Сохранен 76
https://2ch.su/me/res/1633165.html
К сожалению, значительная часть сохранённых до 2024 г. изображений и видео была потеряна (подробности случившегося). Мы призываем всех неравнодушных помочь нам с восстановлением утраченного контента!

призвыаю всех пиливших челюсти по квоте в тред похоже, мой путь только начинается, чё раскажете инте

 Аноним 24/07/25 Чтв 20:37:43 #1 №1633165 
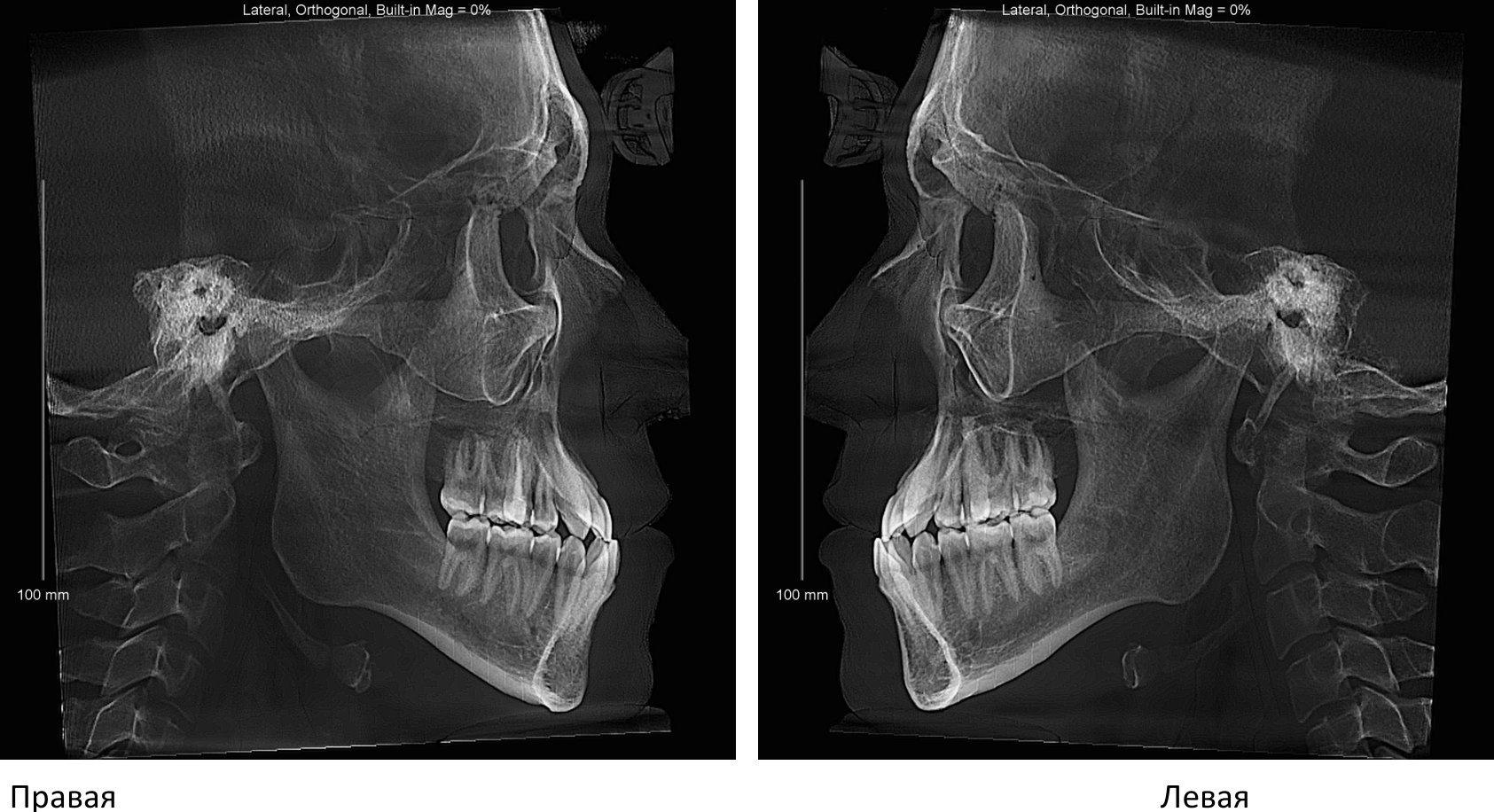
ОПТГ.jpg
ВНЧС.jpg
фронтальный расчёт.jpg
трг прав.jpg
призвыаю всех пиливших челюсти по квоте в тред
похоже, мой путь только начинается, чё раскажете интересного?
почему хейтят куракина? кто такой питерский волешбник?
Аноним 24/07/25 Чтв 20:40:31 #2 №1633166 
image.png
image.png
image.png
image.png
немного о себе:
23 года, мезиальный прикус, 3 класс
ортодонт сказал пик 1 самое главное, от этого зависит можно ли просто вытянуть зубы брекетами не проебав шейки и дёсна
Аноним 24/07/25 Чтв 20:41:18 #3 №1633167 
image.png
image.png
image.png
image.png
эту хуйню кто-то умеет расшифровывать?
Аноним 24/07/25 Чтв 20:42:15 #4 №1633168 
image.png
image.png
image.png
image.png
ну и самое ебаное, на верхней челюсти зубы стоят в 2 ряда
а вот пик 4 - ещё хуже, тут видно, что верхняя челюсть уже нижней на 2мм, что то значит? а это значит, что надо пилить без вариантов!
Аноним 24/07/25 Чтв 20:42:44 #5 №1633169 
image.png
image.png
ну и выводы, чё думаете? стоит в это вообще ввязываться?
Аноним 24/07/25 Чтв 21:06:55 #6 №1633173 
>>1633171
чё доебался
лучше скажи чё делать
Аноним 25/07/25 Птн 08:53:19 #7 №1633212 
>>1633165 (OP)
тебе это не нужно, ты все равно не потянешь тупо по финансам. такие опи только тянкам показаны, т.к. у них вся жизнь на внешку завязана, а ты можешь тупо грузаном работать в пятере и деньгу иметь
Аноним 25/07/25 Птн 11:30:22 #8 №1633221 
>>1633212
А от такого ебаного прикуса не придет пизда зубам и суставам? Сейчас ничего не болит и не щёлкает, зубы стираются да
Что делать то?
Аноним 25/07/25 Птн 14:02:28 #9 №1633239 
>>1633212
Что ты несешь ебланище? Это делаю не только из-за внешки но и из-за здоровья . Невозможно нормално жить если ты испытываешь постоянный дискомфорт в суставах и не можешь нормально жевать.. Что значит только тянкам ? если есть показания к операции то плевать какого ты пола . По деньгам если будет по квоте делать (у нас в россии в основном все так и делают) траты тоже не маленькие (особенно на брекеты , но уже терпимы особенно если пользоваться рассрочкой или платить не сразу за весь курс лечения а по мере посещения ортодонта и выполнения необходимых операций( так в суммме может получиться дороже но зато не надо сразу огромную сумму платить)
Аноним 25/07/25 Птн 18:05:34 #10 №1633276 
>>1633239
Удачи найти члх, который возьмет куна на опи
Аноним 25/07/25 Птн 19:44:44 #11 №1633286 
>>1633276
Инцелошизы уже и в раздел медицины залезли. Пиздец . Абу , хули спишь ? Удали этого еблана , пусть в Б срет своей шизой
Аноним 25/07/25 Птн 22:15:05 #12 №1633302 
>>1633239
подготовка к операции - тысяч 400 +-
операцию саму хочу по квоте
только дадут ли мне её?
>>1633286
на самом деле слышал, что операцию любят делать эскортницам/тянкам а кунов шлют нахуй, один хирург обычно отправляет к психотерапевту, лол
но если есть показания к операции - не могут не сделать же? иначе идёшь в минздрав и всех ебут, не?
Аноним 25/07/25 Птн 22:51:31 #13 №1633307 
>>1633302
Ты от кого эту хуйнб слышал про хрурга. На дваче кто-то написал ? Идешь в мгмсу , если действительно есть показания, проблем с квотой обычно не бывает и начинаешь планомерно лечитьсч , Если речь идет о том что действительно все нормально по медицинской части , но ты хочешь челюсть как у бреда пита то да квоту ты хуй получишь ( и тянки тоже не получат т.к квоту дает не хирург а специальная комиссия мин здрава). В так случае да хирург действительно может тебя послать т.к без этого можно обойтись( в частной клинике точно не откажет так как ты ему деньги несешь) . Если мы обсуждаем действительно медицинскую необходимость то там ни один из челюстно-лицевых хирургов не будет тебя отговаривать от лечения т.к это серьезнаяя пробема и её надо лечить . Когда пойдешь на кнсультацию скинь эту хуйню хиругу(про отказ ради эскортниц) хоть настроение ему поднимешь в его тяжелой работе. И советую взять рассрочку на лечение на брекеты (все таки 200 тыс в год это не 400 за раз. хотя я не знаю твои фин возможности)
Аноним 25/07/25 Птн 23:26:34 #14 №1633312 
>>1633212
>такие опи только тянкам показаны, т.к. у них вся жизнь на внешку завязана
Чо за бред, любая тян даже с явными физическими уродствами найдёт изи 1000 кандидатов в мужья за день.


