Сохранен 275
https://2ch.su/b/res/58811677.html
К сожалению, значительная часть сохранённых до 2024 г. изображений и видео была потеряна (подробности случившегося). Мы призываем всех неравнодушных помочь нам с восстановлением утраченного контента!

Брекетов тред

 Аноним Срд 11 Дек 2013 23:27:50  #1 №58811677 
1386790070382.jpg

Есть ли тут аноны, которые носят/носили брекеты? У меня есть к вам несколько вопросов.

Аноним Срд 11 Дек 2013 23:33:32  #2 №58811997 

>>58811677
Нахуй так жить.

Аноним Срд 11 Дек 2013 23:35:00  #3 №58812081 

задавай

Аноним Срд 11 Дек 2013 23:40:44  #4 №58812381 

>>58812081
Лвл?
Носишь/нисил?
Долго ли длится установка?
Сколько стоит?
Что за тип брекетов?
Трудно ли говорить и чистить зубы?
Как часто ходишь на осмотры и прочее?

Аноним Срд 11 Дек 2013 23:45:31  #5 №58812629 

>>58812381
>Лвл?
16
>Носишь/нисил?
носил
>Долго ли длится установка?
хз, не помню. может час-два
>Сколько стоит?
хз. over 50 килорублей это точно
>Что за тип брекетов?
хз
>Трудно ли говорить и чистить зубы?
говоришь как обычно, возможно, первое время неудобно. зубы чистить не трудно, главное не забивать и чистить каждый день утром и вечером
>Как часто ходишь на осмотры и прочее?
раз в месяц, если какая-то трабла то идешь как док будет у себя

Аноним Срд 11 Дек 2013 23:48:30  #6 №58812797 

Ношу брекеты 5 лет. Этим летом снимут.

Аноним Срд 11 Дек 2013 23:49:35  #7 №58812866 

>>58811677
Спрашивай, помогу чем смогу

Аноним Срд 11 Дек 2013 23:50:53  #8 №58812937 

>>58812381
15
Носил
говорили будет час, на деле минут 40
45к,кде-то так
металлические
немного шепелявил с ними, да и после, но меньше, забы чистить легко, первое время остерегаешься, что железки слетят, но они там намертво шо пиздец
на осмотры раз в месяц, 370 за просто осмотр и подтяжку, еще надо сказать что пиздец болит первые 2 дня после каждой подтяжки

Аноним Срд 11 Дек 2013 23:51:16  #9 №58812960 

>>58812629
А долго носил? Исправился прикус?

>>58812797
К тебе те же вопросы → >>58812381 плюс
>Долго носил? Исправился прикус?

Аноним Срд 11 Дек 2013 23:52:52  #10 №58813057 

>>58812960
прикус не исправился, лишь немного поменялся, носил 1,5-2 года
>>58812937 кун

Аноним Срд 11 Дек 2013 23:53:02  #11 №58813067 

>>58812866
-> >>58812381

Аноним Срд 11 Дек 2013 23:54:25  #12 №58813142 

>>58813057
>>58812937
А были сильно кривые зубы? Как на ОП-пике? Или не очень?

Аноним Срд 11 Дек 2013 23:56:13  #13 №58813248 

>>58811997
Нахуя-нахуя.
Вот.

Аноним Срд 11 Дек 2013 23:56:19  #14 №58813255 

>>58813142
достаточно, но не как на оп пике, исправились норм теперь, только прикус не особо

Аноним Срд 11 Дек 2013 23:56:55  #15 №58813288 
1386791815108.jpg

Да, и вот ещё что хотел спросить. Удалял ли кто-нибудь зубы мудрости? Нахуй они нужны-то!? Я передние зубы из-за них сомкнуть не могу.

Аноним Срд 11 Дек 2013 23:58:04  #16 №58813360 

>>58812381
18
Вот, летом снимут
Недолго, но сначала нижние, а потом спустя несколько месяцев верхние, или наоборот
Не помню, мамка платила
Не знаю
Нет, привыкаешь со временем
Первое время каждый месяц, а последние два года пару раз за год

Аноним Срд 11 Дек 2013 23:59:02  #17 №58813419 

>>58813288
Если они сохранятся, то за них можно будет мост зацепить. Ведь на имплантаты тебе, нищеброду не хватит.

Аноним Срд 11 Дек 2013 23:59:58  #18 №58813486 

>>58813255
Так, а что с прикусом не так осталось? Есть неудобно или верхние не перекрывают нижние как надо?

Аноним Чтв 12 Дек 2013 00:00:01  #19 №58813490 

>>58813360
Ах да, прикус исправился, у меня зубки были некрасивые, а сейчас даже улыбаться не стесняюсь

Аноним Чтв 12 Дек 2013 00:00:23  #20 №58813513 

Носил брекеты 4 месяца. Недавно сняли и поставили ретейнер, лолэто такая хуйня, чтобы зубы не разъехались
мимотян

Аноним Чтв 12 Дек 2013 00:01:00  #21 №58813552 

>>58813419
>Ведь на имплантаты тебе, нищеброду не хватит.
Импланты хуйню стоят. Нахуй иди.

Аноним Чтв 12 Дек 2013 00:01:58  #22 №58813615 

>>58813486
если сомкнуть зубы, то нижние практически не видны, вроде и-за того что зубы рано полезли и поэтому все так хуево было

Аноним Чтв 12 Дек 2013 00:03:48  #23 №58813723 

>>58813360
>>58813490
>а последние два года
Сколько же ты их носил?

Аноним Чтв 12 Дек 2013 00:04:10  #24 №58813749 

Поставил в 21. Носил 2 года. Сейчас 25.
>Долго ли длится установка?
Не должно тебя это беспокоить.
>Сколько стоит?
Система ~20к + установка и снятие дорогое. Еще раз в месяц не помню сколько платил, но в пределах 2к.
>Что за тип брекетов?
Сапфировые.
>Трудно ли говорить и чистить зубы?
Чистка зубов - это пиздец. Куча щеток, после каждого приема пищи, много времени на это уходит. И все равно цвет зубов значительно ухудшается.


Btw зубы адово от брекетов болели, но со временем это даже стало доставлять.

Аноним Чтв 12 Дек 2013 00:04:50  #25 №58813792 

>>58812381
21

Ношу уже 2+ года.

40 мин одна челюсть где-то. Нижнюю ставили месяца через 3 после верхней.

Тысяч 30 брекеты плюс установка. Обслуживание - в районе рубля в месяц в среднем.


Керамика


Не мешает говорить. Чистить зубы в идеале после еды, а так - как захочется жи. Иногда пища застревает в зубах, тоскаю с собой зубочистки

Аноним Чтв 12 Дек 2013 00:04:52  #26 №58813796 

>>58813615
Так и должно быть. Верхние зубы должны на примерно на 2/3 перекрывать нижние.

Аноним Чтв 12 Дек 2013 00:05:02  #27 №58813811 

>>58813552
Всяко больше десятки за штуку.

Аноним Чтв 12 Дек 2013 00:05:37  #28 №58813840 

>>58813723
5 лет, вообще хуйня была, сейчас норм все

Аноним Чтв 12 Дек 2013 00:06:12  #29 №58813877 

>>58813513
>чтобы зубы не разъехались
Даже зубы от шлюхи убегают.
покормил, на всякий случай

Аноним Чтв 12 Дек 2013 00:06:34  #30 №58813896 

Из-за чего зубы болят от брекетов? Сильно болят? 5 не ровных зубов. Стоит их ставить?

Аноним Чтв 12 Дек 2013 00:07:13  #31 №58813938 

>>58813749
По чистке да, загон. Снимать долго, бро? Расскажи что там после снятия будет. Вроде как должен снять в декабре

Аноним Чтв 12 Дек 2013 00:07:34  #32 №58813958 

>>58813877
Дневник заполнил на завтра?

Аноним Чтв 12 Дек 2013 00:07:42  #33 №58813961 

>>58813513
И надолго тебе его поставили? Педивикия говорит, что его устанавливают на дохуя времени. Так?

