Сохранен 176
https://2ch.su/b/res/67737588.html
К сожалению, значительная часть сохранённых до 2024 г. изображений и видео была потеряна (подробности случившегося). Мы призываем всех неравнодушных помочь нам с восстановлением утраченного контента!
Аноним Срд 07 Май 2014 19:57:02  #1 №67737588 
1399478222640.jpg

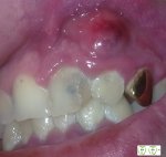
Привет Двощ. Только что откололся передний зуб, прямо как на пике, прогнил изнутри и воняет, сука. У кого так было, что надо делать? И сколько будет стоить вот это вот все? инфибо вставь орбит на место дырки и так ходи

Аноним Срд 07 Май 2014 19:58:42  #2 №67737706 

Привяжи ниточку на остаток, дерни.

Аноним Срд 07 Май 2014 20:00:40  #3 №67737841 

>>67737588
кого ебут деньги, когда вопрос касается здоровья?

Аноним Срд 07 Май 2014 20:01:57  #4 №67737931 

>>67737588 сколько тебе лет? Как вообще такое возможно?

Аноним Срд 07 Май 2014 20:03:02  #5 №67737994 
1399478582897.jpg

>>67737588>>67737588
>У кого так было, что надо делать?
Начинай стримить доту

Аноним Срд 07 Май 2014 20:03:06  #6 №67737998 

>>67737706
Вот я и думаю, эту хуйню тоже надо будет вырезать. хз кароче

Аноним Срд 07 Май 2014 20:04:27  #7 №67738078 

>>67737931
21 лет мне. Зуб долго гнил изнутри как-то чтоли, потом уже совсем ослаб и когда я пытался отгрызть им ноготь откололся в конце концвов

Аноним Срд 07 Май 2014 20:07:22  #8 №67738242 

>>67738078
Пиздуй к стоматологу, не оставлять же. Если есть муниципальный стомат в городе - туда беги, один хрен удалять, хуже не сделают. Ну и потом протезироваться.
Может воспаление периодонта начаться, или ещё какая неприятная вещь, так что поспеши лучше.

Аноним Срд 07 Май 2014 20:07:36  #9 №67738260 

>>67738078
А мама же говорила чистить зубки, и не курить метамфетамин

Аноним Срд 07 Май 2014 20:07:52  #10 №67738275 

>>67738078
Вывод: нельзя грызть ногти.
ну теперь то ты и не сможешь
Как и я :(

Аноним Срд 07 Май 2014 20:08:49  #11 №67738329 

>>67737588

Хуево, готов тысяч 30 за годный имплант теперь.

Аноним Срд 07 Май 2014 20:10:24  #12 №67738411 

>>67738329
Да ладно, куда тридцать? Стандартный имплант в десятку встанет. В ДС не знаю, во сколько, но в нашей Мухосрани как-то так.

Аноним Срд 07 Май 2014 20:11:11  #13 №67738450 

Был кариес на двух передних зубах, при чем на одном довольна глубокая дырка, сходил из залечил оба зуба за 1500 рублей. Вывод? Нужно вовремя обращаться к стоматологу, сохранишь и зубы и деньги. Алсо хотя бы раз в год надо бывать у стоматолога.

Аноним Срд 07 Май 2014 20:12:43  #14 №67738525 
1399479163870.jpg

>>67738329
Где вы бльядь такие цены находите? У нас одна коронка на имплант стоит от 20к, а сам иплант около 30. Уебку на оп-пике еще и надо вытаскивать остстки зуба

Аноним Срд 07 Май 2014 20:12:56  #15 №67738538 

>>67737706
>Привяжи ниточку на анус, дерни.

Аноним Срд 07 Май 2014 20:16:38  #16 №67738748 

>>67738329
Пиздец, но похуй платить же будут родители
>>67738450
В том-то и дело, что он не болел нихуя и кариеса даже небыло, снаружи по-крайне мере. А внутри пиздец. И воняет как хуй пойми что

Аноним Срд 07 Май 2014 20:17:32  #17 №67738802 

>>67738450 На словах просто. У меня в прошлом году воспалилась десна под зубом, вот только через неделю пойду. В самом начале стоматолог сказал хуйня, теперь наверное удалят, потому что мухосрань и врачи не хотят возится. Нагодных врачей не хватает.

Аноним Срд 07 Май 2014 20:19:49  #18 №67738923 

>>67737588
Вырывать до конца будут и импланты ставить.

Аноним Срд 07 Май 2014 20:20:43  #19 №67738987 

>>67738329
Да не, за десятку можно годный поставить.

Аноним Срд 07 Май 2014 20:20:45  #20 №67738989 

>>67738748 прозреваю ты жрешь говно, чистишь зубы не регулярно и на отьебись

Аноним Срд 07 Май 2014 20:21:47  #21 №67739060 

>>67738989
Я вот вообще не могу почистить зубы нормально, они кривые пиздец.

Аноним Срд 07 Май 2014 20:23:02  #22 №67739130 

>>67739060 Почему они кривые пиздец?

Аноним Срд 07 Май 2014 20:23:28  #23 №67739156 
1399479808058.jpg

>>67737588

Аноним Срд 07 Май 2014 20:24:10  #24 №67739203 

>>67738989
Жа жру норм вроде, но бухаю и курю, и постоянно на нервах, может это тоже влияет как-то. Вообще всю жизнь зубы были идеальные, все завидовали, даже небо даже аллах завидовал. А тут на нахуй, такая ерунда. Может меня прокляла зубная фея за мою неправильную жизнь?
ОП

Аноним Срд 07 Май 2014 20:24:22  #25 №67739218 

>>67737588
эта...когда с открытым каналом на "мудром" ходил до удаления,стоматолог советовала полоскать смесью соды и соли ( по чайной ложке на стакан теплой воды кипяченой) после еды,чтоб туда дерьма не набивалось.Не знаю.нужно ли оно тебе при таком пиздеце,ну да отпишусь на всякей.