Куну же критически необходимо иметь чедовнешку. Хоть у опа наоборот выпуклая челюга, а не впалая, считай выиграл в казино.

Тут волнует только вопрос что будет с зубами и дёснами при таком прикусе, знаю, что впалая челюсть ведёт к рецессии дёсен и истиранию зубов.

>>1633165 (OP)
А где восьмёрки? Они лежачие были? Считай пол дела сделано так-то.
Аноним 25/07/25 Птн 23:35:29 #15 №1633313 
>>1633312
>А где восьмёрки? Они лежачие были?
готовлюсь, хули, обе лежачие, каждую удаляли примерно час, после удаления ходил с улыбкой весь день - был счастлив что это закончилось
>считай выиграл в казино
если бы ты увидел меня ты бы заплакал, я действительно ВСРАТ
но это похуй, больше волнует
>рецессии дёсен и истиранию зубов
очень боюсь такой хуйни, сейчас всё хорошо, но надолго ли?
>>1633307
да, обчитался архивача
есть одна ОГРОМНАЯ проблема - я в мухосрани, вроде мой ортодонт умеет готовить к операции, но это я узнаю на следующей неделе
Аноним 25/07/25 Птн 23:55:25 #16 №1633317 
>>1633313
Хуй знает, спрашивай врачей. При впалой челюге зубы верхней челюсти реально бьют по дёснам, при выпирающей я хуй знает как они могут травмироваться. И с суставом как? У меня впалая, сустав хрустит пиздец и челюгу клинит, ты вроде говоришь, что симптомов нет.