Аноним Чтв 12 Дек 2013 00:08:06  #34 №58813993 

>>58813896
пиздец сильно болит первые пару дней, аж на стенку лезешь, даже жрать ничего не можешь ибо от каждого прикосновения пиздец

Аноним Чтв 12 Дек 2013 00:08:15  #35 №58814006 

>>58812381
1) 18
2) Относил года 2 назад, в общей сложности 5 месяцев и 3 недели на верхней челюсти.
3) 1 ч
4) Около 30к за все
5) Не помню название, но суть состоит в том, что на челюсть крепятся замки, а между ними пропускается дуга из сплава, которой стремится вернуться в исходную форму. По ходу лечения дуги меняют на все более и более толстые. Зубы болят от них пииииииздец как, конечно.
6) 1-2 раза в месяц

Аноним Чтв 12 Дек 2013 00:08:34  #36 №58814023 

>>58813961
Сказали год носить

Аноним Чтв 12 Дек 2013 00:08:37  #37 №58814028 

>>58813896
Болят первое время после установки, а также после подтяжки брекетов (каждый месяц вроде), можно обезболивающие глотать
Если тебе это мешает жить, то ставь

Аноним Чтв 12 Дек 2013 00:08:58  #38 №58814043 

>>58813958
Я мать твою ебал и не успел заполнить.

Аноним Чтв 12 Дек 2013 00:09:36  #39 №58814072 

>>58814006
6-ой вопрос проебал, лол
Говорить не сложно, чистить зубы стало проблемно после того, как систему обтянули специальной резинкой для дополнительного натяга

Аноним Чтв 12 Дек 2013 00:10:05  #40 №58814093 

>>58812381
1. 18.
2. Носил.
3. Пару часов, не больше.
4. Обычные металлические наружные.
5. Говорить - так же. Чистить - пиздец.
6. Ходил один раз в месяц.

Аноним Чтв 12 Дек 2013 00:11:14  #41 №58814149 

>>58813938
Снимают долго. Больше двух часов, как помню. Оставшийся от брекетов клей спиливают местной болгаркой, мне так на двух зубах чуть лишнее сняли. После этого сразу приклеивают ритейнер на заднюю часть зубов. Носить его over 20 лет (я тогда охуел, как узнал).

Аноним Чтв 12 Дек 2013 00:11:57  #42 №58814179 

Тред не читал.
Брекетоносец со стажем два года, носил хайрекс, сейчас все еще с брекетами. Задавай вопросы

Аноним Чтв 12 Дек 2013 00:12:28  #43 №58814205 

>>58814028
Жить мешает только один зуб, только когда я его трогаю языком и думаю о зубном. Это норма?

Аноним Чтв 12 Дек 2013 00:13:04  #44 №58814233 

>>58814205
Запили свои зубы

Аноним Чтв 12 Дек 2013 00:13:24  #45 №58814265 

>>58811677
Оп, мне будут в пятницу удалять две нижние восьмерки для брекетов (они мешают прост).
Буду носить 3 месяца на верхних зубах, а потом на нижние натянут. Давай брофист что-ли

Аноним Чтв 12 Дек 2013 00:13:41  #46 №58814271 

>>58813749
>>58813792
Мне 24 уже. Зубы ровные, но не могу сомкнуть передние зубы. Ортодонт говорит, чтобы ставил брекеты, но я хз вообще. Думаю сначала удалить зубы мудрости, ибо я ими не пользуюсь и на мой взгляд такая параша из-за них.

А перед тем как ставить брекеты, врач как-то моделирует, что в итоге должно получиться? Ну там ололо на компутере. Не? Всё в процессе ношения корректируется просто?

Аноним Чтв 12 Дек 2013 00:13:57  #47 №58814284 

>>58814179 Зачем так долго?

Аноним Чтв 12 Дек 2013 00:15:09  #48 №58814341 

>>58814284
Потому что полгода потратил на выправку зуба, который внутрь рос (не вниз, как все, а в сторону очень сильно), и сейчас нужно скорректировать прикус, а то между верхними и нижними передними зубами язык проходит почти свободно

Аноним Чтв 12 Дек 2013 00:16:56  #49 №58814447 

Мне 23 года, выпирают резца и клыки. Думаю, метаться уже поздно, да и 50к. на это я себе не могу позволить.

sageАноним Чтв 12 Дек 2013 00:17:22  #50 №58814471 

Еб твою мать, что за тред сосницких!? Съебали нахуй под шконку с моих двачей, уебки!

Аноним Чтв 12 Дек 2013 00:17:23  #51 №58814472 
1386793043076.jpg

>over 50 килорублей это точно
ебучие буржуи. хули так дорого?

Аноним Чтв 12 Дек 2013 00:17:55  #52 №58814506 

>>58814447
не поздно.
А резцы лучше вправить, ибо пиздец потом будет если они неровоные будут.

Аноним Чтв 12 Дек 2013 00:18:11  #53 №58814526 

>>58814265
А всего сколько носить в итоге?

Аноним Чтв 12 Дек 2013 00:18:34  #54 №58814550 

>>58814472
хуй знает о чем они. У меня на всёпровсё ушло примерно 30к

Аноним Чтв 12 Дек 2013 00:18:51  #55 №58814572 

>>58814271
Перед установкой слепок делается. Корректируется в процессе ношения.
Я не знаю, как ты выглядишь (может зубы и прямые но челюсть перекособочена) , но если визуально дефектов не видно, то я бы слал ортодонта по известному направлению.

Аноним Чтв 12 Дек 2013 00:19:03  #56 №58814582 

>>58814471
Съёбывай ты, долбоёб несчастный.

Аноним Чтв 12 Дек 2013 00:19:17  #57 №58814597 

>>58814447
>выпирают резца и клыки
очень нравится такой прикус. не исправляй, няша.

Аноним Чтв 12 Дек 2013 00:19:32  #58 №58814614 
1386793172847.jpg

>>58814550
всё равно много

Аноним Чтв 12 Дек 2013 00:19:39  #59 №58814619 

А если у меня нижний передний зуб наполовину сломан? Были ровные зубы, сломали челюсть и от шины стали торчать во все стороны, хочу хоть как-то поправить.

sageАноним Чтв 12 Дек 2013 00:20:12  #60 №58814643 

>>58814582
У меня хотя бы зубы ровные, унтерок малолетний
Развелось тут детей блджад

Аноним Чтв 12 Дек 2013 00:20:18  #61 №58814654 

>>58814506
Почему?

Аноним Чтв 12 Дек 2013 00:20:31  #62 №58814668 

>>58814619
Какой лвл?
может просто скобы поставят, год поносишь, все збс будет

Аноним Чтв 12 Дек 2013 00:20:37  #63 №58814675 

>>58814447
Мне 24 и я планирую ставить. Гда два поносишь и к 25 годам будут нормальные зубы. А 50к хуйня. Кредит возьми лол, если не потянешь сразу.

ОП

Аноним Чтв 12 Дек 2013 00:21:03  #64 №58814693 

>>58814668
25 через пару месяцев.

Аноним Чтв 12 Дек 2013 00:21:35  #65 №58814724 
1386793295680.jpg

>>58811677
Привет, Оп.
Задавай ответы.

Аноним Чтв 12 Дек 2013 00:21:48  #66 №58814732 
1386793308342.jpg

Ношу и норм

Аноним Чтв 12 Дек 2013 00:22:06  #67 №58814745 

>>58814472
Керамические брекеты вроде дорого стоят. Да и то, насколько зубы кривые, тоже влияет на цену наверное.
Алсо, стоматология вообще дорого обходится.

Аноним Чтв 12 Дек 2013 00:22:15  #68 №58814758 

>>58814654
неправильный механизм жевания, а значит во-первых сотрутся раньше, и совсем в иных местах чем должны были, а во-вторых при часных механических повреждениях (косточка попалась, или еще что-то в этом духе) вероятность того, что они отклонятся еще больше - выше. Т.к. кривые зубы = слабые десна

Аноним Чтв 12 Дек 2013 00:22:25  #69 №58814769 

>>58814149
Скорее бы уже сняли их к хуям, лол.
Ретейнеры -знал про это. А потом как часто показываться врачу?

Аноним Чтв 12 Дек 2013 00:23:28  #70 №58814818 

>>58814643
>У меня хотя бы зубы ровные
У меня тоже они ровные.

>унтерок
Домыслы вконтактоблядка.

>малолетний
24 лвл

Аноним Чтв 12 Дек 2013 00:23:28  #71 №58814819 

>>58814693
хуй знает тогда. Может и не обойдётся скобами.
Но если они не сами по себе искривились - то ничего сложного быть не должно

Аноним Чтв 12 Дек 2013 00:23:33  #72 №58814825 

>>58814745
http://www.breketshop.ru/catalog/estetic/
разница в 4к на челюсть в сравнении с металлическими, не так уж и дорого.

Аноним Чтв 12 Дек 2013 00:23:38  #73 №58814828 
1386793418527.jpg

Аноны, в челюсть можно получать, нося брекеты? Или гроб, кладбище, папа римский?

Аноним Чтв 12 Дек 2013 00:24:04  #74 №58814847 

>>58814769
Дальше не надо у него появляться.