а монитор у тебя часом не ЭЛТшный ? От них вроде некроз зубов был,как раз с такой же херней - без боли,без признаков...

Аноним Срд 07 Май 2014 20:24:31  #26 №67739227 

>>67737588
Если ты в ДС:
Чистка и экстракция частей зуба - около 10к
Имплантация металла от 30к
Коронка на имплант - 15-20к

Аноним Срд 07 Май 2014 20:26:51  #27 №67739362 

>>67737588
Штифт поставят, если зуб остался на уровне хотя бы десны. Нерв давно умер?

Аноним Срд 07 Май 2014 20:27:20  #28 №67739396 

каждый раз когда читаю такой тред полоскаю рот раствором соды с водой.

Убивает кариес и микробы просто нахуй. Также, это панацея от боли и идеальноя профилактика. + дает кальций организму

кстати, вам совет мучайтесь дальше.

Аноним Срд 07 Май 2014 20:27:36  #29 №67739414 

>>67739130
Хуй знает, с рождения такие, скорее наследственность.

Аноним Срд 07 Май 2014 20:29:07  #30 №67739520 

>>67739227
Не дс, 400к мухосранск
>>67739362
Нерв 7 лет назад удалили

Аноним Срд 07 Май 2014 20:29:19  #31 №67739537 
1399480159204.jpg

>>67737588
А мне прооперировали свищ недавно. Не дорого. Просто фоточку решила прикрепить. Повыебываться. Сейчас там тонюсенькая полоска после операционного шрама.

Аноним Срд 07 Май 2014 20:29:35  #32 №67739552 

>>67739203
дрочил часто и кальций всю в сперму ушел.

Кстати дрочи дальше. )

Организм думает что ты на грани выживания и трахаешь самок и поэтому все резервы организма стягиваются в сперму и ссаку. Рука одобряет

Аноним Срд 07 Май 2014 20:30:12  #33 №67739590 
1399480212139.jpg

>>67738411
Вот! Скажи спасибо Вовке Пу за дорогой доллар!
А то дохуя таких, Крым наш, Омериканцы соснуле, а как нужны брекеты/имплантанты/проч. мед. расходники и оборудование, которое в Парашке не выпускают, так сразу хуеют, что так дорого?
Вот так за всё и заплатим. Экономикой.

Аноним Срд 07 Май 2014 20:31:19  #34 №67739653 

>>67739396
>сода
>кальций
Помочился на дауна, который не может в химию

Аноним Срд 07 Май 2014 20:32:14  #35 №67739708 
1399480334090.jpg

>>67739396
> дает кальций организму
кальций твоим зубам, как и фтор, скорее вредит, чем помогает.
Любой антисептический ополаскиватель колгейт помогает лучше чем сода, не вычищает меж интердентальных проемов. Не счишает с десен нихуя. Не вычищает бактерии из деснового кармана, что может привести к пикрилейтейд.

Мирный Землянин  Срд 07 Май 2014 20:33:45  #36 №67739798 

У меня от зубов нихуя уже не осталось. Передние гнилые, а задних вообще уже нету. К врачу ходил, проверил. Поверхносто что-то там поделал и я отвалил ему 3 тысячи, блять. Назвал сумму того, что он собрался мне делать в следующий раз и записал, но я нихуя не пошел. Почему стоматология такая дорогая? Красивые зубы теперь роскошь.

Аноним Срд 07 Май 2014 20:34:14  #37 №67739819 

>>67739590
Диванный экономист сломался, причем тут курс доллара?

Люди готовы покупать товар за 30к, только поэтому он столько стоит. Мы в рыночной экономике, а не в социалистической славабгу стране, здесь цена зависит не от материалов, не от затрат, не от курса доллара, а банально от спроса.

Аноним Срд 07 Май 2014 20:34:24  #38 №67739830 

>>67739590
А теперь перечитай и осознай, что ты сморозил. Я просто написал, что цена имплантата зависит от МЖ ОПа и крутости клиники. В моей Мухосрани можно вполне годный немецкий имплант и за 7к поставить, базарю. Год назад удалили коренной из-за воспаления и сразу предложили проимплантировать. Отказался покуда, но летом собираюсь. Уже сказали, что цена не изменилась.

Аноним Срд 07 Май 2014 20:35:47  #39 №67739909 

>>67739798
>>67739819

Да и по делу - хирургия эта достаточно сложная, не каждый готов браться за такой пиздец. И да, если у тебя зубов нет, наслаждайся грядущей резорбцией десново-хрящевой ткани.

Аноним Срд 07 Май 2014 20:35:59  #40 №67739926 
1399480559348.jpg

>>67737588
Охуеть, ОП. Скинь фото своей пасти? У меня прублема с восьмыми зубами. 9ть месяцев назад сломался один, а сейчас начал крошиться второй. Но я пью коку и прочую хуиту просто в охуевших количествах. Свои зубья буду удалять, ибо 8ые - рудиментарные. Твой - надо протезировать.

Аноним Срд 07 Май 2014 20:36:02  #41 №67739930 

>>67739552
>Организм думает что ты на грани выживания и трахаешь самок и поэтому все резервы организма стягиваются в сперму и ссаку. Рука одобряет

где вещества покупаешь?

Аноним Срд 07 Май 2014 20:36:06  #42 №67739935 

>>67738802
Ну я, к слову, не в мухосранске живу, у нас со стоматологией получше, и частные клиники есть и государственные. Я лечился в государственной, просто специалист хороший попался, платил только за наркоз и пломбы. В среднем 600-700 рублей за зуб.

Аноним Срд 07 Май 2014 20:36:21  #43 №67739954 

>>67739520
Тогда вполне могут вставить, обойдётся гораздо дешевле.