Мне при впалой говорили прикусом всё правится, чэдярой я не стану, но зубы и сустав будут стоять как положено..
Аноним 26/07/25 Суб 06:44:53 #17 №1633328 
>>1633307
>Идешь в мгмсу
Просто напоминаю, что толковых члх там не осталось и все ушли в коммерцию. Плюс там не берутся за сложные случаи и кладут болт на эстетику. Ну и там до сих пор работает парочка криворуких долбаебов, которые по кд руинят жизни пациентам

>в частной клинике точно не откажет так как ты ему деньги несешь
Ну, это не правда. Я был у одного на консе и тот даже КТ не посмотрел. Повертел модельки зубов в руках пару секунд и сказал, что не нужна опи и никаких недостатков во внешности они не видит

>Когда пойдешь на кнсультацию скинь эту хуйню хиругу(про отказ ради эскортниц) хоть настроение ему поднимешь в его тяжелой работе
Снова какие-то фантазии. Эскортницы действительно пилятся очень активно, т.к. у них стабильный поток налички и они могут себе позволить по кд делать опи по 800-1.5кк изи. Тяжелая работа члх? Ну ты выдумал. Если мы говорим про платные клиники, а не мгмсу, то они там буквально в бабках купаются и могут отказывать, если что-то не нравится или они тупо не в настроении. Средняя цена двухчелюстной + генио стоит плюс минус 700-800к и доходит до 900к-1.5кк. Запись к члх от 3 месяцев до года. Догадаешься какая там очередь желающих распилиться?
Аноним 26/07/25 Суб 22:18:41 #18 №1633445 
>>1633328
>>1633328
звучит пиздец как печально, и что делать?
на платку денег нет, я на квоту хочу
Аноним 26/07/25 Суб 22:47:21 #19 №1633448 
>>1633445
>>1633445
Не слушай этого еблоида . Все в мгмсу норм . Просто почитай отзывы на хирургов, которые там оперируют и выбирай.
Аноним 26/07/25 Суб 23:29:57 #20 №1633451 
>>1633448
мне бы для начала убедиться, что мой случай - 100% квота, ссу пиздец
начну готовиться к операции декомпнсация прикуса, приду в мгмсу на комиссию, а мне скажут - это хуйня братан надо брекетами лечить
Аноним 27/07/25 Вск 00:00:40 #21 №1633455 
>>1633451
Ты вначале идешь к хирургу и делаешь что он скажет( сосешь ему) - кт в разных проекциях сустава и тд и после он уже скажет как тебе надо лечиться ( достаточно будет только брекетов или нужна будет операция. + если нужна будет операция он может посоветовать ортодонта для подготовки ( они все подрабатывают в стоматолоических клиниках и знакомства у него ест) к операции
Аноним 27/07/25 Вск 20:42:48 #22 №1633562 
>>1633166
>>1633168
А что, кроме эстетики, тебя беспокоит? Просто интересно.
Аноним 27/07/25 Вск 20:57:24 #23 №1633563 
>>1633562
1е и самое главное - стирающиеся зубы
2 возможность проебать суставы в будущем, пока не болит, но вдруг?
3 эстетика
Аноним 30/07/25 Срд 17:23:04 #24 №1633893 
photo2025-07-3023-26-22.png
На этом кадре видно, что максилла недоразвитая или надо рентген идти делать?
Аноним 01/08/25 Птн 20:03:11 #25 №1634202 
video2025-08-0120-02-22.mp4
>>1633893
горб, как понимаю, не проблема ни разу.
все дело в челючтях. ебать у тебя насрано, как у муклы.
Аноним 01/08/25 Птн 21:48:23 #26 №1634213 
>>1633893
>максилла недоразвитая
>на пике топ 1% максилла, как и мандибула
найс троленк, иди нахуй мразь.
Аноним 01/08/25 Птн 23:20:44 #27 №1634221 
>>1633893
чмо сьеби
Аноним 02/08/25 Суб 05:06:16 #28 №1634241 
Без имени.png
>>1634213
Ты зачем гайзлайтить меня пытаешься. Топ 1 процент не будет так стрёмно выглядеть. Та фотография это скорее всего удачный ракурс - вот на этой фотографии вырожденец ебаный, думаю проблема в верхней челюсти и нижней.
Аноним 02/08/25 Суб 08:41:46 #29 №1634248 
>>1634241
нос же тупо уебищный, переносица тонкая.
а подбородок массой нальется, если нормально жрать кости грызть.
Аноним 02/08/25 Суб 15:14:57 #30 №1634276 
>>1634241
Здесь уже другое лицо будто, да. А там модель 8/10 было. Как так, сила освещения + волосы на лоб?
Похоже в скулах дело, низковатые что ли. Ну ты мозга не еби себе все равно, ты далеко не урод
Аноним 02/08/25 Суб 15:31:08 #31 №1634277 
>>1634276
Сила освещения, ракурс и волосы. Модели только так и ебашат свои фотографии в инстаграме.
Аноним 02/08/25 Суб 22:38:14 #32 №1634350 
>>1634277
>Модели только так и ебашат свои фотографии в инстаграме
Ну значит он и правда модель, нахуй с треду
Аноним 19/08/25 Втр 09:17:02 #33 №1636711 
>>1633165 (OP)
>мой путь только начинается
Ну как там? Удалось сходить на консу? Уже отложил хотя бы 5кк на опи + тотал + потенциальную переделку?