Аноним Чтв 12 Дек 2013 00:25:05  #75 №58814895 

>>58814828
нежелательно конечно. Система, всё-таки.
Даже если брекеты не отклеятся от удара, все равно сходи к врачу, пусть посмотрит что сбилось.
Я пару раз получал по еблету, но обошлось - один раз в скулу, второй раз в самый низ подбородка

Аноним Чтв 12 Дек 2013 00:25:14  #76 №58814906 

>>58814745
Там хуйня, кстати, по цене. В пределах 3-5к. Но вид у керамики все же лучше, не так в глаза бросаются

Аноним Чтв 12 Дек 2013 00:25:15  #77 №58814907 

>>58814724
Что за хуйни у тебя справа и слева? Такое ощущение, что они не соединяют нижние дуги с верхними и ты не можешь открыть рот. Лол.

Аноним Чтв 12 Дек 2013 00:25:56  #78 №58814932 

>>58811677
Пиздец блеать, это ж сколько их носить нужно. Я всегда думал, что полгода максимум, а вы тут какие-то совсем заоблачные цифры называете, я аж хуею.

Аноним Чтв 12 Дек 2013 00:26:01  #79 №58814939 

>>58814907
Так и есть, это резинки.
Не-тот-кун

Аноним Чтв 12 Дек 2013 00:26:16  #80 №58814949 

>>58814758
А ещё будут сползать дёсны и будут проблемы с кишечником и с желудком, так как плохо пережёвывается пища.

Аноним Чтв 12 Дек 2013 00:26:26  #81 №58814959 

>>58814907
ну там не до такой степени жесткость, эластика это, вытягивает зубы, спокойно с ними жуешь

Мимо

Аноним Чтв 12 Дек 2013 00:26:32  #82 №58814967 

>>58814932
полгода - очень вряд ли. Год минимум, а вообще от случая зависит.

Аноним Чтв 12 Дек 2013 00:27:15  #83 №58815009 
1386793635929.jpg

>>58814732
Сапфиры?

Аноним Чтв 12 Дек 2013 00:28:17  #84 №58815058 

>>58814732
Что там кружком обведено?

Аноним Чтв 12 Дек 2013 00:28:19  #85 №58815061 

>>58814932
Ага, а потом ретейнеры еще минимум 3 года носить несъемные

Аноним Чтв 12 Дек 2013 00:28:19  #86 №58815064 
1386793699360.jpg

>>58814907
Маленькие кругленькие резиночки, которые уменьшают щель между челюстями. Носить в свободное время и на ночь. Они натягиваются на брекеты.

Аноним Чтв 12 Дек 2013 00:28:21  #87 №58815066 

>>58813896
На самом деле это все, по-моему, очень субъективно. У меня ныли челюсти после подтяжек, но подыхать от боли - это, видимо, в особо запущенном случае, когда зубы в шахматном порядке.

Аноним Чтв 12 Дек 2013 00:28:25  #88 №58815070 
1386793705668.jpg

>>58814907
Тянут зубы в нужных направлениях. Теперь это камвхоринга нить.

Аноним Чтв 12 Дек 2013 00:28:54  #89 №58815094 

>>58814819
Ну в том все и дело, что я лет пять уже так хожу.

Аноним Чтв 12 Дек 2013 00:29:00  #90 №58815105 
1386793740643.png

>>58811677
Задавай ответы, два года относил

Аноним Чтв 12 Дек 2013 00:29:46  #91 №58815152 

>>58815009
ага, правда фотка старая, сейчас все ровнее
>>58815058
Направляющий брекет (замок)

Аноним Чтв 12 Дек 2013 00:30:29  #92 №58815190 

>>58815061
Охуеть, это 5 лет сами брекеты, ретейнеры 3 года, целых ебаных 8 лет на выпрямление зубов. Ну нахуй, это же надо было лет в 10 еще сделать. Нахуямне к тридцатнику красивые зубы? Мне сейчас нужны, а не через 10 ебучих лет.

Аноним Чтв 12 Дек 2013 00:30:56  #93 №58815211 

если в передних зубах пломбы - можно ли ставить брекеты или как исправить прикус другим способом?

Аноним Чтв 12 Дек 2013 00:30:58  #94 №58815213 

Поставил в 19, сейчас 21. Сказали, что снимут к этому новому году, но хуй там был, буду носить еще неизвестно сколько времени, думаю, полгода.
Олсо, стоматолог дает резинки, чтобы ставил их на ночь, но делаю это редко - после этого на утро очень болит челюсть, есть не могу, разгрваривать не могу. Иногда ночью просыпаюсь от боли. Так что видимо брекеты я буду носить еще долго.

Аноним Чтв 12 Дек 2013 00:31:11  #95 №58815223 
1386793871071.jpg

>>58811677
АНОН С ВОПРОСАМИ ВРЫВАЕТСЯ ИТТ
1.Зубы постояно немного пошатываются. Это нормально?
2.Зубы в принципе ровные, но есть щель между двумя верхними средними зубами пикрилейтед-лайк. Как убрать? Дорого ли? Нужны ли брекеты?

17-лвл-кун тред не читал

Аноним Чтв 12 Дек 2013 00:33:08  #96 №58815333 

>>58815223
1)Нормально
2)Убирай, ибо смотрится ущербно. У самого такая хуйня была.
Если будешь ставить скобы только на один ряд, то ~30-40к.

Аноним Чтв 12 Дек 2013 00:33:27  #97 №58815352 

>>58814447
Не поздно. У меня как раз была такая ситуация, я мог правый верхний клык продемонстрировать из-за зажатых губ а-ля вампир. Носил 2 с лишним года, теперь ношу ретейнеры уже третий год.

Аноним Чтв 12 Дек 2013 00:33:29  #98 №58815353 

>>58815190
Завист от того, насколько у тебя кривые зубы. Брекеты ты года два носить будешь, а ретейнеры ставят на заднюю сторону и их видно не будет.

Аноним Чтв 12 Дек 2013 00:34:11  #99 №58815382 

>>58815211
Можно. Мне ортодонт так сказал.

13_пломб_в_зубах-кун

Аноним Чтв 12 Дек 2013 00:34:57  #100 №58815425 

>>58815211
Перед тем как ставить брекеты, как раз необходимо опломбировать все зубы, на которых есть дырки.

Аноним Чтв 12 Дек 2013 00:35:24  #101 №58815452 
1386794124440.jpg

>>58815190
ну 5 (самый тяжелый случай) они станут ровными, ретейнер будет невидим и просто сдерживать, т.к. если снять брекеты в зрелом возрсасте (после 16 лет), то зубы уедут обратно
>>58815211
Можно, пломбы придется просто менять скорее всего после.
>>58815223
Дешевле купить 2 винира или залепить эстетической пломбой

Вот свежая фоточка

Аноним Чтв 12 Дек 2013 00:36:00  #102 №58815481 

>>58812381 дороговато относительно
Первые дня три после установки (в последствии подкручивания) больно жевать будет
Около двух лет брекеты носишь, потом еще ретрейнер/капу на ночь, уже дольше.
Ах, да. Чисти зубы как говорят, а то белые пятна будут.

Аноним Чтв 12 Дек 2013 00:36:06  #103 №58815486 

>>58815213
>Поставил в 19, сейчас 21. Сказали, что снимут к этому новому году, но хуй там был, буду носить еще неизвестно сколько времени, думаю, полгода.
Ты - это я, 10/10 просто!

Аноним Чтв 12 Дек 2013 00:37:23  #104 №58815555 

>>58815070
Пиздец усы

Аноним Чтв 12 Дек 2013 00:37:42  #105 №58815575 

>>58815353
Довольно сильно. Клыки заехали за остальные зубы, а резцы на верхней челюсти находятся на разной высоте. Но мне абсолютно не нравится перспектива выправлять их в течении овер 5 лет. Это же пиздец, хули-то так долго. Аппарат Элизарова носят меньше, чем брекеты. Хули бы их не подкручивать посильнее, организм сможет справиться. Небось, стоматологи специально завышают срок ношения, чтоб за обслуживание бабло стричь. Техонлогии пиздец. Каменный век, ей богу.
Я ебал, мне нужны зубы здесь и сейчас, а не через 5 лет, причем 5 лет мучений и ношения инородной хуйни во рту.

Аноним Чтв 12 Дек 2013 00:38:12  #106 №58815600 

>>58815452
Мне 16, почти 17. Ставлю брекеты во вторник, когда их снимут?