Аноним Срд 07 Май 2014 20:36:46  #44 №67739987 
1399480606469.jpg

>>67739537
Тоже повыебываюсь тогда. Можете вайпать этим b, мне похуй
ОП

Аноним Срд 07 Май 2014 20:37:37  #45 №67740036 

>>67737588
Тред не читал, в 21 тоже зуб сколол.
Было 2 варианта:
Дорогой (сумарно 10-12 кусков рубасов), сделать протез вместо зуба
И более менее дешевый (7-9 кусков рубасов), в зуб загнали штифт и на нем был эдакий зубозаменитель.

Выбрал дешевый, сейчас от настоящего зуба не отличаю.

Аноним Срд 07 Май 2014 20:38:38  #46 №67740086 

>>67739819
>>67739830
Это вы ебланы. Всё стоматологическое всё покупается за бугром. От фармацевтики до смесей и имплантов. Чем дороже бакс/евро - тем дороже конечный продукт.
И так везде.

Стоматология это не производство телевизоров. Тут такая штука как спрос неприемлема. Спрос есть везе, даже в Африке. Специалистов нет и материалов. Специалистов надо учить, материалы покупать в Германии/США/Австрии. По цене их валюты.

Аноним Срд 07 Май 2014 20:38:54  #47 №67740106 

>>67737588
> человечеством выстроена целая система здравохранения (больницы, клиники, диспансеры, фельшеры, частные кабинеты докторов)
> спрашивает совет на веб ресурсе, где сидят люди, которые кроме игрулей и мастурбирования ничего в жизни не делают
ПИЗДУЙ К СТОМАТОЛОГУ ЗАЛУПА БЛЯДЬ

Аноним Срд 07 Май 2014 20:39:03  #48 №67740112 

>>67740036
Сколол причем об БУТЕРБРОДИК С СЫРОМ

Аноним Срд 07 Май 2014 20:39:06  #49 №67740116 

>>67737588
>вставь орбит на место дырки и так ходи
Лоллировал с этого новатора сам всегда хотел так сделать.

Аноним Срд 07 Май 2014 20:39:27  #50 №67740135 

>>67739987
ОП, у тебя там, кажись, ещё на один перекинулось. Пиздуй срочно в клинику, может, сохранишь. Если поздно по времени - прополоскай на ночь чем-нето дезинфицирующим типа мирамистина, но на следующий день иди.

Аноним Срд 07 Май 2014 20:39:30  #51 №67740138 

>>67739537
> А мне прооперировали свищ
Подробней :3

Мирный Землянин  Срд 07 Май 2014 20:39:57  #52 №67740164 

>>67739987
Няшные зубы.
Наглядный пример того, что ждет меня через год, а то и меньше.

Аноним Срд 07 Май 2014 20:40:50  #53 №67740216 
1399480850459.jpg

добрый вечер господа

Аноним Срд 07 Май 2014 20:41:09  #54 №67740234 

>>67739590
> Вот! Скажи спасибо Вовке Пу за дорогой доллар!
Причем тут Питин, долбоёб? Всё дело в ваших предпринимателях охуевших, а не в президенте. Хуле вы тупые то такие? Чиню зубы в Алмате за адекватную сумму с охуенным качеством. Заодно и отдыхаю тут годно.

Аноним Срд 07 Май 2014 20:41:16  #55 №67740242 

>>67740086
А теперь зайди на брекетшоп.ру и посмотри их стоимость, они стоят копейки, хоть сам покупай, только вот врач эту хуйню устанавливать за ноль не будет и расходники бесплатно тебе не даст. Какой к черту недостаток материалов блядь. Ты хоть цены изучи и посмотри как формируется стоимость услуги, экономист диванный.

Аноним Срд 07 Май 2014 20:42:04  #56 №67740288 

>>67740112
А я об ЭмЭндЭмс...

восьмые-зубы-кун

Аноним Срд 07 Май 2014 20:42:32  #57 №67740321 

>>67739537
У меня самые белые зубки в тренде. Хуебляди могли бы и получше за собой следить.

Аноним Срд 07 Май 2014 20:43:57  #58 №67740405 

>>67740321
и самые гнилые свищи)

Аноним Срд 07 Май 2014 20:44:21  #59 №67740432 

>>67740086
> Всё стоматологическое всё покупается за бугром.
И сразу нахуй иди. привозится всё в город. Заключаются контракты на поставку, а не покупается за бугром. Покупка совершается в твоей расеюшке. Материал шлётся из за границы. Посети хоть одну стом выставку, ебанутый, и не пизди мне тут. Рашкованы просто хотят много зарабатывать - вот и получаете денежный хуй от своих же собратьев. Пиздец. насколько тупыми надо быть то.

Аноним Срд 07 Май 2014 20:45:49  #60 №67740518 
1399481149067.jpg

>>67740138
Вот тебе подробнее. К счастью у меня был совсем маленький. Мне частник сделал зуб, вроде хорошо сделал, а он болел иногда. Везде полоскать советовали. Потом вылез маленький прыщик над ним(прыщей во рту не бывает) и то надувался то вздувался, тоже советовали полоскать. Карочи загнил или типо того. Это сложная операция мне ее в самой лучшей клинике Киева делали. А в "бесплатной" предлагали нахуй удалить.

Аноним Срд 07 Май 2014 20:46:17  #61 №67740548 

>>67738525
Если это Москва/Питер, то там зубы вставляют/лечат только полные уебаны, нормальные люди едят в Рязань и делают всё в 4 раза дешевле.

Аноним Срд 07 Май 2014 20:47:11  #62 №67740605 

>>67737588
>прогнил изнутри и воняет
>передний зуб
лучше бы ты умер, чухан

Аноним Срд 07 Май 2014 20:47:21  #63 №67740614 

>>67740242
>Пр-во. США
>Пр-во. США
>Пр-во. США
>Пр-во. США
>>67740432
Ага, то есть вы, поцреоты хотите сказать, что цена на брекеты/пломбы от цены на доллар не зависит?
Я вот об этом. И уж насколько тупым надо быть, чтобы эту зависимость отрицать я не знаю.