>чё раскажете интересного?
Сгонял в https://orthoffice.ru. Собственно, как и ожидал. КТ врач не открыл (сказал, что не видит смысла), меньше минуты покрутил слепки, все оставшееся время (примерно 5 минут) остервенело тряс ножкой и сбивчиво говорил, что показаний не видит и вообще можно только бреки поставить. Настойчиво рекомендовал орта из этой же клиники (видимо владелец клиники). Я быстро выкупил, что он не заинтересован во мне как в пациенте, поблагодарил за уделенное время и уже встал собираться как тот внезапно сорвался и брякнул, мол "ну если хотите для эстетики... то можем сделать". Но я уже был на выходе и попрощался.
В целом отношение очень мерзкое и снисходительное. Ощущаешь себя нищим провинциалом, который пришел на коленях умолять коренного москвича взять тебя, деревенщину беззубую на операцию. Цены неадекватные начиная от дистрактора, который "делают по индивидуальному заказу" за 400к, плюс еще 350к за установку. Ну и за саму операцию что-то выкатили 950к вроде.
В самой клиники какой-то мини Ташкент, а расположена в транспортном очке-тупике где даже пешком не дойти никуда.
Печально, что вся "конса" заняла меньше 10 минут. Я дольше бумажки заполнял и на диване ждал, не говоря уже о потерянном времени и деньгах на полет в ДС и обратно.
За саму "консу", разумеется, взяли 6к или около того

>почему хейтят куракина?
Самый дорогой ЧЛХ в РФ. Не берет на переделки и отправляет к психотерапевту, если тебя не устроила эстетика или есть проблемы по функционалу. Особый "стиль" на, как он называет, "американский тип лица" АКА лица-маски с огромными подбородками

>кто такой питерский волешбник?
https://andreishchev.com/
Аноним 19/08/25 Втр 20:09:30 #34 №1636786 
Привет опчик и >>1636711. Я тоже интересовался этой темой, в 2023 был на консультации у двух ЧЛХ - Куракина в Клазко и Клипы в МГМСУ. Изначально планировал делать стандартную ортогнатическую операцию, но оказалось что у меня в целом скомпенсированный прикус + зубы ровные, Куракин предложил отказаться от ортогнатии и ношения брекетов и сделать просто генио.

Клипа посоветовал вообще ничего не делать т.к. несмотря на наличие показаний и возможность получения квоты у меня в целом все было ок по функционалу и предложил сделать операцию потом если будет что-то беспокоить (тут точно не помню уже, но кажется такое объяснение было). Клипа также был против того чтобы делать сейчас только генио, т.к. в случае если двухчелюстная операция все же понадобится, подбородок в итоге может оказаться слишком большим.

В конечном итоге я остановился на варианте Куракина, т.к. у него в целом хорошие отзывы + подкупила возможность легкого решения без ношения брекетов, расширения верхней челюсти и без тяжелой двухчелюстной операции. В МГМСУ квота не была гарантирована, поэтому решил что оно того не стоит. Цена у Куракина меня тоже устроила, 453 000 стоила операция (включая наркоз и размещение в палате на 1 сутки), что сильно дешевле двухчелюстной у того же Куракина (1 лям на 2023 год) и дешевле двухчелюстной не по квоте в МГМСУ (600к на 2023), плюс экономия на брекетах.

Операция прошла нормально, выдвинули челюгу на 1 см вперед (я дистальник), результатом очень доволен, эстетически получилось очень хорошо, некоторые люди, которые меня давно не видели, сказали что похорошел внешне. Короче задавайте свои ответы
Аноним 19/08/25 Втр 20:35:19 #35 №1636792 
>>1636711
Почему на квоту не идёшь?
Аноним 19/08/25 Втр 21:43:15 #36 №1636800 
>>1636786
> Цена у Куракина меня тоже устроила, 453 000 стоила операция
>выдвинули челюгу на 1 см вперед (я дистальник)
Не понял, то есть тебе просто подбородок выдвинули (гениопластика) за полляма? Можно было двухчелюстную ебануть за те же деньги. Но тут вопрос что да, мб тебе не особо она и нужна. Мне вот увы нужна, подбородок и так норм, но челюги обе задвинуты вниз и назад, пиздец. И ведь не дадут квоту наверняка, я даже хз кому дают, кроме как по знакомству/взятке, совсем бесчелюстным и с заячьими губами всякими?
Аноним 19/08/25 Втр 22:53:43 #37 №1636807 
>>1636800
>тебе просто подбородок выдвинули (гениопластика) за полляма? Можно было двухчелюстную ебануть за те же деньги.
Да, так и есть. Знаю что можно, ее можно было и бесплатно сделать, по крайней мере показания у меня были (2 скелетный класс вроде Клипа говорил). Можно было и генио сделать за 200 у того же Клипы в частной клинике. Но у Куракина мне понравилось то, что нет глубокой ямки на подбородке, он какой-то шов делает, хз что там, но выглядит лучше чем у других. Ну а деньги меня не сильно волновали в таком вопросе, плюс можно налоговый вычет сделать без ограничений на сумму т.к. высокотехнологичная медицинская помощь, стоило 400к в итоге.