Аноним Чтв 12 Дек 2013 00:38:52  #107 №58815633 

>>58815600
Тебе будет 20

Аноним Чтв 12 Дек 2013 00:39:30  #108 №58815683 

>>58815555
Не брился 3 дня, хули ты хочешь. Утром уберу

Аноним Чтв 12 Дек 2013 00:40:44  #109 №58815749 

Анончики, а у меня вот кривые зубы - одновременно в каждом уголке рта росли 2 зуба и один т.к. рос медленней вырос чуть выше другого около десен. Пикчу запилить не смогу.

Суть в чем - я возможно поехавший, но хотел бы эти клыки сделать симметричными относительно друг друга. Мне такое запилил бы кто-то или сказали бы что я долбоеб и просто предложили сделать зубы ровными?

Аноним Чтв 12 Дек 2013 00:42:33  #110 №58815847 

>>58815749
Есть деньги, тебе и кошачьи клыки нарастят.

Аноним Чтв 12 Дек 2013 00:43:28  #111 №58815909 

>>58815600
Зависит от степени искажения и подвижности зубов, стандартно - 1,5-2 года

Аноним Чтв 12 Дек 2013 00:45:24  #112 №58816015 

>>58815223
И еще пара вопросов вдогонку.
1. Сколько стоит отбеливание зубов? Надолго ли хватает?
2. Раза 3-4 в неделю не чищу зубы вечером - лень. Какие последствия могут быть?

Аноним Чтв 12 Дек 2013 00:48:00  #113 №58816145 

>>58816015
1. Crest - около одного года. Как и любое отбеливание очень вредно для зубов
2. кариес - самое легкое, пародонтит - самое хуевое.

Аноним Чтв 12 Дек 2013 00:48:18  #114 №58816167 

>>58814724
Брофист, только что сам резиночки одел ибо спать ложусь.
Ношу почти год, такую то йобу выправил, осталось хуйня, я думаю к концу лета сниму уже.

Аноним Чтв 12 Дек 2013 00:49:37  #115 №58816233 
1386794977957.png

Такая вот хуйня, посоны. Я иногда даже откусить что-либо тонкое не могу, так как не сомкнуть передние зубы.

ОП

Аноним Чтв 12 Дек 2013 00:50:19  #116 №58816281 

Может ли стоматолог сказать приблизительное время ношения при осмотре? Чтобы не получилось, что я с ними до седых яиц проходил.

Аноним Чтв 12 Дек 2013 00:51:29  #117 №58816344 

>>58816281
Стоматолог и не скажет.
Тебе к ортодонту надо.

Аноним Чтв 12 Дек 2013 00:52:21  #118 №58816390 

>>58816344
Никогда не слышал про ортодонтов в своем городе. Везде только стоматологи. Что это вообще за врачи такие?

Аноним Чтв 12 Дек 2013 00:53:17  #119 №58816430 

>>58812381
31
Ношу второй год
Установка длится 15 минут
Обчные металлические брекеты, металлическая дуга
Первое время внутрення поверхность губ и щек натиралась, ну и непривычно было все, говорить, жрать итд. Через пару месяцев перестаешь замечать.
Осмотр примерно раз в месяц: меняют дугу на более жесткую, добавляют разные доп устройства в зависимости от твоей проблемы.

Еще добавлю про боль. Ощутимо болит первые несколько дней после установки новой дуги. В остальное время болит только если зубы стискиваешь.

Аноним Чтв 12 Дек 2013 00:55:10  #120 №58816521 

>>58816390
http://ru.wikipedia.org/wiki/%D0%9E%D1%80%D1%82%D0%BE%D0%B4%D0%BE%D0%BD%D1%82%D0%B8%D1%8F

А если серьзно, то у тебя просто не было нужды к ним обращаться.

Аноним Чтв 12 Дек 2013 00:55:30  #121 №58816539 

>>58816430
У тебя болячки были? Как с ними жевать вообще?

Аноним Чтв 12 Дек 2013 00:55:32  #122 №58816540 

>>58816390
Ортодонт занимается кривыми зубами, в любом городе от 100к есть.

Время лечения стандартно всем 2 года хуярят. Не знаю снимали кому-нибудь раньше этого срока

Аноним Чтв 12 Дек 2013 00:55:45  #123 №58816555 

>>58816430
Забыл написать про цену.
Мне обошлось 20к брекет система, 70к работа(не зависит от срока и количества манипуляций) и в конце надо будет заплатить 10к за 2 ретейнера, которые носятся 5-10 лет, а лучше всю оставшуюся жизнь.

Аноним Чтв 12 Дек 2013 00:56:17  #124 №58816587 

>>58816430
>добавляют разные доп устройства
Приборы ночного видения, тепловизоры, дальномеры?

Аноним Чтв 12 Дек 2013 00:56:20  #125 №58816588 

>>58816539
Жуешь как обычно, даже не замечаешь особо

Другой-кун

Аноним Чтв 12 Дек 2013 00:56:53  #126 №58816615 

>>58816555
Что такое ретейнеры?

Аноним Чтв 12 Дек 2013 00:57:06  #127 №58816626 

А сколько будет стоить повырывать уже существующие и на их место ебануть протезы или что-то еще, и чтобы они были идеальны?

Хочу ровные зубы, но не хочу 2 года ходить с брекетами.

Аноним Чтв 12 Дек 2013 00:58:10  #128 №58816686 

>>58816588
У меня такая боль от них, что я начинаю буквально кричать и разрушать все вокруг. Пиздить двери, грушу, небо, Аллаха.

Аноним Чтв 12 Дек 2013 00:58:15  #129 №58816694 

>>58816539
В смысле "болячки"? Раздражения на внутренней поверхности щек? Лепишь воск, который тебе дают, на брэкет в месте, где натирает, и через пару дней снимаешь.

Первое время жрать только очень мягкое или через блендер. Потом привыкнешь.

Аноним Чтв 12 Дек 2013 00:58:59  #130 №58816730 

>>58816615
На заднюю поверхност зубов крепится тонкая проволока, чтобы зубы не возвращались в исходное положение. Есть еще съемные , но это хуйня.

Аноним Чтв 12 Дек 2013 00:59:06  #131 №58816741 

>>58816626
Ебланище, лучше анус себе дерни.

Аноним Чтв 12 Дек 2013 00:59:28  #132 №58816755 

>>58816615
устройства для сдерживания зубов от того, чтобы все вернулось на старые места, как до ношения брекетов. Либо несъемная шина (металлическая пружина), съемная прозрачная капа-элайнер
>>58816626
Прос то так тебе их никто не вырвет, импланты стоят от 40к за зуб, если делать всю челюсть, можно поставить зубной мост (зубы будут склеены между собой) тысяч за 80 за всю челюсть, с 4 штифтами в десны, но как говорили - такое делают когда зубы начинают выпадать.

Аноним Чтв 12 Дек 2013 01:00:15  #133 №58816794 

>>58816587
пружины на сжатие/растяжение, цепочки, эластики и т.д.

Аноним Чтв 12 Дек 2013 01:00:18  #134 №58816798 

>>58816587
Ага, еще неоновую подсветку, сабвуфер и гидро-привод.

Аноним Чтв 12 Дек 2013 01:00:26  #135 №58816806 

Ой, да ну нахуй эти ваши брекеты. Охуеешь от цены, охуеешь от ношения, охуеешь от последствий.
Технология еще не отработана. Грубая и малоэффективная. Буду ждать, пока химики, инженеры и хирурги не придумают что-нибудь качественно новое. В существующем виде это ничуть не лучше неандертальской хирургии.

Аноним Чтв 12 Дек 2013 01:01:54  #136 №58816854 

>>58816615
На передние четыре зуба сверху и снизу с внутренней стороны крепится дуга, чтоб зубам через несколько лет не пришло в голову начать двигаться в до-брэкетное состояние.

Аноним Чтв 12 Дек 2013 01:02:10  #137 №58816865 

>>58812381
>Лвл?
16
>Носишь/нисил?
Ношу
>Долго ли длится установка?
30- 40 мин. (Две челюсти)
>Сколько стоит?
47К (2.5 года назад)
>Что за тип брекетов?
Как на ОП- пике
>Трудно ли говорить и чистить зубы?
Чутка шепелявлю, но это из- за пластины.
>Как часто ходишь на осмотры и прочее?
Раз в месяц. Завтра один из последних. Потом имплантация и протезирование одного из зубов.

Аноним Чтв 12 Дек 2013 01:02:19  #138 №58816875 

>>58816806
> Технология еще не отработана. Грубая и малоэффективная.
50 лет полбзуются. Единственная технология, которая гарантирует при должном ношении полное выравнивание зубов. А какие там последствия? Есть еще виниры при несложных искажениях.

