 №64603960 

>>64603915
Чисти, пока не сгнили.
Кариес в начальной стадии.

Аноним Срд 19 Мар 2014 05:11:24  #418 №64604072 

>>64603940
От фена кальций вымывается из зубов и костей.
Остеопороз, вся хуйня...
Подробней на форумах бывших наркоманов смотри.

Аноним Срд 19 Мар 2014 05:18:30  #419 №64604239 
1395191910637.jpg
Аноним Срд 19 Мар 2014 05:56:25  #420 №64604889 
1395194185525.jpg
Аноним Срд 19 Мар 2014 06:02:27  #421 №64604988 

>>64592832
Пиздец ты сгнил нахуй, у тебя эта гниль сквозь зубы и кости черепа до мозгов добралась.

Алсо, судя по языку, твоей печени наступит пизда лет в 35.

Аноним Срд 19 Мар 2014 06:18:46  #422 №64605219 
1395195526361.jpg
Аноним Срд 19 Мар 2014 06:41:38  #423 №64605583 

Зубы, зубы, где вы, мои зубы...

Аноним Срд 19 Мар 2014 06:47:33  #424 №64605680 

(около)стоматолог-кун, поясни за импланты. А то мне не так давно удалили один из зубов (совсем разрушился) и теперь там дырка. Что с этим можно сделать? Говорят, какие-то мосты есть, так для них надо соседние зубы умертвлять и обтачивать. А просто в челюсть штифт засверлить и на него искусствнный зуб накрутить нельзя? Я совсем профан в этом деле.
Сфотать не на что, извиняйте.

Аноним Срд 19 Мар 2014 06:48:26  #425 №64605691 

>>64605680
Месяц назад установили имплант на шестерку нижнюю.Спрашивай свои вопросы.

Аноним Срд 19 Мар 2014 06:50:03  #426 №64605716 

>>64605691
1. Надёжно ли это? Сколько продержится?
2. Полностью ли заменяет настоящий зуб - как с жеванием, с чисткой?
3. Больно ли, сложно ли, долго ли?
4. Сколько стоит?
5. Что на этом месте было до того - полностью удалённый зуб?

Аноним Срд 19 Мар 2014 06:56:29  #427 №64605836 

>>64605716
Ставь имплант конечно.
25лет и больше держится,
Стоит от 15т до 60т в зависимости от региона и клиники.
Ставится на место удаленного корня.

Аноним Срд 19 Мар 2014 06:57:13  #428 №64605854 

>>64605716
1) Думаю, что да, читал темы насчёт этого, возможно, что всю жизнь.
2) Коронки пока нет, но по ощущениям -всё норм, ничего не чувствую.
3) Недолго,минут 20-30 заняло, но было достаточно неприятно, врать не буду, даже хирург удивился, что я сжимаюсь, говорил, что не часто такое встречал. Но это скорее не боль, а дискомфорт неприятный такой был. Алсо, вколол дополнительно анестезии. В целом нормально всё, рекомендую.
4) Отдал 25, примерно столько же отдам за коронку, сам из ДС,
5) Да, была киста, удалили зуб, проходил полтора года так, в итоге собрался.
Ещё было неприятно, когда анестезия отходила, но прошло на следующий день.
Могу подкинуть ресурсов по теме, почитай.

Аноним Срд 19 Мар 2014 07:02:23  #429 №64605932 

>>64605854
Подкинь, алсо что за коронка? Это в смысле на имплант ещё сверху надо что-то ставить?

>было неприятно, когда анестезия отходила
Лол. Я помню, когда зуб развалившийся удаляли - было не больно совершенно, хирург анестезию вколол, сам копается там с шутками-прибаутками, давит сильно так, зараза, в челюсти что-то хрустит, инстинктивно сжимаешься в ожидании БЛЯДЬ СУКА ЭТО ЖЕ ЗУБ ЩАС КАК БУДЕТ БОЛЬНО АААА БОЮСЬ, но толком ничего не чувствуется. А самое неприятное было потом домой идти с этим тампоном ватным за щекой и бороться с рвотными позывами. Ну и кровь из лунки ещё где-то сутки сочилась.

>>64605836
Спасибо, анон.

Аноним Срд 19 Мар 2014 07:07:47  #430 №64606015 

>>64605932
Да. Мне по сути сейчас вкрутили ШУРУП, который должен прижиться. Он из титана, успешность приживляемости высокая.
А когда он закрепиться полностью, мне подгонят коронку под него. Такие дела.
Почитай вот это.
http://www.stom.ru/articles/2011/10/05/entsiklopediya/
http://forum.stom.ru/forum/35-khirurgicheskaia-stomatologiia/

и вот это для начала
http://forum.stom.ru/topic/7577-implantirovanie-zubov-implantirovannye-pode/

Аноним Срд 19 Мар 2014 07:08:48  #431 №64606032 

>>64606015
>закрепится

Аноним Срд 19 Мар 2014 07:13:59  #432 №64606104 
1395198839961.jpg

>>64606015
Спасибо, держи няшу.