А квоту очень даже дают, тем более что тебе прям нужна операция как ты говоришь. Ты в МГМСУ уже был?
Аноним 19/08/25 Втр 23:30:06 #38 №1636811 
>>1636807
Понял. Не был, хз как туда попасть, но посмотрю, спасибо. Разве что стремно, что по квоте такую серьезную операцию будут делать "на отъебись"
Аноним 20/08/25 Срд 03:39:51 #39 №1636825 
>>1636792
Квота подразумевает проблему с функционалом. У меня просто глубокий дистал и ЧЛХ на консультации сказал, что не видит показаний
Аноним 20/08/25 Срд 07:21:14 #40 №1636834 
>>1636811
Я тупо позвонил в МГМСУ и спросил как мне записаться на прием к интересующему врачу, дальше тебе все расскажут. По квоте делают нормально, Куракин раньше делал по квоте и все было збс. Правда не знаю делают ли по квоте заодно и генио т.к. это уже чисто эстетика, но Куракин вроде делал
Аноним 21/08/25 Чтв 15:22:40 #41 №1637142 
>>1636786
>Клипы
кубанский любитель гуччи. учитывая как он ловко лишал пациентов зубов, перепиливая корни, а потом отправлял к шипике на сверхдорогую консу + тотал на несколько кк, то вообще сомнительно зачем к нему нужно было идти. опыта у него значительно меньше чем у того же куракина
Аноним 21/08/25 Чтв 16:11:07 #42 №1637149 
>>1636786
>В конечном итоге я остановился на варианте Куракина, т.к. у него в целом хорошие отзывы + подкупила возможность легкого решения без ношения брекетов, расширения верхней челюсти и без тяжелой двухчелюстной операции. В МГМСУ квота не была гарантирована, поэтому решил что оно того не стоит. Цена у Куракина меня тоже устроила, 453 000 стоила операция (включая наркоз и размещение в палате на 1 сутки), что сильно дешевле двухчелюстной у того же Куракина (1 лям на 2023 год) и дешевле двухчелюстной не по квоте в МГМСУ (600к на 2023), плюс экономия на брекетах.
Для чего тратить столько времени и денег?
Только ради того чтобы стать красивее на 1-2 балла и стало проще знакомиться с тянками?
За такие деньги ты и так можешь быть обеспечен любовью тянок на несколько лет.
Аноним 21/08/25 Чтв 19:52:19 #43 №1637163 
>>1637142
Ок, я не топлю за него, а что за история с корнями? Когда выбирал доктора про него не слышал чего-то плохого, показалось норм вариант если делать остеотомию по квоте (Куракин к сожалению уже не делает)

>>1637149
Времени не сильно много потратил, по деньгам я думаю на все вышло около 500к если учесть перелеты на консу/операцию, проживание, анализы и т.п. с учетом налогового вычета. Для меня это не сильно большие деньги, чуть больше месячной зп, но зато выглядеть реально стал лучше, имхо это самое удачное вложение денег. Не столько ради тянок (есть постоянная тян), скорее чтобы нравиться самому себе и не кринжевать потом от своего ебала на фотках.

>За такие деньги ты и так можешь быть обеспечен любовью тянок на несколько лет
За 500к на несколько лет? Очень сомневаюсь. К тому же это будет не искренняя любовь
Аноним 21/08/25 Чтв 23:15:28 #44 №1637179 
>>1637142
>Клипы
Да типичный рвач-коммерс. Его до-после так себе, учитывая что он же только самую годноту по его мнению выкладывает. Просто по лицу еще видно, что там интеллекта и совести не очень много.
Аноним 22/08/25 Птн 03:22:09 #45 №1637196 
>>1637163
>Ок, я не топлю за него, а что за история с корнями?
Там типичная схема из члх + жены орта + друга студенчества "лучшего гнатолога в РФ". Обязательная костная пластика, консультация гнатолога за 100к, потом операция где тебе "случайно" перепиливают корни зубов, когда перемещают верхнюю челюсть. В итоге ты теряешь зубы и тебя отправляют к ортопеду-гнатологу на тотал где выкладывают план лечения на 4-5кк с предложением закатать все зубы в коронки + поставить имплантаты на погибшие зубы
Аноним 22/08/25 Птн 06:52:50 #46 №1637201 
image
image
>>1637196
>>1637196
>тебе "случайно" перепиливают корни зубов
>В итоге ты теряешь зубы и тебя отправляют к ортопеду-гнатологу на тотал где выкладывают план лечения на 4-5кк
ебаный пиздец, а я еще думал пикрил - жесть.
копетализм и человеческая жадность не сочетаются с медициной, вот вообще

На Клипу в суд подавали уже надеюсь? Хотя бля, у нас недавно вообще с белых халатов сняли ответственность максимально, охуенно
Аноним 22/08/25 Птн 08:53:28 #47 №1637207 
>>1637196
Жесть. А откуда инфа? Я что-то такого не накопал когда искал отзывы по нему
Аноним 22/08/25 Птн 09:23:28 #48 №1637211 
>>1637207
>Я что-то такого не накопал когда искал отзывы по нему
>>1637201
>а я еще думал пикрил - жесть.
Пиздец вы зеленые. Кто в теме, тот сидит в профильных телеграм-чатах, в некоторые из которых можно попасть только по прямой ссылке после аппрува админа, а в некоторые вообще больше не попасть. Там тнусы с пруфами всю подноготную выкладывали. Так что проходите мимо - вам это не нужно
Аноним 22/08/25 Птн 10:23:50 #49 №1637212 
>>1637211
А как ты про этот канал узнал? Я сидел на пластик сержн, там тоже много всякого дерьма писали про хирургов и тоже с пруфами, но про тг канал не слышал. Что там про Куракина пишут? Ты прав, мне это все уже похуй, я это давно прошел, просто любопытно
Аноним 22/08/25 Птн 10:42:38 #50 №1637214 
>>1637212
>пластик сержн
Ангажированный сайт питерского маэстро. Да и многих вещей там не постят, так - парочка скуфынь-проституток вроде АленыС себе ебало пилят, чтобы бабки фармить в Сочи

>А как ты про этот канал узнал?
Нагуглил пару случаев на ютубе, там вышел на тг каналы. Потом вошел в один и затем еще в несколько. Напрямую они не ищутся в телеге ну и т.д.