Аноним Чтв 12 Дек 2013 01:02:41  #139 №58816895 

>>58816626
>Хочу ровные зубы, но не хочу 2 года ходить с брекетами.
Ну и мудак.
Правильно написал анон - анус себе дерни.

Аноним Чтв 12 Дек 2013 01:02:44  #140 №58816898 

>>58816806
>Технология еще не отработана
Ебанутый? Уж где где, а здесь технология отлично отработана и проверена временем.

Аноним Чтв 12 Дек 2013 01:03:06  #141 №58816912 

>>58816806
Ну элайнеры купи, невидимые и не мешают никак

Аноним Чтв 12 Дек 2013 01:03:46  #142 №58816937 

>>58816755
Ну хуй знает, не вырвать, а обточить и сверху новые залить. Как Шенайя Твейн или Дэвид Боуи, или Аврил Лавин. Чтобы быстро результат был короче. Денбги есть вроде.

Аноним Чтв 12 Дек 2013 01:03:53  #143 №58816942 

>>58816806
>охуеешь от последствий
От ровных зубов еще никто не охуевал.

Аноним Чтв 12 Дек 2013 01:04:16  #144 №58816962 

>>58812381
25
носил
час
50к
прозрачные
говорить нет
раз в месяц, 300р
первое время зубам пизда, ел кашу только, когда начинает ездить всё. надевал резинки специальные на дальние зубы. менял раз в день. чистил минут по 10, разными хуевинами между брекетов.
драться нельзя вообще никак! пусть хачи ебут твою тян! ты не лезешь! дадут в челюсть, покажется, что вырвали нахуй.

Аноним Чтв 12 Дек 2013 01:04:36  #145 №58816980 

>>58816806
Ты охуешь от последствий, если их носить не будешь. Пародонтит, пародонтоз, прочие проблемы с дёснами, стачивание зубов, проблемы с пищеварением и так далее.

Аноним Чтв 12 Дек 2013 01:05:48  #146 №58817040 

>>58816895
Иди нахуй. Мы не в США, в моем возрасте будут смотреть как на дебила или уволят даже лол. Я не виноват, что в моем детстве в рашке такого не было.

sageАноним Чтв 12 Дек 2013 01:05:56  #147 №58817047 

>>58811677
Познакомился с одной практиканткой-стоматологом.
По ее совету вырвал все шестые гнилушки и зубы выровнялись сами. Первый раз попробовал в женскую попку.

Аноним Чтв 12 Дек 2013 01:06:00  #148 №58817050 

>>58814828
Получал. Один раз меня даже попиздили по зубам, но пластина с той стороны и брекеты с этой- затащили. А вот губы неделю зарастали.

Аноним Чтв 12 Дек 2013 01:07:00  #149 №58817100 

>>58811677
носил брекеты, но таколе чувство что зубы съелаи опять так. всмысле вроде сврехзу и снизу ровно, а вот привкус НИХУЯ НЕ РОВНО

Аноним Чтв 12 Дек 2013 01:08:21  #150 №58817165 

А зубы с брекетами нормально лечатся?

Аноним Чтв 12 Дек 2013 01:08:42  #151 №58817180 
1386796122538.jpg

>>58817100
Ну а ретейнеры сколько носил?
> привкус

Аноним Чтв 12 Дек 2013 01:09:49  #152 №58817224 

>>58817180
говна

Аноним Чтв 12 Дек 2013 01:10:14  #153 №58817243 

>>58817100
Ретейнеры тебе наверное не поставили.

Аноним Чтв 12 Дек 2013 01:10:40  #154 №58817259 

Когда уже поздно ставить брекеты?
21 лвл, ссал ставить брекеты в школьные годы. Не хочу до конца жизни с кривыми зубами ходить.

Аноним Чтв 12 Дек 2013 01:11:11  #155 №58817283 

>>58817040
В каком возрасте, уебок?
Вот мой пост >>58816430, никого эти брекеты не ебут.
Если тебя так это волнует, ставь не металл, а прозрачный пластик.
Уволят тебя только если ты диктор на ТВ.

Аноним Чтв 12 Дек 2013 01:11:11  #156 №58817284 
1386796271979.jpg

>>58817224
сука, как я проигрываю

Аноним Чтв 12 Дек 2013 01:11:16  #157 №58817289 

>>58817165
Что ты имеешь ввиду?

Аноним Чтв 12 Дек 2013 01:11:52  #158 №58817315 

>>58817259
Никогда не поздно.

Аноним Чтв 12 Дек 2013 01:12:04  #159 №58817322 

>>58817289
Ну то есть пломбу поставить там, например.

Аноним Чтв 12 Дек 2013 01:12:06  #160 №58817324 

>>58817259
Никогда не поздно

Аноним Чтв 12 Дек 2013 01:12:28  #161 №58817345 

>>58816875
>>58816980
Технология может и старая, но откровенно плохая. Цеплять на зубы стягивающую проволоку? В 2013 году? Серьезно? Это же курам на смех. Искусственные сиськи, ринопластика, липосакция и прочие методы фактически мгновенные, всякие отбеливания и удаления тоже, а в выпрямлении полный пиздец. Кто в здравом уме будет подвергать себя такому испытанию?
Да еще цена - это вообще пиздец. Они что, платиновые? На данном этапе брекеты лишь очередная профанация, призванная вытянуть деньги их людей. Не спорю, она работает, но и хирургия 15 века без наркоза, да и деревянные протезы-пеньки тоже работали ,но это была лишь ступенька к нормальной жизни, а брекеты как были, так и остались недоразумением.
Я не готов въебать столько усилий в какую-то мелочь.

Аноним Чтв 12 Дек 2013 01:12:57  #162 №58817365 
1386796377358.jpg

Ношу брекеты 10 мес. Фотка до :

Аноним Чтв 12 Дек 2013 01:13:10  #163 №58817370 

>>58817259
Когда зубы будут гнить быстрее, чем ты будешь успевать их лечить, вот тогда поздно. А вообще к ортодонту иди, он тебе точнее скажет. Но в 21 год уж точно не поздно.

Аноним Чтв 12 Дек 2013 01:13:38  #164 №58817393 

>>58812381
>Лвл?
30
>Носишь/нисил?
год ношу
>Долго ли длится установка?
40-60мин
>Сколько стоит?
60к+установка 10к
>Что за тип брекетов?
Даймонд хз к-то юэсэй
>Трудно ли говорить и чистить зубы?
привык за пару мес. нет. нет.
>Как часто ходишь на осмотры и прочее?
раз в 1, 5мес

Долго думал, но не жалею, результат збс, всем советую. Да, первые 3 дня новых дуг больно есть, но это терпимо и на начальном, сейчас не болят при смене.
дс2

Аноним Чтв 12 Дек 2013 01:14:20  #165 №58817420 

>>58817345
Ну не въёбывай, нам то что, мы скоро будем охуенными белозубыми господинами, а ты сиди в говне

Аноним Чтв 12 Дек 2013 01:14:32  #166 №58817426 

>>58817040
Поддвачну этого >>58817283. В детстве бы тебя зачмырили за брекеты, а после 20-го лвла всё норм.

Аноним Чтв 12 Дек 2013 01:15:28  #167 №58817461 

Анон, внимательно проверяй эмаль перед установкой брекетов!
Смотри чтобы прочная и толстая была, иначе можешь соснуть как я брекеты пришлось снять досрочно, и зубы до конца не исправил, и деньги отдал и эмаль ещё больше испортил

Аноним Чтв 12 Дек 2013 01:15:44  #168 №58817473 

>>58817322
Перед тем, как ставить брекеты нужно обязательно запломбировать все зубы. Поэтому скорее всего, пломбировать зубы во время ношения брекетов затруднительно или нежелательно.

Аноним Чтв 12 Дек 2013 01:15:47  #169 №58817476 

>>58817283
Мне 30, по долгу службы я серьезный деловой прогрессивный в хорошем костюме. Пидорашкинский начальник не оценит. Ты так заагрился, как будто я тебя долбоебом назвал. Нет, молодец, если можешь себе позволить. Я тоже не вижу в этом ничего смешного.

Аноним Чтв 12 Дек 2013 01:15:50  #170 №58817479 

>>58817165
Мешать может только дуга и то редко.
В любом случае ты можешь попросите ортодонта, чтоб он снял дугу, вылечить, потом обратно поставить.

Аноним Чтв 12 Дек 2013 01:15:56  #171 №58817486 
1386796556297.jpg

>>58817365
И фото сейчас. Спрашивайте свои ответы. Носить еще год или больше.