Аноним Срд 07 Май 2014 20:47:35  #64 №67740629 

>>67740405
Не самые, такое у каждого может быть. Я же не виновата, что частник хуево мне зуб сделал. Завидуй молча. :3

Аноним Срд 07 Май 2014 20:48:20  #65 №67740677 

>>67740321
Представь я тебе буду лизать писечку языком, который парил над гнилыми зубами.

Аноним Срд 07 Май 2014 20:49:17  #66 №67740739 

>>67740677
Ради такого языка и подмываться не надо.

Аноним Срд 07 Май 2014 20:49:43  #67 №67740763 

>>67740614
Я хочу сказать, что при росте цены на доллар, штифт будет стоить не 10к, а 11, но устанавливать его по-прежнему будут за 20-30к, т.к. люди готовы покупать по такой цене, в отличии от уганд.

Аноним Срд 07 Май 2014 20:50:28  #68 №67740816 
1399481428536.jpg

>>67740614
> Я вот об этом. И уж насколько тупым надо быть, чтобы эту зависимость отрицать я не знаю.
Блядь, ты хоть на одной выставке был то? В рашке дохуя каких компонентов производится. Гугли Аверон, блядь. Сука. Какие же эти школьные пидарасы тупые то. Нихуя не понимают, но лезут со своим охуенным мнением, ПИЗДЕЦ.

Попроси уже у мамки билет за бугор и съеби нахуй от царя и перестань быть рабом, коим ты, по твоему мнению, и являешься.

sageАноним Срд 07 Май 2014 20:51:32  #69 №67740883 
1399481492707.png

>>67737588

Аноним Срд 07 Май 2014 20:51:59  #70 №67740918 

>>67737588
>вставь орбит на место дырки и так ходи
Алсо, мой батя так некоторое время делал. Потом ему стало похуй.

Аноним Срд 07 Май 2014 20:52:02  #71 №67740923 
[url]

Самая мягкота на 3:45

Аноним Срд 07 Май 2014 20:53:54  #72 №67741031 

>>67738987
>>67738525

за десятку он и года не продержится - сломается нахуй.

Аноним Срд 07 Май 2014 20:53:55  #73 №67741032 

>>67740816
И что ты разбушевался? Он говорит мол если ты ничего не закажешь, то ничего не привезут, стоит всё относительно доллара/евро, покупать за рубли не будут нехуя, покупать будут за те единицы, которые использует страна продавец, а ты ему на ВЫСТАВКУ советуешь сходить и бугуртишь, поехавший.

Аноним Срд 07 Май 2014 20:53:56  #74 №67741034 

>>67738329
>тысяч 30
>годный имплант
Давно цены на имплантаты чекал, маня?
За 30 разве что говноконмет русский можно воткнуть, а это считается самым дешевым. За годный имплант 50 и выше.

Аноним Срд 07 Май 2014 20:54:13  #75 №67741053 

>>67740763
А был бы дешевле. Хочешь платить - плати. Я не хочу.
>>67740816
Забомбило
@
назови школьником

Аноним Срд 07 Май 2014 20:56:24  #76 №67741205 

>>67741053
>А был бы дешевле. Хочешь платить - плати. Я не хочу.
Ты так сказал будто у тебя выбор есть.

Аноним Срд 07 Май 2014 20:56:44  #77 №67741230 

>>67739830
>годный немецкий имплант и за 7к
>годный
>немецкий
>за 7к
Ой как же я проиграл.

Аноним Срд 07 Май 2014 20:57:24  #78 №67741268 

>>67737994
Судя по глазам, он упорот в говно. Живи ярко, умирай молодым во все поля. Цой рулит.

Аноним Срд 07 Май 2014 20:58:28  #79 №67741334 
1399481908295.jpg

>>67740923
Охуенный материал.

Аноним Срд 07 Май 2014 20:59:33  #80 №67741393 

>>67741230
Тебе реально поставят годный немецки имплант за 7к, в мухосрани они так и стоят, самый дорогой, который можно поставить будет стоить 15к, в москве такой же стоит пордка 60-70к. Сама установка будет стоить в 5-7к, у вас дерут 30, что ещё мне пизданешь?

Аноним Срд 07 Май 2014 20:59:43  #81 №67741406 

>>67740321
У меня они тоже белые, причем идеально ровные, кроме одного который отпал лол
Оп

Аноним Срд 07 Май 2014 20:59:57  #82 №67741419 

Ну раз пошла такая тема...давным давно лечил зуб, 2ой с конца, вверху. Мне удалили нерв, захуярили туда ваты с мышьяком и отпустили, надо было прийти что бы все доделали, а я не пошел. Со временем пломба разъебалась, вата вылетела, там что то выросло, хуй знает что может нерв, я не шарю. Сейчас там осколки зуба и эта хуйня, уже джва года так гоняю, короче стоит идти удалять? Кстати нихуя не болит(походу это не нерв), если бы болело то я бы уже давно попиздовал к врачу.

Аноним Срд 07 Май 2014 21:00:21  #83 №67741451 

>>67741205
Есть. По-пидорашьи прогнуться, по либерашьи бастовать или по крысиному съебать.
Вот такая вот у нас страна, ребята!
вбираю последнее, готовлюсь к магистратуре в финке

Аноним Срд 07 Май 2014 21:01:00  #84 №67741487 

>>67741406
Пиздуй на рентген панорамный завтра же. 500рур.

Аноним Срд 07 Май 2014 21:01:32  #85 №67741524 

>>67741451


>выбираю

*Фикс

Аноним Срд 07 Май 2014 21:01:57  #86 №67741549 

>>67740923
>мягкота
Ты, блядь, поехавший! Трахнуть меня решил? А ну иди сюда, я тебя сам трахну! Извращенец, онанист чертов!