>Что там про Куракина пишут?
Что это далеко не лучший вариант для операции. В целом члх не так много, которые не кидают после неудавшихся операций и т.д. Да и в целом эта тема очень скользкая и если ты парень, то ты будешь очень долго пороги обивать, чтобы тебя взяли хотя бы на консу, ожидание которой может запросто занять от полугода
Аноним 22/08/25 Птн 16:32:17 #51 №1637269 
>>1637214
>и если ты парень, то ты будешь очень долго пороги обивать
потому что тянок они под наркозом во время операций ебут, а парней типа неприкольно ебать?
охуеть и тут изимод, конечно, ну конечно писику нужнее!! ей еще свое тело продавать на рынке атнашений!!
Аноним 22/08/25 Птн 16:42:26 #52 №1637272 
>>1637269
Все намного проще. Основная ЦА данных операций как и прочих стоматологических штук вроде ортопедии и ортодонтии - это ТНУСы всех цветов и размеров. Всякие зумерки и прочие нищие ровняют зубы брекетами. Бабы постарше лепят безвкусные подушечки орбит в виде тотала, спиливая свои гнилушки под пеньки.
Всякие бимбоунитазы и прочие эскортницы у которых стабильный поток кэша и регулярные запросы на тюнинг внешки - эти идут ва-банк и делают все, начиная от ортодонтии на брекетах, затем тримакс у ЧЛХ, доделки у ортодонта + ортопедия (нередко тотал, но более дорогой и качественный, а не подушечки орбит унитазного цвета). На этом они не останавливаются и потом пилят углы, ставят импланты из medpor, правят скулы и т.д и т.п. В чате пробегало несколько таких теток с низкой социальной ответственностью. Они на короткой ноге с топовыми ЧЛХ к которым запись только на консу от полугода. Пилятся по 5-7 раз и это только ЧЛХ, а там дальше пластика, подтяжка поплывшей рожи и т.д.
Разумеется их ЧЛХ охотнее берут и в целом идут на контакт. Это можно заметить даже по составу посетителей в клинике - там 99.9% будут тнусы.
Тебе же в лучшем случае скажут, что можно сделать генио, в худшем - отправят домой и скажут, что показаний нет и вообще у тебя все ок с внешкой
Аноним 22/08/25 Птн 22:15:04 #53 №1637311 
>>1637272
В мгмсу за 2 недели записывался. К Куракину да, 8 месяцев ждал консультацию, но он не отговаривал от двухчелюстной, просто рекомендовал генио. Тут на дваче проскальзывал анон, который у него пилился, да и в портфолио есть мужики у него. Но вообще да, сколько раз был в клазко, не видел ни одного мужика кроме врачей, кек)

А насчет короткой ноги - я теперь тоже могу к нему прийти без записи на полгода вперед, несколько раз был уже после операции на осмотре, причем записывался может за пару недель максимум. Короче сложно попасть если ты новый клиент, а если старый то легко.
Аноним 23/08/25 Суб 04:55:57 #54 №1637327 
>>1637311
>В мгмсу за 2 недели записывался
Смотря к кому. Если похуй к какому ЧЛХ, то наверное за 2 недели можно попасть. К Романовскому вообще предлагали запись чуть ли не на следующий день. Это при условии, что он по квоте уже давно не пилит.

>К Куракину да, 8 месяцев ждал консультацию
Многие говорили, что очередь к нему "фантомная" и эта запись за 8 месяцев может запросто превратиться максимум за 1 месяц

>но он не отговаривал от двухчелюстной, просто рекомендовал генио.
Ну так генио у него стоит +- столько сколько другие врачи предлагают за тримакс

>Тут на дваче проскальзывал анон, который у него пилился, да и в портфолио есть мужики у него. Но вообще да, сколько раз был в клазко, не видел ни одного мужика кроме врачей, кек)
И сколько этих мужиков в портфолио в процентном соотношении к тянкам? Открой любой тг чат посвященный этой теме - на 1.5-2к человек от силы будет 5-10 кунов, а остальные тнусы

>А насчет короткой ноги - я теперь тоже могу к нему прийти без записи на полгода вперед, несколько раз был уже после операции на осмотре, причем записывался может за пару недель максимум. Короче сложно попасть если ты новый клиент, а если старый то легко.
Тоже сомнительно. Записывался к Романовскому. Так там в тг клиники какое-то чучело нехотя отвечало односложными фразами и толком не смогло объяснить, когда запись к врачу есть. Пришлось звонить в саму клинику. Но и там снова какая-то климаксная пизда на ультразвук перешла с доебами в духе "а зачем вам к ЧЛХ? кто направил? зачем вам консультация?!". Кое-как записался.
Потом еще к 3 пытался записаться и везде запись либо через звонок в клинику, либо через мерзкий вотсап где отвечает какая-то ублюдочная хуета, которая в показаниях путается. Спрашиваешь, когда есть запись, тебе отвечают уже поздно вечером, мол "запись на такое-то число - подходит". Говоришь, что мол, да, записывайте. Это говно тупит несколько дней и потом выдает, мол "ой извините, я вас записала не на 3 в 10-00, а 15 в 16-00". Хорошо, что билеты не покупал заранее. И так во всем. При звонке в клинику с тобой максимально высокомерно общаются и всем видом дают понять, что тебе не рады и вообще врач занят. Записывался к провинциальному светиле, так к нему тоже запись больше чем за полгода. Прошло 6 месяцев, позвонил в клинику, а там бабища снова на ультразвук перешла и чуть ли не криком "ну если вам не звонили из клиники, значит врач не освободился, ждите!" и с таким лязгом кинула трубку, что у меня аж в ухе зазвенело.