Аноним Чтв 12 Дек 2013 01:16:01  #172 №58817488 

>>58817393
Долго ещё носить сказали? Сильно пиздец был?

Аноним Чтв 12 Дек 2013 01:16:17  #173 №58817504 

>>58817365
Показывай, что сейчас.

Аноним Чтв 12 Дек 2013 01:17:12  #174 №58817548 

>>58817486
Не больше года ещё, анан. Добра тебе

Аноним Чтв 12 Дек 2013 01:17:40  #175 №58817567 

>>58817345
Уйди с треда, долбоёб. Иди в вики читать про челюсть и строение зуба, может поиграет что.

Аноним Чтв 12 Дек 2013 01:17:44  #176 №58817572 

>>58817345
Ну ты можешь договориться на безметалловую имплантацию всех зубов - примерно 90к за зубик, сразу и красиво

Аноним Чтв 12 Дек 2013 01:17:44  #177 №58817573 

Анон, а если одного зуба нет сзади справа, то ставить брекеты можно?

Аноним Чтв 12 Дек 2013 01:17:47  #178 №58817576 

>>58817486
Заебись.

Аноним Чтв 12 Дек 2013 01:18:14  #179 №58817593 

>>58817486
У тебя красивые пальцы ты пидор?.

Аноним Чтв 12 Дек 2013 01:18:21  #180 №58817599 

>>58817573
ну да, если есть щель, то ее затянут

Аноним Чтв 12 Дек 2013 01:19:11  #181 №58817635 

>>58817476
Ты спросил хоть начальника?

Аноним Чтв 12 Дек 2013 01:19:48  #182 №58817666 

>>58817486
Заебок.
Все правильно сделал.

Аноним Чтв 12 Дек 2013 01:20:29  #183 №58817688 

>>58817476
Ты хороший, деловой, прогрессивный с кривыми зубами? Тебе не кажется что-то лишним?

Аноним Чтв 12 Дек 2013 01:21:13  #184 №58817716 

>>58817476
И кстати есть возможность ставить брэкеты на внутреннюю поверхность зуба, но это не во всех случаях можно применить.

Аноним Чтв 12 Дек 2013 01:22:09  #185 №58817760 

>>58817567
>>58817420
Парни, можете говорить что хотите, но я себе этого просто не смогу позволить ни по деньгам, ни психически. Я себе тупо не проще, если въебу 50-100 кровных тысяч в 15 грамм алюминия, которые в ближайшие 5 лет будут висеть у меня внутри головы, причинять дискомфорт и продолжать высасывать деньги.
Это надо быть пиздец каким ебанутым, чтобы согласиться на такие условия.

>>58817572
Стоматологи гребут деньги лопатами абсолютно за нихуя. Там себестоимости материалов и работы от силы 5% цены, остальное - наценка за самомнение и элитарность.

Аноним Чтв 12 Дек 2013 01:23:10  #186 №58817809 

>>58817488
Носить сказали дефолт - два года. Хз, через пол года начну ныть) немного надоело уже, ну и был разговор с ответом 'по ситуации'. Ну не сильно, относительно, немного уехавшая внутрь двойка, и выпирающий тройка, и по мелочи - нижние. Забивал долго, но по ощущениям хуже стало, так что тянуть не вариант, ну и самому хотелось "голливуда".

Аноним Чтв 12 Дек 2013 01:23:19  #187 №58817818 
1386796999666.jpg

>>58817476
Ну элайнеры поставь, человек-костюм.

Аноним Чтв 12 Дек 2013 01:23:35  #188 №58817834 

А мне вот хочется, но страшно. У меня тян в группе на первом курсе поставила, сейчас сняла. Почти нихуя не изменилось. Вернее изменилось, но голливудской улыбки все равно не стало. И нахуя вот такое спрашивается. Где гарантии, что меня не будут ебать 3 года и тянуть деньги, а потом еще и хуйня получится.

Брекеты, слишком отчаянная мера. Даже мосты поставить, кажется более логичным и рациональным решением

Аноним Чтв 12 Дек 2013 01:24:28  #189 №58817871 

Если я поставлю брекеты а затем уеду в другой город
смогу ли я там продолжить процедуры в другой клинике?

Аноним Чтв 12 Дек 2013 01:24:39  #190 №58817877 

>>58817760
сапфиры прозрачные поставь/элайнеры, никакой проволоки и металла.

Алсо, денег они не так много, сами брекеты на две челюсти стоят примерно 45к, дуги/резинки на два года лечения еще тысяч 10, плюс за 300р тебя 24+ раз никто принимать не будет

Аноним Чтв 12 Дек 2013 01:25:53  #191 №58817931 

>>58817688
У нас разные представления о кривизне зубов. У меня не пиздец, как тут на фотках некоторых. И мои "кривые" зубы, пожалуй, лучше чем у 80% людей в этой стране. Многие бы даже не загонялись.

Аноним Чтв 12 Дек 2013 01:26:09  #192 №58817943 

>>58817760
>о я себе этого просто не смогу позволить ни по деньгам, ни психически. Я себе тупо не проще, если въебу 50-100 кровных тысяч в 15 грамм алюминия, которые в ближайшие 5 лет будут висеть у меня внутри головы, причинять дискомфорт и продолжать высасывать деньги.
От зубов твоих зависит же, если пиздец как на оп пике, то я бы потерпел и сделал, если просто там челюсть некрасиво смыкается, то забей

Аноним Чтв 12 Дек 2013 01:26:10  #193 №58817945 

>>58817486
Да какой год!? Я бы снял через неск месяцев уже. Идеально же почти

Аноним Чтв 12 Дек 2013 01:26:54  #194 №58817975 

>>58817834
Брекеты, в первую очередь исправляют прикус. Если хочешь голливудскую улыбку, то выравнивай их у стоматолога, а потом отбеливай.

Аноним Чтв 12 Дек 2013 01:27:23  #195 №58817995 

>>58817945
Уедут обратно, если снимешь раньше, никакой ретейнер не поможет

Аноним Чтв 12 Дек 2013 01:29:03  #196 №58818071 

>>58817877
> денег они не так много
>45к + 10k + обслуживание
Это же пиздец! Тут зарплаты - 15000 в месяц. Даже если накоплю, тупо жаба задавит отдавать такую огромную сумму за мелкую поебень, да еще не за приятную поебень, а за длительную и мучительную.

Аноним Чтв 12 Дек 2013 01:31:56  #197 №58818196 
1386797516166.jpg

Исправила себе зубы за пару недель. Как?
Отдам любые деньги.

Аноним Чтв 12 Дек 2013 01:32:15  #198 №58818209 

>>58818071
Есть разные БС от 20к до 150к. Не ной тут.
>>58817995
Ясно. Пойду кальция съем.

Аноним Чтв 12 Дек 2013 01:33:33  #199 №58818267 

>>58812381
27
ношу уже как 4 месяц

2 часа первоначальная установка

за сами брекеты отдал 25 с установкой. плюс от 1 до 2 кр за каждый осмотр-замену. если скоба слетает ставят на место бесплатно. за все про все предварительно 80 тысяч выйдет.

трудно первое время: после первичной установки неделю-две, после замены дуги до недели, в зависимости от того ставят тебе той же жесткости или более жесткую. куда труднее кушать: забудь про все твердое или носи с собой нож и вилку и мелко реж, косточку обглодать не получится, даже хлеб откусить бывает первое время трудно.

раз в месяц на осмотр, первое время вылетала с крайних зубов дуга, ходил у них вправлял, потом стал аккуратнее есть и сам вправлял. неудобно самому, пробовал тян подключить, она боится сильнее надавить чтоб затолкать эту железку куда надо, в итоге отказался и правил сам.

настоятельно рекомендую после установке минутку другую челюсть попробовать по-сжимать, чтоб зубки немного походили и дуга приняла свое место, а то получится как у меня: поставил брекеты и поехал на "викенд" а дуга вылезла с крайнего крепежа и распидорасила мне щеку. было неприятно.

Аноним Чтв 12 Дек 2013 01:34:11  #200 №58818288 

>>58817975
Двачую. Там сейчас на них наращивают и клеят всякое и они подгоняются под идеал.

Аноним Чтв 12 Дек 2013 01:35:13  #201 №58818324 
1386797713162.jpg

>>58817486
Илья Лагутенко?

Аноним Чтв 12 Дек 2013 01:38:23  #202 №58818463 

>>58818196
Виниры

Аноним Чтв 12 Дек 2013 01:38:33  #203 №58818471 

Аноны, хочу поставить брекеты, зубы не сильно кривые, многие говорят не ставь так норм, но во всей моей внешности только из за них у меня комплексы. Проблема в том, что я еблан, и мне 21 год. Тян была долго, дропнула. Новую найти уже пол года не могу, так вот найду ли я тян с такой хуетой на зубах или тяны таких презирают?