Аноним Срд 19 Мар 2014 07:23:27  #433 №64606239 
1395199407376.jpg

>Теперь о том, откуда мы можем взять кость для пересадки. Раньше рекомендовали брать материал из подвздошной кости. Но сейчас этим практически не пользуются. Во-первых, зачем нужны лишние шрамы на теле, во-вторых, зачем человеку потом хромать и ждать пока все заживет, ну и главное, в-третьих, качество кости там совершенно неудовлетворительное. Кость губчатая, рыхлая, для имплантатов малопригодная. Куда лучше кость на голове.

Хикке устраивается на работу Срд 19 Мар 2014 07:26:26  #434 №64606291 

удалял 8-ку нижнюю, итог: два посещения по часу, по три анестезии за раз, во второй раз после мышьяка, боль была как будто раскаленной кочергой по нерву ебошили.
другая восьмерка была под углом и стенки прятались в десне - хуярили стамеской и молотком(или чем там), полчаса хуярили так, потом осколки вынимали.
ЭТО ПИЗДЕЦ КАК БОЛЬНО
сменил уже 5 стоматологов, под одной пломбой после пульпита оставили полость в итоге через год зуб развалился, надо на штифтах восстанавливать. другой восстанавливал на штифтах и оставили кисту - надо вырезать, а это пиздец как больно и стоит столько же сколько и лечение самого зуба, уже был абцесс, ебальник был как в мультиках. еще один зуб восстановил на штифтах - пошла трещина в месте соединения эмали с пломбой.
Блядь, и это в платных клиниках, я уже заебался, приходится ебашить в ебеня чтобы лечить. Ах да, еще ездил в одну из лучших клиник, там мне блять пол челюсти предложили удалить, мол мы тебе импланты поставим. в конец охуели? жаль нет мужиков-терапевтов, бабы реально безрукие шлюхи, нихуя не могут.

Аноним Срд 19 Мар 2014 07:28:25  #435 №64606312 
1395199705960.jpg

>>64606291
Как-то не повезло тебе, бро.

Аноним Срд 19 Мар 2014 07:38:06  #436 №64606441 

>>64606291
В Китай пиздуй.

Аноним Срд 19 Мар 2014 07:38:59  #437 №64606457 
1395200339289.jpg

>Напомню для тех, кто не в курсе, что Россия — это одна из немногих в мире стран, где вообще нет законодательно утвержденных стандартов стоматологического лечения. Мало того, вы, наверное, удивитесь, но такая специальность, как имплантология стоматологическая, напрочь отсутствует в "табели о рангах". Это означает, что любой интерн-стоматолог может посмотреть по Интернету пару рекламных роликов об установке имплантатов и завтра утром начать их ставить направо и налево. Никакого диплома или сертификата по имплантологии наше государство и лицензионные органы до сих пор (октябрь 2007 года) не требуют.

>2007 год

Аноним Срд 19 Мар 2014 07:41:45  #438 №64606505 

Ананы, прямо сейчас вещаю из детской зубной поликлиники. Пока йобаные дети не заорали из кабинета, мне было похуй. Сейчас уже заднюю дать хочу.

Аноним Срд 19 Мар 2014 07:44:50  #439 №64606557 

>>64606505
Ты-то сам зачем туда пришёл?

Хикке устраивается на работу Срд 19 Мар 2014 08:03:37  #440 №64606880 

кто-нибудь может рассказать чем пломбируют в наши дни? мне во всех клиниках делали светоотверждаемые, но есть ли между ними разница? ну там в плане долговечности, эстетичности и так далее, поскольку все эти пломбы кажутся какими-то шершавыми по сравнению с эмалью.

Аноним Срд 19 Мар 2014 08:04:54  #441 №64606907 

>>64606880
Ну хз, мне все дырки, а их у меня штук десять, закрывали фотопломбами, причём на мой вопрос о долговечности везде отвечали, что скорее зуб раскрошится, чем фотопломба.

Аноним Срд 19 Мар 2014 08:11:01  #442 №64607017 

Зубные проблемы. И как такие крошечные кости могут причинять столько боли. Вот бы зубы были типа ногтей, раз в месяц подрезаешь, зато всегда свеженькие.

Аноним Срд 19 Мар 2014 08:15:13  #443 №64607111 

>>64606015
В общем, прочитал вот это вот
>ttp://www.stom.ru/articles/2011/10/05/entsiklopediya/
спасибо, тебе, анон, на многие вопросы ответы нашёл, буду думать.

Аноним Срд 19 Мар 2014 08:27:52  #444 №64607384 

>>64607017
У акулы вроде так, всю жизнь зубы растут.