Аноним Срд 07 Май 2014 21:02:15  #87 №67741568 

>>67741419
Полный пиздец, вы только посмотрите на этого отбитого, ему могут скоро премию Дарвина дать, а он на двощах сидит, ему удалили нерв, а он думает хули не болит, если бы болело, то я бы пошёл.

Аноним Срд 07 Май 2014 21:02:25  #88 №67741575 

>>67740923
Что дальше, меданон? Там в конце лишь кость белеет.
Как и чем будут полость заполнять?
А наружные ткани где, их совсем отрезали или отогнули?

Аноним Срд 07 Май 2014 21:02:31  #89 №67741579 

>>67741451
> готовлюсь к магистратуре в финке
вот это точно
диванный экономист.

Аноним Срд 07 Май 2014 21:02:54  #90 №67741597 

>>67741451
Куда съебнешь? Язык знаешь? Морально готов? Я тоже хочу, но я ленивый ебин и останусь в рашке и буду ныть на двощах.

Аноним Срд 07 Май 2014 21:02:56  #91 №67741600 

>>67740321
Тут кроме тебя и опа никто зубы никто не выкладывал, вниманиеблядь, но твои к слову тоже далеки от идеала.

Аноним Срд 07 Май 2014 21:03:15  #92 №67741615 

>>67741451
А в финке у тебя будет выбор?

Аноним Срд 07 Май 2014 21:03:20  #93 №67741620 

>>67741419
ох уж эти рашкованы-рашкованчики

Аноним Срд 07 Май 2014 21:03:39  #94 №67741637 
1399482219308.jpg

>>67737588
36к штрауман имплант.

Стоматолог кун.

Аноним Срд 07 Май 2014 21:03:52  #95 №67741653 

>>67741579
Нахуй иди, вата с выставки.
Бизнесмены ему виноваты, бизнесмены его оббирают.
Император приде, порядок наведе.

Аноним Срд 07 Май 2014 21:05:14  #96 №67741733 

>>67741568
А почем премию дарвина то? Я говорю давно так гоняю, и нихуя, можешь аргументировать пиздецовость ситуации, может меня это смотивирует пойти к врачу.

Аноним Срд 07 Май 2014 21:05:20  #97 №67741742 

>>67741451
> выбираю последнее
> Попроси уже у мамки билет за бугор и съеби
Ну вот и отлично же. Зачем лишний раз писать как тебе в рашке не нравится? Уже все всё сразу поняли. Молодец. Желаем тебе не обосраться на новом месте и после обучения полноценно остаться за бугром, а не быть депортированным назад в Нижние Петушки. Мне вот рашка удобна, пиздец. Окромя охуевших цен.

мимо-немец.

Аноним Срд 07 Май 2014 21:07:14  #98 №67741868 

>>67741393
Без пруфов ты пиздабол ебаный. Годные немецкие системы, типа SEMADOS, подразумевают стоимость самого импланта (титановый стержень, который будет у тебя в челюсти) - 30к. коронка еще 15, остальное (самая меньшая часть) - работа хирурга. И это блять не важно, в мухосрани или в Париже блядь. В мухосрани тебе могут скинуть за работу хирурга, н на сам имплантат никто тебе скидывать не будет, иначе у них будет убыток, олень ты ебаный.

Аноним Срд 07 Май 2014 21:07:52  #99 №67741917 
1399482472668.jpg

>>67737588
Удаление - от 100 до 250 грн. Можно и постараться бесплатно в поликлинике удалить.

Далее либо мост (3 единицы по 30-50$ где-то), либо имплант(400-600$), либо "бабочка" (около 20$). Но бабочка не функциональна и выглядит как говно пикрелейтед

Аноним Срд 07 Май 2014 21:08:07  #100 №67741933 

>>67741597
Два одноклассника учатся в Миккеле в IT вузе. Преподают на ангрийском.
>>67741615
Самый высокий уровень жизни на планете. И порядок.
Если там ты к врачу опаздываешь тебя штрафуют. Там такого нет, чтобы быдло вне очереди без талонов врывалось.

Аноним Срд 07 Май 2014 21:08:21  #101 №67741949 

Вообще не чищу зубы(в детстве были попытки), 23 лвл.
Сейчас начал замечать что некоторые передние зубы, немного поломаны, wtf?
Неужели действительно надо было чистить?
А как же наши предки обходились без этой хуйни?

Аноним Срд 07 Май 2014 21:08:46  #102 №67741977 

>>67741933
>Миккели
*фикс

Аноним Срд 07 Май 2014 21:09:29  #103 №67742017 

>>67739926
> 8ые - рудиментарные
Сказки народов мира. Когда были, благополучно ими жевал, первое время после удаления оче не хватало. Беречь нужно все зубы.

Аноним Срд 07 Май 2014 21:09:32  #104 №67742021 
[url]

>>67741334
>материал
Напомнил этого индийца.

Аноним Срд 07 Май 2014 21:11:24  #105 №67742113 

>>67741733
Теперь у тебя там может развиться всё что угодно, ты всё равно не почувствуешь, во рту больше всего бактерий, а у тебя там незащищенная дырка без сигнализации, если ты сейчас уже откидываешь копыта, то не чувствуешь этого.

Аноним Срд 07 Май 2014 21:12:08  #106 №67742153 

>>67741733
>>67741620
Бля вы меня напугали, завтра пиздую в стоматологию...платную. Так что меня может ждать?

Аноним Срд 07 Май 2014 21:12:17  #107 №67742165 

>>67741949
наши предки не если в таком количестве быстрые углеводы и прочее.

если будешь питаться тоже только сырыми овощами, фруктами то тоже норм будут зубы до лет 50.

Аноним Срд 07 Май 2014 21:12:29  #108 №67742183 

>>67742017
У меня они вросшие вообще, мне норм, хотя если бы на шару удалили был бы не против.

Аноним Срд 07 Май 2014 21:13:04  #109 №67742214 

>>67741949
> А как же наши предки обходились без этой хуйни?
Чистили же. Без пасты конечно, чисто механически. Да и жили тогда несколько поменьше.