А потом читаешь чат, где тнусы вкидывают скрины переписок в тг и ватсапе с помошниками члх где они записываются за неделю или за месяц, им учтиво отвечают, шлют смайлики и даже к топовым члх попадают в худшем случае за 1.5 месяца
Аноним 23/08/25 Суб 06:29:49 #55 №1637330 
>>1637179
Ну так это МГМСГУшная школа. Там в принципе все очень плохо со сложными кейсами. Из всех ЧЛХ, которые оканчивали эту богадельню только, наверное, Куракина можно выделить, хотя и на него очень много негатива, да и в принципе его подход подойдет не каждому - не показывает планирование, не берет на переделки (даже после себя), отправляет к психотерапевту за таблетками и т.д. Одно время в профильных чатах пушили Романовского, но там тоже посредственные кейсы. Он мне на консе прогнал мутную телегу про "авторский распил", но по факту ничего авторского в нем нет, патентов на генио как у Куракина у него нет и в принципе за те бабки, которые Романовский пилит лучше идти к Сенюку и доплатить условные 300-400к. Про "индивидуальный дистрактор-бабочку" я вообще проорал. Хуй знает откуда он высрал цену в 400к за дистрактор и еще 350к за установку.
По факту остается Кулаков или Сенюк. Первый не очень заморачивается по эстетике и в целом заточен просто на сложные кейсы, а ко второму сложно записаться (в ватсапе какая-то пизда может неделями не отвечать и гоустить), при звонке в клинику нужно прямо продираться к нему на запись и сама запись может быть запросто за 8-12 месяцев. Но он хотя бы берет на переделки даже после других члх, умеет во всякие углы челюсти, импланты и т.д. и вообще опыта у него дохуя
Аноним 23/08/25 Суб 09:21:28 #56 №1637335 
>>1637330
>не показывает планирование
Планирование показывает, мне после консультации сделал планирование результата после гениопластики, причем отдельно я за него не доплачивал, и буквально через несколько дней он уже его скинул.

Единственная проблема после генио у меня в том, что чувствительность полностью так и не восстановилась и уже не восстановится, хотя Куракин обещал что восстановится полностью максимум за год. 2 года после операции на осмотре сказал что на иглоукалывание можно походить, кек) Но меня это не сильно беспокоит, нет зон, которые я совсем не чувствую, просто как будто наркоз после лечения зуба не до конца отошел
Аноним 23/08/25 Суб 09:56:45 #57 №1637340 
>>1637335
>Планирование показывает
Значит по разному выходит. Тнусы жаловались, что на операционном столе у них спрашивали как сильно выдвигать челюсти из трех вариантов.
Романовский в прицнипе сказал, что планирование не нужно и оно не показывает реального результата. Хотя мне кажется, что он просто пытался меня побыстрее слить
Аноним 23/08/25 Суб 09:59:30 #58 №1637341 
>>1637340
>планирование не нужно и оно не показывает реального результата

Это правда, в моем случае получилось не так хорошо, как на планировании
Аноним 27/08/25 Срд 07:41:50 #59 №1637796 
Как попасть на квоту?
Ходил к ортодонту в своей мухосрани, сказал всё ебано и едь в мск/питер на консультацию
Что делать дальше?
Аноним 27/08/25 Срд 21:26:52 #60 №1637895 
>>1637796
>Что делать дальше?
>едь в мск/питер на консультацию

Тебе же буквально сказали что делать дальше.

В регионах я бы делать не стал, но прежде всего отталкивайся от врача, читай отзывы, тут выше кто-то про телеграм чаты писал, просись туда и изучай тему.
Аноним 27/08/25 Срд 23:02:20 #61 №1637907 
>>1637895
Мне кажется для него лучше вначале узнать какие обследования надо сделать для консультации хирурга , сделать их у себя в мухосрани и уже потом ехать на консультацию. Если его мухосрань далеко он просто приедет на консу без всего и его также направят это делать . Он просто зря потратит деньги на дорогу ( а это может стоить намного больше всех обследований).
Аноним 28/08/25 Чтв 03:02:19 #62 №1637917 
>>1637907
>какие обследования надо сделать для консультации хирурга
Так сложно написать/позвонить в клинику и спросить? КТ челюстей и гипсовая/пластиковая модель челюстей нужны для консы. Только не надейся, что члх примет тебя с распростертыми объятиями, т.к. может быть вот так - >>1636711. По факту вышло так, что за КТ и слепки я отдал в общей сложности тысяч 7-9, а на такси + билеты на самолет туда-обратно выложил больше 30к. Сама "конса" заняла меньше 10 минут и члх даже кт не смотрел
Аноним 28/08/25 Чтв 18:23:25 #63 №1638003 
>>1637895
Не, интересует что конкретно делать
О существовании МГМСУ я узнал из треда
Звонить в регистратуру? Звонить напрямую врачу?
Аноним 28/08/25 Чтв 19:34:58 #64 №1638016 
>>1638003
Идешь на пластик сержн точка ру и читаешь темы по остеотомии/гениопластике, там дохуя контента и отзывов с фотками, думаешь к кому хочешь пойти, гуглишь сколько у этого врача стоит операция, выбираешь. Если будешь в МГМСУ у кого-то делать, то да, звони просто в регистратуру и всё. На консультацию надо идти уже со снимками
Аноним 04/09/25 Чтв 17:20:45 #65 №1638934 
>>1638003
>О существовании МГМСУ я узнал
По квоте еще делают ФМБА и ЦНИИС. Они в отличии от МГМСУ хорошо работают с асимметрией челюстей, например. Да и косяков за ними значительно меньше. Ты еще учти, что тебе нужно найти грамотного орта, который умеет готовить хирургических пациентов. Ну и в конце лечения скорее всего понадобится ортопедия
Аноним 15/09/25 Пнд 10:52:41 #66 №1639877 
А как найти эти чаты в тг собственно? Как будто бы уж слишком важный источник инфы. И там говорят что-то про врача "Койстрик Андрей Сергеевич"?
>>1638934
>>1637340
Аноним 15/09/25 Пнд 11:57:13 #67 №1639882 
Лингвальнные брекеты да или нет? Дикция сильно портится?