Аноним Срд 19 Мар 2014 08:54:32  #445 №64607964 

>>64607384
У них они не растут. У них зубы - видоизмененная чешуя, которая в течение жизни постепенно сдвигается к челюстям, заменяя выпавшее.

Аноним Срд 19 Мар 2014 09:01:00  #446 №64608102 

>>64593786
я зубы каждый день чищу пиздец и почти такая же хуйня, только послабее

Аноним Срд 19 Мар 2014 09:04:46  #447 №64608194 
1395205486349.jpg

>>64592832
>Что делать, куда бежать?
Удалять к хуям. У меня джва таких нижних было. Удолил. Джва дантиста вырывали корни. Няша спинку кресла держала, а ее муж корни выдергивал. Всё под анестезией, нихуя не чувствовал, только ощущение давления, типа чем-то вниз давят.

Такие сгнившие зубы - очень опасная хуита. От них может кость загноиться и тогда гроб гроб кладбище выпил куска черепа.

Аноним Срд 19 Мар 2014 09:28:05  #448 №64608748 

>>64595249
Слюночка :33

Аноним Срд 19 Мар 2014 09:38:04  #449 №64608963 

>>64596870
Блядь я понять не могу
Вот зуб сгнил - его надо вырвать, а зацепится не за что
Но надо же вырвать, а то пизда
Мне то похуй, но я не хочу чтобв потом половину челюсти сгнившую отхуярили
Как быть то?

Аноним Срд 19 Мар 2014 09:42:24  #450 №64609057 

>>64598439
Да лучше бы выебали
мне когда зубы вырывали я только и молил чтобы лучше десять негров выебало

Аноним Срд 19 Мар 2014 09:43:45  #451 №64609092 

>>64608963
Врач вырвет, от 1 до 10 минут занимает удаление зуба.

Аноним Срд 19 Мар 2014 09:44:46  #452 №64609122 
1395207886732.jpg

Анон стоит удалять рудименты?
Или оставить похуй? Пикрилейтед я.

Аноним Срд 19 Мар 2014 09:45:53  #453 №64609154 

>>64609122
няшно, мне нравится

Аноним Срд 19 Мар 2014 09:46:46  #454 №64609183 

>>64609122
Если не мешают, можно оставить.

Аноним Срд 19 Мар 2014 09:47:45  #455 №64609217 
1395208065972.jpg

>>64609122

Аноним Срд 19 Мар 2014 09:49:40  #456 №64609268 

>>64609122
Не удаляй, сам хочу с такими же,и выглядит от отлично

Аноним Срд 19 Мар 2014 09:54:30  #457 №64609415 
1395208470693.jpg

>>64594903

Аноним Срд 19 Мар 2014 10:01:18  #458 №64609622 
1395208878556.jpg

Здарова пасаны, жаль тред проебал. Я тот самый хуй ранее любивший своими брекетами камвхорить, в общем их сняли, теперь заебись, рикаминдую.

Аноним Срд 19 Мар 2014 10:04:22  #459 №64609697 

Пацаны, а кто-нибудь ровнял зубы? Пилите стори. Долго? Дорого? Охуенно? Какие способы существуют, помимо очевидных брекетов?

Аноним Срд 19 Мар 2014 10:04:45  #460 №64609707 

>>64609268
Мне друзья говорят что на клык дадут мне. лол

Аноним Срд 19 Мар 2014 10:09:42  #461 №64609848 
1395209382369.jpg

Все совсем хуево?

Аноним Срд 19 Мар 2014 10:10:34  #462 №64609879 

>>64609848
Удалять

Аноним Срд 19 Мар 2014 10:11:20  #463 №64609908 

>>64609697
Да, я ровнял. >>64609622
Помимо брекетов хз, у меня вместе с лечением слепками, стачиваниями и подтяжками ушло 170 за 18 месяцев.

Аноним Срд 19 Мар 2014 10:12:01  #464 №64609938 

>>64609848
Блять, с самого детства адово боюсь стоматологов.

Аноним Срд 19 Мар 2014 10:13:54  #465 №64610021 

>>64609697
там всё зависит от того, куда и зачем двигать зубы надо. Есть еще пластинки как бомжевариант, но всё-таки баче бреккетов пока ничего нет. Оплата чаще всего за сами бреккеты + дохтуру за поддержку.

Аноним Срд 19 Мар 2014 10:19:02  #466 №64610201 
1395209942320.png

>>64602925
У меня такая же ситуация, они ещё болят и я яблоки жрать не могу, да вообще откусывать что-либо очё больно. Я очё боюсь идти лечить зубы, после случая, когда врач-долбоёб вколол мне не достаточно обезбаливающего, так ещё зуб нормально вырвать не мог.
Как вообще побороть такой страх? Прям очё боюсь + стоит ли обращаться в частные стомотологические центры?