Аноним Срд 07 Май 2014 21:13:22  #110 №67742236 

>>67741949
Почитай википедию, давно уже зубы чистят.

Аноним Срд 07 Май 2014 21:13:41  #111 №67742250 
[url]

>>67742021
Вот тоже вкусненько.

Аноним Срд 07 Май 2014 21:13:42  #112 №67742251 

>>67742153
Платишь где-нибудь рублей 500. Посмотрят зубы, порекомендуют что делать.
От чистки не отказывайся. Зубной камень накапливается, давит на десну и та оголяет шейку зуба - не профит.

Аноним Срд 07 Май 2014 21:14:12  #113 №67742284 

>>67741949
Убивали себя измучившись от зубной боли, очень хардкорный такой отбор был. Сейчас вон ДАУНОВ выращивают и хотят скрещивать их с другими ДАУНАМИ, мол как люди.

Аноним Срд 07 Май 2014 21:14:34  #114 №67742309 

>>67741949
Не читстил в детстве, как стал, понял, что сделал только хуже, там они камнем обрасли им нихуя не было страшно, а теперь после пары чисток в клинике их приборами они только обрастают дырами то месяца в месяц, ебал.

Аноним Срд 07 Май 2014 21:14:35  #115 №67742311 

>>67742113
Блядь так я говорю там заросло все, прям вот хрень выросла, там нет дыры, короче хуй знает завтра бегу к врачу, ОП спасибо за тред, ты может быть мне жизнь спас.

sageАноним Срд 07 Май 2014 21:14:48  #116 №67742320 

Отребье гнилозубое.

Аноним Срд 07 Май 2014 21:15:35  #117 №67742366 

>>67742153
Если зуб еще можно спасти - то реставрацию, штифты, пломба, готовь ~10к.
Если уже нельзя - удаление корней, имплантация. Готовь ~30к и больше.

Аноним Срд 07 Май 2014 21:15:51  #118 №67742381 

>>67740923
А что с ним?

sageSAGE Аноним Срд 07 Май 2014 21:16:58  #119 №67742439 

>>67739218
>2014
>ЭЛТ-монитор

Аноним Срд 07 Май 2014 21:17:08  #120 №67742449 
1399483028519.jpg

А вот и мои восьмые поломанные.

Аноним Срд 07 Май 2014 21:17:47  #121 №67742480 

>>67742021
Что-то есть захотелось.

Аноним Срд 07 Май 2014 21:18:27  #122 №67742522 

>>67742165
До 50 лет в любом случае не простоят. зубы расчитаны на жизнь первобытного человека с запасом - 30 лет. Потом начинаются пародонтит, убыль костной ткани, в следствие чего движение зубов, выпадывание etc.

Аноним Срд 07 Май 2014 21:19:04  #123 №67742560 

>>67737588
Думаю, у тебя был там непролеченный пульпит, пульпа прогнила, зуб не получал питания, ибо мертв, а через несколько лет откололся. Скажи, а внешне ничего не было видно, не темнел ли у тебя этот зуб?
Было бы интересно посмотреть фото зуба твоего.

Аноним Срд 07 Май 2014 21:19:25  #124 №67742577 
[url]

>>67742250
I like where this is going.
Олсо маслице.

Аноним Срд 07 Май 2014 21:19:25  #125 №67742579 

>>67742311
возможно это там образовался зубной камень или что то типа того

Аноним Срд 07 Май 2014 21:19:28  #126 №67742582 

Анон,

sageАноним Срд 07 Май 2014 21:19:34  #127 №67742591 

>>67741949
Жид ебаный должен страдать. Всё правильно.

Аноним Срд 07 Май 2014 21:20:04  #128 №67742632 

>>67742449
Снизу удалили, сверху почему нет? Неправильно же выросли.

Аноним Срд 07 Май 2014 21:20:35  #129 №67742667 

>>67742366
Гнилозуб уже не спасти, там спасать то уже нечего. Я вообще нищеброд, так что скорее всего обойдусь удалением, поставлю имплант когда будут лучшие времена. А там никаких деформаций не случиться за то время пока там ничего не будет?

Аноним Срд 07 Май 2014 21:22:22  #130 №67742779 

У меня тоже зуб передний сломался, но не сам, а я ебнулся лицом. Больше половины зуба нет.
Стоит имплант?, но уже давно. Лень идти менять, да и денег жалко.

sageАноним Срд 07 Май 2014 21:22:28  #131 №67742783 

>>67739987
хач ебаный. скоро вас вырезать будем суки

Аноним Срд 07 Май 2014 21:23:07  #132 №67742820 
[url]

>>67742577
Освящая классикой.

Аноним Срд 07 Май 2014 21:24:04  #133 №67742879 

>>67742667
Случится конечно, имплант лучше ставить сразу после удаления или через месяца три. Потом зубы начинают ехать в то место где нет зуба, могут появится щели между зубами.

Аноним Срд 07 Май 2014 21:25:05  #134 №67742938 

>>67742667
ЕСЛИ У ТЕБЯ СГНИЛ КОРЕНЬ ЗУБА ПРЯМО В ДЕСНЕ, ТО ВРАЧИ ЗАВТРА НЕХИЛО ТАК ОХУЕЮТ.

Аноним Срд 07 Май 2014 21:25:38  #135 №67742970 

>>67742820
>>67742577
Doing it wrong!
Нужно не гной выдавливать, а делать разрез в коже и целиком этот гнойный пузырь вместе с оболочкой доставать. Иначе он опять наполнится.

Аноним Срд 07 Май 2014 21:26:26  #136 №67743024 

>>67742779
Блять, ШТИФТ, а не имплант.

Аноним Срд 07 Май 2014 21:27:42  #137 №67743119 
1399483662069.jpg

>>67742667
>поставлю имплант когда будут лучшие времена
Не будут.