Аноним Чтв 12 Дек 2013 01:38:50  #204 №58818488 

>>58817834
И сколько она их носила?
А то была у меня одна знакомая, которая авторитетно заявила, что ей не помогло. А потом выяснилось, что носила пол года.

Аноним Чтв 12 Дек 2013 01:39:24  #205 №58818508 

>>58817871
Сможешь, но придется платить.

Аноним Чтв 12 Дек 2013 01:39:35  #206 №58818516 

>>58818488
2.5 года

Аноним Чтв 12 Дек 2013 01:39:50  #207 №58818525 

>>58813288
удалял. у меня нижний левый лег на бок и начал расти в остальные зубы, итог очевиден: на нижней челюсти зубы стали уходить с своих мест. удалил его нафиг, хирург сказал что все равно рано или поздно он бы дал о себе знать и лучше такие кривые сразу удалять, когда экстренно удаляют еще больнее. за компанию правый нижний удалил: он торчал вверх над всей челюстью. верхние оставил. там и удаление сложнее и прямее они. сейчас поставил брекиты, надеюсь подравнять их и сохранить.

Аноним Чтв 12 Дек 2013 01:40:04  #208 №58818532 

>>58812381
>Лвл?
15
>Носишь/нисил?
Ношу
>Долго ли длится установка?
Около часу
>Сколько стоит?
126к
>Что за тип брекетов?
Металлические
>Трудно ли говорить и чистить зубы?
Нет. Алсо, тебе в клинике сращу после установки дают специальную зубную щетку
>Как часто ходишь на осмотры и прочее?
Раз в месяц

Аноним Чтв 12 Дек 2013 01:40:27  #209 №58818549 

>>58818471
> не сильно кривые
мааксимум месяцев 8 носить будешь

Аноним Чтв 12 Дек 2013 01:40:41  #210 №58818561 

>>58817931
В таком случае тебе с 95% вероятностью можно поставить на внутреннюю поверхность, что никто даже не узнает. И носить их будешь не два года.

Аноним Чтв 12 Дек 2013 01:41:02  #211 №58818576 

>>58818463
Но ведь у нее были клыки не в плоскости остальных зубов, и даже если их стисать и наклеить сверху пластинку, они все равно будут выпирать за остальные.

Аноним Чтв 12 Дек 2013 01:41:22  #212 №58818590 

>>58818471
Расслабон. Грубо: Представь Бибера в брекетах, что изменится? Ничего. Тян не с этого текут, вперёд!

Аноним Чтв 12 Дек 2013 01:41:37  #213 №58818604 

>>58818576
импланты (?)

Аноним Чтв 12 Дек 2013 01:41:42  #214 №58818608 

>>58818071
Запомни эти свои слова, когда в старости будешь протезы покупать, ибо свои все вывалились.

Аноним Чтв 12 Дек 2013 01:43:22  #215 №58818682 

>>58818590
Бибер школьник и американец. У них там даже за 40 лет люди ходят. И не сравнивай их стоматологов и наших.

Аноним Чтв 12 Дек 2013 01:43:32  #216 №58818692 

>>58818608
Я не особо рассчитываю дожить до старости. Да и характер у меня не такой, чтобы планировать наперед, я дальше недели в будущее незаглядываю.
В любом случае, сухяли им вылететь. Кривые, да кривые, сидят-то все равно на месте.

Аноним Чтв 12 Дек 2013 01:44:45  #217 №58818740 

>>58818692
Сидели ровно на месте не были бы кривыми

Аноним Чтв 12 Дек 2013 01:44:50  #218 №58818745 

>>58818532
125k беларусских? сапфировые видимо крепёжки.

Аноним Чтв 12 Дек 2013 01:45:14  #219 №58818759 

>>58818471
>будет ли со мной общаться человек, не смотря на временный плохой вид
21 год а такое узкое мышление.
За свою жизнь встречал красавиц/красавцев, полных уебанов, и прыщавых няш и бро.
Форма - ничто, содержание - всё.

Аноним Чтв 12 Дек 2013 01:45:39  #220 №58818778 

>>58818745
Сапфиры стоят на 8к дороже металла всего (рублей)

Аноним Чтв 12 Дек 2013 01:46:18  #221 №58818803 

>>58818516
Значит ортодонт был мудаком.
Я перед установкой общался с тремя врачами перед тем как найти охуенного, у которого и лечусь.

Аноним Чтв 12 Дек 2013 01:47:16  #222 №58818836 

26, ношу ровно год. В принципе все передние зубы уже встали на место, и эстетически я почти доволен, но прикус еще кривой. Ах да, еще физиономия изменилась немного. И еще перед установкой удалил 4 зуба, два из них были здоровы без пломб. Один зуб удалился с серьезным осложнением (спасибо криворукому хирургу).

Брекеты Diamon Clear, 55000 установка + 2000 раз в месяц. Первые 10 дней питался молочными коктелями и сидел на нурафене, сейчас не особо напрягает даже после смены дуг.

И да ирригатор must have, я просто не представляю как бы без него жил.

Аноним Чтв 12 Дек 2013 01:47:26  #223 №58818846 

>>58818471
Гоняю в брекетах, так же лампово няшусь под пледиком с тянами

Аноним Чтв 12 Дек 2013 01:48:11  #224 №58818881 

>>58818525
Во всех прогрессивных странах зубы мудрости удаляют в подростковом возрасте ибо толку от них 0, одни проблемы.
У меня из-за них передние нижние зубы съехались в кучу, потому брекеты и поставил.

Аноним Чтв 12 Дек 2013 01:48:25  #225 №58818893 

>>58818836
Что такое ирригатор?

Аноним Чтв 12 Дек 2013 01:49:38  #226 №58818946 

>>58818692
Оно и видно, что ты малолетний долбоеб.

Аноним Чтв 12 Дек 2013 01:49:40  #227 №58818949 

>>58812381
21.
Ношу полгода.
Все зависит от выделения твоим желудком слюны.
Сами брекеты около 3к, но это на один ряд. Монтаж где-то 13к-15к.
Необычно ощущение недели 2, потом привыкаешь. Чистить не сложно.
Раз в два месяца.

Аноним Чтв 12 Дек 2013 01:49:43  #228 №58818951 

>>58818745
>125k беларусских? сапфировые видимо крепёжки.
Лолнет. 125k деревянных, крепежки самые обыкновенные, металлические. Просто в стоимость сразу входит установка и все посещения врача.

Аноним Чтв 12 Дек 2013 01:49:44  #229 №58818953 

>>58818881
удивлю, но даже в штатах нет конкретного единого решения по поводу зубов мудрости.

Аноним Чтв 12 Дек 2013 01:50:41  #230 №58818992 

>>58818893
маленький кархер для зубов

Аноним Чтв 12 Дек 2013 01:51:46  #231 №58819043 

>>58818893
Шняга, которая водяной струей чистит между зубов, ибо ниткой ты с брэкетами не почистишь.
Я без него обошелся.

Аноним Чтв 12 Дек 2013 01:52:27  #232 №58819069 

>>58818682
Ты вообще о чём?
>>58818893
Гуголь

>>58818836
Это верная штука, совсем забыл, надо взять. Хотя хз я привык чистить и так просто двумя щетками.

Аноним Чтв 12 Дек 2013 01:52:28  #233 №58819070 
1386798748222.jpg

>>58818992
> маленький кархер

Аноним Чтв 12 Дек 2013 01:53:39  #234 №58819127 

>>58818893
Такая хуевина для чистки зубов сильной струей воды. Экономит время на чистке, выбивает пищу из под брекетов и вообще. У меня вроде такого http://www.ulmart.ru/goods/313738.

Аноним Чтв 12 Дек 2013 01:54:20  #235 №58819148 

>>58818953
Для нормального жевания хватает зубов до шестерки. Зачем восьмерка, если она только проблемы создает?

Аноним Чтв 12 Дек 2013 01:58:29  #236 №58819323 

>>58819148
Лол у меня ни одна не вылезла ещё 8ка
И про аппендикс тоже, раньше резали дефолтно в сша, потом одумались!

Аноним Чтв 12 Дек 2013 01:58:52  #237 №58819344 

Сосоны,а можно ставить брекеты в заде зубов? чтобы не были видны они.

Аноним Чтв 12 Дек 2013 01:58:53  #238 №58819345 

У меня возник вопрос. Почему у животных зубы растут ровно, а у людей такая поебота?