Можно ли брекеты без удаления 8ок?

Портят ли брекеты лицо? Типа щеки "съезжают" и тп
Аноним 15/09/25 Пнд 21:03:20 #68 №1639964 
>>1639882
>Портят ли брекеты лицо?
Когда под них удаляют зубы, особенно много зубов, некоторые рвачи по 8 зубов нахуй вырывают, изверги - еще как. Не ставлю себе брекеты потому что даже кривые зубы мудрости терять не хочу. Лишние зубы - это любые, кроме 32 дефолтных
Аноним 15/09/25 Пнд 22:34:30 #69 №1639974 
>>1639882
>Лингвальнные брекеты да или нет? Дикция сильно портится?
А нахуя? За ними сложнее ухаживать и тебе и ортодонту, плюс дороже. Мне поставили обычный металл и полет нормальный. Ухаживать не так сложно, как об этом пишут.

>Можно ли брекеты без удаления 8ок?
Зависит от того, как растут. У меня одна 8ка непрорезавшаяся была, другая росла горизонтально, толкая весь зубной ряд. Думаю, ортодонт просто не возьмет ответственность за нестабильное лечение. Проще удалить и все. Вот если предлагают выдернуть еще какие-то зубы кроме 8ок, то тут повод задуматься и походить по другим врачам.

>Портят ли брекеты лицо? Типа щеки "съезжают" и тп
Да хуй знает, вроде не скуфанулся. По-моему, наоборот, какое-то "ровное" стало.
Аноним 03/10/25 Птн 13:36:09 #70 №1642771 
>>1633165 (OP)
Сгонял еще к одному провинциальному светиле. Конса была еще короче чем у московского члх. Минуты 3 пообщались и разошлись. Стандартная телега про "вам не нужна операция", "просто подвиньте челюсти сплинтом" и все эти "ну расширьте челюсть брекетами, а потом у ортопеда коронками высоту прикуса выровняйте". Ну и коронное - "вы же не девушка, это девушки парятся над внешностью".
Аноним 03/10/25 Птн 22:14:05 #71 №1642830 
>>1642771
Хз к кому ты там ходишь.
Был у Куракина, Сенюка, Клипы, Андреищева и других в мкск. Все консы норм были, никто не отговаривал, наоборот все на позитиве. Кроме питерского мясника, у него конвеер такой, что 2 минуты посмотрел, от руки отписку для орта сделал, сказал готовься и пошел сраться с предыдущей пациенткой которой нос накосячил. КА спрашивал тебе типа тебе для функции, я говорю похуй мне на функцию, внешку хочу пофиксить, он такой оооо, необычно для жужчины, но выполнимо. час с ним пропиздели в итоге. АН не особо разговорчивый, посмотрел кт и модели, сказал все понятно, орту напишу, на все вопросы ответил.
В итоге в прошлом году челюсти попилил, в целом доволен.

пс. Был тут шиз который уже год срет пастами что это хирурги ен берут кунов, только экскортниц, ну на то он и шиз.
Аноним 03/10/25 Птн 23:23:48 #72 №1642835 
>>1642830
>Был у Куракина, Сенюка, Клипы, Андреищева и других в мкск. Все консы норм были, никто не отговаривал, наоборот все на позитиве
Сходил к коммерсам, готовым тебе в кашу лицо превратить ибо на все похуй, кроме деняк, всё на позитиве!!
Аноним 06/10/25 Пнд 06:41:45 #73 №1643206 
>>1642835
>Сходил к коммерсам
А к кому нужно было идти? К палачам из МГМСУ?
Аноним 06/10/25 Пнд 09:23:29 #74 №1643218 
>>1642830
А в чем был смысл идти на консу к питерскому маэстро? У него винрейт даже не фифти-фифти, и в целом там все очень плохо, если доходит до осложнений. Из остальных только АН берет на переделки после других ЧЛХ и переделывает (зачастую бесплатно) за собой, если проблема в функционале. Остальные либо блочат клиентов, либо отправляют их к психиатру. После себя не переделывают, разумеется
Аноним 06/10/25 Пнд 21:04:29 #75 №1643321 
>>1643218
>А в чем был смысл идти на консу к питерскому маэстро
То давно было. Тогда только он и куракин котировались в интернете.
>>1643206
>А к кому нужно было идти? К палачам из МГМСУ?
А они не коммерсы?) клипа с свиридовым пилят в ланцете за лям, по квоте только нонеймы с шансом 50\50
Аноним 07/10/25 Втр 08:58:46 #76 №1643430 
>>1643321
>коммерсы
Хз, ходил к двум платным члх - оба отказали. Готовлюсь к консе к еще одному члх, но как-то уже устал терять время и деньги впустую, чтобы потратить 25-30к на дорогу, не спать сутки, а потом "поговорить" 3-5 минут после ожидания в 6-8 месяцев в очереди
comments powered by Disqus