Аноним Срд 07 Май 2014 21:28:37  #138 №67743188 

>>67742591
Шта?
>>67742165
так в основном неприятные ощущения и бывают только от апельсинов, яблок.
от шоколадок иногда.
>>67742214
ну я тоже так-то чищу зубочистками, когда застревает что-то.
и еще ногтями убираю налет.

Аноним Срд 07 Май 2014 21:29:17  #139 №67743238 

>>67742820>>67742577
Блять, обожаю такие видео. Мечтаю чтобы мне самому подавили такой прыщ ну или чтоб я подавил кому-нибудь.

Аноним Срд 07 Май 2014 21:31:18  #140 №67743369 

>>67742938
Блядь теперь мне еще в 1.5 раза стремнее туда идти, но идти надо, и блядь я еще сегодня утром не думал про все это, а сейчас сижу и сру кирпичами. А как корень может прогнить внутри, я думаю у меня бы тогда гной из десны ручьями тек. А на деле все вроде норм, если это вообще можно назвать нормой блядь. Просто торчит осколочек, в дырке все заросло, десна у основания немного припухшая и я сука так хожу 100500 лет и нихуя, и чуствую себя норм, если не считать ВСД и депрессию лол.

Аноним Срд 07 Май 2014 21:31:44  #141 №67743395 

>>67737588
Мне выбивали на хокее, лол два передних. Импланты обошлись ~ 80к. Тебе еще выдалбливать корень прийдется, до заживления без зуба месяца 3 ходить.

Аноним Срд 07 Май 2014 21:31:56  #142 №67743408 

Хуета

Аноним Срд 07 Май 2014 21:32:21  #143 №67743436 

>>67740548
> Если это Москва, то там зубы удаляют в клиниках только полные уебаны, нормальные люди едят в Мытищи и делают всё за цену телефона и имеющихся с собой наличных.

Аноним Срд 07 Май 2014 21:32:37  #144 №67743459 

>>67742560
Но при пульпите зуб иногда болит.

Аноним Срд 07 Май 2014 21:34:52  #145 №67743579 

>>67743459
Может и не болеть.

Аноним Срд 07 Май 2014 21:35:30  #146 №67743622 

>>67743188
>чищу зубочистками
>ногтями убираю налет
Купи зубную нить и не занимайся хуйней. Зубочистками вообще лучше не пользоваться.

Аноним Срд 07 Май 2014 21:36:33  #147 №67743682 

>>67743188
> апельсинов, яблок. от шоколадок иногда.
яблоки селективно выведенный фрукт. апельсин возможно тоже (не знаю)
предки такого не ели.

Аноним Срд 07 Май 2014 21:37:02  #148 №67743711 

>>67742560
Наверное так и было, как ты сказал. Хотя совсем недавно ходил делать пломбу, ничего по поводу этого зуба не сказали, хотя он и потемнел со внутренней стороны где-то наполовину, это было видно. Фоткать не буду ибо камера плохая, но выглядит он как будто сгнил изнутри.
ОП

Аноним Срд 07 Май 2014 21:38:14  #149 №67743780 

>>67737588
>У кого так было, что надо делать
зубы чистить, долбаеб ты великовозрастный
жопу то мамка научила вытирать ?

Аноним Срд 07 Май 2014 21:40:18  #150 №67743886 

Пачаны. У меня тут обнаружили пульпит. И чего, как его лечат? Больно ли и можно ли спасти зуб? А то сейчас я уже пол комнаты кирпичей отложил уже

Аноним Срд 07 Май 2014 21:41:53  #151 №67743975 

>>67743369
>у меня бы тогда гной из десны ручьями тек. А на деле все вроде норм
гной внутри обычно копится, в таком случае или десну режут или удаление и гной сам вытечет

Аноним Срд 07 Май 2014 21:43:15  #152 №67744045 

>>67743886
Норм всё) Скоро мы на тебе будем практику проходить у патологоанатома.

sageАноним Срд 07 Май 2014 21:43:19  #153 №67744049 

>обнаружили пульпит
Обнаружен пульпит Артемия Лебедева

Аноним Срд 07 Май 2014 21:44:06  #154 №67744098 

>>67742284
> Убивали себя
А не легче ли было зуб вырвать, чем себя убивать?

Аноним Срд 07 Май 2014 21:47:34  #155 №67744303 

>>67737588
У меня тоже есть небольшой кариес на втором моляре, в шейке коронки. Верхний же моляр при накусывании бывает привкус гноя, мне страшно, лечить денег нет, буду собирать деньги, недавно десна воспалилась, хочу сделать снимок, посмотреть в каких зубах еще есть нерв.
И прикус уебищный, зубы как бы внутрь немного смотрят.
У меня такой вопрос, можно ли ставить еще брекеты в 20 лет? Или это уже не безопасно?

Аноним Срд 07 Май 2014 21:47:39  #156 №67744306 

>>67742449
Снизу и не было их. Эволюционирую. Сверху вот отрасли.

РУДИМЕНТЫ@РУДИМЕНТИКИ На пикчи справа видно что сразу за восьмым идёт кривой. Восьмой его смещает слегка, и линия получается не ровная.

Аноним Срд 07 Май 2014 21:48:18  #157 №67744342 

>>67737588
У меня тоже есть небольшой кариес на втором моляре, в шейке коронки. Верхний же моляр при накусывании бывает привкус гноя, мне страшно, лечить денег нет, буду собирать деньги, недавно десна воспалилась, хочу сделать снимок, посмотреть в каких зубах еще есть нерв.
И прикус уебищный, зубы как бы внутрь немного смотрят.
У меня такой вопрос, можно ли ставить еще брекеты в 20 лет? Или это уже не безопасно?

Аноним Срд 07 Май 2014 21:48:39  #158 №67744369 
[url]

>>67744098
Вот как раньше лечили примерно, так что зачастую наверное и суицидились. Хотя вроде как терпели до последнего а потом ходили выдирали.