Аноним Срд 19 Мар 2014 10:22:37  #467 №64610327 

>>64609122
А в Японии такое щас в тренде. Там сливают бабло, чтобы им так же зубки запилили. Я бы оставил.

Аноним Срд 19 Мар 2014 10:25:09  #468 №64610427 

>>64610201
Нормально все будет.
Лидокаин, или ультракаин хорошо обезбаливают.
В частных дороже, но очереди меньше.

Аноним Срд 19 Мар 2014 10:27:24  #469 №64610508 

>>64610427
Мне всё равно на цену, точнее в пределах разумного.
Но ОЧЁ боюсь после того случая с плохим стоматологом, прям до усрачки. А можно под общим наркозом чтобы мне все зубы исправили за 2-3 приёма?

Аноним Срд 19 Мар 2014 10:32:49  #470 №64610720 

>>64610508
Новокаин, главное чтоб не применяли, он почти не обезбаливает.
Чтобы все вырвать за раз, не каждая клиника пойдет на это.

Аноним Срд 19 Мар 2014 10:35:21  #471 №64610802 

>>64603960
Чисти, не чисти - кариес будет все равно дальше распостраняться. Надо высверливать.

Аноним Срд 19 Мар 2014 10:36:32  #472 №64610845 

>>64610720
Да не вырывать, а лечить, выровнить, если надо и прочее.

Аноним Срд 19 Мар 2014 10:39:30  #473 №64610954 

>>64610845
Ну, это по одному тогда.
На той фотке только удалять, больше ничего не сделаешь.

Аноним Срд 19 Мар 2014 10:40:55  #474 №64611011 
1395211255822.jpg

а мне норм

sageАноним Срд 19 Мар 2014 10:41:54  #475 №64611047 

>>64607964
И почему мы не рептилоиды?

Хикке устраивается на работу Срд 19 Мар 2014 10:43:58  #476 №64611121 

>>64609848
нет, пульпит и разрушение коронки. удалят нервы, на штифтах восстановят коронку, а дальше как повезет, может и 20 лет простоять.в замкадье это стоит около 8к рублей. возможно под зубом образовалась гранулема, значит надо делать резекцию верхушки корня. главное не удаляй, большинство пидоров в стоматологиях рекомендуют удалять из-за того что безрукие пидоры или хотят срубить бабла на имплантах. Даже если совсем все пиздец, и зуб давно нахуй сгнил- можно поставить коронку, главное чтобы корни держались в костной ткани. Удалять надо соглашаться только после того как ты посети три клиники и везде посоветовали удалять.

sageАноним Срд 19 Мар 2014 10:44:01  #477 №64611123 

>>64609122
У тебя нагрузка не челюсть не правильная идёт.
А там парадонтит пизда пизда гроб кладбище.

Хикке устраивается на работу Срд 19 Мар 2014 10:49:52  #478 №64611337 

>>64610802
пиздеж, в 2007 году у меня обалилась эмаль у десны(пришеечный кариес), с тех пор он незначительно увеличился.
бля, во я похуист, 7 лет прошло уже

Аноним Срд 19 Мар 2014 10:50:10  #479 №64611352 

>>64611121
Что с восьмерками делать?
Кариес только на одном.

Хикке устраивается на работу Срд 19 Мар 2014 10:54:58  #480 №64611547 

>>64611352
восмерки удаляют обычно, они нахуй не нужны. Лечить их - себе дороже, плюс там корни могут быть пиздец кривыми, а это высокая вероятность того что тебе их хуево прочистят и в итоге образуется киста или гранулема.

Аноним Срд 19 Мар 2014 10:56:35  #481 №64611613 

Во рту полный пиздец, к стоматологу не хочу идти, чтобы не слышать, что он об этом мне скажет. Как перебороть?

Хикке устраивается на работу Срд 19 Мар 2014 11:02:11  #482 №64611825 

>>64611613
лал, та же хуйня. всегда говорят что вам надо срочно лечить зубы и все, если стыдить начнетбыдло попадется то можешь смело нахуй посылать, клиник все равно дохуя. мне бабка одна 60 лет в частной клинике в шутку сказала "какая челюсть страшная" - мне похуй, не я ей профессию выбирал.

Аноним Срд 19 Мар 2014 11:05:04  #483 №64611944 

>>64611547
>киста или гранулема

И чо будет?

Хикке устраивается на работу Срд 19 Мар 2014 11:26:43  #484 №64612792 

>>64611944

гугли "резекция верхушки корня" и наслаждайся

Аноним Срд 19 Мар 2014 11:56:50  #485 №64613977 

>>64611613 Нажираешься прям в зюзю и приползаешь к ним на крылечко с деньгами в зубах.

comments powered by Disqus