Аноним Чтв 12 Дек 2013 01:59:50  #239 №58819384 

>>58819344
>Сосоны,а можно ставить брекеты в заде зубов? чтобы не были видны они.
Да.

Аноним Чтв 12 Дек 2013 02:00:44  #240 №58819432 

>>58819345
строение челюсти другое, у них зубы в основном режущие, у нас же есть моляры и премоляры, да и у животных, особенно селективных пород часто встречаются зубные аномалии

Аноним Чтв 12 Дек 2013 02:00:47  #241 №58819435 

>>58818949
>30к фикс

Аноним Чтв 12 Дек 2013 02:00:47  #242 №58819437 

>>58819345
>Почему у животных зубы растут ровно
Лол

обладатель двух йорков

Аноним Чтв 12 Дек 2013 02:01:27  #243 №58819470 

>>58819384
Это хорошо, но я так понял стоить они будет дорого?

Аноним Чтв 12 Дек 2013 02:01:37  #244 №58819475 

>>58819323
Сколько тебе лет, что ни одна не вылезла еще.
А апендецит мне вырезали только когда болеть начал.

Аноним Чтв 12 Дек 2013 02:01:41  #245 №58819481 

>>58819345
У меня неправильный привкус от того, что я из груди мамкиной не пил, а из бутылочки сосал, все испортил нахуй

Аноним Чтв 12 Дек 2013 02:02:05  #246 №58819493 

>>58819344
но будешь разговаривать шепеляво.

Аноним Чтв 12 Дек 2013 02:02:19  #247 №58819502 

>>58819470
Да, и я не уверен, что тебе будет удобно их носить.

Аноним Чтв 12 Дек 2013 02:03:46  #248 №58819573 

>>58819475
31лвл
Не дрищ, голова норм. Хз.

Аноним Чтв 12 Дек 2013 02:04:20  #249 №58819611 

>>58819470
Есть элайнеры - очень дорого, есть внутренние брекеты - дешевле, мешают говорить в отличии от внешних, и нельзя их ставить на совсем сложных вариантах искажения
>>58819481
прикус блядь, какой нахуй привкус говна

Аноним Чтв 12 Дек 2013 02:04:33  #250 №58819618 

>>58819502
Да не в удобстве дело, просто заебут в них пялиться.

Аноним Чтв 12 Дек 2013 02:05:35  #251 №58819668 

>>58818836
>Ах да, еще физиономия изменилась немного

Это как?

Аноним Чтв 12 Дек 2013 02:06:11  #252 №58819701 

>>58819611
>и нельзя их ставить на совсем сложных вариантах искажения
у меня всего один зуб кривой, перед клыком.

Аноним Чтв 12 Дек 2013 02:07:19  #253 №58819754 

>>58819668
Челюсть шире, морда важней, становишься альфачнее!
мимо-другой-кун

Аноним Чтв 12 Дек 2013 02:07:41  #254 №58819775 

>>58819701
здесь проще винир поставить

Аноним Чтв 12 Дек 2013 02:07:58  #255 №58819789 

>>58816912
Поясни за элайнеры? Не наебалово ли? Сам носил или диванный?

Аноним Чтв 12 Дек 2013 02:08:30  #256 №58819821 

>>58819701
Тогда запросто, только они стоят дороже. Есть 100к иди к ортодонту.

Аноним Чтв 12 Дек 2013 02:09:20  #257 №58819851 

>>58819789
> Сам носил
Денег хватило только на сапфировые 120к, на элайнеры за эти деньги только совсем слабое искривление можно сделать

Аноним Чтв 12 Дек 2013 02:09:56  #258 №58819881 

>>58819618
Да никто на них не пялится, что, блять, за детские предрассудки.
Максимум, чего они удостоятся, это фразы: "О, Анон, брекеты поставил? И как?"

Аноним Чтв 12 Дек 2013 02:12:10  #259 №58819983 

>>58819881
как земля

Аноним Чтв 12 Дек 2013 02:13:17  #260 №58820025 

>>58819821
К сожалению нету. Ну а один зуб долго по времени выпрямлять?

Аноним Чтв 12 Дек 2013 02:15:02  #261 №58820091 

>>58820025
от силы полгода ношения, выпрямляется он примерно за первые недели

Аноним Чтв 12 Дек 2013 02:15:16  #262 №58820103 

>>58819881
А многие "О, ништяк, тоже хочу".

Еще не встретил человека, который бы плохо отозвался о брекетах. Да и железки на зубах куда лучше кривых зубов.

Аноним Чтв 12 Дек 2013 02:16:53  #263 №58820179 

>>58820103
> "О, ништяк, тоже хочу"
Собственно так бы я и сам сказал, лол.

Аноним Чтв 12 Дек 2013 02:19:34  #264 №58820287 
1386800374371.jpg

>>58818949

> Все зависит от выделения твоим желудком слюны.

Аноним Чтв 12 Дек 2013 02:20:07  #265 №58820313 

>>58820103
>А многие "О, ништяк, тоже хочу".
Все почти. Процентов 90.

>Еще не встретил человека, который бы плохо отозвался о брекетах.
Именно, ничего такого, всяко лучше забора.

Аноним Чтв 12 Дек 2013 02:20:08  #266 №58820315 
1386800408507.jpg

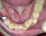
Поясните, есть ли тут смысл ставить брекеты или можно забить хуй? Если ставить - как долго придется носить?
извините за шок-контент, лол

Аноним Чтв 12 Дек 2013 02:21:31  #267 №58820364 

>>58820179
Все кривозубы так говорят.
Но на самом деле, чувак, при первой же возможности ставь брекеты.
Брекеты это самое охуенное в моей жизни. Так круто, оказывается, говорить и смеяться не прикрывая рот. И с незнакомыми людьми проще контактировать.

Аноним Чтв 12 Дек 2013 02:23:15  #268 №58820428 

>>58820315
Хуй забить можно всегда на всё. Решать не нам. Тут ещё надо имплант ставить и чистку зубов уз делать не лишнее.

Аноним Чтв 12 Дек 2013 02:23:45  #269 №58820445 

>>58820315
Что за железка вместо правой пятерки?
Куда шестерку дел?

Ты не у нас спрашивай, а к врачу сходи.

Аноним Чтв 12 Дек 2013 02:24:02  #270 №58820461 

>>58820315
Пиздец. Какой лвл?

Аноним Чтв 12 Дек 2013 02:25:48  #271 №58820529 

>>58820315
И кстати, кривухи одна из причин хуевых зубов. Так что не повредят брекеты. Если, конечно, зубы от них не раскрошатся, азаз.

Аноним Чтв 12 Дек 2013 02:29:41  #272 №58820706 

>>58820428
Имплант ставится после ношения брекетов, на сколько я понимаю.
>>58820445
Вкладка. Шестерка рассыпалась в ноль, пришлось удалять.
>>58820461
26. Из семьи нищебродов, поэтому в детстве было не до стоматологов.

Аноним Чтв 12 Дек 2013 02:30:07  #273 №58820718 

>>58819668
Именно так. Когда удаляют верхние моляры и начинают двигать зубы - щеки могут внезапно впасть. Толстомордым это даже лучше, а вот если рожа изначально была худая, то ебальник будет выглядеть как у жертвы голодомора. Читай всякие кулстори с брекетных форумах с фоточками несчастных дам "до" и "после".
С другой стороны при исправлении пикуса, если он у тебя дистальный, нижняя челюсть визуально выдвинется вперед, и физиономиия приетт более мужественный, альфовый вид. Короче - как повезет.

Аноним Чтв 12 Дек 2013 02:34:37  #274 №58820922 

>>58820315
Насколько я знаю - и не такое можно исправить. Это даже не самый запущенный случай, иди к отру на консультацию.

Я изначально хотел ставить только на верхнюю челюсть, там как с нижними был полный пиздец, но их не было особо видно. Я думал что такое в моем возрасте уже не исправить, а вот и нихуя. Встали на место за год.

Аноним Чтв 12 Дек 2013 03:22:53  #275 №58822825 

>>58812381
22
ношу
не ебу, давно было
не ебу, вроде 40к на то время
обычные
нет
когда захочу, раз/два в месяц
А теперь главное: Я НОШУ ЭТИ ЕБАНЫЕ ЖЕЛЕЗКИ УЖЕ СЕДЬМОЙ, БЛЯТЬ, СЕДЬМОЙ ГОД, Я УЖЕ НЕ ЧЕЛОВЕК, Я ЗВЕРЬ НАХУЙ.
А всё потому, что дали капу для выравнивания линии зубов, а носить её - сплошное мучение. Заебало.

comments powered by Disqus