Аноним Срд 07 Май 2014 21:48:41  #159 №67744375 

>>67742632
>>67744306
фикс.

Аноним Срд 07 Май 2014 21:48:56  #160 №67744388 

>>67743886
1) Удаление зуба целиком
Или
1) Чистка - как при кариесе, бормашиной выберут все сгнившее
2) Закладка препарата для того, чтобы убить корни, временная пломба (я почти месяц с ней ходил, травили дважды - не стесняйся сразу говорить, что больно, когда стоматолог проверяет)
3) Удаление корней - в канал вкручивается специальный бур, на который наматывается корень и вырывается. При всем описании процедура безболезненна - самое стремное это хруст, с которым вкручивается бур. Каналов 3 или 4. Самая дорогая часть процедуры (каждый канал отдельно оплачивается).
4) Установка пломбы

Еще вопросы?

Аноним Срд 07 Май 2014 21:49:32  #161 №67744419 

>>67744098
Пидорахи, сэр.

Аноним Срд 07 Май 2014 21:49:35  #162 №67744420 

>>67737841
Дибил совсем? 90% населения в нищите. А услуги пиздец дорогие.

Аноним Срд 07 Май 2014 21:50:27  #163 №67744469 

>>67744388
Диапазон цен?

Аноним Срд 07 Май 2014 21:52:12  #164 №67744580 

>>67743886
будет больно в любом случае
сделал с начала года 18 зубов

Аноним Срд 07 Май 2014 21:53:10  #165 №67744635 

>>67741949
Как, блядь? У тебя никогда не было девушки? Друзья никогда не говорили, что у тебя несёт изо рта говном, блядь? Охуенно просто блять.

Аноним Срд 07 Май 2014 21:53:13  #166 №67744640 

>>67744420
> 90% населения в нищите

Аутотренинг нищееба какой-то прямо

Аноним Срд 07 Май 2014 21:55:31  #167 №67744756 

>>67744469

Делал в ДС2, в гос. клинике (тут мне повезло, районная поликлиника с новым оборудованием и хорошими врачами), платил за материалы в основном - зуб сделать обошлось в примерно 5.5-6К (лень искать чеки), из них около 3.5К - удаление трех корней, остальное пломба и анестезия.

Аноним Срд 07 Май 2014 21:55:42  #168 №67744765 

>>67744635
Микрофлора разная. У меня также.

Аноним Срд 07 Май 2014 21:56:03  #169 №67744776 
1399485363780.png

>>67744306
Повезло тебе. У меня мало тог что прикус неправильный, еще и эти восьмерки ебучие лезут не так. Пикрелейтед.
Ты это, иди удаляй, пока они тебе окончательна линию не испортили.

Аноним Срд 07 Май 2014 21:59:03  #170 №67744958 

>>67741600
Идеала не существует.

Аноним Срд 07 Май 2014 22:01:03  #171 №67745085 

>>67739537
Я бы поцеловался с тобой/

Аноним Срд 07 Май 2014 22:04:04  #172 №67745254 

>>67741637

у меня кофта такая же, как на пике

Аноним Срд 07 Май 2014 22:11:46  #173 №67745672 

>>67739987
Ты уверен, что тебе 21?

Аноним Срд 07 Май 2014 22:17:25  #174 №67745999 

>>67745672
Да. и я не хач кстати

Аноним Срд 07 Май 2014 22:18:54  #175 №67746078 

>>67737588
если прогнил то выдергивать легко будет

Аноним Срд 07 Май 2014 22:40:01  #176 №67747305 
1399488001513.jpg

>>67744776
> Ты это, иди удаляй
Как только в рашку вернусь - пойду удалять. Удалил бы и в Алмате, по-дешевке, но и в рашке могу позволить такую радость, в принципе (хоть по 1500 на зуб это многовато. это вместе с анестезией в екб).

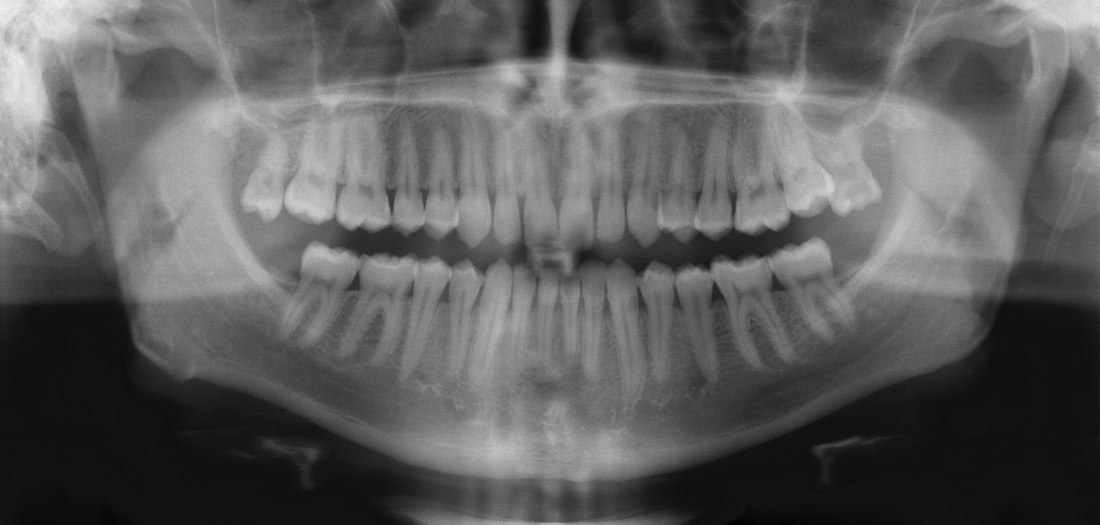
На днях обнаружил что зуб тот что с противоположной стороны тоже крошиться начал. Это точно уже всё под снос без промедлений. На пикче выделил как оно выглядит (смещение). Жру хуету и общее состояние зубов так себе.

comments powered by Disqus